前言:肺实性结节的诊断要比磨玻璃结节难多了!不单是影像表现更复杂,关键是若真恶性,你判断考虑良性会延误病情,影响预后。而磨玻璃密度结节却即使恶性,观察下也没啥事,因为发展慢,尤其是纯磨玻璃密度的话,更不影响预后。所以呀,实性结节的影像判断更要我们细致些,再细致些,要找到蛛丝马迹来佐证其到底是良性还恶性可能性大。今天分享的这位结节是网络咨询的,我认为很大的概率就是恶性的,而且恶性程度不低,需要更加积极的干预与处理。
病史信息:
基本信息:
男性,34岁 。
主诉:
检查发现肺结节。
现病史:
患者检查发现肺结节,无发热,无胸痛胸闷,无头晕头痛,无腹痛腹胀,今为求进一步诊疗来诊。
希望获得的帮助:
想看下片,该上的资料都上了。 麻烦叶主任看看这个结节,只信任您了!
影像展示与分析:
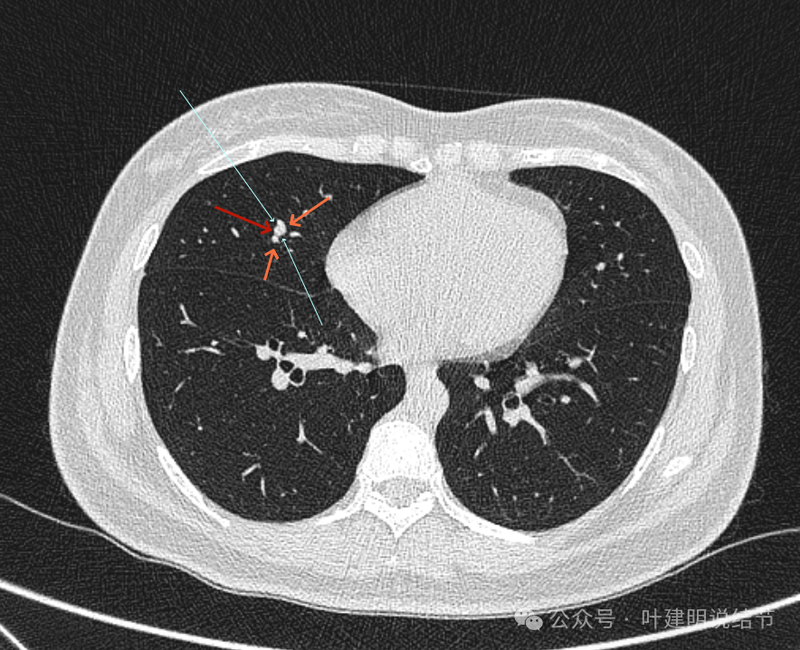
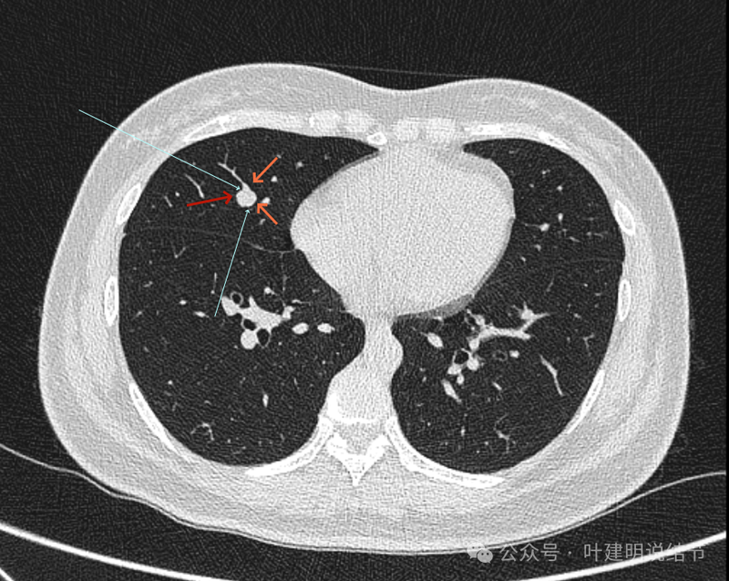
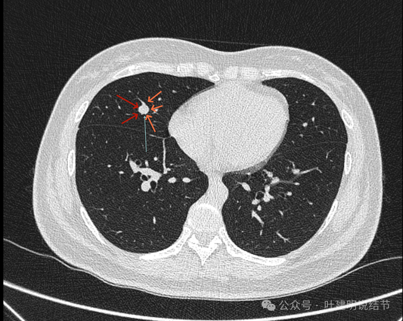
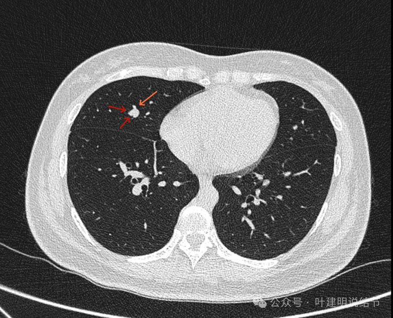
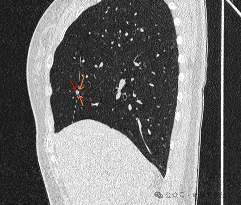
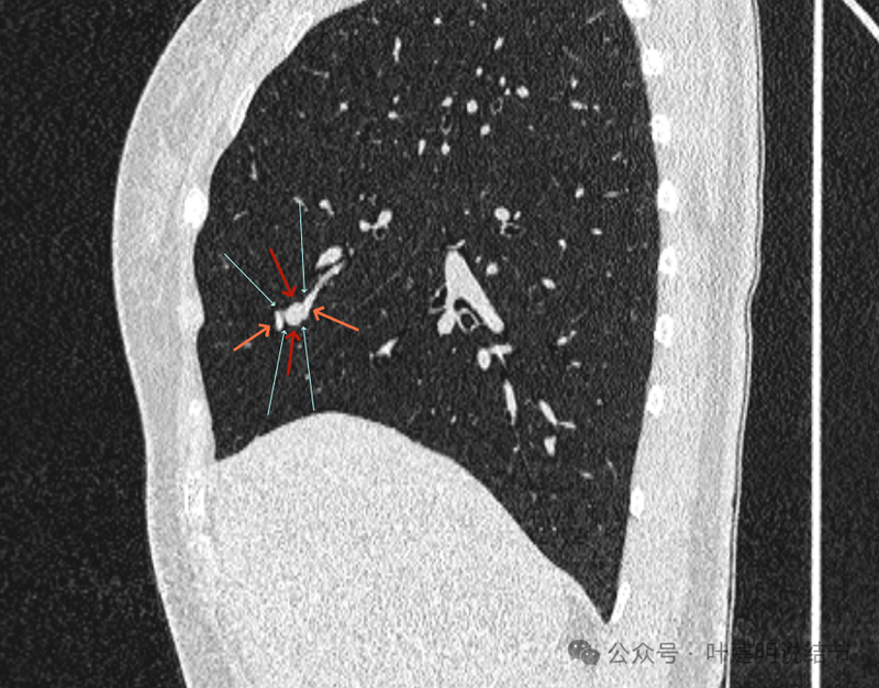
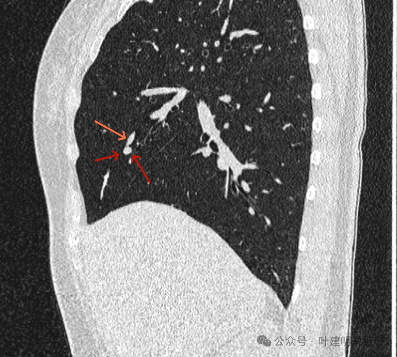
先看横断位的影像:

