心源性肺水肿
CT表现:
①心脏增大;
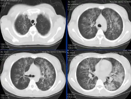
②肺淤血:CT表现为肺门影增大,支气管血管束增多增粗,密度增高,边缘模糊,肺野密度增高,出现磨玻璃样高密度影。
③肺间质水肿:CT表现为两肺纹理增粗模糊,呈毛玻璃样改变,以双上肺明显,并见Kerley线;
④肺泡样肺水肿:CT表现为两肺透光度减低,并见广泛性分布结节样、斑片样密度增高影及毛玻璃样影,边缘模糊,以两肺内、中带分布较明显,形成典型“蝶翼征”;
⑤胸腔积液。


肾性肺水肿,主要是水钠潴留过多、贫血(肾衰导致促红细胞生成素降低)致血浆胶体渗透压降低,临床症状主要表现为少尿、高血压及心力衰竭。肾性肺水肿肺纹理普遍增粗,血管蒂增宽。肺实变阴影中央分布较多。
①血液密度减低;
②肺泡性肺水肿及间质性肺水同时存在,而以肺泡性肺水肿为主;
③胸腔积液。又称尿毒症肺。
肾性肺水肿最终以心力衰竭的病理生理变化表现出来,通过病史临床表现及肾功能检查等,可作肾性肺水肿诊断。
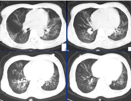
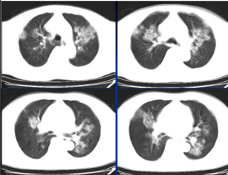
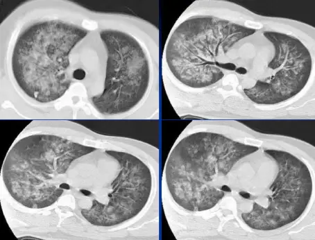
病例:男,33岁,急性肾衰肺水肿。CT表现:①肺间质性肺水肿:两肺血管束增多、增粗,边缘模糊;②肺泡性肺水肿:两肺透光度减低,并见广泛性分布结节样、斑片样密度增高影及毛玻璃样影,边缘模糊,以两肺内、中带分布较明显,形成典型“蝶翼征”;③胸腔积液。
肾源性水肿是全身性水肿的一种,是肾小球疾病的常见症状,是由于肾脏疾病导致体内水、钠潴留,引起组织疏松部分不同程度的水肿。






病例:男,44岁,咳嗽,咳血一周。3天前双侧膝关节疼痛,按风湿输水治疗时突然胸闷、气短。化验肾功能衰竭。高血压病3年。






溺水肺水肿
淹溺者,80%有肺部X线表现,由于吸入的液体很快与毛细血管渗透压改变而来的漏出液混合,形成肺水肿。表现为小结节状阴影或按肺叶、肺段分别的密度增高的肺泡性肺水肿,有时也可见间质性肺水肿。随之而来的是多行核白细胞浸润,以后甚至可发展为肺脓肿和脓胸。
淹溺者肺为一种特殊类型的肺水肿。与吸入性肺炎产生机理不同,但影像表现不易区分。
溺水者因在水中发生主动呼吸,或因挣扎过久无法屏气,大量液体直接进入肺泡,又因右侧主支气管短而粗,嵴下角小,走行相对直,水容易吸入右肺。
显示肺泡性肺水肿征象。
溺水性肺水肿,以肺泡性为主,右肺明显,结合病史即可明确诊断。
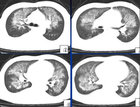
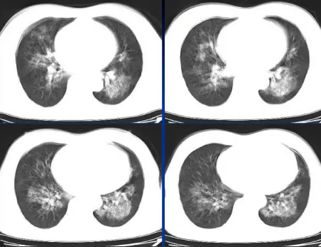
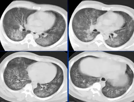
病例:男,28岁,溺水肺水肿,溺水1小时,咳嗽,呼吸困难,咳粉红色泡沫样痰,肺部听诊大量湿啰音。
CT表现
肺泡性肺水肿:两肺透光度减低,并见广泛性分布结节样、斑片样密度增高影及毛玻璃样影,以两肺内、中带分布较明显,右侧较左侧多。

淹溺者肺






复张性肺水肿
指在气、液胸患者大量排气、排液之后,肺迅速复张后所发生的肺水肿(64%病人发生在第1小时内)。
发病机制:气/液胸时,肺被压缩,出现肺缺血、缺氧;肺复张时,肺灌注再损伤,氧自由基释放,肺毛细血管通透性增加。
发生的部位:一般是单侧,复张后肺水肿出现的越早,发生的越急,出现双侧肺水肿的几率就越高。

鉴别诊断
临床表现为寒战发热、胸痛、白细胞升高;而肺水肿病人表现气急、呼吸困难、端坐呼吸、咯白色或粉红色泡沫痰。
CT表现:病变多为按肺叶肺段分布的片状高密度影,极少双侧对称分布,且心脏外形很少有改变;而肺泡性肺水肿多表现为以肺门为中心对称分布的蝶翼状高密度影,且由于心源性肺水肿有各种原因的心脏改变,心脏外形多有增大。
心源性肺水肿胸水多为双侧对称分布,因胸水为漏出液,无胸膜增厚粘连,胸水无包裹;
感染性胸水:结核性胸膜炎或化脓性胸膜炎胸水多为单侧性,胸膜可增厚粘连或钙化,胸水可形成包裹,其中结核性胸膜炎部分肺内可见结核灶;
胸膜转移性胸水可单侧或双侧,多伴有胸膜结节状增厚或胸膜肿块。
肺间质纤维化由多种疾病引起,如特发性肺间质纤维化、胶原病、结节病、慢性支气管炎、尘肺等。CT表现为肺小叶间隔和支气血管束增厚、增粗、毛糙、扭曲变形,胸膜下曲线、蜂窝肺和支气管牵拉性扩张等;而心源性肺间质水肿的肺小叶间隔及支气管血管束增粗、增厚、模糊,无扭曲。