一句话总结肺部感染的影像诊断


图片

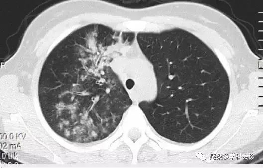
支原体肺炎:树芽征+磨玻璃影+大片实变+树雾征(晕征)+支气管壁增厚

图片

结核感染:树芽征+磨玻璃影+实变+空洞+结节+纤维化+支气管壁增厚+多形态病灶

图片

大叶性肺炎:磨玻璃影+实变+无空洞+胸腔积液

图片
图片

军团菌肺炎:大片实变+纤维化+变化快+重力效应+支气管壁增厚+胸腔积液+空洞及淋巴结肿大(免疫低下者)

金葡菌肺炎:树芽征+磨玻璃影+实变+空洞+纤维化+脓胸+液气囊+毒血症

图片

努卡氏菌肺炎:免疫力低+磨玻璃影+中心低密度实变+多发结节+胸膜受累

图片

曲霉菌感染:树芽征+磨玻璃影+实变+空洞+结节+晕征+胸膜下楔形影+支气管壁增厚+菌球征


巨细胞病毒多发微结节+磨玻璃影+实变+小叶间隔增厚+纤维化+空气潴留

图片

克雷白杆菌肺炎:磨玻璃影+膨胀性+实变+蜂窝脓肿+叶间隙下坠+砖红胶冻痰

图片

铜绿假单胞菌:弥漫性支气管肺炎+小叶中心结节+早期肺脓肿+胸腔积液+毒血症+蓝绿痰

图片
图片

厌氧菌:支气管肺炎+脓胸+脓气胸+多发肺脓肿

图片

念珠菌:双下肺+支气管肺炎+大片实变+空洞

图片

放线菌肺炎:持续性大片实变+空洞+跨叶+胸膜受累+淋巴结肿大

隐球菌肺炎:分叶/毛刺结节+大片实变+外周及胸膜下+空洞+晕征+假肿瘤征

图片

肺吸虫肺炎:实变+隧道样空腔+线状条带影+胸膜至肺延伸,慢性期条索影+多囊空洞+胸水

图片

肺包虫肺炎:多发水样囊腔+中下肺+厚壁空洞+漂浮荷叶征

图片

卡氏肺囊虫肺炎免疫力低+磨玻璃影+实变+间质增生+上肺囊状改变

图片

表1:各类型肺炎特点
图片


来源:医影家


图片