间皮瘤为起源于胸膜腔、心包腔和腹膜腔内衬浆膜的间皮的一组不同的良性实体和恶性肿瘤不同部位的间皮显示出共同的起源,来自侧板中胚层,因此原发性间皮肿瘤表现出相似的发病机制、影像学表现、和治疗方案。恶性间皮瘤是生物学上具有侵袭性的恶性肿瘤,主要发生在接触石棉的患者且生存率低,分化良好的乳头状间皮肿瘤和腺瘤样肿瘤临床病程预后良好。

图片

良性、发育性和恶性间皮病变
  • 原位间皮瘤

  • 腺瘤样肿瘤

  • 高分化乳头状间皮肿瘤(WDPMT) 

  • 腹膜包涵囊肿

  • 心包囊肿

  • 腹膜间皮囊肿

  • 胸膜间皮瘤

  • 心包间皮瘤

  • 腹膜间皮瘤

  • 睾丸鞘膜间皮瘤

 

图片

恶性间皮肿瘤的特征性影像表现
  • 胸膜间皮瘤:单侧胸腔积液,结节样胸膜增厚,以胸膜为基底的肿块,邻近组织的浸润;石棉相关性胸膜疾病伴胸膜钙化斑
  • 心包间皮瘤:心包积液、心包增厚、心包肿块侵犯邻近结构
  • 腹膜间皮瘤:干型--腹膜肿块无腹水;湿型--大量腹水、腹膜增厚或斑块或小结节;混合型--具有干湿两种类型的特点
  • 睾丸鞘膜间皮瘤:复杂的鞘膜积液,单个或多个睾丸旁结节或肿块,不太常见的睾丸旁厚壁囊肿

图片

良性间皮病变的特征性影像表现
  • 原位间皮瘤:复发性单侧胸腔积液,无明显原因,无任何影像上可见的肿块
  • 腺瘤样肿瘤:实性的边界清楚的睾丸旁结节;最常见的位置为阴囊
  • 高分化乳头状间皮肿瘤(WDPMT):缺乏特征性影像表现,可能不显示任何影像学异常或可见单个或多个小腹膜结节或散在的斑块状腹膜增厚,有或没有钙化;最常见的位置为腹膜
  • 腹膜包涵囊肿:无强化的薄壁多房囊性病变或簇状多发薄壁囊肿;可呈蜘蛛网状,正常卵巢被困在囊肿之间;无数微囊肿时可能看起来类似实性;常见部位为直肠或子宫的腹膜面、陷凹、结肠旁沟
  • 心包囊肿:心旁区单房性单纯囊性,最常见的位置为右前心膈角
  • 腹膜间皮囊肿:腹腔单房性单纯性囊性病变,常见部位为小肠系膜、结肠系膜、大网膜、卵巢周围区域

图片
图片

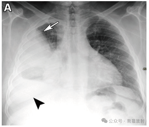
平片和CT在间皮瘤患者治疗中的作用。(A,B) 44岁男性,胸膜间皮瘤。胸部X线片 (A) 显示右半胸有大片阴影(箭头)和中等量右侧胸腔积液(箭)。冠状胸部CT平扫(B) 显示右半胸见较大的软组织密度肿块(箭)和相关的胸膜不规则增厚(箭)。右侧胸腔积液(箭头)。(C) 46岁男性,胸膜间皮瘤。胸部轴位CT平扫显示左侧胸膜软组织密度肿块和相关的胸膜钙化斑(箭)。

 

 

图片

67岁男性,胸膜间皮瘤。胸部轴位增强T1WI图像显示右侧肋膈胸膜结节样增厚、强化(箭),侵犯右胸壁(箭头)。MRI有助于肿瘤的局部分期。
图片
49岁男性,腹膜间皮瘤冠状18F-FDG PET/CT图像显示腹膜多发高代谢肿块(箭)。18F-FDG PET/CT 在CT分期和监测中起到补充作用
图片
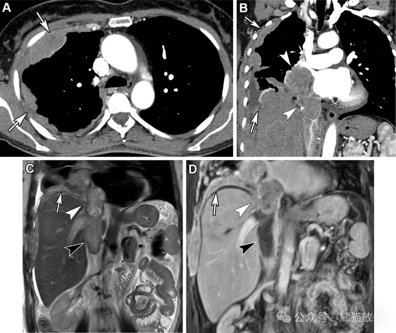
62岁女性,胸膜间皮瘤。(A,B) 轴位 (A) 和冠状 (B) 对比增强胸部 CT 图像显示右侧胸膜肿块(箭),不均质强化,并侵及纵隔和心脏,下腔静脉 (IVC) 血栓形成(B箭头)。(C,D) 下胸部和上腹部的冠状T2WI(C) 和对比增强 (D) MR 图像显示胸膜肿块(箭头)侵及心脏和心内膜,伴瘤栓(白箭头)和血栓 (黑箭头)。MRI有助于评估纵隔和血管的受累情况。

