前言:肺磨玻璃结节很小,但持续存在,轮廓与边界清楚的,是不是肺癌范畴?大概率是的!要不要开刀?迟早可能是要开的!急不急着开?不急!会不会随访会导致病灶进展失去手术机会或变成不可控?纯磨不会!但经常有结友说:我就是不放心!我就想切了它以绝后患。看似合理的执念,用在传统肺癌上是对的,用在磨玻璃肺癌上可能并不是一回事。我们应该怎样来看待这种思维,以及从临床角度如何来决策才更符合实际。
病史信息:
基本信息:
男性, 40岁。
主诉:
发现肺结节5年。
现病史:
患者2019年7月体检首次发现右肺2处磨玻璃,大小5毫米,某医科大学附属第一医院随访4年,2024年7月复查右肺散在磨玻璃,和2023年12月份复查变化不大。备注:父亲肺癌晚期去世。辅检:23-12-10肺CT诊断结论 右肺散在磨玻璃结节,较大两枚高危倾向,对比2023-04-02CT部分新增,建议密切复查。两肺增殖钙化灶。24-7-14肺CT诊断结论左肺下叶细支气管炎,请结合临床及复查。右肺散在磨玻璃结节,对照2023-12-10CT大致相仿,建议定期复 查。两肺少许增殖钙化灶。今为咨询特来就诊。
希望获得的帮助:
1. 是否需要马上手术切除,能否看出原位还是微浸润。 2. 如果坚持手术,结节位置怎么样,手术切除面积会不会很大。 3. 散在的意思是指有多个小的结节,手术能否把小的摘干净或者会复发。 4.是否有药物可以提前干预或者预防。
影像展示与分析:
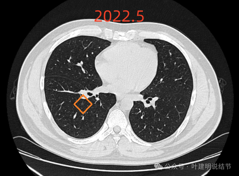
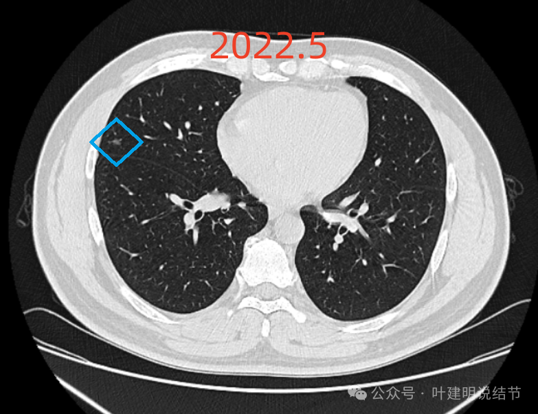
提供的影像资料是从2022年5月始的:

右下叶微小磨玻璃结节,密度很淡,轮廓较清,肯定没有实性成分。

右中叶磨玻璃结节,密度较右下的略高,但仍说不上实性或混合密度,轮廓较清,缺乏膨胀性,邻近胸膜没有牵拉。

2023年12月时的右下病灶与2022年5月时无明显变化,似乎稍显明显点。边缘欠平滑,有细毛刺样,但密度仍是低的。

右中叶病灶仍大小相仿,边缘较平,膨胀性不明显,整体类三角形。

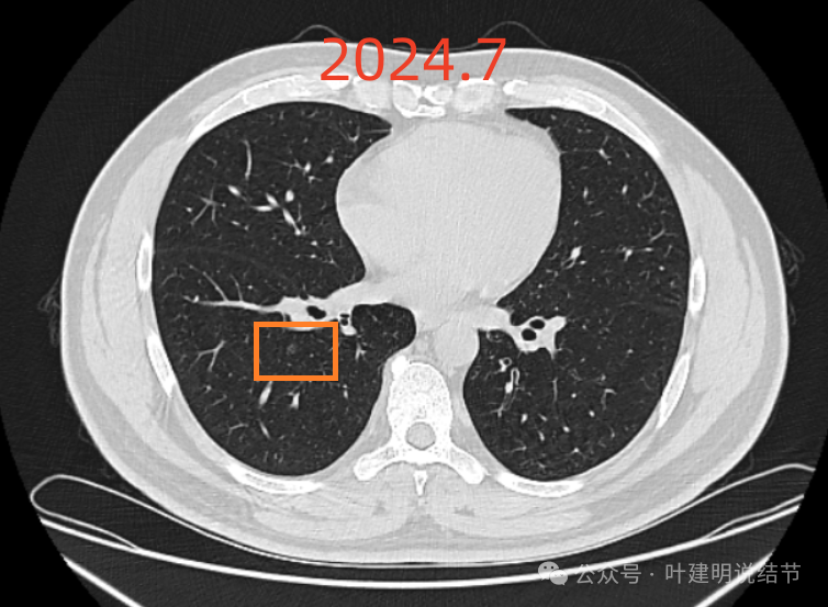
2024年7月时右下病灶感觉比2023年12月的反而略有好转,当然这应该是扫描层面的关系,但至少说明与2022年5月比并无明显进展的。