病灶出现,图上标注的桔色箭头所指的是肺血管;红色箭头所指的是病灶;天蓝色细线指的是血管与结节之间的间隙。病灶实性,与血管挨得近,但没有紧贴或侵犯。

病灶与血管间仍有低密度线状,血管在此处刚好分叉似的。

病灶有膨胀性,血管贴得近。

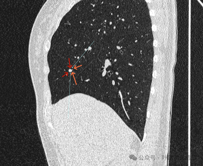
似乎见血管围着结节灶,两者紧贴,密度略有不同,导致上图中血管受压成细条状,病灶是软组织密度。

看着像靠心脏这一侧的半圈是血管受压形成的包膜似的,但靠胸肋侧没有血管,所以略偏白些的血管影在外侧见不见,外侧见到的是病灶的边缘,比较光滑,两者之间密度不同(天蓝色细线所指是两者分界,虽紧挨却密度不同)。

上图也示病灶与血管的关系。

上图像病灶位于中央,周围有三支不同血管围着它。

确实是三支血管围着病灶,中间的是结节,另三处均是血管。
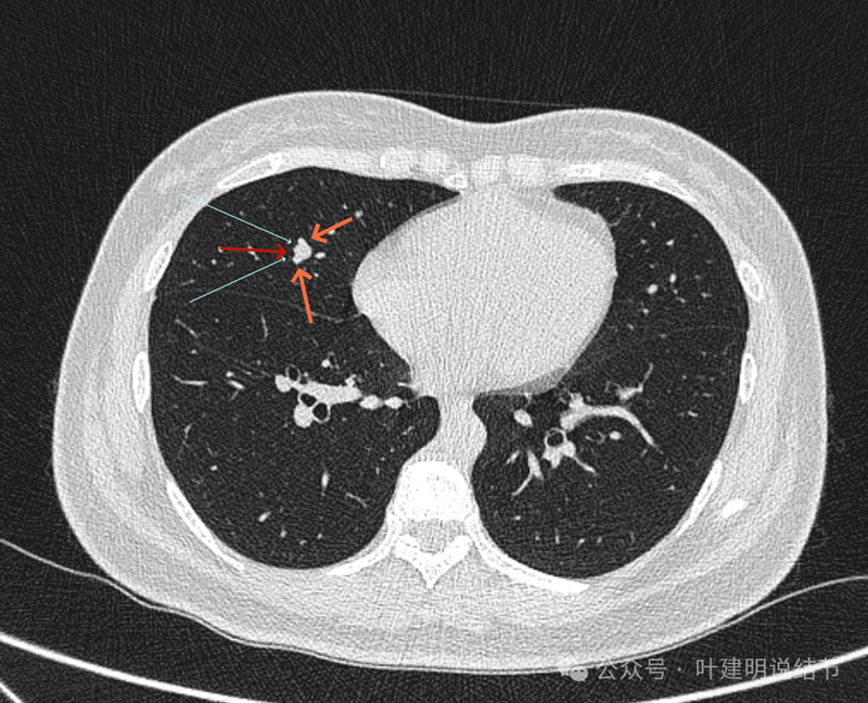
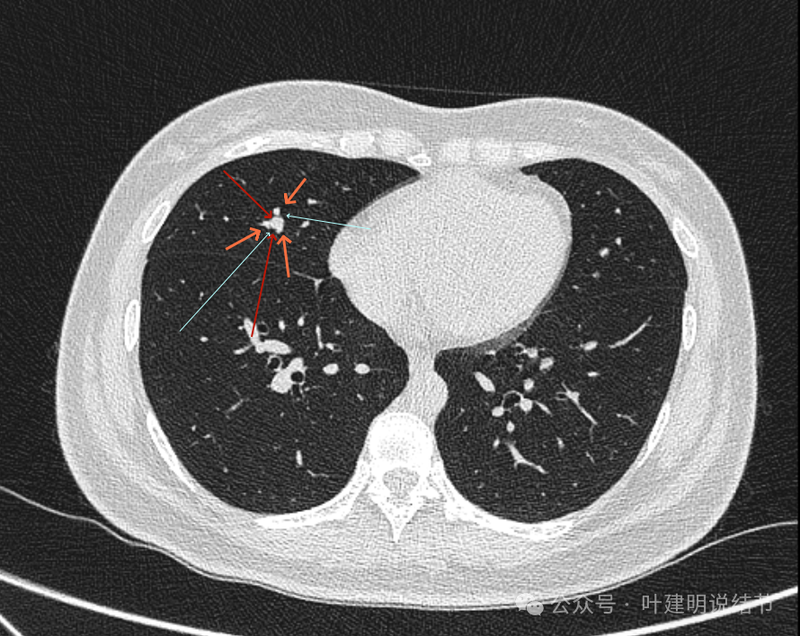
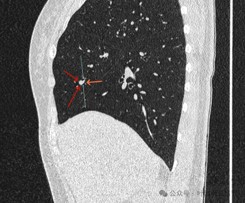
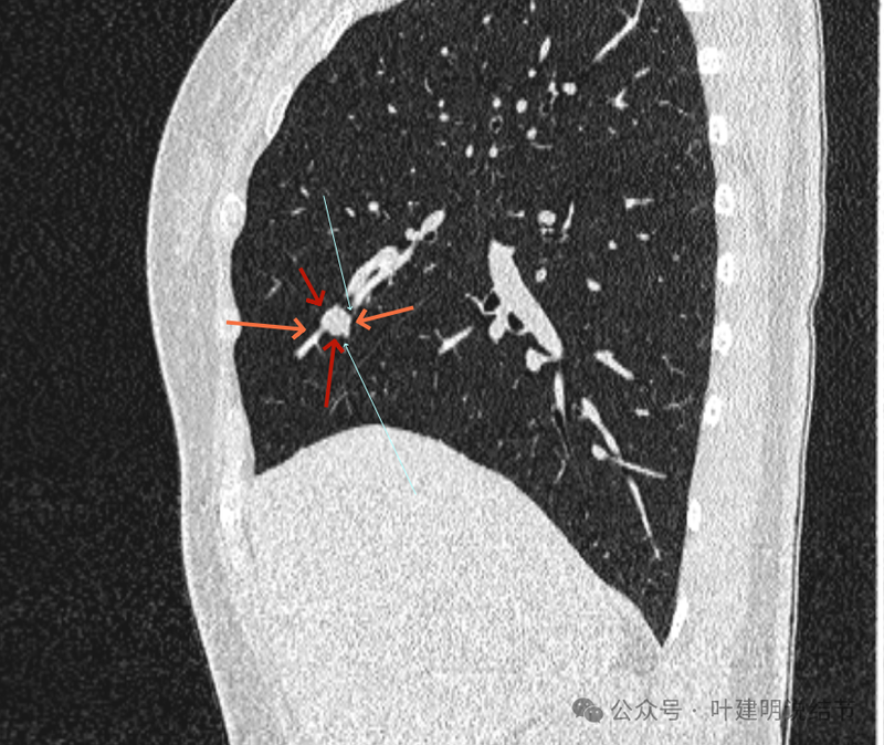
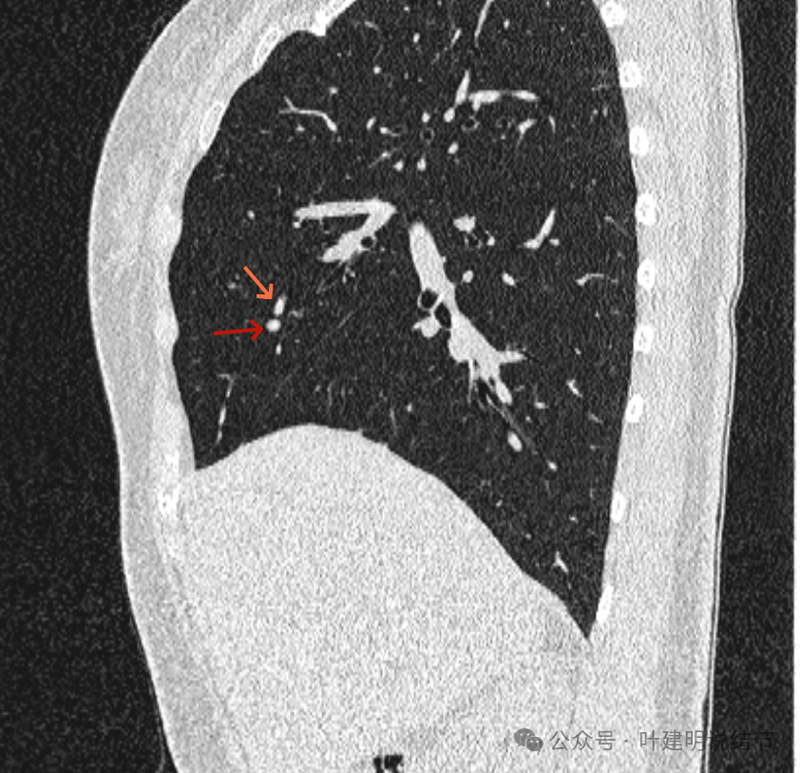
再看矢状位影像:

