前   言   

 

上一期我们学习了伤口的愈合与修复、细胞再生能力、一期愈合与二期愈合。这一期我们将介绍骨愈合、其他特殊组织的愈合和愈合过程可能出现的问题。
作者 |三岁

01

骨愈合
股骨是管状骨,这意味着它是由一个中空的板层骨鞘组成的,里面充满了脂肪、骨髓和骨小梁网。管状轴赋予骨骼强度,而骨片(或层)指示骨骼的方向,与压力方向一致。外力对股骨造成的直接创伤导致其沿轴横向骨折。血液会从受损的血管中渗出,造成局部血肿。当腿部移动时,两个自由骨折端结合在一起,这会给患者带来巨大的疼痛(骨膜拉伸是一种强有力的疼痛刺激因素),并在骨折部位产生捻发音。
骨折复位,即将骨折部位的股骨拉回对齐,并通过牵引维持在该位置。该部位被固定在石膏中,以提供最佳的愈合条件。在骨折部位,由凝血形成的血肿以及继发于炎症介质释放的局部组织肿胀形成一种内部夹板(图1)。来自血液和周围组织的中性粒细胞和巨噬细胞在数小时内出现,并在接下来的2天内数量增加。它们吞噬碎片:骨碎片、血凝块和受损的结缔组织。在炎症介质的影响下,成纤维细胞侵入创面,刺激新生毛细血管长入,将营养物质运送到创面。随着愈合过程的进行,纤维组织和软骨逐渐减少,骨化形成编织骨。
图片
图1 骨愈合
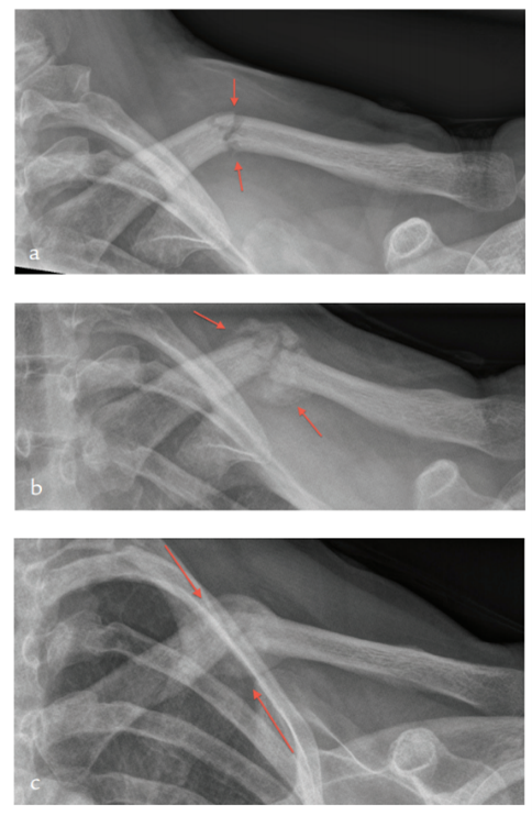
此时尽管骨折部位仍然肿胀,但其在压力下不再柔软或活动,通常认为骨折愈合了。放射学上,与原始管状板层骨有明显的区别,管状板层骨仍然明显破碎,但在伤口周围由编织骨的袖带连接,在X线片上表现为松散的骨网(图2)。

图片

图2 骨折的自然演变(红色箭头)

