高血压作为一种常见慢性疾病,与内皮功能障碍密切相关。内皮祖细胞(EPCs)在维持血管内皮稳态和修复受损内皮中发挥关键作用。既往研究表明,高血压患者外周血 EPCs 数量减少且功能受损,成为阻碍内皮修复的关键因素。近年来,研究发现线粒体功能失调在 EPCs 损伤中扮演重要角色,但具体调控机制及针对性治疗靶点尚不明确。
钩藤具有平肝息风、清热解惊的功效,常用于治疗头痛、头晕、心烦、惊痫抽搐等病症,而这些症状在高血压患者中较为常见,由此可初步窥见钩藤在高血压防治方面的潜力。
近期发表于《British Journal of Pharmacology》的研究聚焦于钩藤的活性成分——钩藤碱(Rhy),深入探讨了钩藤碱作为 SIRT3 激动剂对 EPCs 线粒体损伤及高血压相关内皮功能障碍的影响。
图片
图1 论文首图
对血压及血管功能的影响
在自发性高血压大鼠(SHR)模型中,给予钩藤碱治疗后,与对照组相比,大鼠血压显著降低,且血管对乙酰胆碱的舒张反应得以恢复,血管内皮释放的扩张因子一氧化氮(NO)含量回升,而收缩因子内皮素 - 1(ET - 1)水平降低,组织病理学检查显示钩藤碱可抑制内皮退行性变、肿胀、增厚及细胞排列紊乱,减轻胶原沉积和血管壁肥厚,改善血管病理状态。
图片
图2 钩藤碱改善血管病理状态
对 EPCs 功能的改善
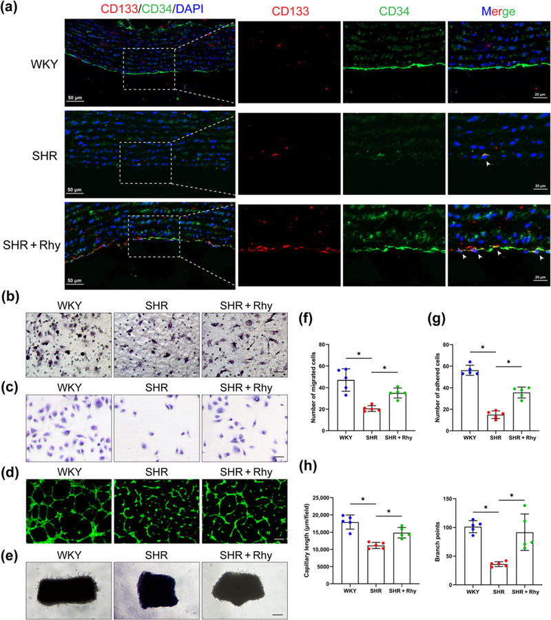
免疫荧光分析发现,钩藤碱治疗后 SHR 主动脉中 CD133+CD34+的 EPCs 数量增加,提示其可促进 EPCs 的动员。同时,从外周血分离培养的 EPCs 体外实验显示,钩藤碱显著逆转了 EPCs 迁移、黏附和血管生成功能的急剧下降,且在人骨髓来源的 EPCs 中也观察到类似效果,表明钩藤碱能够恢复 EPCs 功能并促进其动员至受损血管部位,增加外周血中 EPCs 数量。
图片
图3 钩藤碱改善EPCs 功能
对线粒体功能的调节