桔色的是血管,红色的是病灶,两者之间有间隙仍用天蓝色细线标注。

紧挨但仍有缝隙的。

血管贴着病灶,病灶表面略有毛糙之处。

血管有形成轻微血管弯征,两者紧贴。

两支血管夹着病灶,密度不同,有低密度间隙。

病灶与两侧血管关系均密切,明显觉得密度是不一样的,血管的密度略高,结节的略低。

病赤与血管在蓝色箭头处失去间隙,像是侵蚀血管壁,造成血管受侵犯破坏。病灶是软组织密度的,而且整体看有膨胀感。

病灶密度稍不均。表面不光滑。

病灶与边上血管间隙不清。

桔色箭头所示的血管受压稍有移位。

密度不同,关系密切。

边缘区域也是有膨胀感。

血管与病灶脱开后的样子。

边缘区也是基本上实性的。
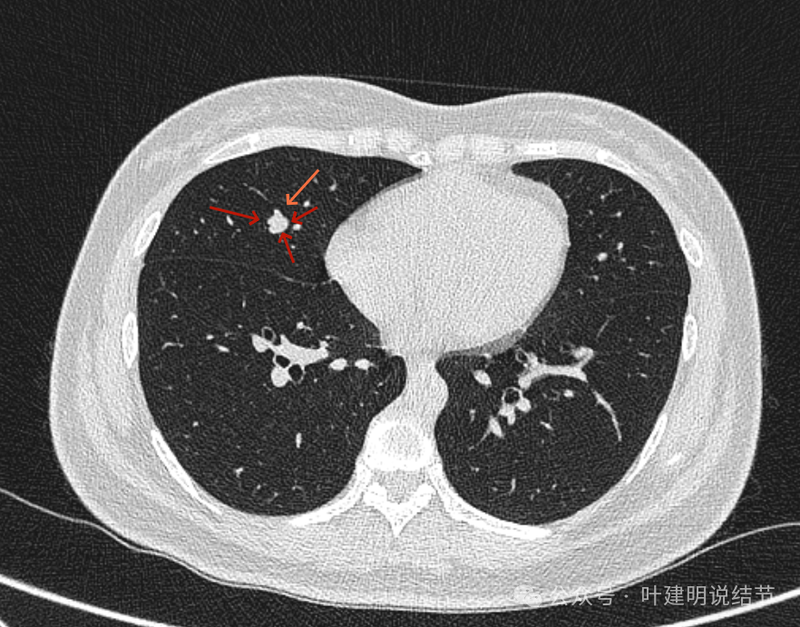
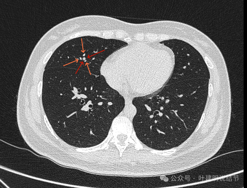
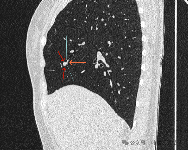
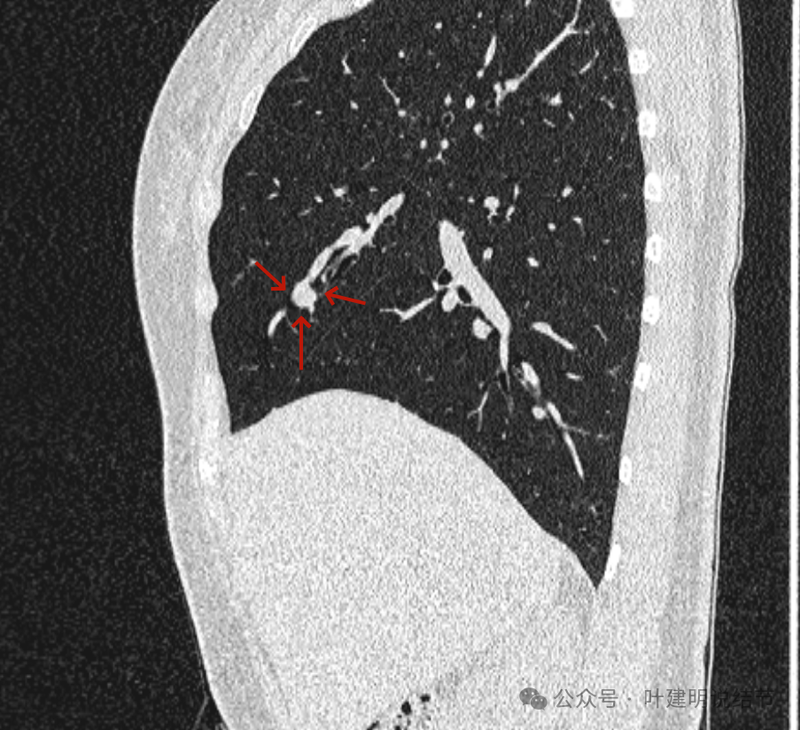
