4年前因肺结节从杭州专门到金华找我看片,我告诉他考虑恶性,后托熟人联系了某省级医院的胸外科教授手术;另侧肺结节随访略进展,我考虑也可选择手术切除了,这次结友手术却不再到原前次手术的省级医院,来杭州市一医院找我们团队做。
前言:今天分享这个病例的主人公应该算是老朋友了,他于4年前查出肺结节,当时我还在金华,结友从杭州数次专程开车来金华市人民医院找我看肺结节。因右肺结节考虑恶性并该手术了,说来金华手术实在不方便,找了某省级医院做了肺结节手术。此后的随访仍与我多有联系,并于2022年7月我到杭州工作后,复查便来我门诊检查了。他的左侧也仍有结节,但比较小,密度也低,风险并不高。今年复查发现略有变化,我告诉他再半年随访也可,鉴于位置好,局部切了也可。此次结友是下定决心不是到省级医院,而是来杭州市第一人民医院找我们团队手术。我们来看看结友的情况。
病史信息:

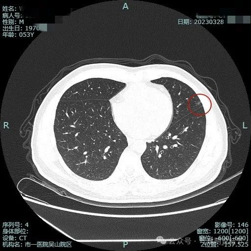
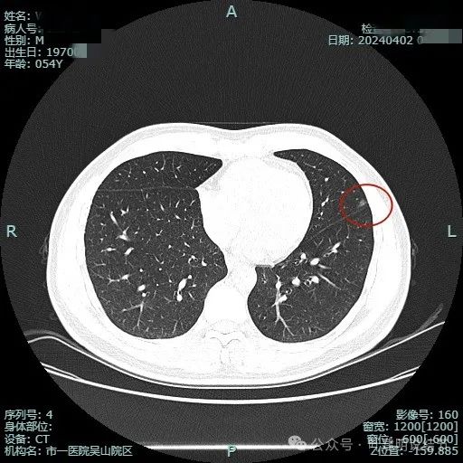
2023年3月影像展示:

病灶出现,密度淡,靠叶间裂较近,整体轮廓较为清楚。

密度纯,但不是太均匀,感觉稍不均,瘤肺边界清,贴胸膜近。

与叶间裂也是贴着的。

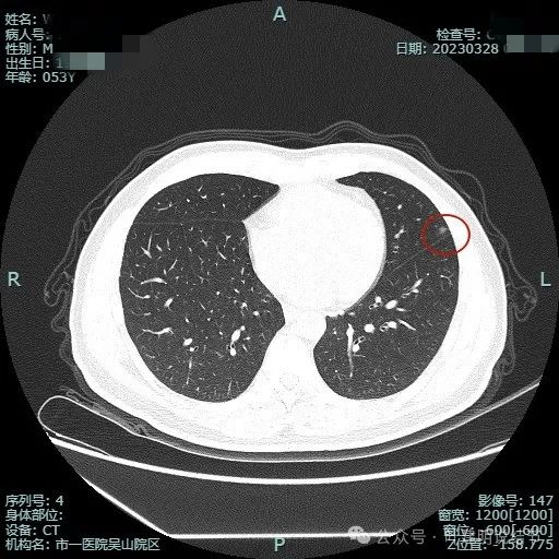
靶重建后见病灶密度不是很淡,轮廓较清,离叶间裂近但未见明显牵拉。

上图层面病灶贴着叶间裂,轮廓与瘤肺边界清楚,表面不光滑。

上图显得瘤肺边界稍模糊。

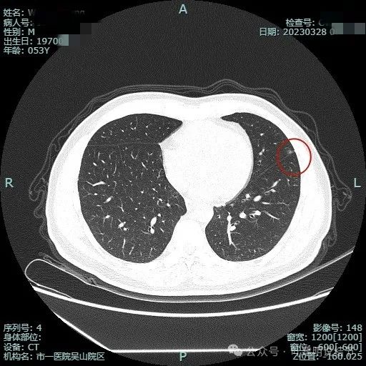
病灶似有极微细血管进入,贴着叶间胸膜但没有牵拉或明显凹陷。
当时交流:

当时我的考虑是肿瘤范畴的,但由于密度仍纯,虽然贴着胸膜,也建议先随访。
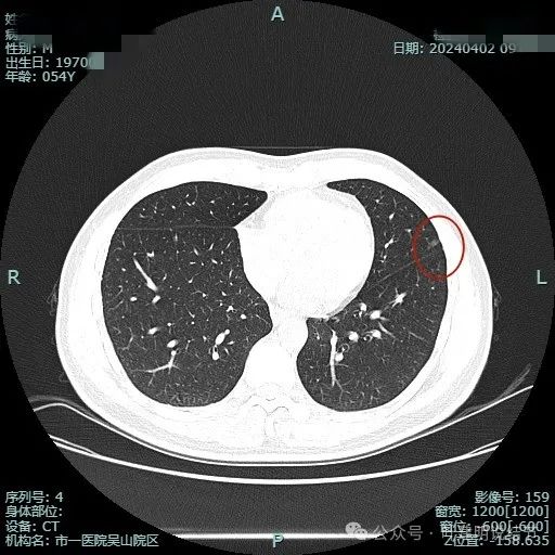
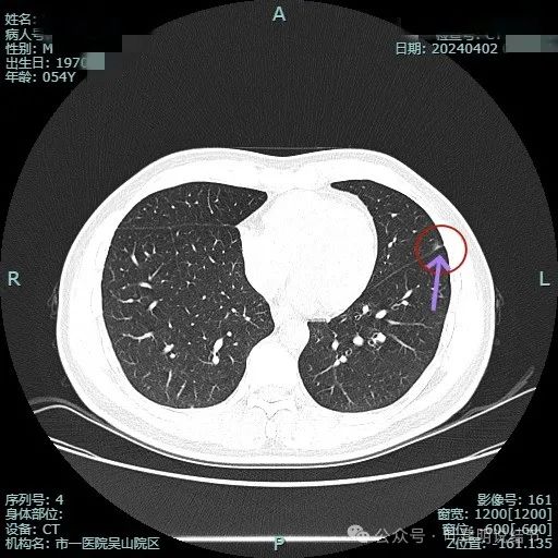
2024年4月复查影像:

病灶大小没有什么变化,当然也没有吸收好转。

病灶连续略显毛刺感。

关键是上图层面怎么贴着叶间裂这侧密度有增高了?偏实性成分!2023年3月时是靶重建情况下都没有见到偏实性成分的。
我的意见以及交流:

我觉得略有进展,但继续4-6个月复查下靶扫描后再决定是否切除也可以,但鉴于病灶贴着叶间裂,又位于边缘,局部切了也可以考虑。

结友慎重考虑后决定来杭州市第一人民医院手术。
最后结果:
杭州市第一人民医院胸外科叶建明团队为其进行了单孔胸腔镜下手术。

只切了这么一点肺组织,略大于拇指盖。表面明显见到胸膜皱缩,结节有收缩力,表面显得略灰白。

剖面灰白,质较硬,没有包膜。

术中病理快速切片报腺癌,贴壁生长为主。

常规病理出来报:原位腺癌。
感悟:
又是一例切了是原位癌的,而且随访了4年了,该切吗?应该再随访吗?其实从事后的病理类型来看,当然再随访也是没有危险的,因为原位癌不至于近期会侵犯影响胸膜。但从术中大体标本来看,这么小的病灶居然造成了胸膜皱缩牵拉,如果不是显微镜下观察,这样的结节放着还是有一定风险的,大体标本看更符合微浸润性腺癌或浸润性腺癌贴壁为主型。随访密度开始有增加,又基本上是恶性范畴的,再结合病灶的位置,以简单的楔形切除这么一丁点肺组织就解除了风险也明确了诊断,创伤与收益相比,手术是利大于弊的。而且这样的病灶,即使再随访,估计也在未来2年内还是非常可能会继续进展并仍得手术,而若短时间内仍得手术,那贴着胸膜密度增高的病灶,何必机体来承担可能导致的风险呢?纯磨可随访,不管贴不贴着胸膜(包括叶间胸膜),病灶开始出现实性成分了,则要相对积极解决它!这不是术后病理的性质决定的,而是手术与随访之对于患者的利弊权衡决定的。