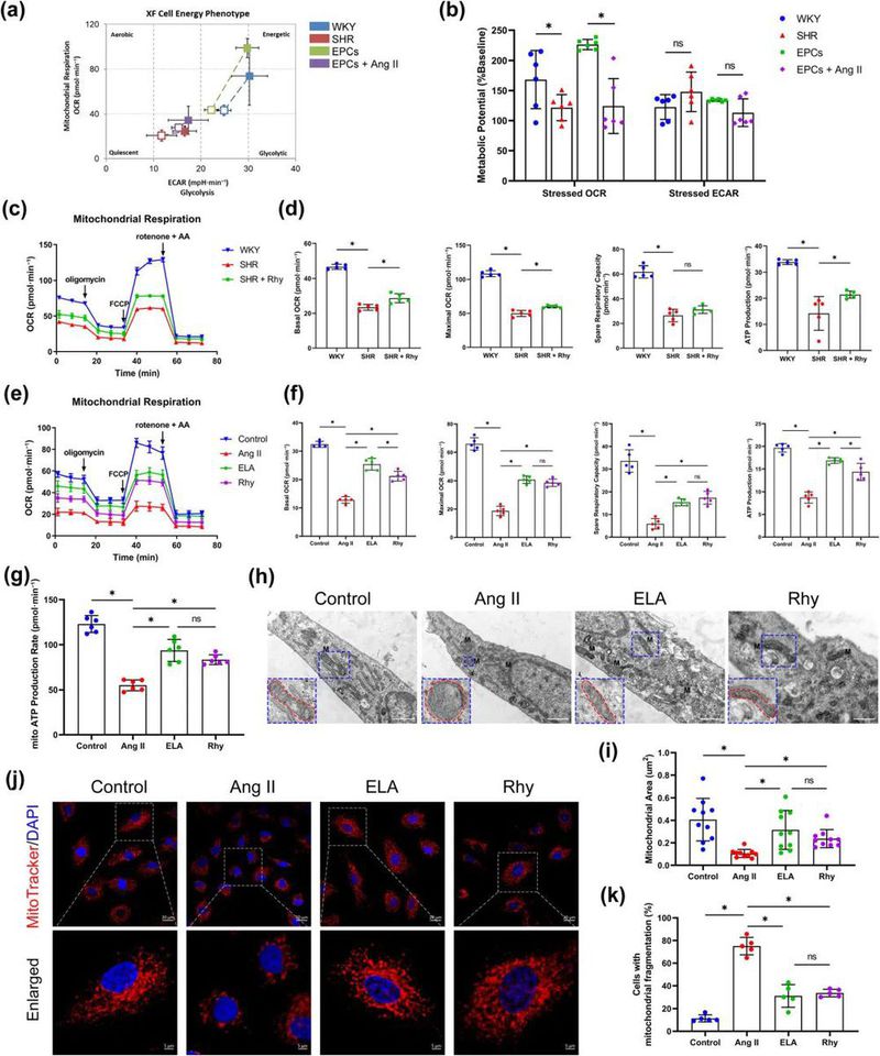
能量代谢改善 :利用 Seahorse XFe96 分析仪检测发现,与 WKY 大鼠相比,SHR 外周血 EPCs 的氧耗率(OCR)和细胞外酸化率(ECAR)均降低,表明线粒体代谢活动受到抑制。而钩藤碱治疗后,OCR 和 ECAR 增加,线粒体呼吸潜能提升,与阳性药物 ELA 效果相当,且 ATP 产生率也显著提高,说明钩藤碱增强了 EPCs 的线粒体代谢功能。
线粒体形态重塑 :透射电子显微镜观察显示,经 Ang II 处理后,EPCs 线粒体出现碎片化,外膜消失,嵴断裂或消失,而钩藤碱干预后,线粒体长度和体积增加,外膜完整,嵴排列规则。此外,MitoTracker 染色显示钩藤碱可促进线粒体延长,增加线粒体管状细胞比例,改善线粒体动态平衡和嵴形成,维持线粒体功能。
图片
图4 钩藤碱改善线粒体功能
对细胞凋亡的抑制
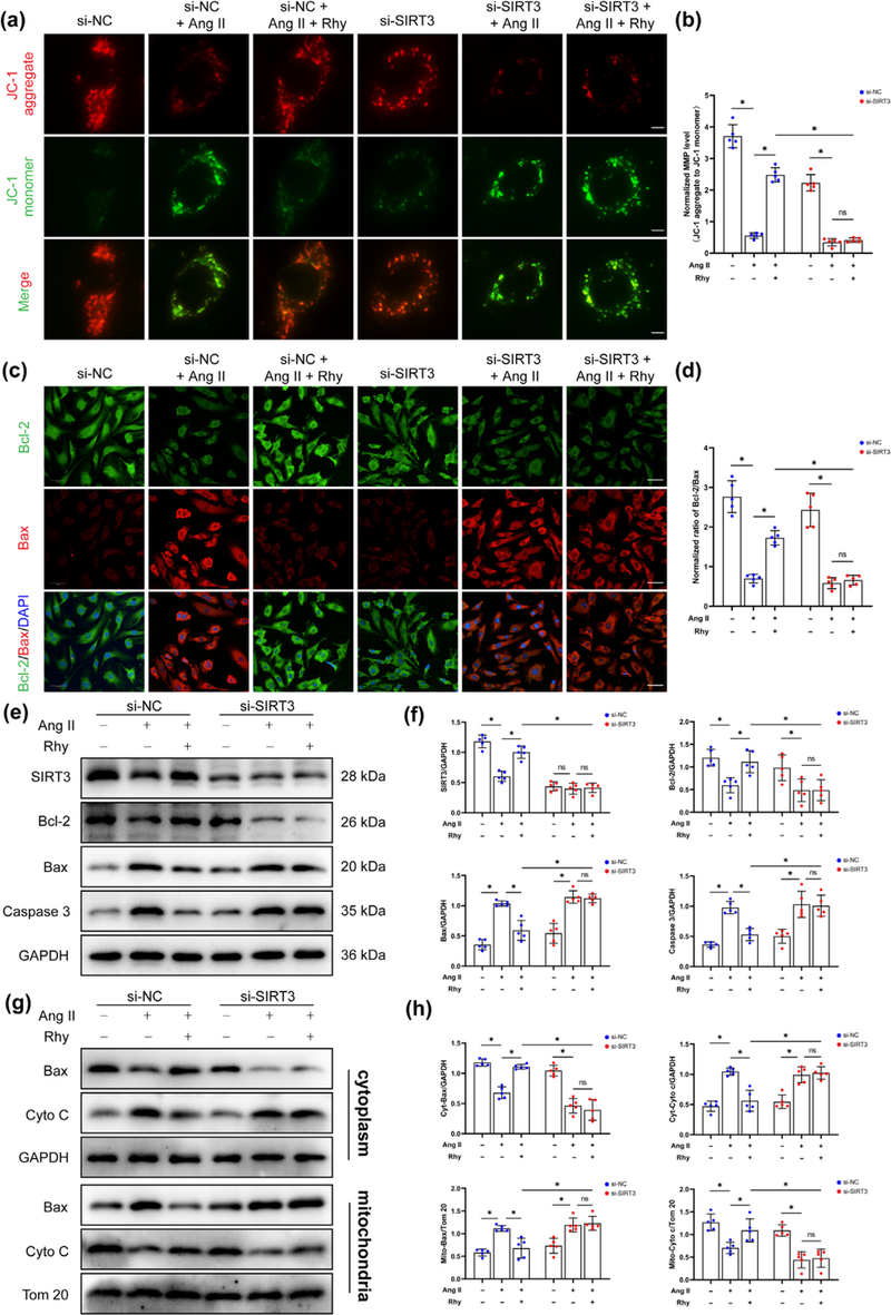
凋亡相关指标改善 :通过 JC - 1 染色检测线粒体膜电位(MMP),发现钩藤碱可显著提高 MMP 比值,表明其能缓解线粒体膜电位下降。流式细胞术检测发现,钩藤碱处理可显著降低 Ang II 诱导的 EPCs 凋亡率。
凋亡通路分子调节 :钩藤碱显著促进抗凋亡蛋白 Bcl - 2 表达,降低促凋亡蛋白 Bax 和 Caspase 3 表达。进一步研究 Bax 和细胞色素 c 在细胞质与线粒体间的转位发现,Ang II 促使 Bax 从细胞质转入线粒体,细胞色素 c 从线粒体释放至细胞质,而钩藤碱则抑制了这一转位过程,从而阻断线粒体凋亡通路。
图片
图5 钩藤碱抑制细胞凋亡
钩藤碱对 SIRT3 的激活机制
