类风湿关节炎(RA)是一种全身性自身免疫疾病,其临床病理特征表现为关节持续炎症和随之引发的骨组织侵蚀,严重影响患者生活质量。当前主流治疗虽有助于控制炎症,但针对骨侵蚀的有效疗法依然缺乏,且常伴副作用。
本研究发表在2025年Chinese Medicine期刊,系统评估了传统中药复方通痹汤(HT)在RA骨侵蚀防治中的效果及机制。研究结合体内AIA大鼠模型、血清药化学、网络药理学及多组学技术,多层次阐明了HT活性成分、作用靶点和关键分子通路,为HT的临床应用及新药开发提供理论支撑。
图片
背景
RA的病理进程中,骨侵蚀是不可逆关节损伤的主要原因,核心介质为破骨细胞(osteoclasts,OCs),其异常活性导致局部骨质破坏。尽管目前有疾病修饰抗风湿药(DMARDs)及生物制剂,针对促进骨侵蚀的机制并未充分干预,且副作用限制了其应用。因此,开发兼具抗炎与骨保护作用的多靶点天然药物成为迫切需求。
通痹汤,源于中医经典方剂温痛汤(Wutou Tang)与丹参、川山龙等活血化瘀药材优化组合,临床显示对RA相关症状有良好辅治作用。但其活性成分、分子靶点及对骨侵蚀的作用机制仍未明晰。鉴于中药配伍复杂,基于血清药化学与网络药理学的系统分析,结合多组学数据,将助力破解通痹汤的作用网络。
结果
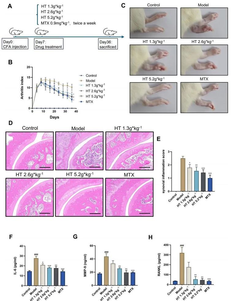
1.通痹汤减轻关节炎和骨侵蚀
采用免疫原性佐剂诱导的关节炎(AIA)大鼠模型,HT在1.3、2.6和5.2 g/kg三个剂量显著抑制关节肿胀,降低关节炎指数(AI),改善体重及内脏器官指数,显示整体抗炎效应。组织学检查显示HT减少滑膜增生和炎症细胞浸润,维持关节结构完整。关节软骨Safranin O染色结果提示其有效阻止软骨基质降解。TRAP染色显示HT显著降低破骨细胞数量,有效缓解骨侵蚀。
图片
HT显著减轻AIA大鼠关节炎症状及炎症评分
骨质微结构CT分析进一步证实HT减少骨边缘侵蚀,改善骨密度和骨体积比。血清促炎因子IL-6及破骨相关因子MMP-9、RANKL水平均下降,提示HT调控炎症及骨重塑环境。
2.筛选HT主要活性吸收成分及靶点
通过LC-MS/MS分析HT及服用后大鼠血清,鉴定出110种吸收成分,其中44种一级鉴定成分与副标准相符。利用PubChem和SwissTargetPrediction数据库,预测出753个潜在靶点。
图片
HT减少AIA大鼠软骨损伤和骨侵蚀表现(Safranin O染色、TRAP染色及Micro-CT)
通过筛选RA相关差异表达基因(GEO数据库GSE55235)与HT靶点交集,获得89个关键靶点。PPI网络构建表明TNF、PPARG、PTGS2(COX-2)、MMP-9等分子居核心位点,且GO/KEGG富集分析显示HT靶点涉及IL-17、NF-κB和B细胞受体等信号通路。
3.典型活性成分与关键靶点分子对接
分子对接证实Salvianolic acid A、4-甲氧基肉桂酸、Pratol等成分与MMP9、PPARG等关键蛋白具有良好结合亲和力,结合能普遍低于-5 kcal/mol,提示可能有效调节靶分子功能。
图片
HT吸收成分质谱图及成分重叠分析
4.体外实验验证HT抑制破骨分化
采用RAW264.7细胞,利用含HT血清和RANKL诱导破骨分化,HT不影响细胞活力,但显著抑制破骨多核细胞形成,TRAP染色显示其破骨能力下降,且呈剂量依赖性。阳性对照药佐来膦酸(ZOL)显示良好抑制效应。
图片
HT活性成分与RA相关靶点网络及GO/KEGG通路富集
5.多组学揭示分子机制
(1)RNA测序显示HT血清组减少破骨相关基因表达如Tnf、Mmp9、Ptprc、Jun、Cxcr4。KEGG富集结果提示MAPK、PI3K-Akt、破骨分化通路受到调控。
(2)代谢组学分析通过PCA和OPLS-DA区分对照组、模型组及HT组,发现HT使骨吸收细胞代谢特征部分恢复。62种差异代谢物显著变化,特别是降低了枸橼酸水平,提升花生四烯酸(AA)含量。KEGG分析富集AA代谢、甘油磷脂代谢和PPAR信号通路。
(3)综合多组学与网络药理学证据,HT抑制破骨产生的机制涵盖PPAR通路激活、NF-κB信号通路抑制、以及调节AA代谢网络。蛋白质印迹确认关键蛋白表达变化,验证了转录与代谢层面数据。
研究价值与意义
本研究系统阐明通痹汤在RA实验模型中,通过多靶点、多通路协同作用,有效抗炎并保护骨结构完整。HT成分多样,通过血清药化学识别其吸收活性化合物,并利用网络药理学锁定与RA相关核心靶点,结合分子对接验证实际结合亲和。体内外结合多组学验证其抑制破骨细胞分化的机制,涵盖经典骨代谢途径(NF-κB、PPAR信号及AA代谢等)。此多维度机制解析强调中药复方药效的复杂性及优势,且为RA骨侵蚀的防治提供新策略,特别适合复合调节免疫-代谢-骨代谢网络。
此研究构建了传统中药对复杂疾病干预的现代机制学框架,为后续临床转化和新药研发奠定理论基础,同时启示未来可探究PTMs调控、细胞异质性及动物模型长期骨保护效应。

 

来源|中医科新前沿
作者|梅斯医学
编辑 | 逅思