前言:高龄患者的肺磨玻璃结节到底该不该处理是个有争议的话题。原因是:1、磨玻璃结节风险低、发展慢,不会短时间导致生命危险,可安全随访,也可能多年并不太进展;2、高龄患者身体机能相对差,容易不能耐受手术,出现并发症的风险也高;3、主观上许多高龄老个觉得自己反正是得了肺癌,治不好,不想浪费钱增加子女负担,处理相对消极些;4、医生对高龄患者的手术意愿也不如年轻患者,因为怕不顺利有麻烦,DRGS超标等;5、不同专科的医生意见不一致,介入科医生容易认为消融好;放疗科医生容易认为SBRT好;内科医生认为反正发展慢,随访即可,真进展有危险以后化疗或靶向治疗也效果挺好。但我们到底该如何来权衡与平衡这些不同的意见呢?今天分享的这位结友是已经80岁高龄了,查出肺结节也已经一年时间,来我门诊咨询,我是建议他手术的,来看看我们是如何考虑的与决策的。
病史信息:

结友约1年前检查发现结节(左侧)没有明显症状,有高血压、糖尿病史。日常活动不受影响,总体身体条件看上去不错。
影像展示与分析:

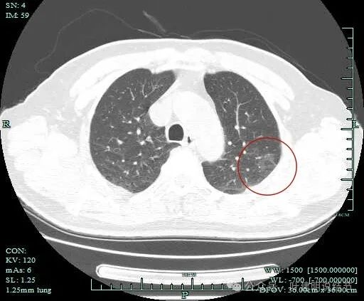
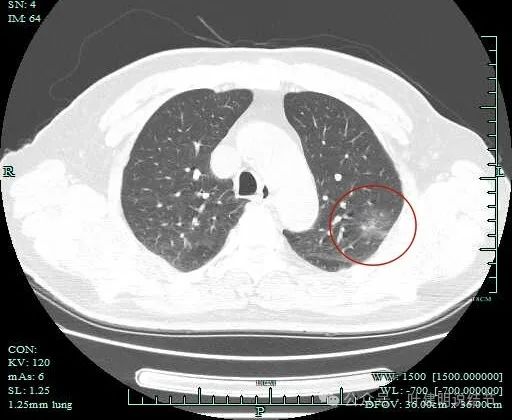
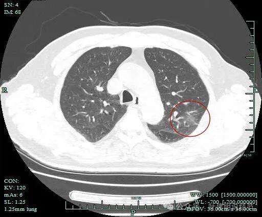
病灶出现,范围较大,密度较低,但轮廓较清楚。

病灶肺表面近,整体轮廓与边界清,表面不平,灶内有小空泡征。

灶内密度感觉欠均匀,虽然无明显实性成分。

灶内似有血管穿行与小空泡征,表面有细毛刺。

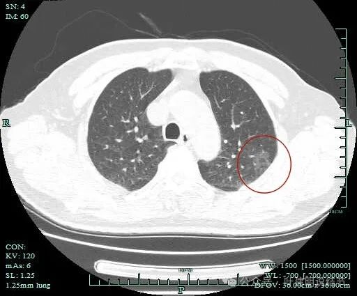
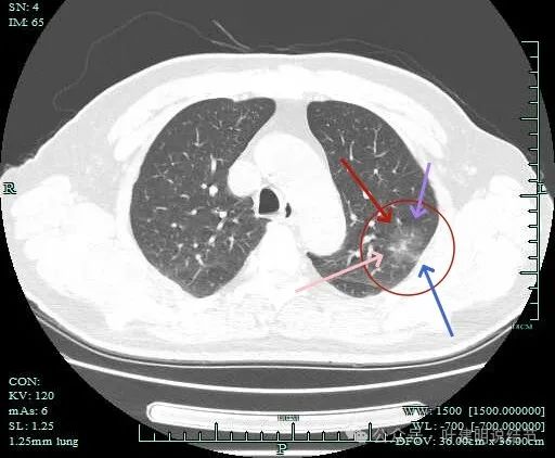
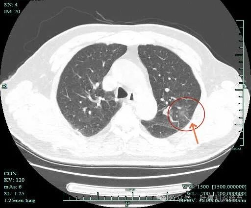
密度不纯,有少许偏实性成分出现,边缘毛刺明显,感觉病灶有一定收缩力。

混合密度,轻微胸膜牵拉,边缘细毛刺,灶内质不均,表面有浅分叶。

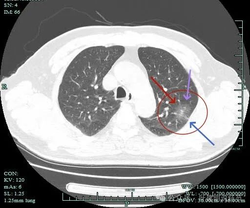
灶内有血管穿行或新生血管的样子,边缘细毛刺明显。

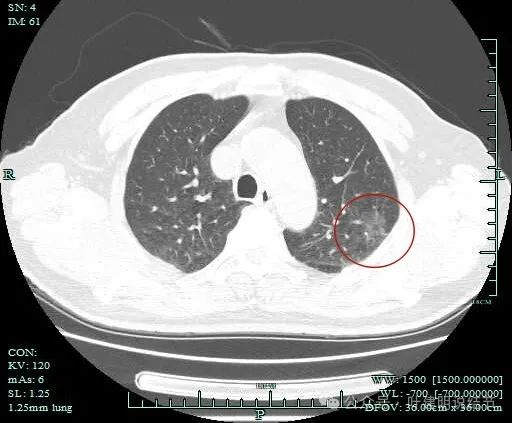
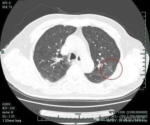
血管进入明显,且灶内端略粗于近心端。病灶内部也有血管穿行。

