病史: 


61岁女性,无吸烟史,2024年7月行冠脉CT时发现右肺下叶磨玻璃结节14mm。后续马上复查肺部薄层CT。


肿瘤标志物及肺癌七抗(-)。


CT: 


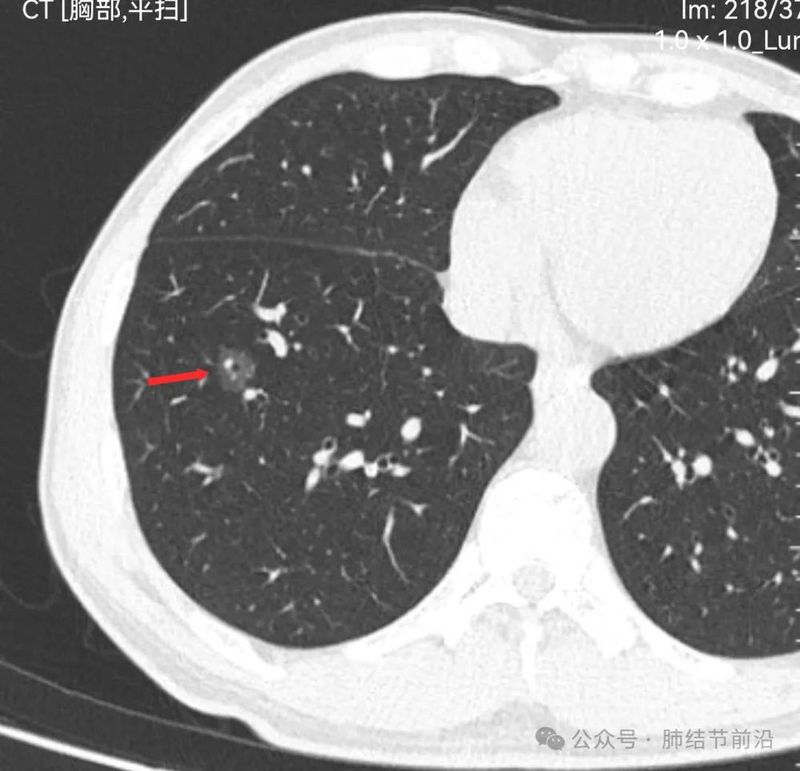
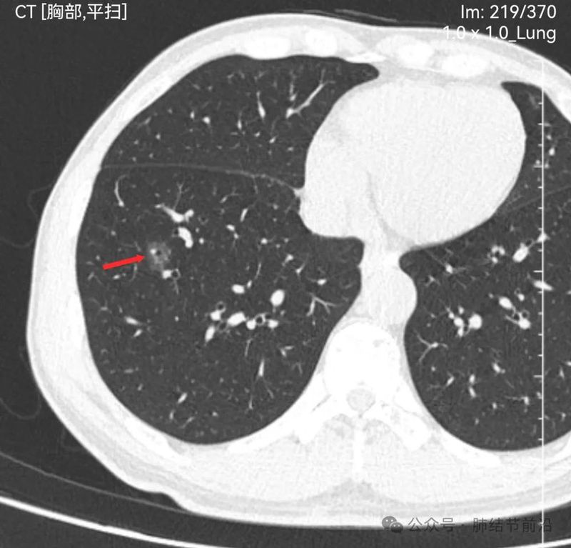
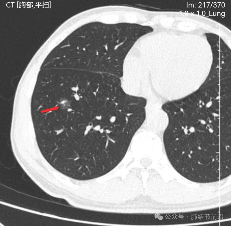
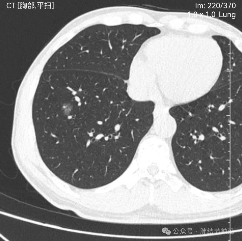
见右下肺纯磨玻璃结节14mm。有“血管穿过”、空泡。磨玻璃边界清楚而不毛糙。形态上是典型的肿瘤性磨玻璃,以微浸润腺癌可能大。


图片
图片
图片
图片
图片
图片
图片
图片

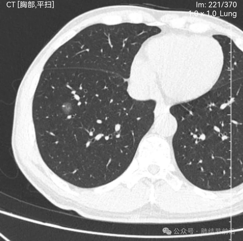
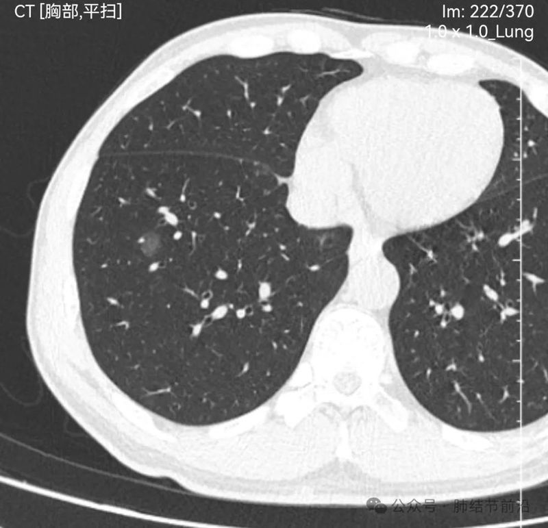
患者2个月后再次复查胸部CT,这次是在澳大利亚堪培拉的医院做的检查。看下澳大利亚

Ginninderra Medical Center的CT报告。


图片

报告描述,右下叶,未见占位及肿瘤,未见实变。前基底段见一12mm的纯磨玻璃影,无实性成分。考虑为慢性炎症性病变。肿瘤的概率非常低(very low)。

建议是:一年复查非增强低剂量CT


讨论:

纯磨玻璃结节的处理,中国和西方差异巨大。首先,西方国家比如美国,澳大利亚,加拿大等,对这种12mm左右的纯磨玻璃结节,参考美国ACR的Lung-RADS分级和NCCN指南,是一年复查。认为该结节是“良性”或者“惰性表现”。甚至结节有所增大(or growing)的时候,仍然建议复查。

图片

而我们国内的医生看这个结节,诊断上的确很有经验,这种10mm以上的纯磨玻璃结节,又有“血管穿过”,又有“空泡”,应该有9成以上的医生会建议手术了。

我的个人意见,国外的医生按照指南看病,确实有经验不足的情况。比如这个纯磨玻璃结节,显然不是慢性炎症。这个澳大利亚医院的诊断大概率是错误的。同时,国外对于纯磨玻璃结节,无论大小,均一年复查的处理,还是有些太宽松了。

而国内的处理又太过度。我们目前把磨玻璃结节手术的界限,一般定在磨玻璃结节有生长趋势,并且直径大于10mm。见《肺结节诊治中国专家共识2024版》”。这是比较符合中国国情的。但是实际上,国内更多的肺部磨玻璃结节,在6-10mm的时候已经被切除,甚至消融。

基于这种中西方巨大差异的问题,这里提出,中国人群的肺结节分级,即C-Lung-RADS,可以考虑采用。即把纯磨玻璃结节分为6mm,20mm两个界限。20mm以上为高危,6-20mm为中危,6mm以下为低危。来制定随访时间(3-12个月)。

图片

对于纯磨玻璃处理的东西方巨大差异,欢迎大家一起来讨论。

图片