类风湿性关节炎(RA)是一种慢性、全身性的自身免疫性炎症性疾病,它影响多个组织和器官,尤其是柔性关节。其典型特征包括全身性炎症、组织增殖、自身抗体产生、滑膜增生以及骨和软骨的侵蚀。尽管目前许多患者能够实现病情缓解,但对RA的精确诊疗、预防及治疗策略仍需深入研究。

 

 

防己在乡村地区被长期用于风湿病的治疗,其历史可追溯数千年,并在该疾病的治疗过程中展现了显著的免疫调节功能。众多研究揭示,粉防己碱与防己胆碱能够通过抑制Akt的表达及其磷酸化过程,从而阻断PI3K/Akt信号传导路径。尽管如此,防己如何改善RA的具体机制尚未完全明了。

日前,一篇名为“Multi-omics analysis to reveal the synergistic mechanism underlying the multiple ingredients of Stephania tetrandra extract on rheumatoid arthritis through the PI3K/Akt signaling pathway”的文章揭示了防己提取物(STE)多种成分对胶原诱导性关节炎(CIA)大鼠治疗作用的分子机制。

图片

图1 论文首页

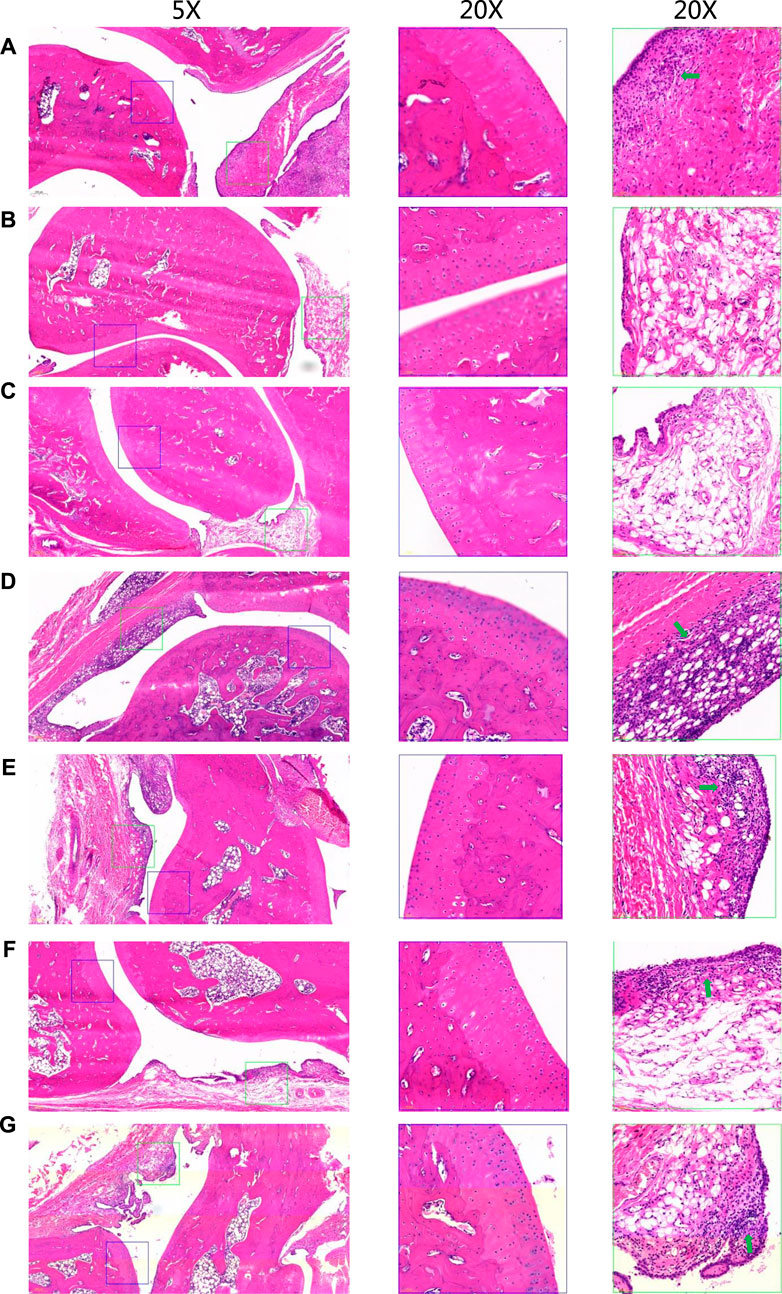
STE对踝关节组织病理学变化的影响

 

 

该研究综合运用药物代谢组学、蛋白质组学以及PTMomics技术,揭示了防己提取物(STE多种成分)对CIA大鼠治疗效果的分子机制。与对照组大鼠相比,CIA大鼠呈现出毛发色泽暗淡、行动迟缓及缺乏活力的特征;CIA大鼠的前肢关节出现红肿现象(图2A)。CIA大鼠的爪部肿胀程度显著高于对照组大鼠(图2B),并且其体重随时间的推移出现异常增长(图2C)。相较于模型组,经过STE和双氯芬酸处理后,大鼠的足部肿胀程度有所减轻。从第14天起,STE1.35 g/kg)对爪部肿胀程度的缓解作用似乎比双氯芬酸更为显著。

图片

图2 胶原蛋白处理诱导大鼠类风湿性关节炎(CIA),STE缓解了与CIA相关的症状

 

