一.基础知识


1.增强扫描是指血管内注射对比剂后再行扫描的方法,目的是提高病变组织同正常组织的密度差,以显示平扫上未被显示或显示不清的病变,通过病变有无强化及强化类型,有助于病变的定性。

注:二甲双胍很少与血浆蛋白结合,不经肝脏代谢,以原型经尿排出,主要经肾小管分泌。含碘对比剂也通过肾脏排泄,可能导致急性肾小管坏死。若患者在接受含碘对比剂后,肾脏受到损害,就可延缓二甲双胍通过肾脏的排泄,引起二甲双胍在体内蓄积,极有可能引起乳酸酸中毒,进而导致恶心、呕吐、腹泻和口渴等,严重者甚至死亡。因此,在注射这类对比剂前 48-72 小时宜停服二甲双胍。

2.如何区分左右肺 

想象你变成病人躺在了CT机器上,CT图像就像医生站在你脚边抬头看你(或者像切面包片一样从下往上看你)。所以图像显示的左右是和病人实际方向相反的——图像左侧是病人的右侧,图像右侧是病人的左侧

3.CT的窗、期是什么?
图片

窗宽图像的「对比度调节旋钮」:
增大窗宽,图像上的层次增多,组织间对比度下降;缩小窗宽,图像上的层次减少,组织间对比度增加。

窗位图像的「亮度调节旋钮」:
提高窗位,荧光屏上所显示的图像变黑,降低床位则图像变白。

图片

4.胸部CT扫描范围
起点:胸廓入口(锁骨上方)   终点:肋膈角下方(包含整个膈肌)

5.  1mm vs 5mm的含义

1mm薄层:像用单反微距镜头拍高清细节,用于发现微小结节或间质性病变。
5mm常规层厚:像手机普通拍照模式,用于快速筛查,但可能遗漏<3mm的病变。

6.胸骨角是胸部的重要骨性标志。

①上、下纵隔的分界平面;②后方平对第4胸椎椎体下缘;③平对主动脉弓的起、止端;④气管叉在此平面出现;⑤平面恰好通过主动脉肺动脉窗; ⑥两侧为第2胸肋关节及第2肋,是计数肋的标志;⑦奇静脉弓在平面以上跨越右肺根上方,向前汇入上腔静脉:食管在平面以下与左主支气管相交叉,形成食管的第2个狭窄:⑨胸导管在平面以下由脊柱右侧转向左侧上行;⑩肺动脉的分叉处位于平面以下。

二.右肺支气管


气管隆突→右主支气管开口

图片

1.右上叶支气管分为前尖后三段,是方向性定位

前--前胸壁方向
尖--肺尖方向  尖段的位置要靠上,看到右主支气管需要再往回调
后--后背部方向


2.右肺中叶支气管无额外分支

图片

3.右肺下叶支气管

本图来源于奈特图谱,图中下叶背段略高于中叶支气管开口,实际上,下叶背段都是略低于中叶支气管开口。右肺中叶支气管开口正对下叶背段,牛角征。

图片

CT扫描从上往下,最先出现的是背段,然后是内基底段和旁边主干的横截面,此时主干还未发出剩余分支。故此时如果在横断面上看会看到两个孔。再往下走,则会看到前基底段和外、后基底段共用的主干,此时又会看到两个孔,直到最后外、后基底段分开。


口诀:逆时针方向,内前外后
汇总图:逆时针看

图片

三.左肺支气管


1.定位标志:左上叶支气管。

左主支气管向下延伸,发出左上叶支气管,左上叶支气管几乎呈水平行走,故在CT横断面上表现出平行管状形态。

图片

左上叶支气管迅速发出上支(相当于右上叶支气管)和下支(又叫舌叶支气管,相当于右中叶支气管)。

上支和下支行程较短,很快分为相应的肺段(上支分为尖后段、前段)。下支发出的上舌段更偏向于水平位,如果在CT上切更容易切出长条形,下舌段更偏向于垂直位,CT上切的话像是一个圆形。


背段支气管很有特点:在整个肺部支气管中只有背段时垂直于大气道。
汇总图:

图片

总结:

图片

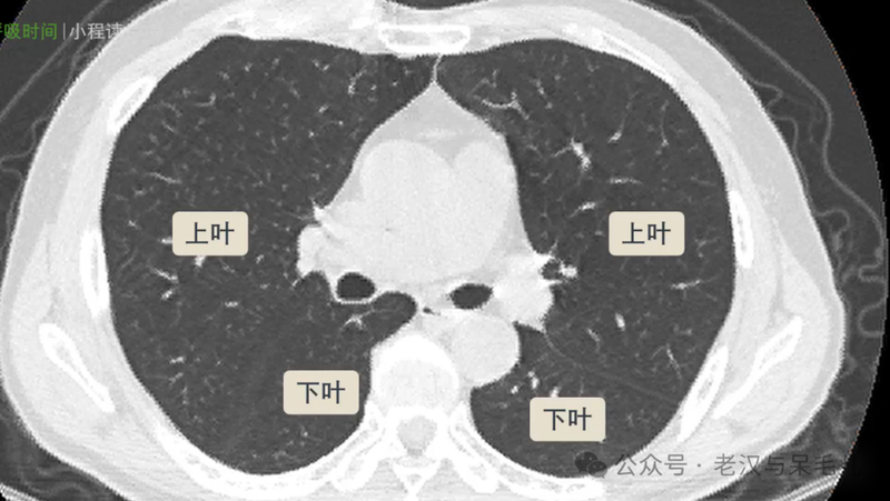
影像表四.肺叶的识别定位


图片

肺叶的定位标志:叶间裂

图片

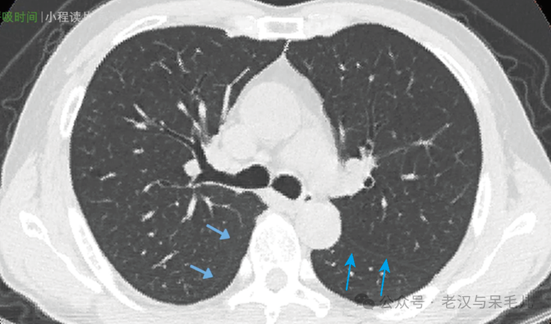
无论是左肺还是右肺,斜裂的走形都是从后上到前下,在CT横断面上表现为越靠上的斜裂越靠近后背部,越靠下的斜裂就越靠近前胸部。


左肺被斜裂分为上、下两叶,右肺被斜裂和水平裂分为上中下三叶

图片

中叶和左肺舌段水平刚好是心脏所在水平

图片

斜裂偏上或偏下的血管纹理较少

图片

左肺斜裂先于右肺斜裂出现,右侧斜裂出现的位置大致为气管隆突所在位置,可以粗略认为气管隆突以上均为两肺上叶

图片

为什么水平裂有一个圆形→水平裂行走的过程中并不是单一平面(右肺水平裂在CT横断面上表现为薄片状或者环形磨玻璃样改变

图片

五.肺韧带


图片

六. 血管 


肺的血管包括肺血管和支气管两个系统:肺血管为功能性血管,即肺循环的肺动脉、肺静脉,参与气体交换;支气管血管为营养性血管,即体循环的支气管动脉、支气管静脉,供给氧气和营养物质。

图片

图片

图片

图片

图片

图片









左头臂静脉走形在主动脉发出的三大分支的前方,走形偏水平,CT上表现为三点一线

图片

图片

图片

图片

图片

奇静脉在右膈角处起自右腰升静脉,沿食管后方和胸主动脉右侧上行,至第4胸椎体高度向前勾绕右肺根,注入上腔静脉。(CT上找右主支气管,向上几个层面就找到奇静脉汇入上腔静脉的位置)


图片

参考文献:

[1]曹厚德.正在使用二甲双胍的糖尿病患者不宜作CT增强检查[J].临床放射学杂志,2011,30(03):392.DOI:10.13437/j.cnki.jcr.2011.03.028.
[2] 人体断层影像解剖学 第5版_王振宇,张雪君主编2022年
[3] B站 呼吸时间 | 小程读片 系列
来源:老汉与呆毛儿

图片