概述


间质性肺炎(interstitial pneumonia)系肺间质的炎症,是指一种发病原因不明、肺部呈现间质性改变为主要表现的肺部疾病的统称。病因有感染性与非感染性之分。感染性间质性肺炎可由细菌或病毒感染所致,以病毒感染所致者较多见。多见于小儿,常继发于麻疹、百日咳或流行性感冒等急性传染病。

    
临床表现


临床主要表现为低氧血症、呼吸障碍、弥散功能下降等。除原发的急性传染病症状外,常同时出现气急、发绀、咳嗽、鼻翼扇动等。在婴幼儿,由于肺间质组织发育良好,血供丰富,肺泡弹力组织不发达,故当间质发生炎症时,呼吸急促等缺氧症状比较显著。


    
影像学表现


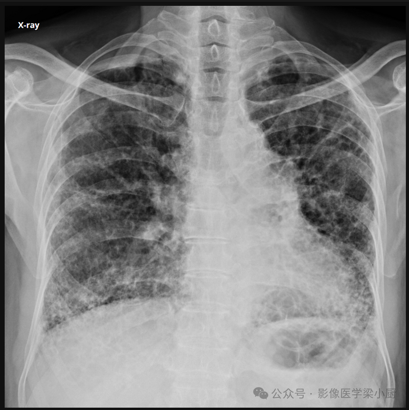
X线:


病变分布较广泛,好发于两肺门区附近及肺下野。病变累及支气管及血管周围的间质时,可见纤细条纹状密度增高影,边界清楚或略模糊,其走行僵直,可数条相互交错或两条平行。病变累及终末细支气管以下的肺间质时,病变显示为短条状,相互交织成网状的密度增高影,其内可见间质增厚所构成的大小均匀而分布不均匀的小结节状密度增高影。有时肺野内可见广泛的细小结节状影,大小一致,分布不均,但肺尖及两肺外带常不受累及。由于肺门周围间质的炎症浸润以及肺门淋巴结炎,可引起肺门影增大,密度增高,但结构不清。

图片

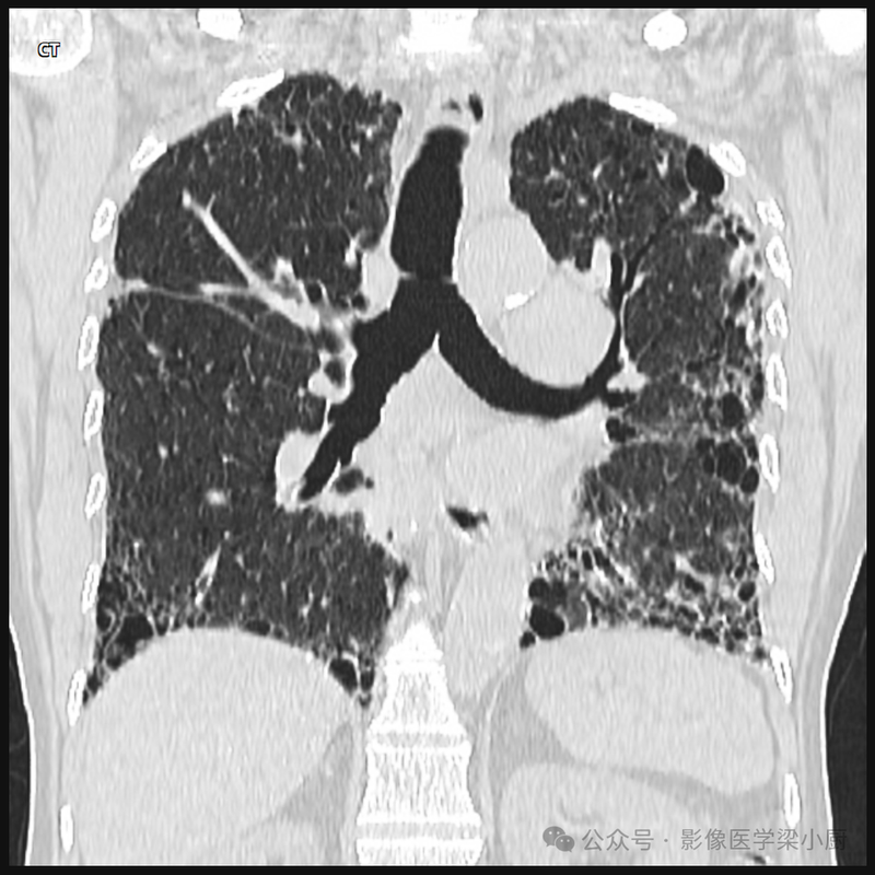
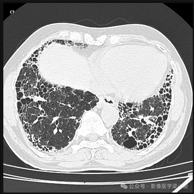
CT:


可见两侧肺野弥漫分布的网状影,以下肺野明显。HRCT可见小叶间隔及叶间胸膜增厚。有时,两肺可见多发弥漫分布的小片状或结节状影,边缘清楚或模糊。有时可见小叶肺气肿或肺不张征象。在急性间质性肺炎早期阶段,由于肺泡腔内炎症细胞浸润伴少量渗出液,肺泡内尚有一定的气体,可见磨玻璃样密度影。肺门和气管旁淋巴结可肿大。


图片
图片

参考文献:

[1]韩萍,于春水.医学影像诊断学(第4版)[M].北京:人民卫生出版社,2016.207-208.
[2]李健.高分辨率CT在间质性肺炎病变临床诊断中的应用研究[J].继续医学教育,2020,34(07):144-146.
[3]张韬军,乔英,李健丁.急性间质性肺炎的CT表现及其病理学基础[J].中国中西医结合影像学杂志,2015,13(06):683-685

来源:影像医学梁小厨



图片