几个因素影响骨折愈合的速度,尤其是骨折的类型和位置(上肢比下肢骨折愈合快,斜或螺旋骨折比横向骨折愈合更快)。年龄和病人的营养状态,如一个孩子肱骨螺旋骨折可能3周的时间就能愈合,而一位上了年纪的病人、一个成年人和一个粉碎性骨折患者骨折愈合可能需要24周的时间。
编织骨需要几周或几个月的时间才能被骨内的破骨细胞重塑,成骨细胞则需要沿着压力线形成板层骨。一旦愈合,患者能够承受重量,肿块状的新皮质骨逐渐被吸收,多余的髓质新骨被移除,恢复正常的髓腔。编织骨被完全吸收并被板层骨所取代,恢复正常可能需要长达一年的时间。
02
其他特殊组织的愈合
1.      中枢神经
脑梗塞是神经元丧失的典型例子。神经元是一种“永久性”组织。中枢神经系统坏死后不会留下疤痕——死亡的脑组织液化并逐渐被清除,留下通常被称为“脑腔隙”的空腔。这个过程会刺激“神经胶质瘤”——相当于大脑的纤维化,这包括神经胶质细胞的增殖与毛细血管长入。
2.      周围神经系统
切断的轴突可以再生。新的原纤维从被切断的轴突近端萌发,每一个原纤维以大约1毫米/天的速度在生长过程中包围周围的施万细胞。如果原纤维沿着现有的神经内膜鞘生长,它的功能可能会恢复。如果芽生长偏离了正确的路径,结缔组织中的基质细胞分泌的物质就会附着在芽尖上,阻止它们进一步生长。
3.      肝脏
肝脏是一个神奇的器官,急性损伤后能够再生一半到三分之二的体积。事实上,它的再生能力是如此之好,以至于活体捐赠者可以通过自己的肝脏分裂来提供肝脏移植,并在移植过程中存活下来(图3)。

图片

图3 肝移植

肝脏可以通过三种方式再生。在日常的损伤中,单个肝细胞可能会死亡,邻近的细胞会分裂并取代它的位置。在更广泛的损伤中,位于门静脉束附近的肝组织中的干细胞(“卵形细胞”)增殖形成新的肝脏。真正严重的伤害,如扑热息痛过量,可能会使系统不堪重负,骨髓中的干细胞可能会迁移到该部位来协助治疗。新生成的肝脏除了含有较少的与年龄相关的色素(脂褐素)外在显微镜下与原来的肝脏没有区别。
03
愈合过程中会出现什么问题
如果初始刺激持续存在或直接激活适应性免疫系统,则可能发生慢性炎症和/或纤维化。在某些情况下(如类风湿关节炎、肺结核),慢性炎症过程可能导致严重的局部组织破坏。伤口愈合失败可能反映存在营养或氧气供应问题(例如贫血、周围血管疾病、压疮等),或者机械力可能干扰伤口部位的固定。正常的愈合过程可能受到药物或其他医源性(医学上产生的)因素的干扰。在一些创伤患者中,巨大的组织肿胀可能意味着在紧急手术后腹部无法关闭 (“腹膜隔室综合征”),必须用特殊敷料保持伤口完整和无菌。
纤维化是在愈合反应持续或失调刺激后,过多的、通常是无序的胶原沉积的结果。模式识别受体(PRRs)受到应激源分子——“病原体相关分子模式”(PAMPs;表1)的刺激,炎症小体聚集在一起响应PRRs的激活,导致半胱氨酸蛋白酶的激活和IL-1、IL-18的产生,这在伤口愈合和胶原沉积中很重要。在伤口修复过程中,IL-1和IL-18不是以波浪的形式到达,而是不断地产生。

图片

表1 病原体/损伤相关分子模式(PAMPs/DAMPs)和模式识别受体(PRRs)的一些例子

紊乱性纤维化或纤维性瘢痕的临床表现取决于它是发生在局部部位(如瘢痕疙瘩疤痕或手部掌腱膜挛缩症)、影响整个器官(如肝硬化、慢性肾损害或肺间质性疾病)还是全身(如系统性硬化症)。这种影响通常是永久性的,导致相关组织的功能受损。在某些情况下,如特发性肺纤维化(图4),致残性疤痕组织在没有明显炎症的情况下发展。

