前言:随着越来越多多发磨玻璃病灶考虑是多原发早期肺癌的病例出现,对他们该如何处理极具纠结与不安。指南的原则太过笼统,不同医生的意见又太容易不一致,不处理有风险、处理又不知道该如何综合运用不同治疗手段为最优。于腺体前驱病变或微浸润性腺癌考虑的来说,即便多发也能随访,但随访到具有危险,已经是浸润性考虑以及有实性成分出现,占比又逐渐增高时该如何?太难了!但这大概会是以后越来越要面对的现实。医疗行业内部要多关注此类情况,并统一意见并出台更具可操作性的建议。
病史信息:
基本信息:
女性, 69岁 。
主诉:
查体发现肺结节3年余。
现病史:
患者于3年余前查体发现肺结节,无发热,无胸痛胸闷,无头晕头痛,无腹痛腹胀,于2024.05.26就诊于某省会城市全国非常著名医院行胸部CT检查示1.双肺多发磨玻璃及混合磨玻璃密度结节影,部分考虑肿瘤,以较大者为著,部分炎性可能, 请结合临床及旧片对比。2.双肺散在实性结节,炎性结节?其它?请结合临床随访复查。3.双肺少许慢性炎症,右肺上叶部分含气不良。4.心脏稍增大,升主动脉增粗。心包上隐窝少许积液。今为求进一步诊疗来诊。
希望获得的帮助:
该继续随访还是如何治疗?
影像展示与分析:
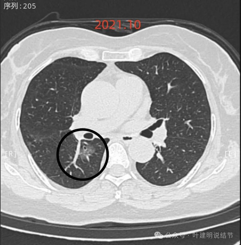
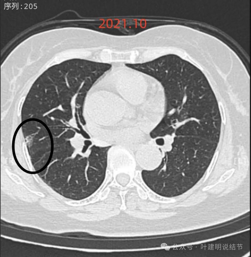
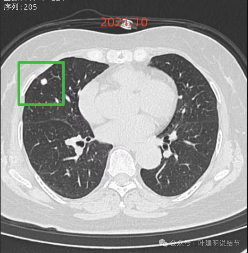
先看2021年10月时的影像:

左上叶混合密度结节,整体轮廓较清,瘤肺边界略糊,灶内有血管走行,也有细支气管扩张,表面不平,随访若持续存在,是要考虑肿瘤范畴的,微浸润性腺癌或原位癌可能性较大。

右下叶背段混合密度结节,也有血管穿行,表面不光滑,轮廓与边界清楚,考虑微浸润性腺癌或浸润性腺癌贴壁为主型可能性较大。

右中叶胸膜下磨玻璃影,有血管进入,贴着胸膜,密度不纯,但收缩力不显著,灶内有小空泡征。肿瘤范畴的可能性大些,微浸润性腺癌或浸润性腺癌贴壁为主型。

右中叶实性结节,边缘光滑,毛刺不明显,考虑良性可能性较大。
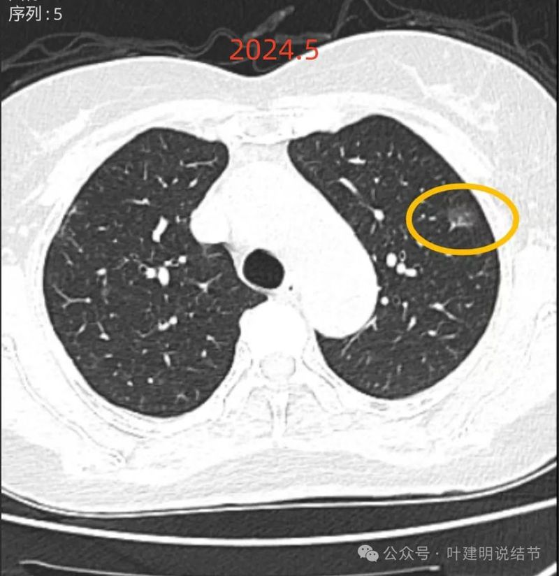
再看2024年5月时的影像:

病灶1:左上叶胸膜下磨玻璃结节,密度偏高但没到实性,轮廓与边界清,考虑原位癌可能性较大;
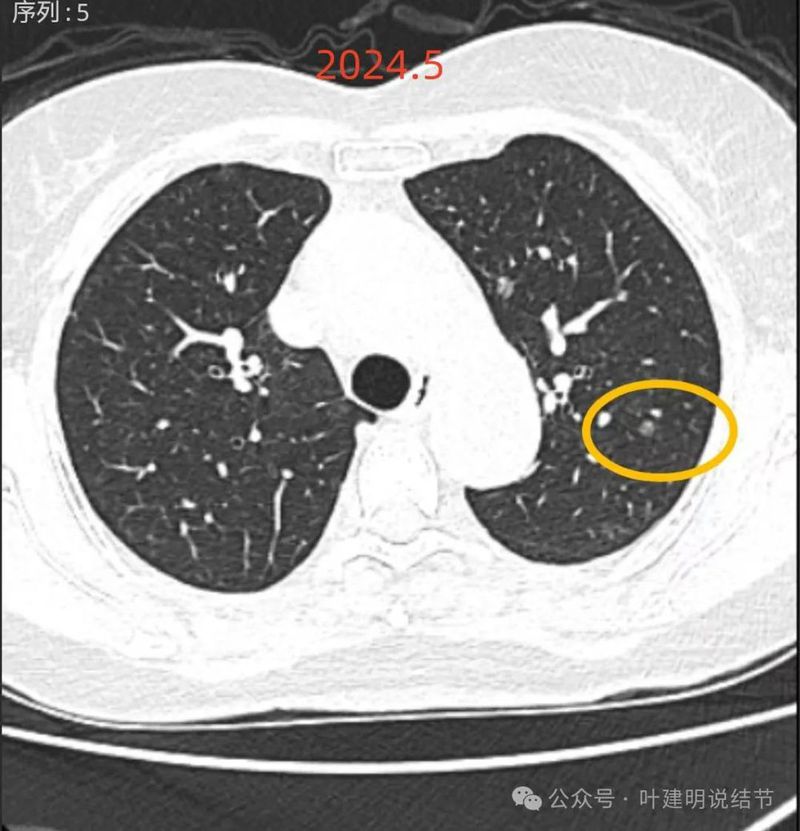
病灶2:左上混合密度病灶,较前有明显增大,密度也有增高,灶内实性成分较前明显,表面分叶。考虑浸润性腺癌可能性大些。

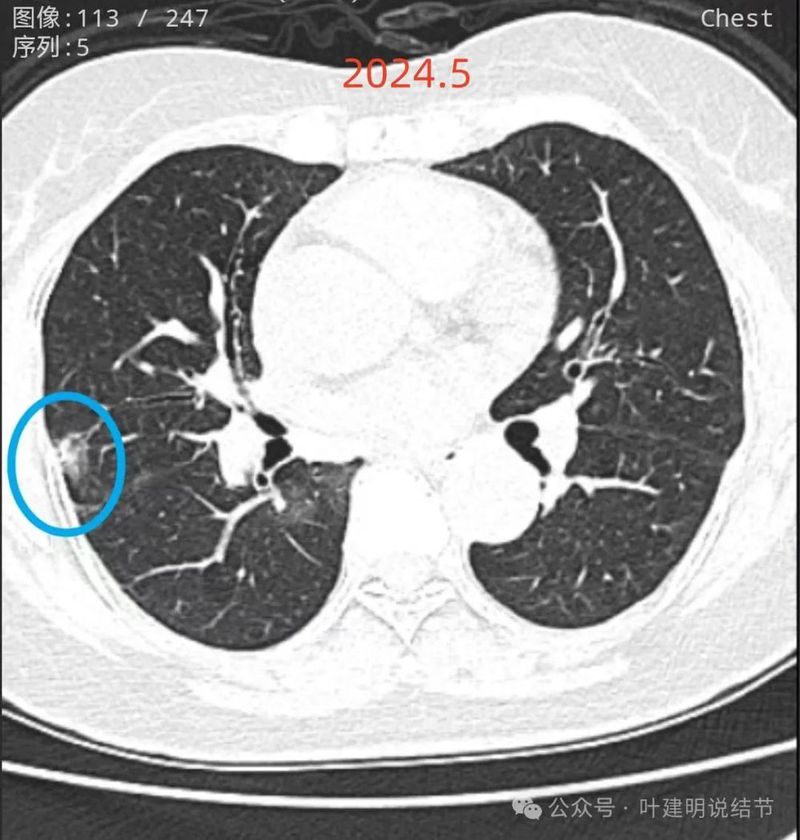
病灶3:右上叶微小结节,磨玻璃密度,有微小血管穿行,不典型增生或原位癌可能性大;
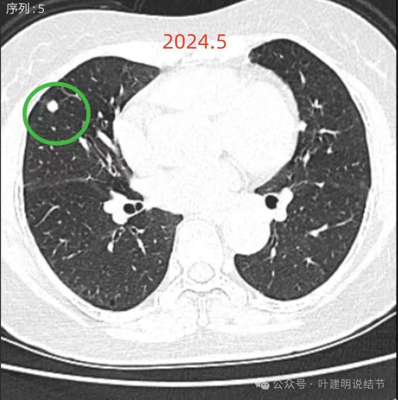
病灶4:右上叶淡而轮廓与边界均清楚的磨玻璃结节,考虑不典型增生或肺泡上皮增生可能性大;

