阿霉素作为蒽环类抗肿瘤药物的代表,在乳腺癌、血液系统肿瘤等多种恶性肿瘤的治疗中应用广泛,但其剂量依赖性的心脏毒性却成为临床应用的重要掣肘,轻则引发心电图异常,重则导致严重心肌病甚至心力衰竭,且目前唯一获FDA批准的防治药物右雷佐生还存在骨髓抑制的副作用,寻找安全有效的防护手段成为肿瘤心血管领域的研究热点。程序性细胞焦亡-凋亡-坏死性凋亡(PANoptosis)是一种整合了焦亡、凋亡、坏死性凋亡特征的炎症性细胞死亡方式,由ZBP1等分子调控,已被证实参与阿霉素诱导心脏毒性(DIC)的发病过程。

当归补血汤作为经典益气养血方剂,由黄芪和当归以5:1配伍而成,拥有800余年应用历史,既往研究证实其可减轻化疗所致骨髓抑制、发挥抗炎作用,但其对阿霉素心脏毒性的保护作用及相关机制尚未明确。

山东大学团队在《Phytomedicine》发表的研究,通过体内外实验结合网络药理学、质谱分析等技术,首次揭示当归补血汤可通过抑制ZBP1介导的PANoptosis改善阿霉素诱导的心脏毒性,为该方剂的临床转化及DIC的防治提供了新的科学依据。
图片
论文首页


当归补血汤减轻小鼠阿霉素诱导的心脏毒性
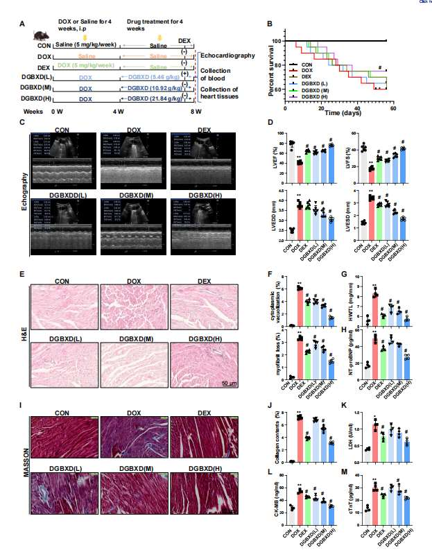
研究团队构建了阿霉素诱导的小鼠心脏毒性模型,将C57BL/6J小鼠分为对照组、模型组、右雷佐生阳性对照组及当归补血汤低、中、高剂量组,通过每周腹腔注射阿霉素构建模型并给予相应药物干预,持续4周后检测各项指标。结果显示,与模型组相比,当归补血汤高剂量组小鼠存活率显著提升(图1B);超声心动图检测发现,模型组小鼠左心室射血分数(LVEF)、左心室短轴缩短率(LVFS)显著降低,左心室舒张末期内径(LVEDD)、收缩末期内径(LVESD)明显增大,而当归补血汤以剂量依赖的方式逆转了上述心脏功能指标的异常(图1C、D);组织病理学检测显示,阿霉素导致的心肌水肿、炎症细胞浸润、空泡变性及心肌纤维化,在当归补血汤干预后均得到显著缓解(图1E、I);同时,当归补血汤还能显著降低模型小鼠心脏重量/胫骨长度比值,下调血清中心肌损伤标志物NT-pro BNP、LDH、CK-MB、cTnT的水平(图1G、H、K-M),充分证实当归补血汤在体内可有效改善阿霉素诱导的心肌损伤,保护心脏功能。  
图片
图1


网络药理学分析筛选出当归补血汤治疗阿霉素诱导心脏毒性的关键靶点

为探究当归补血汤发挥心脏保护作用的潜在靶点及通路,研究团队开展了网络药理学分析,首先从TCMSP等数据库筛选出当归补血汤的133个潜在作用靶点,从TCMSP、TTD、OMIM等数据库获取360个阿霉素诱导心脏毒性相关靶点,通过韦恩分析得到40个两者交集靶点(图2A)。利用STRING数据库构建蛋白-蛋白相互作用(PPI)网络,并通过Cytoscape软件分析发现,TNF、TP53等为核心靶点(图2B、C)。进一步的GO功能富集分析显示,这些交集靶点主要参与氧化应激反应、细胞凋亡调控等生物学过程(图2D-F);KEGG通路富集分析则表明,其作用通路集中在TNF、IL-17等炎症相关通路及氧化应激相关通路(图2G)。上述结果提示,当归补血汤可能通过调控炎症反应、氧化应激及细胞死亡相关通路发挥抗阿霉素心脏毒性的作用,为后续机制研究指明了方向。 
图片
图2


