慢性伤口(CW)系指受多种内外因素作用,无法通过常规、有序、及时的修复机制恢复解剖与功能的完整性,进而陷入病理炎症反应状态的伤口。当前,我国慢性伤口的病因构成已由传统的创伤转变为以慢性疾病为主,对患者的工作能力及生活质量造成显著的不利影响。

 

石香膏的组方包括炉甘石、乳香、没药、煅龙骨、赤石脂、栀子和冰片等中药成分。在研究石香膏对慢性非愈合创面的影响时,CD31、FN(纤维连接蛋白)和VEGF(血管内皮生长因子)被视为关键因子。据推测,FN通过其促进血管生成和细胞增殖的效应,对创面愈合具有积极的推动作用;而VEGF则通过促进血管生成和调节炎症反应,对创面愈合过程产生影响。此外,CD31在创面愈合的调控中扮演重要角色,它通过抑制炎症反应和促进血管生成的方式,对FN和VEGF的表达水平进行精细调控。这一复杂的调节网络在创面愈合过程中起着至关重要的调控作用。

 

一篇发表在《Traditional Medicine Research》杂志,名为“Study on the effect of Shixiang plaster on the expression of CD31, serum FN, and VEGF in a rat model with chronic wounds”的文章探究了石香膏对于慢性难愈合性创面的积极作用。

图片

图1 论文首页

创面形态观察

在第三天,模型组的创面恢复面积相对较小;相比之下,石香膏组的恢复面积较贝复济组更为显著。与模型组相比,石香膏组和贝复济组的伤口愈合率均显著升高。此外,贝复济组的伤口愈合率较石香膏组有所下降。

在第七天,模型组的创面大部分尚未结痂;贝复济组有少部分创面未结痂,而石香膏组的创面则已全部结痂。与模型组相比,石香膏组和贝复济组的伤口愈合率均显著升高。分析显示,贝复济组的伤口愈合率与石香膏组相比,没有显著变化。

至第十四天,模型组的创面虽已结痂,但红肿现象依然明显;贝复济组的创面较石香膏组更显红色。在此期间,石香膏组的大部分伤口已恢复。与模型组相比,石香膏组和贝复济组的伤口愈合率均显著升高。此外,两组之间的伤口愈合率并未呈现显著差异。

研究使用NIH Image J图像分析软件对伤口面积进行了精确测计,并依据计算公式:创面愈合率%=[(初始创面面积一观察日创面面积)/初始创面面积]x100%,得出了准确的创面愈合率(图2, 3)。

 

图片

图2 各组大鼠不同时间段的伤口愈合情况

 

创面组织HE染色观察

在模型组观察中,创面在第三天呈现出显著的炎性细胞积聚现象,而随着时间的推移,至第七天和第十四天,皮肤组织中的炎性细胞浸润现象逐步减少。至第十四天,表皮细胞已覆盖创面组织,但连续性略显不足。相比之下,石香膏组在第三天即观察到创面组织中出现大量炎症细胞,并伴随大量肉芽组织的形成。至第十四天,皮肤组织中的表皮鳞屑已基本消失,皮损处的表皮厚度相较于模型组明显变薄,炎性细胞浸润也显著减少,创面恢复状况良好。
此外,石香膏组在第十四天的皮肤组织中,表皮厚度进一步变薄。贝复济组则在第三天表现出皮损处表皮较厚的特点,炎性细胞浸润较模型组略为减少。随着时间的推移,至第七天和第十四天,皮肤组织中的表皮鳞屑基本消失,皮损处表皮厚度较模型组明显变薄,炎性细胞浸润明显减少,表皮细胞覆盖创面组织,并呈现出良好的连续性(图4)。

 

图片

图4 不同时间段大鼠创面组织的HE染色

 

