肺血管疾病是指各种原因所致的肺动、静脉异常,可伴有或不伴有病变血管所管辖肺组织的异常。其病变包括数十种,根据病变血管的大小分为两大类:肺大血管病变和肺小血管病变。前者较常见的有肺动脉栓塞、肺动静脉瘘及肺动脉瘤等,后者以多发性肺小动脉炎为代表。根据病因又可分为先天性和后天性两种。前者包括肺动脉狭窄、肺动静脉畸形、肺静脉异位引流等;后者包括肺动脉栓塞、继发性肺动脉高压等。
肺动脉主干短而粗,位于心包内,起自于右心室,在升主动脉前方向左后上方斜行,至主动脉弓下分为左、右肺动脉。其中,左肺动脉走行到左肺门处分为上、下两支,分别进入左肺上、下叶。右肺动脉走行到右肺门处分为上、下两支,一支到肺上叶,另一支再分两支,分别进入右肺中、下叶(ER-4-2-1、ER-4-2-2)。在肺动脉干分叉处与主动脉弓下缘之间连接一条结缔组织索,称动脉韧带,是胎儿时期动脉导管的遗迹。肺动脉入肺以后,伴随支气管分支而分支,一般行走于相应支气管的背侧和下方,最终在肺泡壁形成稠密的毛细血管网,其血液与肺泡进行气体交换,使静脉血变为动脉血。
肺动脉系统先天性变异,包括肺动脉发育不良,肺动脉起源异常(如肺动脉吊带),特发性肺动脉扩张及肺动脉分支的变异等。
肺静脉左右各有两条,分别称为左肺上静脉与左肺下静脉、右肺上静脉与右肺下静脉。肺内毛细血管网静脉端逐渐汇合成小静脉,肺内各级的静脉汇合成为肺静脉干,然后出肺门,向内汇入到左心房后部的两侧(ER-4-2-1、ER-4-2-2)。正常情况下,每一侧肺有两条肺静脉干分别汇入左心房。在心包内段的肺静脉部分被心包的浆膜层覆盖。肺静脉与左心房交界处没有静脉瓣结构,左心房肌束延伸至肺静脉口作袖套状深入管腔达1~2cm,生理上起到类似括约肌的作用,当心房收缩时作相应的收缩,可减缓肺静脉的血液逆流。
肺静脉除收纳含氧丰富的肺静脉血外,也收集肺、胸膜和支气管等处的毛细血管血液,因此也收纳一部分静脉血。肺内较大的静脉包括段内静脉和段间静脉。许多肺静脉的属支走行在肺段之间,收集邻近两肺段的静脉血,同时在手术中,还可以作为肺段局部切除的重要标志。
肺静脉的变异主要包括肺静脉数目的变异和肺静脉汇入点的变异。有研究显示,标准的四支肺静脉解剖在总体人群中占70%,约23%的肺静脉可以多于或少于四支。肺静脉常见的变异主要包括:①一侧肺静脉共干,多见于左侧;②独立肺静脉;③肺静脉有多个分支,以右侧多见。肺静脉汇入点的变异主要指部分或全部的肺静脉没有汇入正常的左心房,而是直接汇入右心房及其属支,多见于先天性疾病。
肺的另一套血液循环是体循环中的支气管循环分支,它主要供给气管、支气管以及肺的营养。
肺内血管的CT表现主要取决于管径的大小和走行的方向,近肺门的大血管容易显示,而肺内小血管分支显示率不等。肺动脉和肺静脉在常规胸部CT平扫和增强中密度无差异,需要依据与支气管的位置和连续层面分析。肺门区的肺静脉、肺动脉与主支气管的关系从前往后依次为:肺上静脉、肺动脉和支气管,左右两侧排列相同。而在上下关系上,左右两侧排列不同,右侧由上至下依次为右上叶支气管、肺动脉、中下叶支气管和肺上静脉;左侧由上至下依次为左肺动脉、支气管和肺上静脉。两侧的肺下静脉均位于支气管的下方,被包于肺韧带内,位置最低。肺段动脉分支常伴行于同名支气管,多位于支气管的前、外或上方。肺段静脉主干位于同名支气管的后、内或下方,多不与支气管并行,从外围引流汇合成肺静脉主干而导入左心房后上部。CT增强扫描并进行后处理三维重组有助于显示上述肺、动静脉的立体关系(图4-3-3~图4-3-8,图4-3-7、图4-3-8,ER-4-3-1、ER-4-3-2)。