图片

图4 特发性肺纤维化(IPF)——早期和晚期,自身免疫性疾病的一个例子

04
妨碍有效伤口愈合的全身因素
1.      营养
蛋白质摄入不足会抑制胶原蛋白的形成,从而抑制抗拉强度的恢复。缺乏维生素C可抑制成纤维细胞分泌胶原纤维,并对肉芽组织细胞外基质中硫酸软骨素的沉积产生不利影响。维生素A具有与上皮细胞增殖和上皮细胞分化有关的功能,两者在伤口愈合中都很重要。锌缺乏症,如长期服用肠外营养的患者和严重烧伤的患者,与愈合不良有关(图5)。
图片
图5 身体所需的部分营养素
 2.    类固醇治疗、化疗和放疗
类固醇可以抑制炎症反应,对愈合的影响可能是由于进入伤口的巨噬细胞减少,因此巨噬细胞衍生的愈合重要因子减少。也可能对成纤维细胞有直接影响,减少胶原蛋白的产生。化疗和放疗也会减少循环单核细胞的数量,因此可能导致伤口巨噬细胞的减少。放射治疗可导致小到中型血管纤维化狭窄或闭塞。
05
妨碍有效伤口愈合的局部因素
1.      异物和/或感染
感染或异物的存在会增加炎症反应的强度并延长其持续时间。坏死组织的碎片如骨头,以及病人自身组织中错位的其他成分如头发或角蛋白,就像异物一样,可以形成病灶——细菌或真菌的滋生点。
2.      伤口边缘固定不良
任何组织的过度活动都会损害愈合并延长完全恢复的时间。任何导致伤口部位过度紧张或过度运动的因素,如切口位置不佳,都可能影响愈合。在骨骼中,骨折部位的移动可能导致不愈合或假关节的发展。
3.      血管供应
如果伤口部位的动脉灌注因狭窄或闭塞而受到损害,例如动脉粥样硬化或放疗,愈合可能会延迟或完全抑制。充分的静脉引流也很重要,静脉引流的损害可能在慢性溃疡的发生中起一定作用,慢性溃疡常发生在老年患者的腿前表面(图6)。充分灌注的组织缺氧,例如在严重贫血中,也会损害愈合。
图片
图6 血液供应不足、下肢水肿、营养不良和感染都可能导致卧床病人的压疮无法愈合
4.      异常疤痕形成
疤痕可能保持良好的血管,并含有大量的胶原蛋白。增生性疤痕从原来的伤口部位隆起,立即发展,并随着时间的推移而消退,而瘢痕疙瘩疤痕逐渐突出,然后超出原来的部位,在伤口愈合一年后开始发展。瘢痕疙瘩不会消退。
增生性疤痕和瘢痕疙瘩往往发生在深色皮肤的人身上,并且通常发生在特定的部位,典型的是耳垂、肩部和胸骨上方,或在紧张的部位,如自然的面部皱纹。
5.      瘢痕挛缩
瘢痕挛缩通常是严重烧伤或大量组织丢失的损伤的并发症。明显的收缩因为潜在的肌腱受累,可能导致关节畸形(图7)。
图片
图7 瘢痕挛缩早期
6.      肝硬化
肝脏在细胞被一次性损伤杀死后,如甲型肝炎感染或扑热息痛过量,其再生能力惊人。然而,如果损害持续数月或数年,如酒精性或非酒精性脂肪性肝病,最终会形成不规则的纤维瘢痕组织带(图8、图9)。
图片
图8 肝硬化:肉眼可见的不规则形状
图片
图9 肝硬化肝显微照片,肝细胞结节(H)被纤维带(F)隔开
7.      骨愈合特有的问题
骨折不愈合通常是骨折端过度运动的结果,这个间隙是由纤维性瘢痕组织来填补的。这可能形成无用的骨头,它无法抵抗附着肌肉的拉力。假关节类似于关节不愈合,但关节发育,有时有滑膜间隙和软骨衬里。很明显,这产生了一个无用的骨头。骨不愈合可导致骨变短、变形,但功能正常。在其他形式的不愈合中,相邻肌肉和骨骼之间可能形成粘连,这是炎症后瘢痕形成的结果。
8.      促进伤口愈合
对影响伤口愈合的因素的讨论强调,一个健康病人的干净、未感染、固定的伤口,其两侧紧密相对,最有可能迅速而整齐地愈合。目前正在研究几种伤口愈合的新方法:
(1)局部使用超声或激光治疗可以增加血管通透性,进而改善伤口愈合。
(2) 局部应用合成生长因子可以刺激慢性溃疡部位的愈合。
(3)顽固性骨折可以通过电流把骨头连接在一起,皮肤伤口也可能受益。

 

结  语

本期我们学习了骨愈合、其他特殊组织的愈合和愈合过程可能出现的问题。下期我们将为大家介慢性炎症、肉芽肿性炎症和其他类型的慢性肉芽肿病,敬请期待!

 

 

《Basic Pathology》