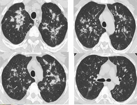
肺内“烟花征”,为活动性肺结核的CT表现之一。是结核经支气管播散并由多发小叶中央结节堆积而成,形态特征似烟花在空中散开。病理基础为细支气管及肺泡内干酪坏死性肉芽肿。

下文为解放军总医院放射诊断科赵绍宏教授课件分享,希望同行朋友们下次遇到类似病例,能够正确诊断。再次感谢赵教授的精彩讲解。

图片

图片

图片

图片

图片

图片

图片

图片

图片

图片

图片

图片

图片

图片

图片

图片

图片

图片

图片

图片

图片

图片

图片

图片

图片

图片

图片

图片

图片

图片


来源 : 医学影像服务中心
编辑 :Yan

图片