图片

74岁男性,胸膜间皮瘤。胸部轴位T2WI (A) 和对比增强T1WI (B) MR图像显示左侧纵隔胸膜不均匀等高信号肿物,明显不均质强化(箭),沿主动脉周围扩展,左侧胸腔积液(箭头)。

图片

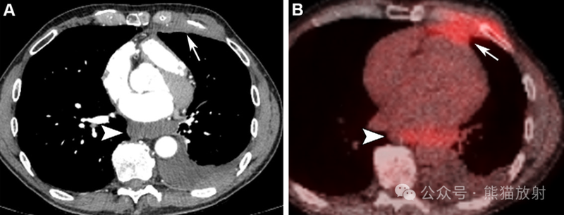
43岁男性,胸膜间皮瘤。轴位增强CT图像(A)及相应轴位18F-FDG PET/CT 图像(B)显示心前区胸膜不规则增厚(箭) 累及胸壁,心后区软组织密度肿块(箭头)。PET/CT图像证明这两个区域病变的摄取增加 (B)。请注意18F-FDG PET/CT 有助于识别隐匿性疾病和淋巴结肿大。
图片
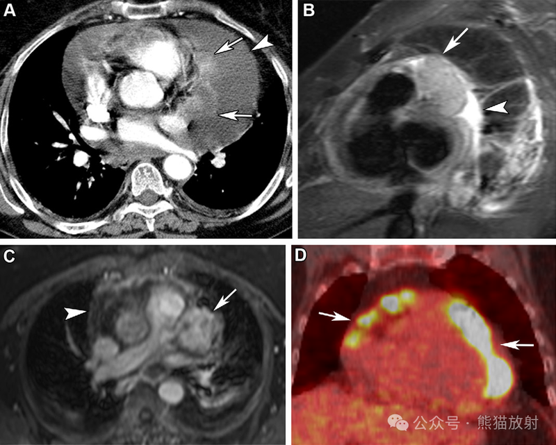
68岁女性,心包间皮瘤。(A) 增强胸部 CT 图像显示心包结节样增厚(箭)和大量心包积液(箭头)。(B,C) 矢状位T2WI (B) 和轴位对比增强T1WI (C) MR 图像显示有强化的T2等信号心包肿块(箭)和心包积液(箭头)。(D) 冠状18F-FDG PET/CT 图像显示明显高代谢的心包肿块 (箭头)。

图片

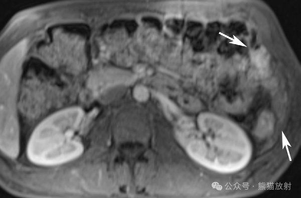
不同类型腹膜间皮瘤两例。(A,B) 46岁男性,湿型上皮样腹膜间皮瘤。腹盆部轴位(A)和冠状 (B) 对比增强 CT 图像显示腹膜不规则增厚,网膜饼形成 (箭)和严重腹水(箭头)。(C,D) 56岁女性,干型上皮样腹膜间皮瘤。腹部轴位增强 CT (C) 和T2WI (D) 图像显示大网膜明显饼状增厚 (箭)。

图片

66岁男性,腹膜间皮瘤,主要累及小肠系膜。腹盆部的轴位 (A) 和冠状 (B) 对比增强 CT 图像显示腹膜结节状增厚(箭)伴小肠系膜片状软组织增厚(箭头),肠系膜呈星芒状表现。

图片

57岁男性,睾丸鞘膜间皮瘤。阴囊的灰度 (A) 和彩色多普勒 (B) US图像显示睾丸旁不均质回声病变(A箭),血流增加(B箭)。

 

 