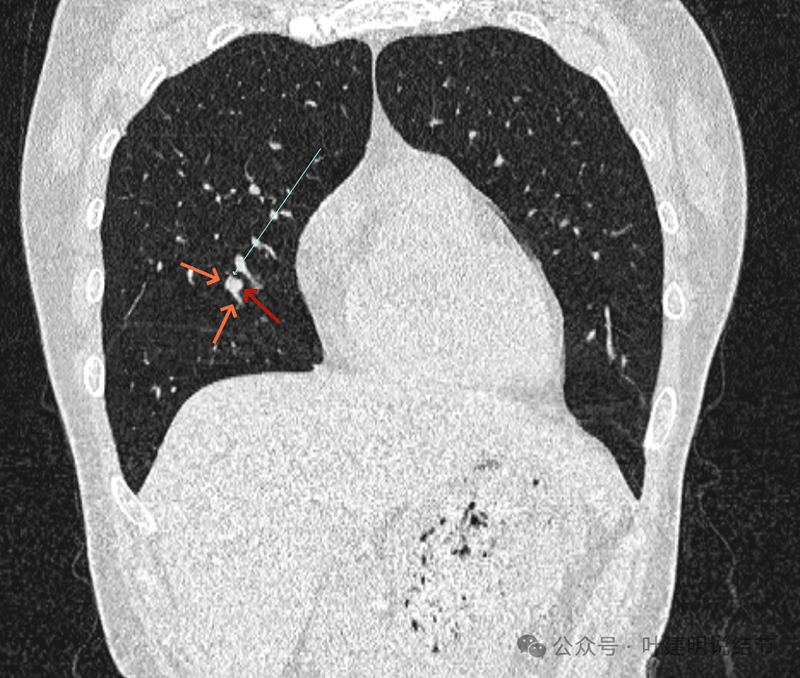
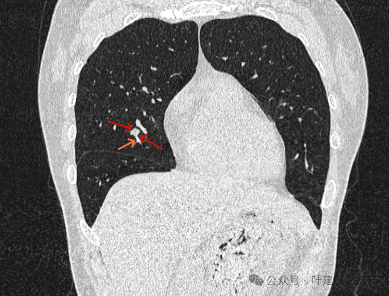
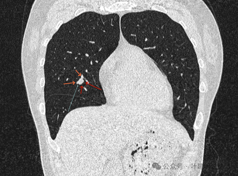
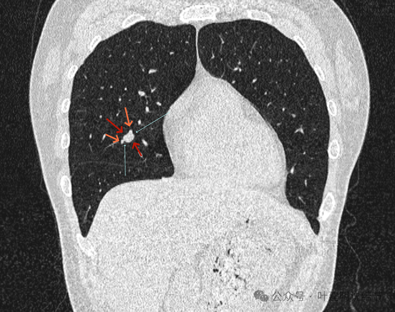
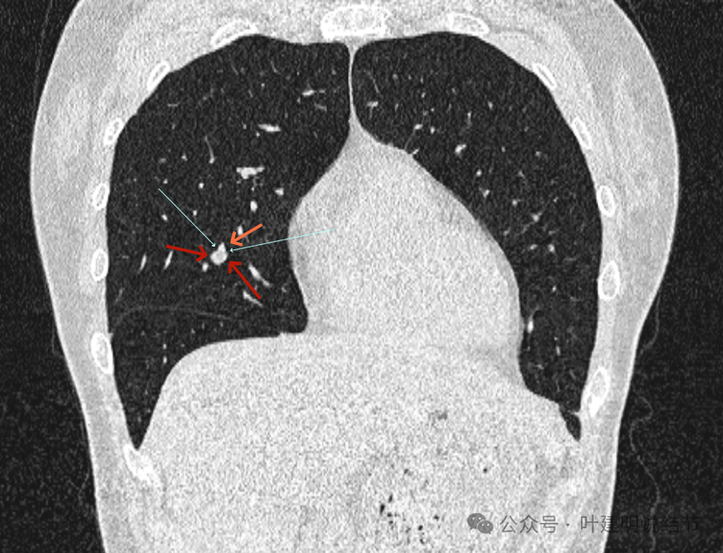
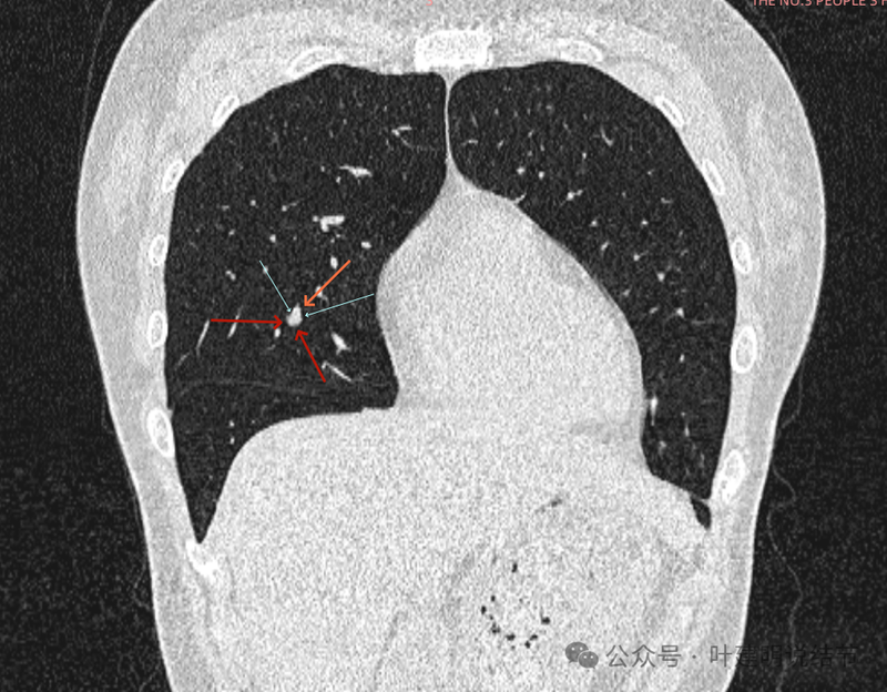
再看冠状位影像:

血管与病灶的关系,两者密度稍不同,天蓝色细箭头所指是分界线。

血管征明显。

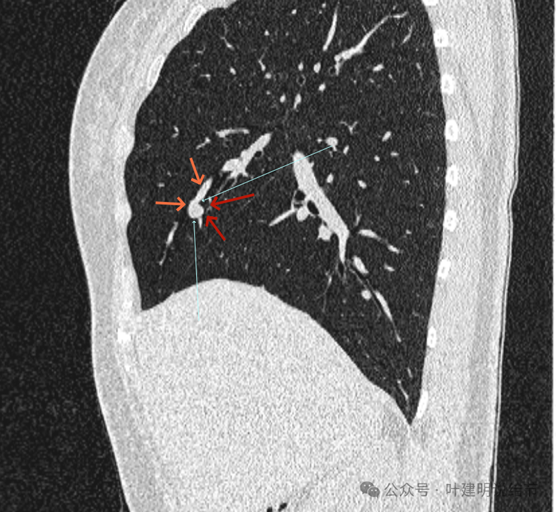
血管围着病灶,病灶有膨胀性,表面欠平滑。

不而有膨胀性,血管贴着并被压迫。

边缘欠平滑,邻近血管间隙欠清晰。

血管贴着,结节膨胀。

也示血管与病灶的关系。

结节实性。

纵隔窗这个角度明显见到蓝色箭头所指的血管被病灶侵蚀,而且血管与病灶密度的不同。
我的回复:
右中叶这个结节是实性,整体感觉有膨胀性,表面有鼓鼓的感觉。它与周围血管关系密切,但并不是血管完全延伸过来的,反而从细节上看是对血管造成推压的,有的层面甚至见到血管被结节侵蚀的表现。我高度怀疑此结节是恶性的,而且是浸润性癌可能性大。需要提高警惕。可以考虑:1、PET-CT检查下,若代谢增高,也考虑恶性,则直接手术为宜;若代谢不高或轻度增高,考虑良性可能性大,也不能就认为是良性,仍得短时间复查对比以确定有无增大进展,如有进展均需及时干预处理。2、增强CT对区分病灶与邻近血管的关系有帮助,但对判断这么小的结节的性质帮助有限,考虑做也是可以的;3、如果方便,也可间隔6-8周来杭州市肿瘤医院复查靶扫描,从不同角度再来看看细节信息,再决定。意见供参考!
感悟:
患者年纪轻,病灶不大,检查后医生谁也无法非常确切的认定必是恶性或良性,而若干预手术又因为位置较深,且在中叶,可能即使先楔切,也余下不多的中叶组织,所以比较纠结。但我们从横断位、冠状位以及矢状位逐层逐幅去看病灶的形态以及其与周围血管结构的关系,确实有许多非常需要警惕恶性的影像特征。我一直坚持的原则是:随访导致事实恶性而延误的风险与手术事实是良性导致的创伤之间如何平衡与取舍的问题。显然此灶恶性可能性大,这么小也有一定的侵袭性,也有膨胀性,随访是存在风险的,真恶性是该及早干预的。当然若下不了决心,那按我前面的意见查PET或短期复查随访,也是可行的。至少短时间总不至于会有显著不同的后果。真若间隔1-3个月的时间若会变成已经转移了,那现在开刀也没用,大概率已经存在微转移了。