附近另有血管发出分支进入病灶。

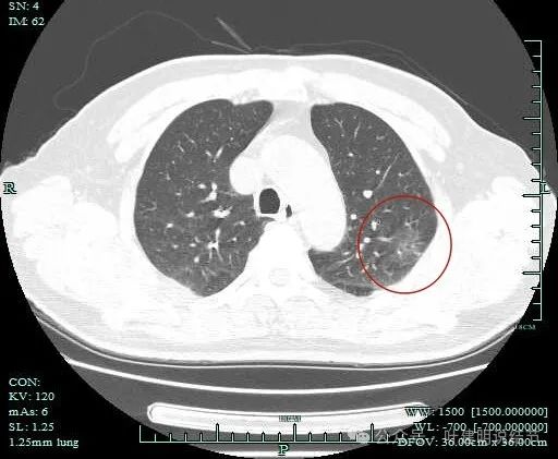
明显血管穿行于灶内。

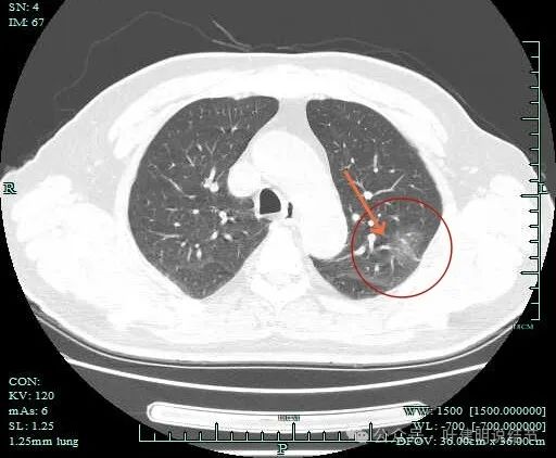
病灶距斜裂与胸肋面的胸膜都近。
临床考虑:
左上病灶持续存在,混合磨玻璃密度,有血管征与血管穿行、浅分叶征、细毛刺征、胸膜牵拉、灶内小空泡征以及整体轮廓清,瘤肺边界较清楚,感觉病灶有收缩力。这是典型恶性的影像表现。而且由于多处多支血管进入与边缘细毛刺(浸润生长),病灶有一定侵袭性。虽然目前实成分仍少,但近几年内再进展并对机体有危害的可能性很大。不同的选择分别是以下利弊:
1、随访:病灶可能在近年内进展,以后年纪更大,若现在不手术,以后就更不考虑手术了,可采取消融或SBRT来局部控制。
2、消融:不同的消融方式不管如何病灶仍在体内,而且此灶较大,需要覆盖的范围较广,一定程度上影响消融的效果。存在复发或治疗效果不理想的可能性。而且若消融形成疤痕,影响以后病灶复发与否的观察。
3、立体定向放疗:许多文献报导在高龄不适合手术的患者中,早期肺癌的SBRT与手术短期效果相当。但个人觉得不踏实的仍:一是病灶仍在体内;二是穿刺活检的风险以及确诊病理类型的问题。
4、化疗或靶向治疗:这样的密度与形态显然还没有到该用全身性治疗的手段的时候。
5、手术:我一直认为手术与否的考虑既与年龄相关,也与生理状态相关,还与外科技术发展变化相关。在传统开胸手术的年代,因为机体破坏大、创伤大、恢复慢,对于高龄患者来说可能容易吃不消。但在微创如此普及的情况下,手术对机体造成的创伤已经较传统明显小得多,恢复也快,仍沿用传统的手术禁忌证来考虑或许并不是与时俱进的科学态度。加上今天这位结友病灶位置在比较优势的部位,单孔楔形切除方便。如果只以一个3厘米左右的切口,花几分钟的胸内操作时间,完整切除病灶(切缘阴性),再加上结友日常生活本无明显影响,耐受性并不差。这是利弊考虑来讲,获益大于风险的。风险主要在于围手术期并发症发生,但楔形切除确实出现严重并发症的可能性非常低。
讲明所有利弊与可能的情况后,选择权交给患者及期家属。
最后结果:
患者与家属充分考虑后决定在杭州市第一人民医院接受手术治疗。选择叶建明团队为其手术,并要求叶建明为其主刀。

病灶切面灰白,肉眼看就是恶性的,而且感觉较影像上较淡的磨玻璃恶性程度更大一点。

病理结果示:微浸润性腺癌。切缘阴性。患者术后恢复非常好,于术后4天时顺利也院。这是最好的结果!
近日术后约1月回来复查了胸正侧位片,里面恢复很好,日常生活也没什么影响,患者非常满意。
感悟:
随着外科技术的发展,许多原来认为不适合手术的变得可以手术;原来认为年龄太大放弃手术的变得可以争取手术;原来选择更为保守措施的可以有了更多侵入性检查治疗手段的选择。我们做的任何抉择都应站在利弊权衡之上,充分考虑手术带来的创伤与风险和保守治疗带来的预后与弊端间进行评估与考虑,并如实将不同的选择可能的后果与患者及家属讲清楚,让家属最后选择决定。我仍要强调的是:对于位于肺外周能楔形切除的早期肺癌,单孔胸腔镜下微创切除是完整去除了病灶,不需要临床研究来证实,其治疗的彻底性肯定优于或不亚于消融或立体定向放疗。东西已经拿掉,和东西仍在里面,能完全一样吗?或者在部分病人中是一样的,但关键是单孔楔切手术本身的风险也极低呀!