支气管充气征的形成在病变的肺组织区域中见到透亮的支气管影,称为支气管充气征,这一征象曾被认为是炎性病变的有力证据。支气管充气征的显示,就其物理原因而言,主要是支气管周围肺组织因各种原因所致气体含量减少,使密度增高,而此时病变肺组织中的支气管内气体无明显减少,两者形成密度对比而成。就其发病部位而言,以肺实质病变为主,但也有近端支气管完全或不完全阻塞,导致远端肺实质炎症与不张,而病变区支气管内仍残留有空气,形成支气管充气征。
图片

支气管充气征分型与病变的联系

 

大叶性肺炎、肺水肿等急性渗出性病变其病理变化主要在肺泡,并不侵犯支气管,同时,急性渗出性病变病程相对较短,以渗出为主,此时肺实质的变化对支气管的影响较小,基本不足以引起其病变范围内支气管的形态和走行的改变,因此,其支气管充气征的表现为管腔未见明显改变,管壁光整,分支完整,走行柔软自然,即I型青枝型。I型青枝型所显示的支气管管腔未见明显改变,走行自然,整个支气管树柔软状如青树支,名为青枝型,这是肺炎C征象;Ⅱ型,所显示的充气支气管管腔以扩张为主,名为扩张型;Ⅲ型,显示支气管管腔狭窄与扩张并存,小分枝残缺而使支气管树形态不完整,支气管走行僵直,状如枯枝,命名为枯枝型;Ⅳ型,支气管充气征与支气管黏液征并存,名为复合型。
图片
I型空气支气管造影征:

在大片肺实变病灶内的细条状空气密度影,或直径1mm的小泡状空气密度影,连续的几个层面都能出现,其支气管壁柔软,无僵硬感,分支自然,支气管径由粗变细;这是肺炎C征象。
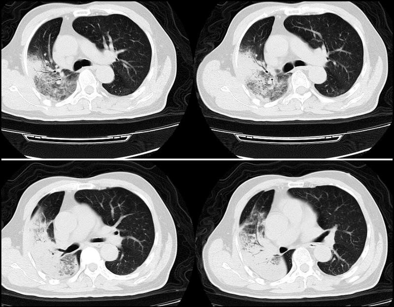
Ⅲ型支气管造影征(枯树枝征):
在肺大片实变阴影中,有较大的充气支气管影像,而较小的支气管不显影,支气管管壁不规整,凹凸不平,广泛性狭窄、僵硬、扭曲。该征和肺炎中的充气支气管不同的是小支气管不显影,充气的大支气管管壁不规整,凹凸不平,广泛性狭窄、僵硬、扭曲,走形不自然。该征象是肺泡癌的特征性表现,无论从发病机制和影像表现都和肺炎的充气支气管征有本质的区别。
图片
临床意义:充气支气管征的最常见原因是肺炎和肺泡型肺水肿。合并肺不张时,提示支气管在其开口处并未阻塞。间质纤维化和某些肿瘤也可产生空气支气管征。虽然肿瘤往往是实性肿块,但淋巴瘤和细支气管肺泡癌的特征也与空气支气管征相关。

细支气管造影征

 

该征最多见于细支气管肺泡癌,表现为病灶内细管状或条状气体样低密度,条状或管状直径小于 1mm 。形成机制是由于CT扫描层面和充气支气管所在平面相平行所致。
细支气管肺泡癌一般分为三个类型:
1、孤立型病变:多在肺外围胸膜下周围,病变形态规则或不规则;
2 、多发结节型:大小不等的结节散布于 肺的一叶或多叶,有时甚至两肺均可受累,结节之间可见正常肺组织;
3、 弥漫型:病灶多叶或两肺弥漫分布。病变的位置对于病变的性质很重要,空泡征和细支气管征多位于孤立结节的中外 2/3 ,而良性结节多位于结节的内 2/3 ,该征相结合其所在的位置,可以初步断定病变的性质。
需要注意的是该征相和枯枝征及空气支气管造影征在含义上是有所不同的。大家可以同以前介绍过的相关征象中去细细体味其差别。
图片