图4-3-3 CT横轴位的左肺动脉干层面
血管分支编号代表的名称分别为:1.升主动脉;2.降主动脉;3.上腔静脉;4.左肺动脉;5.左肺尖后段静脉;6.左肺前段动脉;7.右肺尖段动脉;8.右肺后段动脉;9.右肺后段静脉;10.右肺尖段静脉

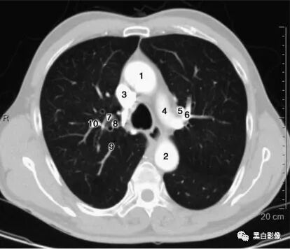
图4-3-4 CT横轴位的左右肺动脉分叉层面
血管分支编号代表的名称分别为:1.升主动脉;2.降主动脉;3.上腔静脉;4.肺动脉干;5.右肺动脉;6.左上肺静脉;7.左肺下叶动脉;8.左肺舌段动脉;9.左肺上舌段动脉;10.左肺下舌段动脉;11.左肺背段动脉;12.右肺中间支气管;13.左主支气管;14.左肺上叶支气管;15.右肺前段静脉;16.右肺尖段静脉;17.右肺后段静脉

图4-3-5 CT横轴位的肺动脉干层面
血管分支编号代表的名称分别为:1.升主动脉;2.降主动脉;3.上腔静脉;4.肺动脉干;5.左心耳;6.左心房;7.右上肺静脉;8.右肺中叶动脉;9.右肺下叶动脉;10.右肺下叶支气管;11.左肺下叶支气管;12.左肺下叶动脉;13.左肺舌段静脉;14.左肺舌段动脉

图4-3-6 CT横轴位的双下肺静脉干层面
血管分支编号代表的名称分别为:1.右心室;2.右心房;3.左心室;4.左心房;5.右下肺静脉;6.右肺内基底段动脉;7.右肺前基底段动脉;8.右肺后基底段动脉;9.右肺外基底段动脉;10.左肺基底段总静脉;11.左肺内前基底段动脉;12.左肺外后基底段动脉


图4-3-7 CTA显示各角度肺动脉主干及其分支
A.肺动脉前位;B.右侧肺动脉位;C.左侧肺动脉位;D.肺动脉后位。血管分支编号代表的名称分别为:1.肺动脉干;2.右肺动脉;3.左肺动脉;4.左肺尖后段动脉;5.左肺前段动脉;6.左肺下叶动脉;7.左肺舌动脉干;8.左肺上叶动脉;9.右肺叶间动脉;10.右肺中叶动脉;11.右肺下叶动脉;12.右肺内基底段动脉;13.右肺前基底段动脉;14.右肺后基底段动脉;15.右肺外基底段动脉;16.右肺背段动脉;17.左肺背段动脉;18.左肺内前基底段动脉;19.左肺外基底段动脉;20.左肺后基底段动脉


图4-3-8 CTA显示各角度肺静脉主干及其分支(心房后面观)
A.肺静脉后位;B.右肺静脉位;C.左肺静脉位;D.肺静脉前位。血管分支编号代表的名称分别为:1.左上肺静脉;2.左下肺静脉;3.右上肺静脉;4.右下肺静脉;5.左肺尖后段静脉;6.左肺前段静脉;7.左肺舌段静脉;8.左肺背段静脉;9.左肺基底段总静脉;10.左肺基底段上静脉;11.左肺基底段下静脉;12.右肺上叶静脉;13.右肺中叶静脉;14.右肺背段静脉;15.右肺基底段总静脉;16.右肺基底段上静脉;17.右肺基底段下静脉;18.左心耳
来源:柳叶堂胸外、黑白影像