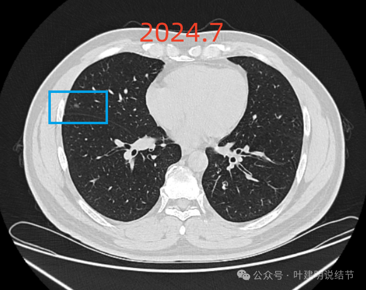
右中叶病灶也与2022年5月比并无进展,而且小而稳定,也没有实性成分。
我的回复:
我是这样的意见:
1、结节性质:右肺中叶以及下叶磨玻璃密度结节,整体轮廓清楚,瘤肺边界清,随访持续存在,是要考虑肿瘤范畴的。我分别截图了2022年5月、2023年12月以及2024年7月的最明显层面,两处病灶均基本没有任何变化进展。而且灶内并无实性成分,应该考虑肺泡上皮增生或不典型增生可能性为大,但由于影像表现存在交叉,纯磨既可以是前面我说的这两者,也可以是原位癌或微浸润性腺癌,甚至浸润性腺癌贴壁型也会是这样的表现,但不管最后是什么,只要纯磨密度风险就是低的,随访不至于延误病情,也不会有不同预后,都是局部完整切除就治愈。
2、手术态度:我并不认可坚持手术的态度,因为磨玻璃密度的早期肺癌发展慢,风险低,多发常见,过早干预切除并不能预防后续再长新的病灶,并做不到一劳永逸,而随访到有进展再手术并不影响预后,临床有许多随访多年,甚至十来年不进展的,迟些将创伤加到机体身上,总好过太早切了肺段或肺叶,带来肺功能的影响,从而影响日常生活。如果切除,中叶的能楔形切除,但下叶这处位置比较深,肺段切除还是得切肺叶要届时三维重建并仔细评估,但肯定范围不会很小,对肺功能会有所影响的;
3、多发病灶的考虑:最明显的两处都风险还很低,更小的没有临床意义,过于纠结与在意没有益处,也不必要,手术总归要切除部分肺组织,太小的没有风险,也不确定到底会不会是恶性的,不需要切除来明确,利弊权衡是不划算的。况且致病原因未明,几毫米的切了有何用处?
4、有没有药物可吃:如果有药物能控制或预防结节新长中进展,那还用得着手术、消融或立体定向放疗这些局部干预措施?吃点药像控制高血压一样控制住就好了嘛!所以目前没有能真正控制磨玻璃肺癌的药物。靶向药也不是能够逆转或治愈它的,即使吃了后有所缩小,只要不能治愈,有何用呢?这种病灶不管它,只随访都5年、10年可能仍没什么进展,难道能认为吃三年靶向药有所缩小有意义?5年后如何?10年后又如何?若是结节仍再出现或再增大,这临床的缩小或改善又有什么价值?而且靶向药长期对机体的影响到底如何可有数据?用在晚期病人身上,那是延长半年、1年、2年或几年都是赚来的,也不需要考虑5年、10年或更长时间对机体的影响,因为多活不到那么久。而对于这种本身风险低,发展慢的磨玻璃肺癌,必须要考虑药物对机体长期的影响几何。所以个人不建议用靶向药来控制磨玻璃肺癌。也没有其他确切药物是有效的。意见供参考!
感悟:
经常有结友总认为既然考虑是肿瘤范畴,难道还等它长到不可控,长到浸润性癌再来处理,随访总是担心与焦虑。但我们要换个角度看问题:一是原因未明,你如何知道切了这几处,其他地方不再长;二是风险还低且多年稳定,它怎么可能突然进展;三是又不是以后就不管不顾不复查,仍得年度复查的呀,真太担心,那半年加一次有什么关系?所以不可能坐等它失去手术机会,但却可以争取长达数年或十多年的更好生活质量的时间。当然许多结友的焦虑与不安是由于不同医生的意见不一致,也有些同道是鼓动患者手术或处理的。所以才更容易焦虑与不安。我们一再分享病例,真的是希望从患者端能让大家对肺结节有更理性的认识,做更合理的有利于自己的决策。