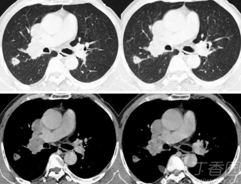
空泡征

 

空泡征是一个非常熟悉的名词了,这一征象指病灶内  1-2mm(或<5mm) 的点状透亮影,单个或多个,也主要见于早期肺癌,其病理基础主要是 尚未被肿瘤破坏、替代的肺结构支架如肺泡、扩展扭曲的未闭细支气管等,部分是肿瘤坏死腔、含粘液的腺腔结构以及乳头状癌结构间的含气间隙。此外上包括未被肿瘤占据的含气肺组织及未闭合的或扩张的小支气管。此征主要见于细支气管肺泡癌和腺癌,也可见于鳞癌。肺窗下观察为小泡状模糊低密度灶,纵隔窗为小泡状透亮影。
空泡征虽然是非常熟悉的名词,但在这里还是要重复叙述,目的有三: 第一、进一步了解该征的病理基础; 第二 、搞清楚空泡征和空洞及支气 管充气征的差别。病理基础上边已经简单谈及,那么空泡征和空洞的区别是什么?按照空泡征的定义,病灶直径5mm以内,大于5mm考虑是空洞,反之就是空泡征。支气管充气征是见于连续多个层面,直达结节外缘。

 

图片
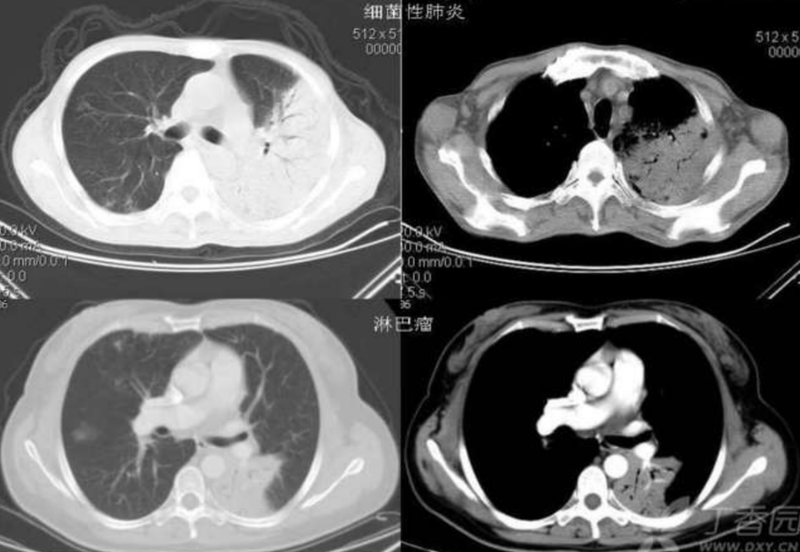
阳性支气管征和空气支气管征的异同:
阳性支气管征是直接通向肺内肿块或被包埋在肿块内的含气支气管影像。出现此征主要意味着较大支气管与肿块相通,和细支管征相比较只是支气管受累部位的不同,与枯树枝征也有差别,枯树枝征指的是一片肺组织病变内一个或多个受累的支气管气相改变,而阳性支气管征指的是肺内结节内的较大支气管受累的征象。就支气管形态改变而言,阳性支气管征针对肺内结节或肿块而言,枯树枝征是对一片受累的肺组织而言。
阳性支气管征主要反映支气管与肺内结节或肿块侵犯肺内支气管的表现,根据病变侵犯支气管位置的不同有以下表现:
1) 支气管到达肿瘤边缘被截断 ;
2)  支气管壁均匀或不均匀增厚,管腔规则或不规则狭窄;
3)  支气管深入肿瘤内部,肿瘤沿支气管管壁浸润;
4)  支气管壁受肿瘤挤压。
支气管肺癌起源于支气管,造成支气管形态的改变,所以肺内恶性结节尤其是腺癌出现此征的几率最大。而肺内的良性病变由于起源于肺间质或肺实质,对支气管的影响不大,所以此征相对少见。
阳性支气管征:
图片
试和下边的空气支气管征比较:
图片