为评估STE的抗炎效果,研究采用了ELISA和免疫组织化学分析方法。ELISA检测结果显示,相较于正常大鼠,模型组胶原蛋白诱导性关节炎(CIA)大鼠血清中的白细胞介素-1β(IL-1β)和白细胞介素-6(IL-6)水平显著上升。与模型组相比,经STE和双氯芬酸处理后,上述细胞因子水平有所下降。特别是1.35 g/kg剂量的STE对IL-1β和IL-6水平的影响尤为显著。在组织病理学方面,与正常大鼠的踝关节相比,CIA大鼠的踝关节显示出明显的病理变化,包括软骨侵蚀、滑膜内层增生、滑膜细胞层排列紊乱以及周围组织中单核细胞的大量浸润(图3A、B)。经STE治疗后,大鼠的组织病理学病变在不同程度上有所改善(图3C-G),这表明STE具有免疫抑制作用,能够对抗CIA大鼠的病理损伤。综上所述,与CIA大鼠相比,给予1.35 g/kg剂量STE的大鼠在所有病理损伤方面均显示出显著的减少。

 

图片

图3 不同组别大鼠踝关节的代表性HE染色切片

 

 

药物代谢组学分析

 

主成分分析(PCA)显示,大鼠血清的代谢组学特征在经过1.35 g/kg STE处理28天后,趋向于对照组的特征(图4A)。此外,与CIA大鼠的临床症状记录相比,服用1.35 g/kg STE后,关节炎症状明显减轻。通过对比STE(1.35 g/kg)组大鼠与CIA大鼠血清的代谢组学特征,并依据既定筛选标准(图4B、C),研究识别出参与RA发病机制的潜在代谢产物。色氨酸代谢途径表现出显著的失调,其中六种代谢物水平下降,包括色氨酸、5-羟色氨酸、犬尿氨酸、5-羟吲哚乙酸、4,6(8)-二羟基喹啉和吲哚-3-乙醛。这些代谢组学结果与RA患者血清中色氨酸代谢减少的发现相吻合(图4D)。

此外,体内约99%的色氨酸通过犬尿氨酸生成途径进行代谢(图4E)。色氨酸作为体内极为稀有的必需氨基酸,对CD4+T细胞的活化和自身抗体的产生具有影响,这暗示其可能与关节炎的发展相关。其代谢产物犬尿氨酸具有免疫调节功能,并表现出免疫抑制作用。一些研究指出,5-羟色氨酸作为血清素合成过程中的中间体,不仅能够抑制成纤维细胞中p38和核因子-κB(NF-κB)的激活,还能抑制促炎细胞因子的产生。因此,色氨酸代谢的下调可能有助于防止关节炎关节中不适当的免疫反应。这些发现表明,STE可能通过调节色氨酸、犬尿氨酸和5-羟色氨酸的代谢水平来发挥其抗炎作用

