1、错构瘤

图片
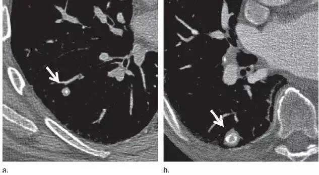
图 1 层厚 1 mm 的 CT 横断面图像,(a)为肺窗,(b)为软组织窗,显示边缘平滑、内含脂肪和钙化的实性结节(箭头),符合错构瘤表现。不建议进一步 CT 随访。

2、肉芽肿

图片
图 2 CT 图像显示边界清楚的中心钙化(a)或层状钙化(b)结节,均为典型的肉芽肿表现。不建议进一步 CT 随访。
3、可疑部分实性结节
图片
图 3(a)层厚 5 mm 的 CT 横断面图像,显示左肺下叶有明显的纯磨玻璃样结节(箭头)。(b)同一水平层厚 1 mm 的 CT 横断面图像,显示病变为一伴有囊性成分(箭头)的可疑部分实性结节。

4、良性线状疤痕或淋巴组织

图片
图 4(a)层厚 1 mm 的 CT 横断面图像,显示邻近肺小裂的结节状阴影(箭头)。(b)冠状位重建 CT 图像,显示阴影为良性线状瘢痕或淋巴组织(箭头)。

5、肺内淋巴结

图片
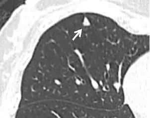
图 5 CT 图像,显示一个三角形实性胸膜下结节(箭头),且呈线状延伸至胸膜表面,为典型的肺内淋巴结表现,不建议 CT 随访。

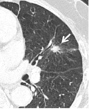
6、毛刺状结节

图片
图 6 左肺上叶层厚 1 mm 的 CT 横断面图像,显示一个可疑的实性毛刺状结节(箭头)。手术证实为浸润性腺癌。

7、相隔10个月的囊肿渐进表现

图片
图 7 相隔 10 个月后进行的层厚 1 mm CT 横断面图像,显示右肺下叶囊肿壁渐进增厚的高度可疑模式(箭头)。手术证实为浸润性腺癌。

 

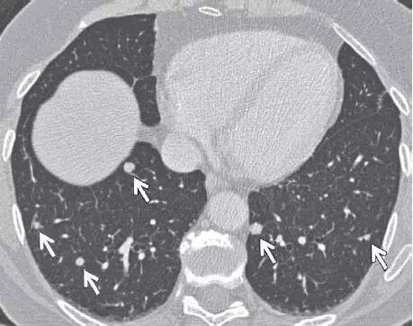
8、转移性结节

图片
图 8 CT 图像,显示继发于转移性甲状腺癌,以下肺分布为主的多个不同大小实性结节(箭头)。

9、相隔2年的结节渐进表现

图片
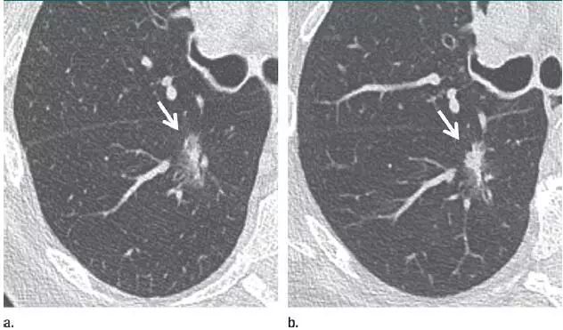
图 9 右肺下叶层厚 1 mm 的 CT 横断面图像,(a)显示边界清楚的 6 mm 大小毛玻璃样结节(箭头)。(b)2 年多后获得的图像,显示结节大小略有增加(箭头)。与相邻血管结构关系的轻微变化,证实了这一结果。这种微小进展只能通过层厚 1 mm 的连续扫描来发现。此类图像符合原位腺癌或微浸润腺癌表现,建议继续进行年度随访。

10、相隔10~15个月结节渐进表现

图片
图 10(a)右肺中部层厚 1 mm 的 CT 横断面图像,显示一个 10 mm 大小的纯磨玻璃样结节(箭头)。(b)同一位置 15 个月后的 CT 随访图像,显示病变的不透明度只有很小增加。(c)取得 b 图 10 个月后,同一位置的 CT 图像,显示结节已发展成较大的实性结节。手术切除证实为 1A 期浸润性鳞屑样为主的腺癌(invasive lepidic predominant adenocarcinoma)。

11、相隔4个月后消失的结节

图片
图 11(a)左肺上叶层厚 1 mm 的 CT 横断面图像,显示一个模糊的 10 mm 大小磨玻璃样结节(箭头)。(b)4 个月后的 CT 随访图像,显示未经治疗的病变在随访间期消失,符合良性病因,如局灶性感染。

 

12、相隔6个月后消失的结节

图片
图 12(a)右肺上叶层厚 1 mm 的 CT 横断面图像,显示一个 6 mm 大小的部分实性结节,其实性部分(箭头)小于 4 mm。(b)6 个月后的 CT 随访图像,显示病变完全消失,符合良性病因。

13、相隔3个月的结节渐进表现

图片
图 13(a)右肺下叶上段层厚 1 mm 的 CT 横断面图像,显示一个高度可疑(较大、磨玻璃样外观和实性形态)的部分实性结节(箭头)。(b)3 个月后的 CT 随访图像显示,实性成分的大小逐渐增加。手术显示为浸润性腺癌。

14、多灶性原发性腺癌

图片
图 14(a)上叶层厚 1 mm 的 CT 横断面图像,显示双侧多个大小不等的半实性结节,且左肺上叶至少包含一个高度可疑(较大、磨玻璃样外观和实性形态)的部分实性结节(箭头)。建议在 3~6 个月后进行首次随访。(b)与 a 图同次检查时取得的更下部分图像,显示了另一个高度可疑的分叶状 10 mm 大小磨玻璃样结节(箭头),也需要随访。这些图像符合多灶性原发性腺癌表现。

 

参考文献:MacMahon H et al.Guidelines for Management of Incidental Pulmonary Nodules Detected on CT Images: From the Fleischner Society 2017. Radiology. 2017 Feb 23:161659.

 

来源:医学影像服务中心‍‍‍‍‍‍
编辑 :Yan