超高效液相色谱-四极杆轨道阱质谱分析当归补血汤及其含药血清中的活性成分

超高效液相色谱-四极杆轨道阱质谱分析当归补血汤及其含药血清中的活性成分。为明确当归补血汤发挥药理作用的物质基础,研究团队采用UPLC-Q-Orbitrap-MS技术,分别对当归补血汤原药及大鼠含药血清进行检测,在正、负离子电离模式下分析其色谱图谱(图3A、B),结合mzCloud质谱库及相关文献,从当归补血汤含药血清中鉴定出29种活性成分,涵盖有机酸、黄酮类、氨基酸、脂肪酸等多种类型,主要包括黄芪甲苷Ⅲ、7-甲氧基香豆素、精氨酸、紫丁香苷、藁本内酯H、Z-藁本内酯等;同时从当归补血汤原药中鉴定出28种活性成分。这些活性成分作为当归补血汤发挥生物效应的物质基础,为后续分子对接及机制验证提供了具体的研究对象,也为阐释该方剂“多成分、多靶点、多通路”的作用特点提供了实验依据。  
图片
图3


当归补血汤活性成分与程序性细胞焦亡-凋亡-坏死性凋亡关键靶点直接结合

基于网络药理学的研究结果及PANoptosis在DIC中的核心作用,研究团队将当归补血汤的主要活性成分与PANoptosis关键靶点(caspase-1、caspase-3、caspase-8、RIPK1、ZBP1)进行分子对接验证,以结合亲和力≤-5 kcal/mol为强结合标准,结果显示多个成分与上述靶点存在稳定结合,且三次对接结果的标准差均<0.5 kcal/mol,证实对接结果可靠。其中,紫苜蓿素与caspase-1、紫丁香苷与caspase-3和caspase-8、7-羟基-3-(4-羟苯基)-2-三氟甲基-4H-苯并吡喃-4-酮与RIPK1、5,7-二羟基-3-[4-羟基苯基]-4H-苯并吡喃-4-酮与ZBP1均存在良好的结合作用(图3C-G)。为进一步验证结合效果,研究采用表面等离子体共振(SPR)技术检测发现,紫苜蓿素、N-乙酰-DL-色氨酸与ZBP1的平衡解离常数(KD)分别为3.388 μM、2.197 μM,证实二者与ZBP1存在直接结合;同时酶活性实验显示,紫苜蓿素可显著抑制caspase-1和caspase-3的活性(图3H-K)。该研究明确了当归补血汤中多种活性成分可直接结合PANoptosis关键靶点,为其调控该通路提供了直接的分子证据。  



当归补血汤抑制阿霉素诱导的细胞焦亡

焦亡作为PANoptosis的重要组成部分,其关键分子包括NLRP3、caspase-1、GSDMD等,研究团队通过体内外实验检测了当归补血汤对阿霉素诱导焦亡的影响。体内实验中,蛋白免疫印迹(WB)结果显示,阿霉素处理显著上调小鼠心肌组织中NLRP3、pro-caspase-1、cleaved-caspase-1、GSDMD、GSDMD-NT的表达,而当归补血汤干预后可显著下调上述焦亡相关蛋白的水平(图4A);免疫组化结果也证实,当归补血汤能减少小鼠心肌组织中caspase-1、GSDMD的阳性表达(图4B、C)。体外实验中,采用当归补血汤含药血清处理原代心肌细胞,WB及免疫荧光结果均显示,含药血清可剂量依赖性地抑制阿霉素诱导的原代心肌细胞中焦亡相关蛋白的表达及活化(图4D-F)。上述体内外实验结果一致证实,当归补血汤可有效抑制阿霉素诱导的心肌细胞焦亡。  
图片
图4

当归补血汤减轻阿霉素诱导的细胞凋亡

凋亡是阿霉素诱导心肌细胞死亡的重要方式,研究检测了凋亡相关分子caspase-3、caspase-8、BAX、Bcl2的表达变化。体内WB结果显示,模型组小鼠心肌组织中pro-caspase-3、cleaved-caspase-3、pro-caspase-8、cleaved-caspase-8及促凋亡蛋白BAX的表达显著升高,抗凋亡蛋白Bcl2表达降低,当归补血汤干预可剂量依赖性地逆转上述蛋白的表达异常(图5A);免疫组化结果证实,当归补血汤能显著减少心肌组织中caspase-3、caspase-8的阳性表达(图5B、C)。体外实验中,当归补血汤含药血清可显著抑制阿霉素诱导的原代心肌细胞中caspase-3、caspase-8的活化,下调BAX表达、上调Bcl2表达(图5D);免疫荧光结果也进一步验证了含药血清对caspase-3活化的抑制作用(图5E、F)。研究表明,当归补血汤可通过调控凋亡相关蛋白的表达,减轻阿霉素诱导的心肌细胞凋亡。  
图片
图5


当归补血汤缓解阿霉素诱导的细胞坏死性凋亡

坏死性凋亡的核心调控分子包括ZBP1、RIPK3、MLKL等,研究团队检测了当归补血汤对该通路的影响。体内WB结果显示,阿霉素处理使小鼠心肌组织中ZBP1、MLKL、p-MLKL、RIPK3、p-RIPK3的表达显著上调,而当归补血汤干预可有效下调这些坏死性凋亡相关蛋白的表达(图6A);免疫组化结果证实,当归补血汤能显著降低心肌组织中ZBP1、p-MLKL的阳性表达(图6B、E)。体外实验中,当归补血汤含药血清可剂量依赖性地抑制阿霉素诱导的原代心肌细胞中ZBP1、p-MLKL、p-RIPK3的表达(图6C);免疫荧光结果也显示,含药血清能减少原代心肌细胞中p-MLKL的阳性表达(图6D、F)。上述结果证实,当归补血汤可有效抑制阿霉素诱导的心肌细胞坏死性凋亡,且对ZBP1这一核心调控分子具有明显的下调作用。  
图片
图6