SIRT3 表达与活性提升 :免疫印迹实验显示,Ang II 使 SIRT3 蛋白表达下降,而钩藤碱呈剂量依赖性增加 SIRT3 表达。qRT - PCR 检测发现钩藤碱可促进 SIRT3 基因转录,此外,蛋白稳定性实验表明钩藤碱可抑制 SIRT3 蛋白降解,延长其半衰期。同时,钩藤碱能够增强 SIRT3 活性,降低组蛋白乙酰化水平,表明其可增强 SIRT3 的去乙酰化活性。
分子对接与相互作用验证 :分子对接实验显示钩藤碱与 SIRT3 活性口袋具有较高结合能,且结合氨基酸位点明确。表面等离子共振(SPR)实验进一步证实了钩藤碱与 SIRT3 的良好相互作用,平衡解离常数 KD 值为 5.452 μM。细胞热位移分析(CETSA)表明钩藤碱可提高 SIRT3 在 EPCs 中的热稳定性,直接结合并激活 SIRT3。
图片
图6 钩藤碱是一种强效的选择性SIRT3激动剂
SIRT3 在钩藤碱作用中的关键地位
研究通过 RNAi 技术敲低 EPCs 中 SIRT3 表达后发现,EPCs 的 MMP 显著降低,钩藤碱对 MMP 的增强作用消失。同时,敲低 SIRT3 消除了钩藤碱对 Ang II 诱导的 Bcl - 2、Bax 和 Caspase 3 表达变化的影响,并抵消了钩藤碱对 Bax 和细胞色素 c 转位的抑制作用,证实了 SIRT3 在钩藤碱抑制线粒体凋亡通路中的不可或缺性。
图片
图7 钩藤碱以SIRT3依赖的方式抑制了线粒体凋亡途径
进一步研究表明,敲低 SIRT3 损害了钩藤碱对 EPCs 线粒体呼吸的保护作用,促进了 Ang II 诱导的线粒体碎片化,且抑制了钩藤碱对 EPCs 增殖、迁移和血管生成功能的改善效果。
在动物实验中,经 AAV9 - shSIRT3 处理的 SHR 中,钩藤碱对 EPCs 的治疗效果及其对血管内皮的改善作用均被削弱,血压调节作用也消失,充分证明了 SIRT3 在钩藤碱发挥心血管保护作用中的关键作用。
图片
图8 SIRT3的抑制作用消除了Rhy对SHR内皮细胞的保护作用
SIRT3/SOD2 通路在抑制氧化应激和凋亡中的作用