 

图片

图4 STE对KEGG代谢组学失调

确定STE的潜在抗风湿机制

 

 

研究通过多组学方差分析,探究了STE潜在的抗风湿作用机制。与正常对照组大鼠相比,模型组大鼠血清中代谢途径的富集情况显示,鞘脂代谢、甘油磷脂代谢和色氨酸代谢途径显著增加(图5A)。STE与双氯芬酸的干预能够以不同方式逆转这些代谢变化。双氯芬酸主要影响与磷脂代谢和甘油磷脂代谢相关的途径,而STE则主要调节色氨酸代谢途径。STE与双氯芬酸对蛋白质及其翻译后修饰(PTM)的干扰,源于它们对不同生物过程的作用。
在双氯芬酸处理的大鼠中,差异表达的蛋白质与对有机环状化合物的反应、细胞内信号转导以及对葡萄糖反应的生物过程相关(图5B)。相比之下,STE调节的蛋白质主要参与转录、炎症反应以及蛋白质异二聚体化等生物过程的调控。在双氯芬酸处理的大鼠中,受调节的PTM与细胞外信号调节激酶(ERK)1和ERK2级联、信号转导以及对有毒物质反应的生物过程的正向调节相关(图5C)。STE调节的PTMs主要参与细胞黏附、凝血以及细胞对cAMP反应等生物学过程。据此,STE可能通过影响色氨酸代谢、炎症反应和细胞黏附途径发挥其抗风湿作用

 

图片

图5 多组学分析结果表明,CIA和STE具有很强的分子特征

 

 

STE抗风湿作用的机制

 

为阐释STE抗风湿作用的机制,研究深入分析了色氨酸代谢、炎症反应及细胞黏附途径中受调控的蛋白质、代谢物和PTM,进而构建了相关网络(图6A)。结果显示,多数分子与基于PI3K/Akt的炎症及PBMCs增殖响应调控相关联。此外,STE通过提升Hint1Acp1的蛋白水平,降低FGRChi3l1CYBA的表达,对RA发挥协同效应。为探究这些靶点的抗风湿功能,研究应用了接受阿巴西普治疗的RA患者PBMC样本的转录组数据。转录组数据揭示,阿巴西普可能对Hint1Acp1水平较高、Chi3l1FGR水平较低的患者具有更佳疗效(图6B)。经过三个月的阿巴西普治疗,Hint1Acp1的转录组水平有所提升,这与STE处理的CIA大鼠PBMC中相应蛋白表达的一致性进一步证实了STERA的积极影响

 

图片
图6 STE的抗风湿作用靶点

结论

结果显示,防己通过调节PI3K/Akt信号通路中的关键靶点,包括Hint1、ACP1、FGR、HSP90和Prkca,有效缓解了外周血单个核细胞(PBMCs)的炎症反应和增殖现象。这些研究成果凸显了深入探究防己抗风湿作用的必要性,并为理解其作用机制提供了新的视角,有望成为后续研究的基础

 

 

 

 

参考文献:
Chen J, Zhang A, Nie A, Zuo X, Zhang L, Jiao Y, Wang L, Yang Y, Liu K, Xue X, Zhuang Y, Meng Y, Yang JH. Multi-omics analysis to reveal the synergistic mechanism underlying the multiple ingredients of Stephania tetrandra extract on rheumatoid arthritis through the PI3K/Akt signaling pathway. Front Pharmacol. 2024 Aug 16;15:1447283. doi: 10.3389/fphar.2024.1447283

 

作者|梅斯医学
编辑 | 竹子