病灶5:左上叶磨玻璃结节,有血管贴边以及小分支进入病灶内,边缘有毛刺样征,整体轮廓较清,考虑原位癌或微浸润性腺癌可能性较大;

病灶6:左上叶小磨玻璃结节,与病灶3相仿,考虑原位癌可不典型增生可能性大;

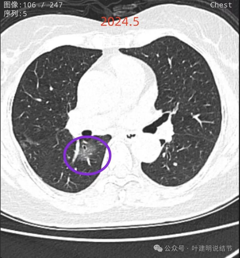
病灶7:右下叶背段混合密度病灶,灶内血管穿行,支气管壁僵硬,表面不平,轮廓与边界清,较2021年时密度增加不太显著,范围似略有扩大,考虑浸润性腺癌可能性大。

病灶8:右中叶混合密度结节,较前实性成分增多,边缘毛刺明显起来,考虑浸润性腺癌可能性大;

病灶9:右中叶实性结节,较2021年无明显进展,考虑良性可能性大些;

病灶10:右下叶基底段混合密度结节,有血管穿行,轮廓与边界清,考虑原位癌或微浸润性腺癌可能性大。
我的意见:
两肺多发磨玻璃结节,部分是混合密度。主病灶是红色这处在左上叶的,对比2021年有明显增大进展,考虑是浸润性腺癌可能性大,或者微浸润性腺癌;粉色的考虑原位癌可能性大;橘色的考虑不典型增生可能性大;黄色的考虑肺泡上皮增生可能性大;紫色的考虑微浸润性腺癌可能性大;绿色的考虑良性的可能性大;蓝色的考虑浸润性腺癌或者微浸润性腺癌;黑色的是2021年的时候比较明显的几处病灶。总体对比来看红色的范围增大比较明显,实性成分也有增加;蓝色的密度增加比较明显。首先考虑是多原发早期肺癌。个人觉得继续随访存在一定风险,当然由于病灶太多,也不是说都靠外科手术能够解决问题的,但是主要的有风险的病灶如果能够手术还是需要手术先解决,其他次要的病灶后续再考虑消融或者其他治疗。我的想法是先做右肺下叶背段切除(紫色,考虑微浸润或浸润)加上叶楔形切除(蓝色),下叶粉色的也可楔切或不切;之后看恢复情况过三个月左右再做左肺上叶切除。其余病灶后续如果随访进展考虑消融控制。意见供参考!为何先建议做右侧:先做右侧是因为右侧切得少,到时候再切左侧的时候,单肺通气更能耐受。如果先做左侧,下次做右侧时,左下叶单肺通气不太能耐受些。而且蓝色这处密度增加明显,又贴着胸膜,它的风险相对来说也较高,或许比左上红色的还高点。所以先做右侧。若非转移,靶向药个人不太建议吃,又不是晚期,是多原发早期肺癌可能性大呀。
感悟:
这类病人越来越多,什么时候该干预,怎么干预?手术怎么切?要不要一网打尽,还是解决主要的病灶?次要的病灶怎么处理?术后靶向药要不要吃、化疗要不要给?次病灶再随访进展怎么办?有没有什么办法延缓它们的发展?有太多的问题需要我们去思考、去解决、去探索!没有标准答案,标准只在于指南的原则,就是下面这样一小段描述:

没了!你说医生到底该怎么把握?我目前的想法是以下几点:1、多发结节考虑多原发肺癌的干预处理要相对孤立性病灶更保守;2、致病原因未明情况下,多发结节不应该追求一网打尽,而是综合评估风险、获益、肺功能影响、后续处理以及年龄、心理状态等多方面来权衡;3、最主要的病灶若已经考虑浸润性癌而且实性成分占比明显,或较之前有明显进展增多,需要干预。但对于切除方式要能楔切不段,能段切不叶,以能做到的最小的范围切除肺组织。不过同侧要兼顾次病灶,尤其是也有一定风险的次病灶,但淡而小或随访进展不明显的病灶不一定要同期解决。同侧次病灶的切除也是首选楔形切除,次远肺段切除;4、双侧同时有病灶时,需考虑哪侧的主病灶风险更高来决定哪侧先处理,兼顾下次手术的可耐受性;5、能手术的,肺功能吃得消的,目前理论基础上仍应该首选手术。主病灶切除以后,肺功能真有影响且吃不消再手术的,可以考虑消融或SBRT来解决次病灶,而且次病灶的解决也宜随访到有风险,确实需要干预的程度才考虑;6、若混合密度病灶或实性病灶有高危亚型或高危因素,特别是主病灶手术后淋巴结采样病理确定有转移的,考虑可以相对于单发病灶稍积极的术后辅助治疗策略;7、主病以手术确认已经是局部晚期的,次病灶以及对侧病灶不建议继续手术切除,而是按主病灶分期进行治疗。