前言:在网络咨询或临床门诊时,总会不断碰到无比仔细的患者,他们对于自己查出的肺结节,到底有几颗、到底相差几毫米,与前次比与前前次比到底有没有长大1毫米、到底有没有实性成分、CT值到底是多少等等问题无比在意。但我老是说,这些都不必过于在意,因为细微的差异不影响临床决策。比如不管6毫米还是8毫米,也不管CT值是负700还是负600,反正仍风险低,仍只需随访,那何必在意这类小的差异?但该细致的时候,医生却不能马虎。就如今天分享的这位结友,其实术前检查全都没有专门提到过次病灶,但术前阅片时,我觉得怎么看上去有点怪,遂逐层观察其形态,发现也要考虑肿瘤范畴的,所以手术时就一并处理了,免去了不久后又得再次手术的可能性。
病史信息:
主 诉:发现肺部阴影1月余。
现病史:患者一月余前当地医院体检行胸部CT提示“右肺下叶类结节灶,肿瘤性病变可能,左肺下叶结节,倾向低危,左肺下叶局限性肺气肿”,患者无明显症状,无畏寒、寒战,无咳嗽、咳痰,无胸闷、胸痛,无恶心呕吐,无腹痛腹泻,无头晕头痛骨痛等不适。10天前患者于当地医院复查胸部CT提示:“右肺下叶结节较前饱满,肿瘤性变考虑,左肺下叶结节较前相仿”。今患者为求进一步手术治疗我院门诊就诊。患者现无明显不适,为求进一步诊治,拟“双侧肺部阴影”收入我科。 患者起病以来,神志清,精神可,胃纳可,睡眠安,二便正常,体重近期无明显变化。既往高血压病史30年余,自行服药控制,具体药物不详,血压控制良好。
影像展示与分析:
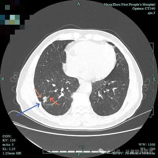
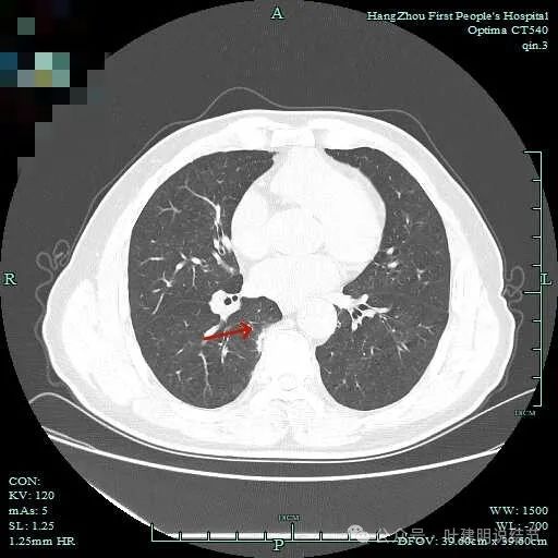
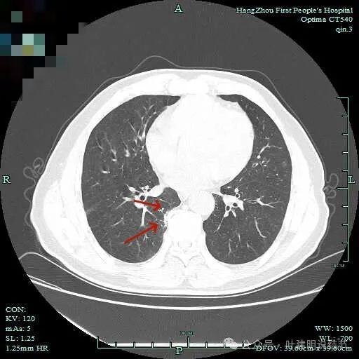
先看主病灶情况:

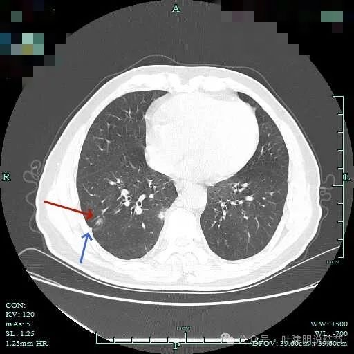
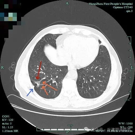
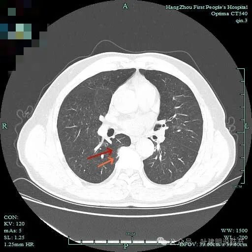
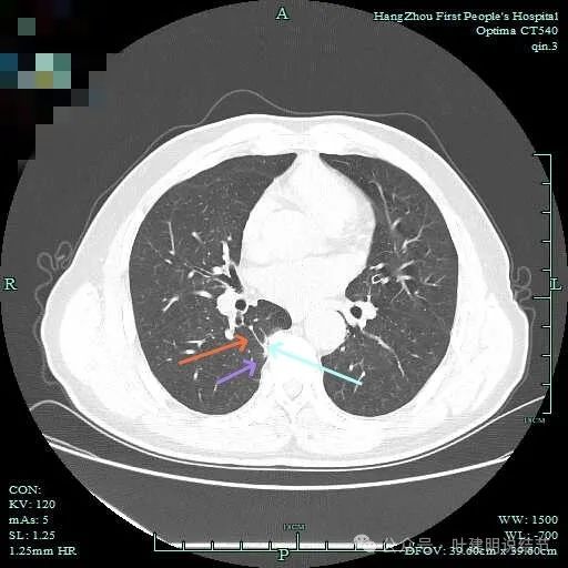
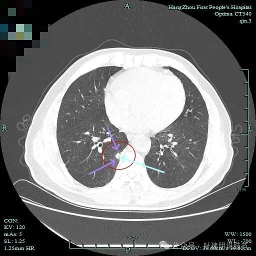
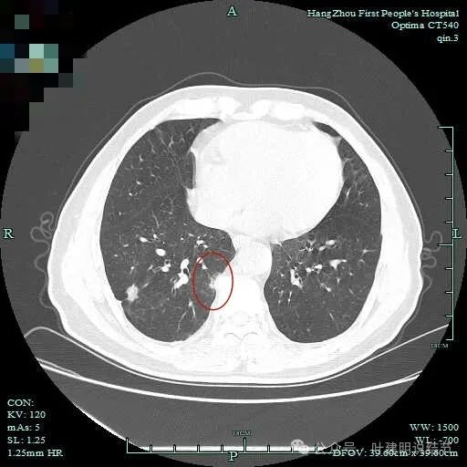
病灶出现,整体轮廓较清,胸膜略有牵拉。

密度不均匀,胸膜有轻微牵拉,边上有磨玻璃成分。

混合偏实性密度,瘤肺边界清,胸膜有牵拉。

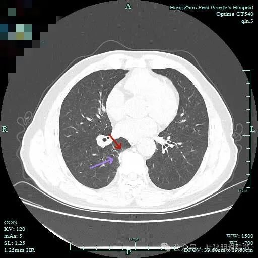
表面不平,有小血管进入,整体轮廓与边界清。

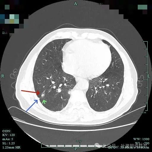
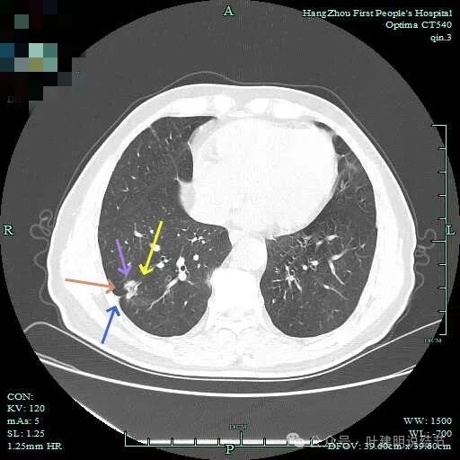
明显胸膜牵拉以及血管进入,灶内密度不纯。

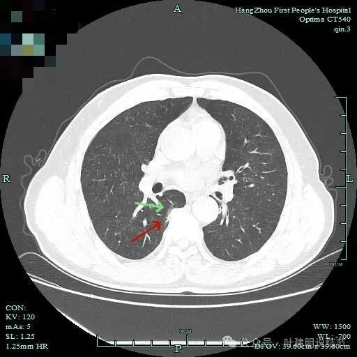
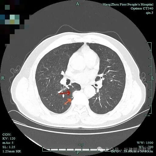
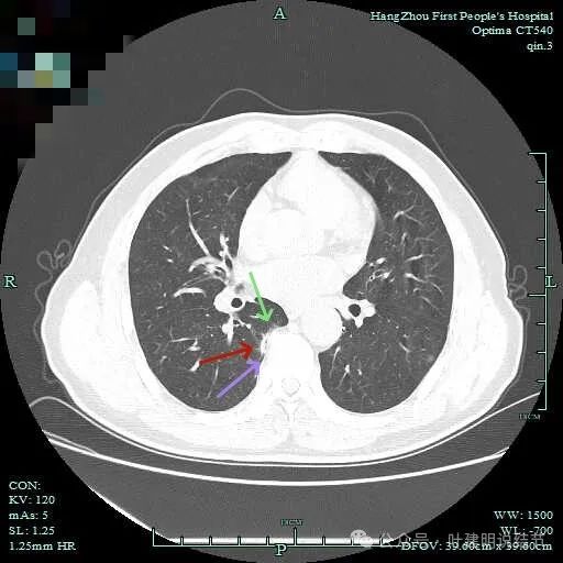
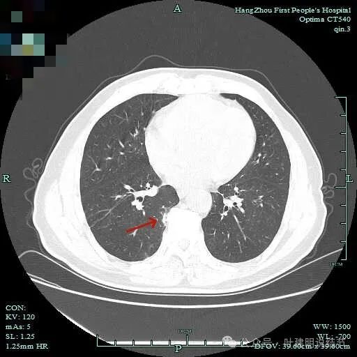
边缘毛糙有细毛刺,灶内密度不均;胸膜牵拉以及表面不平;黄色箭头示细支气管截断的样子。