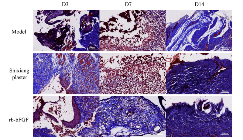
创面组织Masson染色观察

通过应用Masson染色技术,研究系统地评估了创面组织中真皮层胶原纤维的演变过程。Masson染色技术以其独特的染色特性,能够将胶原纤维清晰地显示为蓝色,从而准确反映创面胶原纤维的形成状态。在创伤发生后的第三天,各组创面的蓝色染色均呈现较浅的状态,其中石香膏组的染色深度相对最深。
创伤后第七天,石香膏组和贝复济组的创面蓝色染色显著增多,且颜色加深,显示出丰富的胶原纤维,这些纤维排列整齐紧密,显示出良好的愈合态势。至创伤后第十四天,模型组的创面蓝色染色明显减少,颜色较浅,表明胶原沉淀不足,同时组织基质显得较为疏松。相对而言,石香膏组的蓝色染色依然深且多,显示出胶原纤维的丰富性,组织基质紧密;而贝复济组的蓝色染色也较多,但组织基质的紧密度较石香膏组略为稀疏(图5)。

 

图片

图5 不同时间段大鼠创面组织的Masson染色

ELISA法测定血清中FN及VEGF含量

 

在对比石香膏组与模型组的实验中,研究观察到在第3天、7天、14天的时间点上,FN的表达呈现上升趋势。其中,第3天的差异并未达到统计学意义上的显著性,然而在第7天和第14天,这种差异变得具有统计学显著性。相似地,在贝复济组与模型组的对比中,FN的表达在第3天、7天、14天均有所升高。然而,前两个时间点的差异并未表现出统计学显著性,而第14天的差异则具有统计学显著性。

此外,研究还对皮肤损伤修复相关因子VEGF的表达进行了检测。在3天的时间点上,与模型组和贝复济组相比,石香膏给药后的VEGF表达量处于最低水平。然而,到了7天的时间点,与模型组相比,石香膏组和贝复济组给药后的VEGF表达量均显著上升,两组之间的差异并未达到统计学意义上的显著性,但模型组的VEGF表达量开始呈现下降趋势。在14天的时间点上,三组血清中VEGF的表达量均处于较低水平,且各组之间的差异并未达到统计学显著性(图6)。

 

免疫组化检测

为精确评估创面新生血管的形成情况,研究采用免疫组化染色技术,对多个时间点下各组创面的新生区域进行了血管内皮细胞标记物CD31的标记。结果显示:在第三天,相较于模型组,石香膏组和贝复济组在新生皮肤区的CD31阳性率均未呈现出明显的统计学差异。然而,到了第七天,与模型组相比,石香膏组和贝复济组的新生皮肤区CD31阳性率均出现了显著的上升。在观察的第14天,石香膏组与模型组相比,新生皮肤区的CD31阳性率显著升高,而贝复济组则未显示出明显的统计学差异。此外,将石香膏组与贝复济组在14天时的数据进行对比,可见贝复济组的新生皮肤区CD31阳性率显著高于石香膏组(图7、图8)。

 

图片

图7 不同时间段大鼠创面组织不同部位的CD31免疫组化染色

 

图片

图8 不同时间段大鼠创面组织的CD31表达

 

结论
综上所述,CD31、FN以及VEGF共同形成了一个错综复杂的调控网络。具体而言,FN通过促进血管生成和细胞增殖来加速伤口愈合,而VEGF则通过其促进血管生成和调节炎症反应的功能来影响伤口愈合过程。同时,CD31通过抑制炎症反应和推动血管生成来调节FN和VEGF的表达,从而进一步强化了这一调控网络在伤口愈合中的核心作用。

 

参考文献:

Ji Fei, Ling-Li Wang, Man Liu, Peng Liu, Jing-Hua Ruan, Kai-Wei Zhang.Study on the effect of Shixiang plaster on the expression of CD31, serum FN, and VEGF in a rat model with chronic wounds.Traditional Medicine Research.2024, Vol.9| Issue(12): No.70 ,DOI:10.53388/TMR20240212002

 

作者|梅斯医学
编辑 | 竹子