鉴于线粒体超微结构异常是 ROS 过量产生的主要诱因,研究进一步探讨了钩藤碱对氧化应激的影响。实验发现,钩藤碱显著降低了 EPCs 中的细胞 ROS 和线粒体 ROS 水平,且这种作用依赖于 SIRT3 的激活。机制上,SIRT3 可去乙酰化 SOD2,增强其活性,进而清除 ROS,维持线粒体红氧平衡。
研究发现,钩藤碱降低了 SOD2 的乙酰化水平,且 SIRT3 抑制剂 3 - TYP 可抵消钩藤碱对 SOD2 乙酰化的抑制作用,同时 SOD2 活性检测也证实了钩藤碱的这一正向作用。此外,通过 RNAi 技术沉默 SOD2 表达后,钩藤碱对 ROS 和线粒体 ROS 的抑制作用以及对 Bcl - 2 和 Bax 表达的调节作用均被逆转,表明 SOD2 在钩藤碱抑制氧化应激和细胞凋亡中具有不可替代的作用。
图片
图9 SIRT3激活SOD2是Rhy抑制EPCs线粒体依赖性凋亡所必需的
小结
本研究首次揭示了钩藤碱作为一种强效 SIRT3 激动剂,对 EPCs 线粒体损伤具有显著保护作用,并能改善高血压相关的内皮功能障碍,为开发新型高血压治疗药物提供了有力依据和潜在靶点。
参考文献:
Lin L, Sun B, Hu Y, Yang W, Li J, Wang D, Zhang L, Lu M, Li Y, Li Y, Zhang D, Li C. Rhynchophylline as an agonist of sirtuin 3 ameliorates endothelial dysfunction via antagonizing mitochondrial damage of endothelial progenitor cells. Br J Pharmacol. 2025 Mar 31. doi: 10.1111/bph.70032. Epub ahead of print. PMID: 40164963.
作者|梅斯医学
编辑 | 逅思