图片

腺瘤样肿瘤两例。(A) 61岁男性,阴囊偶发肿块。阴囊的纵向灰度超声图像显示附着在睾丸白膜上的有回声的病变(箭), 延伸至邻近的睾丸实质。(B,C) 29岁男性,灰度超声(B) 和T2WI(C) 图像显示左侧附睾边界清楚的等回声结节,T2低信号病变(箭头)。

图片

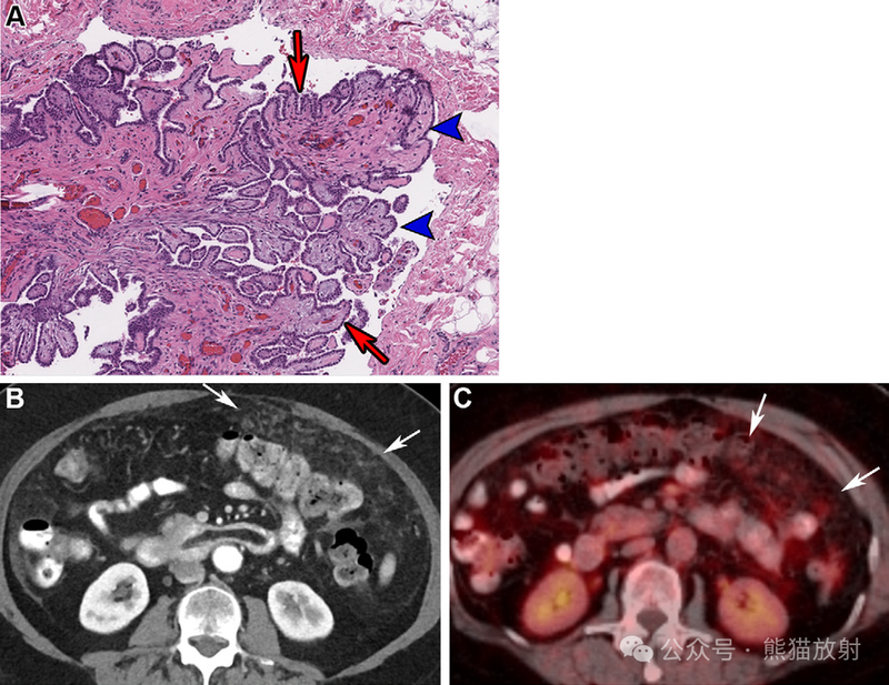
WDPMT两例。(A) 显微照片显示具有边界清楚的小而细长的乳头的WDPMT(箭),不侵犯周围的纤维脂肪组织。乳头表面排列一层扁平至立方体的间皮细胞(箭头)。(HE×5)(B, C) 74岁女性,WDPMT。腹部轴位增强CT图像 (B) 和相应的18F-FDG PET/CT 图像 (C) 显示网膜脂肪混浊并见软组织密度小结节(箭),代谢略有增加。

图片

37 岁男性,WDPMT。腹部轴位T1WI增强图像显示大网膜中多发的强化结节(箭)。

图片

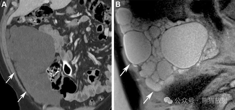
多房腹膜包涵囊肿两例。(A) 显微照片显示多个囊肿内衬单层扁平间皮细胞,具有温和的细胞核(箭头)和间皮细胞的钉状变(箭头)。周围组织无受侵。(HE×5)  (B-E) 36岁女性,多房腹膜包涵囊肿 ,有乙状结肠手术史。冠状对比增强CT (B) 和盆腔轴位T2WI (C)、冠状T2WI (D) 和对比增强(E) MR图像显示较大的多房囊性病变(箭),可见几个强化的分隔。沿着乙状结肠可见吻合器(图B箭头) 。正常的左侧卵巢(C和D中的箭头)被病变夹住,病变具有典型的蜘蛛网外观。

图片

61岁男性,多房性腹膜包涵囊肿。冠状位增强CT(A) 和冠状T2WI(B)显示右下腹多房囊性肿块(箭),内可见多发轻度强化的纤细分隔。

 

图片

35岁男性,心包囊肿。胸部轴位T2WI显示右前心旁区域单房囊性病变(箭) ,无任何分隔或实性成分。

 

 

图片

72岁女性,腹膜间皮囊肿。冠状位增强CT示右下腹见一较大的囊性病变(箭) ,肠系膜未见任何实性成分。

 

 

↓ 内容来源:
RadioGraphics 2022; 43(3):e220128

图片