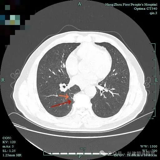
血管征以及胸膜凹陷征。

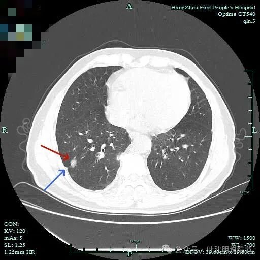
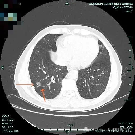
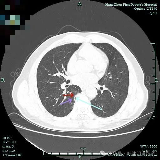
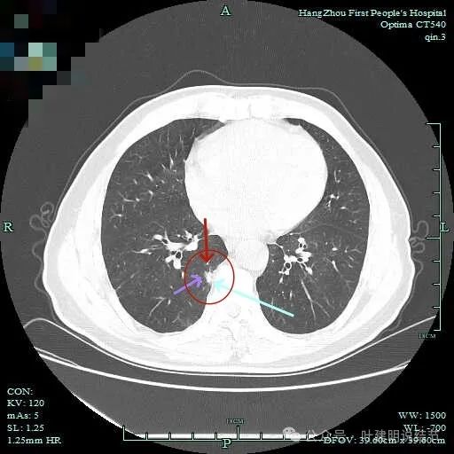
轮廓与边界清,灶内有小空泡征。

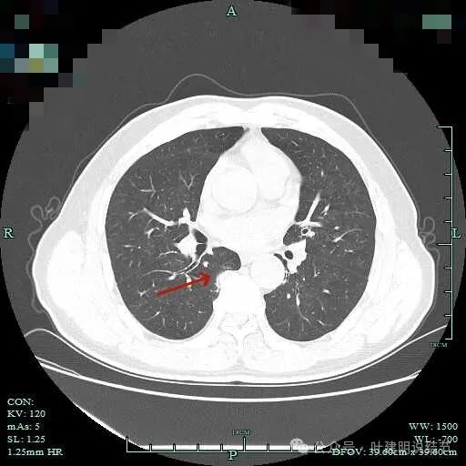
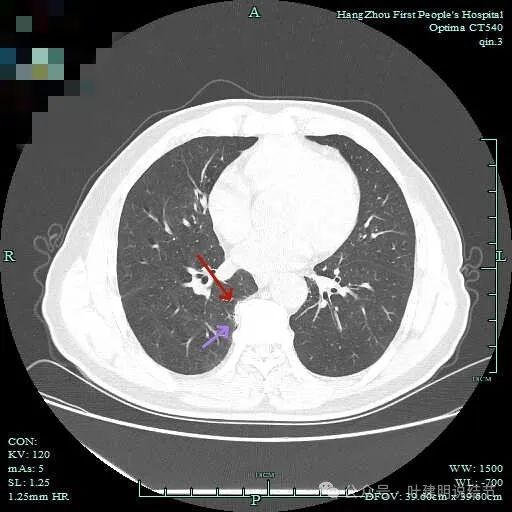
多支血管进入,灶内密度不均。

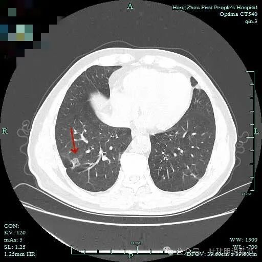
胸膜牵拉,表面不平,血管进入并有异常增粗。

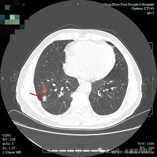
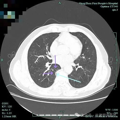
此层见血管穿行,但整体显散。

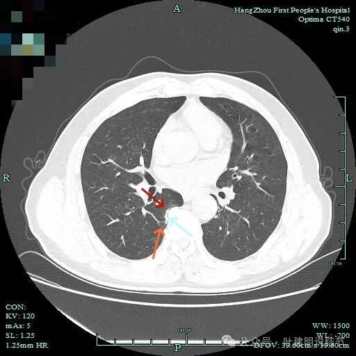
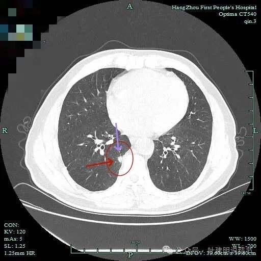
边缘区轮廓稍显不清。
其他病灶情况:

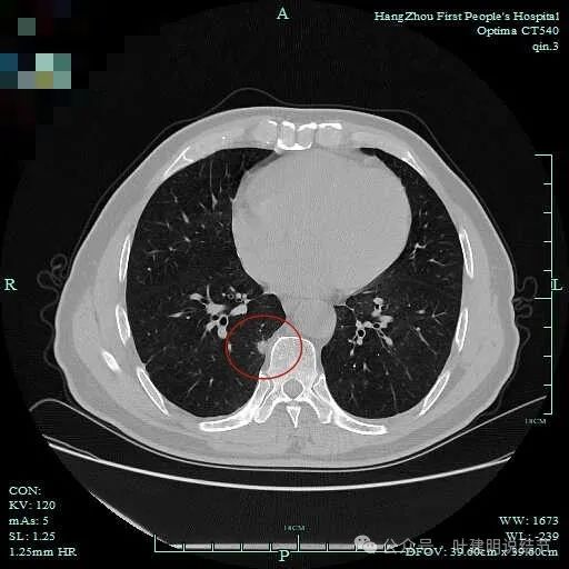
右下脊柱旁怎么也像有磨玻璃结节?但此处正常CT也是略显有慢性炎似的征象的,可这个病人明显结节状,还表面有细毛刺似的。

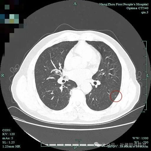
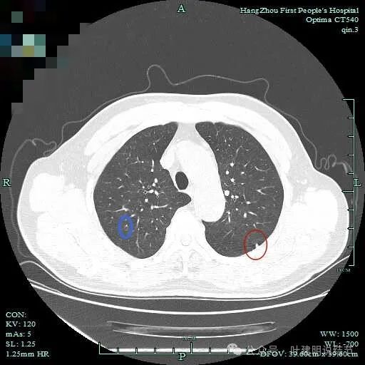
左下微小磨玻璃结节,胸膜下,轮廓与界限较清,像肺泡上皮增生。

左上胸膜下实性微小结节,缺乏膨胀性,考虑良性;右上叶微小淡磨玻璃结节似的,但太小,不确切。
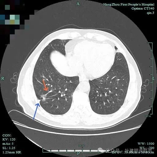
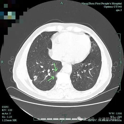
次病灶连续层面观察:

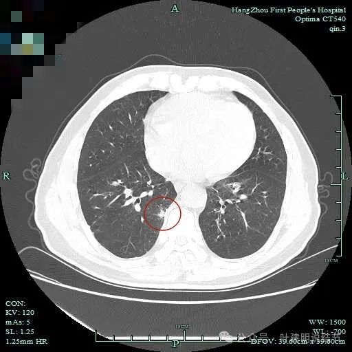
紧贴脊柱处混合密度,趴在脊柱上,这不像结节状。

但有小血管似的,磨玻璃部分界限较清。但此类异常影像在正常人的CT上也挺常见。

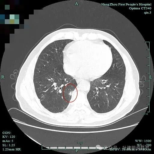
密度较高,确实像血管进入。但病灶片状,趴在脊柱上。

此层显得更呈小片状了。

与脊柱间似乎有间隙在,另见微小血管进入这条索状的偏高密度影处。

有细小血管进入,但说不上异常增粗。病灶仍是小片状,条状。

磨玻璃成分密度淡且界欠清,整体就是条索状弯曲的。

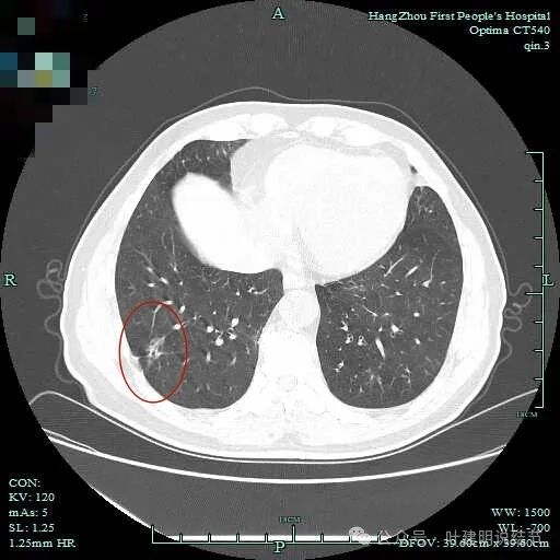
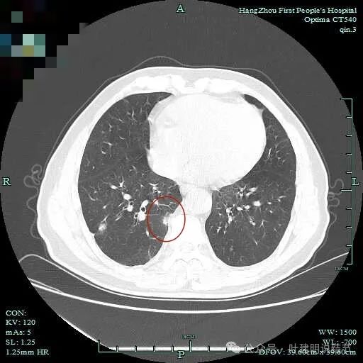
上图见细毛刺明显。

