健康产业创新服务平台
资讯
业务发展与探索
数字化与科技创新
先锋科研
政策动态
研报专区
找我合作
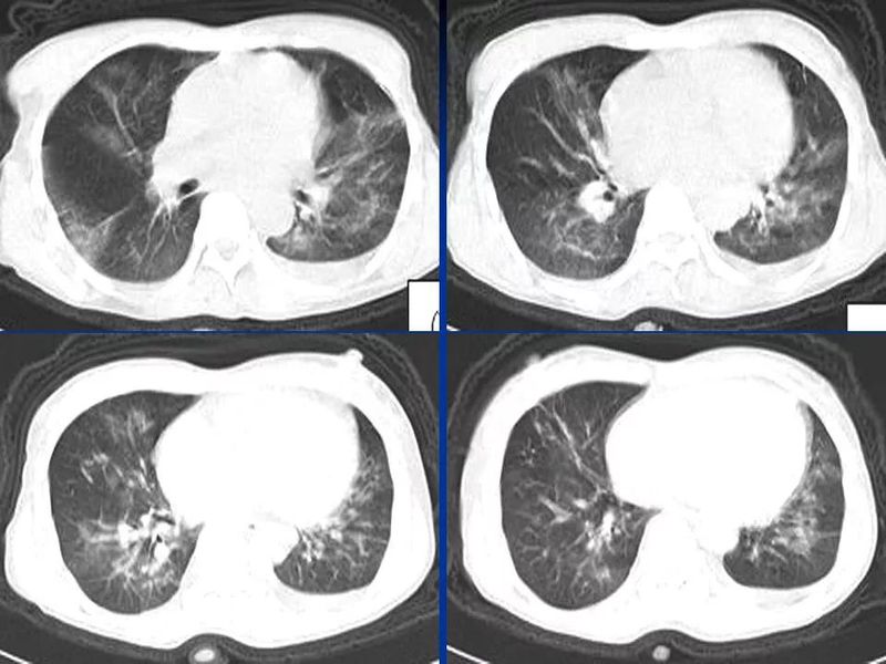
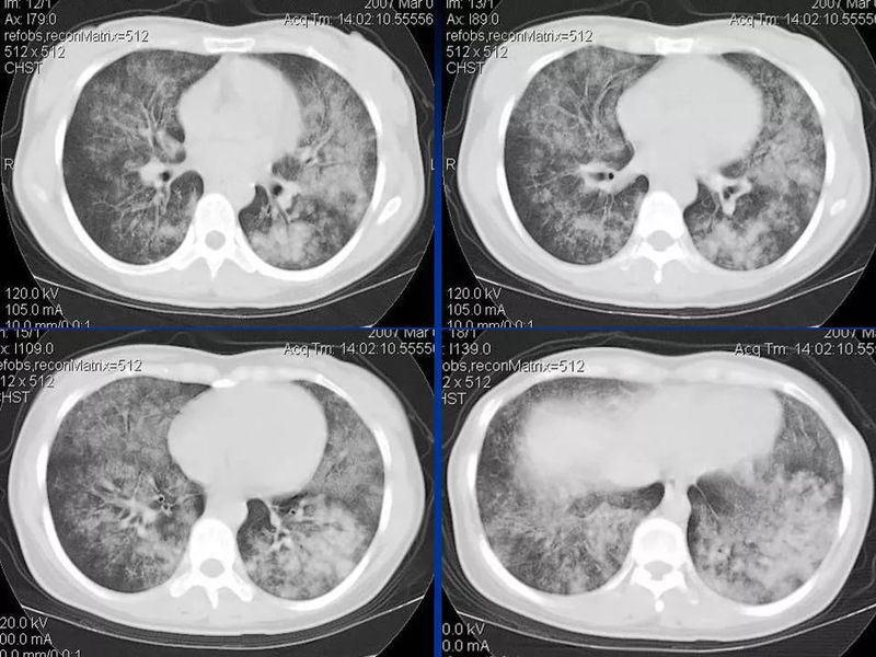
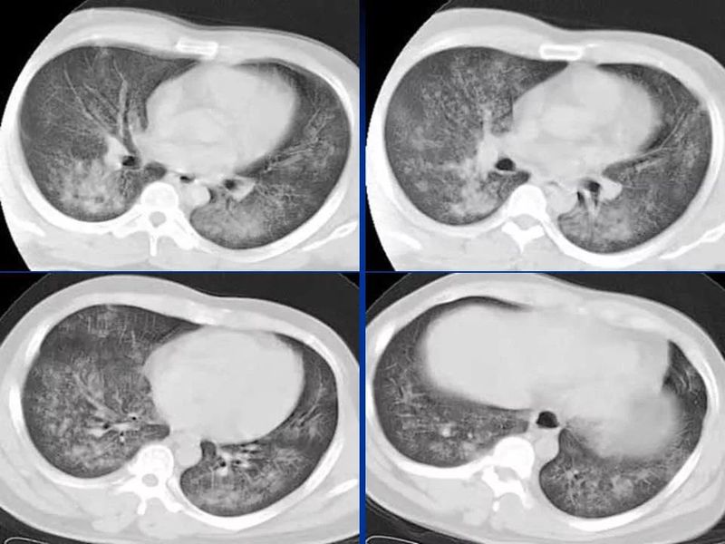
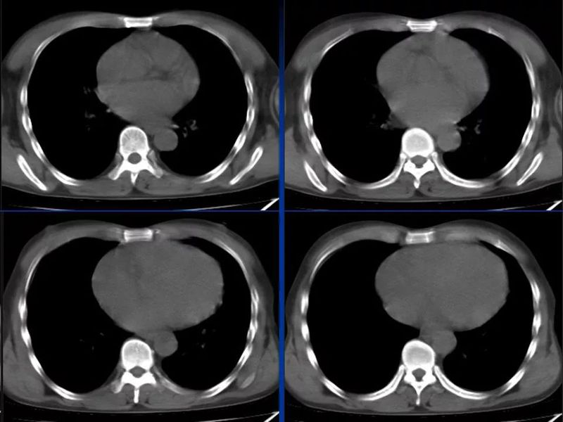
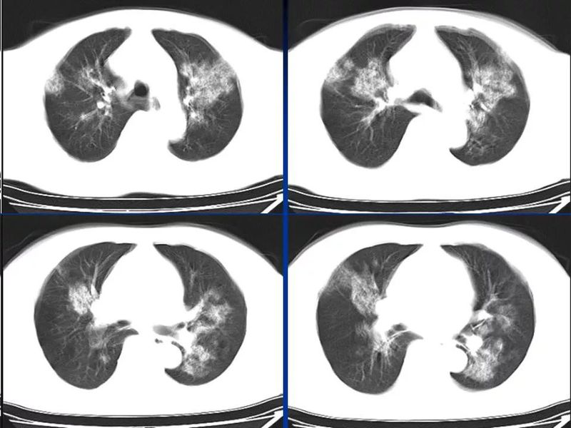
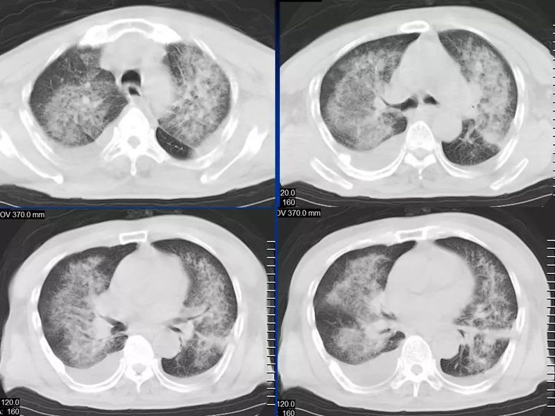
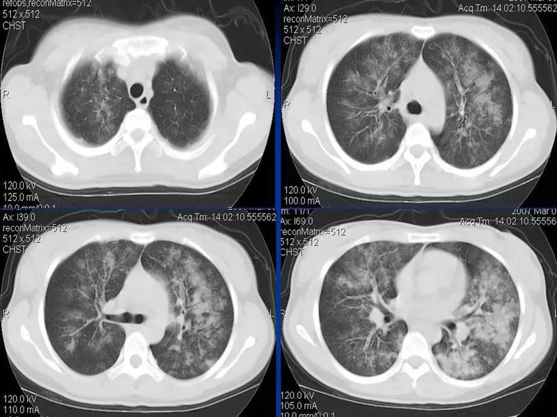
主任提醒:这个病很容易误诊为肺炎!
Oct. 7, 2024
来源:新乡医学影像
编辑:Yan
梅斯呼吸新前沿
最近内容
查出6年了的肺偏实性结节,缓慢进展要不要积极切除?
400多人挤爆医院急诊科!「雷暴哮喘」高发季来了,这3类人群要警惕→
哌拉西林钠他唑巴坦钠:强效抗感染“组合拳”,这7大用药关键点你必须知道!
ERS 2025 | 中国之声:361项研究入选!共擘呼吸领域新篇
重磅!首款“first-in-class”新药获批,开启非囊性纤维化支气管扩张症治疗新时代!
▍
推荐文章
Chinese Medicine:针灸治疗白癜风的分子机制新解析
突破性进展!天津中医药大学发布:夏枯草提取物缩小心梗面积、改善心功能,或改写急性冠脉综合征防治指南!
柳叶刀-肿瘤学 | 中英癌症防控联盟成立,旨在解决两国共同面临的重大癌症挑战
Chinese Medicine:靶向 PPP2CA/ITGA5 轴,雷公藤甲素抑制乳酸驱动卵巢癌进展的新机制