当归补血汤具有缓解程序性细胞焦亡-凋亡-坏死性凋亡的作用

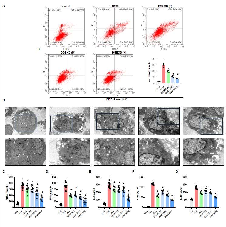
PANoptosis是焦亡、凋亡、坏死性凋亡的整合形式,研究通过流式细胞术检测发现,阿霉素处理使原代心肌细胞的凋亡率显著升高,而当归补血汤含药血清可剂量依赖性地降低心肌细胞凋亡率(图7A)。透射电镜观察显示,阿霉素诱导的心肌细胞出现染色质浓缩、DNA片段化、细胞皱缩、凋亡小体形成,线粒体缩短或囊性变、嵴断裂等典型的PANoptosis形态学改变,当归补血汤含药血清干预后,上述形态学异常呈剂量依赖性改善(图7B)。同时,ELISA检测结果显示,当归补血汤可显著降低模型小鼠血清中TNF-α、IFN-γ、IL-6、IL-1β、IL-18等炎症因子的水平(图7C-G),而炎症反应是PANoptosis的重要特征及下游效应。综合以上结果,当归补血汤可从细胞形态、凋亡率及炎症因子释放等多个方面,有效缓解阿霉素诱导的心肌细胞PANoptosis。  
图片
图7


ZBP1过表达减弱当归补血汤的抗程序性细胞焦亡-凋亡-坏死性凋亡作用

为验证ZBP1在当归补血汤抗PANoptosis作用中的核心地位,研究团队在原代心肌细胞中过表达ZBP1,随后给予阿霉素及当归补血汤含药血清干预。WB结果显示,ZBP1过表达可显著上调PANoptosis相关蛋白(NLRP3、cleaved-caspase-1、GSDMD-NT、cleaved-caspase-3、cleaved-caspase-8、MLKL)的表达,显著削弱当归补血汤含药血清对这些蛋白的抑制作用(图8A、B)。功能实验显示,ZBP1过表达可逆转当归补血汤含药血清对阿霉素损伤心肌细胞活力的提升作用,同时逆转其对LDH释放的抑制作用(图8C、D);流式细胞术及透射电镜结果显示,ZBP1过表达显著增加心肌细胞凋亡率,加重细胞超微结构损伤,而当归补血汤可部分逆转这些损伤(图9A、B);ELISA结果显示,ZBP1过表达显著促进TNF-α、IFN-γ等炎症因子的释放,当归补血汤含药血清可有效抑制该效应(图9C-G)。上述结果证实,ZBP1是当归补血汤发挥抗阿霉素诱导心肌细胞PANoptosis作用的关键靶点,当归补血汤主要通过抑制ZBP1介导的PANoptosis通路,发挥心脏保护作用(图10)。  
图片

图8
图片
图9


图片
图10



小结
本研究通过多维度、多层次的实验设计,系统阐明了当归补血汤改善阿霉素诱导心脏毒性的药效及分子机制,不仅证实了这一经典益气养血方剂在肿瘤化疗心脏保护中的应用价值,更从PANoptosis这一新型细胞死亡方式入手,揭示了其“多成分直接结合靶点-抑制ZBP1介导的多形式细胞死亡-减轻心肌炎症与损伤”的作用路径,为传统中药方剂的现代化研究提供了典范。同时,该研究也为阿霉素心脏毒性的防治提供了新的候选药物,当归补血汤安全性高,与化疗联用还可发挥协同抗肿瘤作用,具有广阔的临床转化前景。未来,随着对其活性成分的进一步筛选及临床研究的开展,当归补血汤有望成为肿瘤化疗中心脏保护的重要中药制剂,为临床解决化疗药物心脏毒性难题提供新的思路和方法。  (注:全文约2800字,文中所引图片均来自原文对应图序,符合中医新前沿微信公众号专业内容传播需求,适合临床医师阅读参考。



参考文献:
Zhang L, Kong HW, Song XY, Sheng LS, Huang NN, Liu Y, Sun R. Danggui buxue decoction attenuates doxorubicin-induced cardiotoxicity by inhibiting ZBP1-mediated PANoptosis in vivo and in vitro. Phytomedicine. 2025 Sep;145:157037. doi: 10.1016/j.phymed.2025.157037. Epub 2025 Jul 6. PMID: 40712282.


作者|梅斯医学
编辑 | 逅思
授权转载、投稿等请联络梅斯医学管理员
老中医(微信号:wxid_rszr95aw79ie22)