病灶实性伴细毛刺,与脊柱间有间隙在。

病仍明显,从上到下,觉得应该是成片的。

表面不平毛刺,实性密度为主。

微小血管有,但无异常增粗。

病灶实性,边缘不光滑。

实性密度,片状,条状。

病灶实性,缺乏膨胀性。

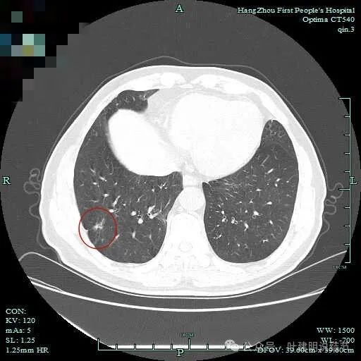
上图呈结节状,表面不平,有少许磨玻璃成分。

结节状,密度高,边缘欠光滑。

与脊柱之间有间隙,表面有细毛刺。

表面不平,似有细支气管截断征。

边缘不平毛糙。

像慢性炎似的。

瘤肺边界欠清。

边缘区淡磨玻璃密度。
临床考虑:
1、诊断问题:主病灶是挺典型的恶性表现,而且应该是浸润性腺癌了的,当然不是太致密,仍是早期的可能性大;次病灶纵观应该是片状的,但局部有结节状,结节状的地方,表面不平毛糙,有细毛刺,有血管征,有细支气管截断的样子,此灶感觉不太舒服,但说不是必为恶性。其他结节不确切且风险低,目前不需要管。
2、手术问题:右下主病灶该考虑微创切除,由于仍有磨玻璃成分,且不太致密,大概率高中分化,位置靠边,该考虑楔形切除;次病灶术中需要探查,如果明显质偏硬的,那也要一并予以切除化验的。淋巴结可考虑采样送检。
最后结果:
杭州市第一人民医院胸外科叶建明团队予以行胸腔镜下微创手术。由于次病灶存在,加上主病灶剖面肉眼看是浸润性腺癌的,送快速切片确定是浸润性癌后,再行右下叶切除加淋巴结清扫术(如果再加上次病灶楔形切除,余下的右下叶组织相对已经较少,而主灶又是浸润性腺癌,本就是切肺叶更符合指南精神,所以考虑切肺叶)。取出下叶标本后,检查发现次病灶处也显质偏硬。

主病灶表面观,明显胸膜皱缩,质硬。

剖面灰白,无包膜,肉眼看也是像恶性的。

次病灶剖面见也是灰白的,略显湿润,但也倾向恶性范畴些。

主病灶术中快速病理示腺癌,贴壁生长为主型。
次病灶术中快速切片示:大量组织细胞聚集,周边见肺泡上皮核浆比增大,符合不典型增生。

主病灶常规病理示:浸润性腺癌,腺泡型占30%,乳头型占30%,贴壁型占40%,中分化,累及脏层胸膜间皮层(PL2)。淋巴结采样未见转移。
次病灶常规病理示:不典型增生。
感悟:
这个病例之所以要分享,我想有几个原因是经验,也是可供同道或结友参考的:1、术前阅片时要提高警惕:如果没有次病灶也像恶性,按我之前的理念,这种靠边缘的,术中又报贴壁为主型的浸润性癌的,一般不太建议患者选择切肺叶,这样肺功能维护更好,恢复更快。但此例由于次病灶存在,也像恶性,若考虑一并处理,那主病灶较大的楔形切除前提下,再楔切次病灶,下叶切除也已经较多,再留下的组织舒展性较左,肺功能维护的作用有限;2、术后病理与术中快速有时候会存在程度上的差异:但医生决策行何种术式时,要综合考虑是否多发,主病灶密度情况、术中病理情况以及随访进展情况等。像此例虽靠边,能楔形切除,但一是术前影像上看,并不是磨玻璃密度为主,密度相对还是较高的,术中报贴壁为主并不一定完全准确,术后可能会升级病理类型。事后来看,有侵犯胸膜,又中中分化,贴壁只占40%,乳头与腺泡型占60%,回头来看也是切肺叶是符合指南精神的。