前言:我经常说,其实对于肺磨玻璃结节,如果随访过持续存在,则多是恶性范畴的,性质的判断并不太难。真正难的是如何把握干预的时机!既不想过早手术,又不想延误病情。以前我自己的考虑也是“微浸润性腺癌是最好的干预时机”,但自从碰到一例考虑微浸润性腺癌的病例,而他居然已经随访了10年了,仍无进展,让我又对这一想法产生了怀疑(点击阅读:经验积累(2024.7.22):那些改变我肺结节诊疗理念的经典案例之——考虑微浸润性腺癌并不一定就要尽快手术!)。所以我近年来不断呼吁不要纠结于术后病理,而是基于术前影像上风险的高低来选择手术的时机(点击阅读:个人观点(2022.2.26):肺结节治疗新视角--淡化病理类型,以风险大小决定治疗指征)。前段时间有位结友找我看,虽然她的肺结节仍是磨玻璃密度,但我却建议其可以考虑手术了,那么是为什么呢?
简要病史:

患者安徽人,女性,37岁,检查发现肺结节3年。没有症状,病灶也未见明显增大,近期曾在浙一医院复查,后来到杭州市一医院找我看,我觉得至少是微浸润性腺癌,建议她可以考虑手术了。
影像展示与分析:

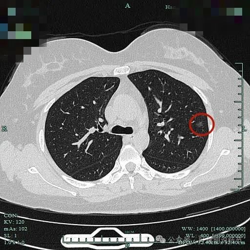
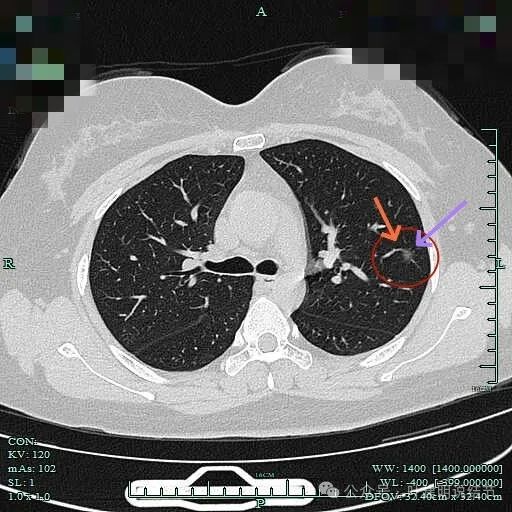
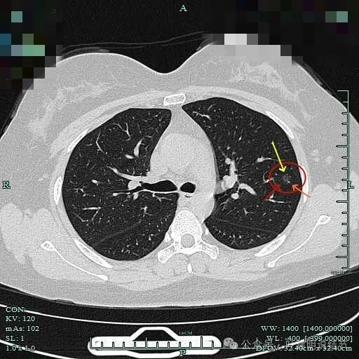
病灶出现,密度较纯,便边缘明显欠平整。

病灶小却边缘毛糙有毛刺,也见血管穿行的样子,表面不平,整体轮廓清。

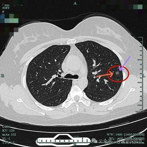
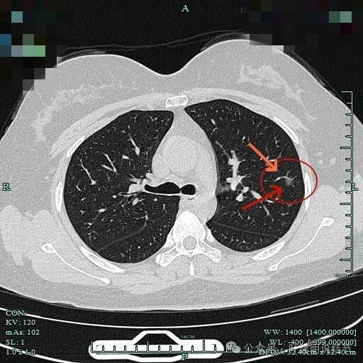
见明显血管进入以及血管穿行于病灶内,边缘有细毛刺征,整体轮廓较为清楚。

血管贴边走行,并形成血管弯征。灶内密度略不均。

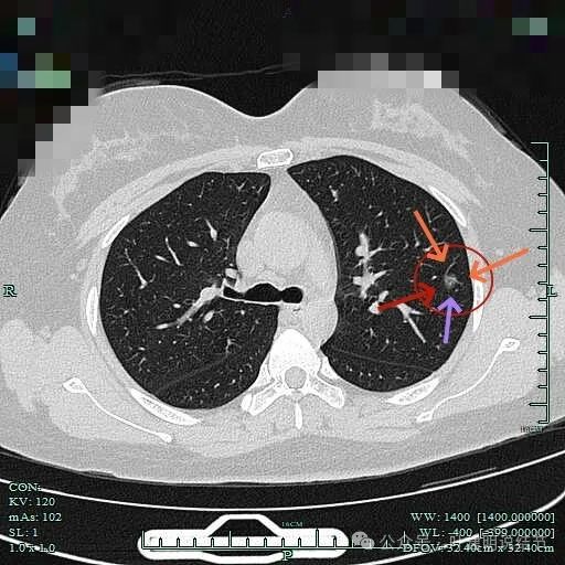
血管改变走行,边缘毛刺。

边缘区域病灶有微小血管进入,也有细支气管扩张征。
影像印象与临床考虑:
左肺这个病灶虽然不大,但这么小的而且没有纵隔窗可见的实性成分情况下,却有以下倾向风险高的影像特征:1、细毛刺征;2、血管穿行;3、血管弯征;4、邻近血管改变走行方向进入病灶;5、灶内细支气管扩张。这些都说明病灶一是对血供有要求,二是有与密度明显不符的收缩力和对周围结构的影响力!所以我认为此灶一是必为恶性,二是至少是微浸润性腺癌,也可能会是浸润性腺癌。再加上随访持续存在以及位置靠肺外周能楔形切除,所以建议她切了放心。
最后结果:
结友没有选择回原来检查的浙一医院手术,在市一医院住下要我们团队为其手术。

标本剖面鱼肉样,质较硬。

术中病理报:腺癌,以贴壁生长为主。

常规病理报:浸润性腺癌,贴壁生长型70%,腺泡型30%。
感悟:
肺结节随访还是干预,这是个不同医生各有不同想法的事,由于术后病理若确实是肺癌,切掉都是合乎规范与指南的。但在肺磨玻璃密度肺癌越来越常见,多原发早期肺癌越来越常见的今天,如何选择合适的干预切除时机却是更为重要的。因为有些病灶是癌,但多年也不进展;因为有些病灶是癌,早切与晚点切也没有什么差别;因为有些病灶是癌,随访中它没长,反而新又检出长得更快的。再加上腺体前驱病变的诊断并不能依影像做到百分之百准确,病理的诊断也要完全取材,穿刺小标本不能诊断。甚至同样是纯磨玻璃密度的结节,影像形态类似,术后病理可以不典型增生、原位癌、微浸润性腺癌、浸润性腺癌都有可能。所以从术前影像细节上判断风险高低,再加上随访进展有无,结合位置等来综合评估决定是否干预,应该较以病理类型来决定更具可操作性与合理性。