健康产业创新服务平台
资讯
业务发展与探索
数字化与科技创新
先锋科研
政策动态
研报专区
找我合作
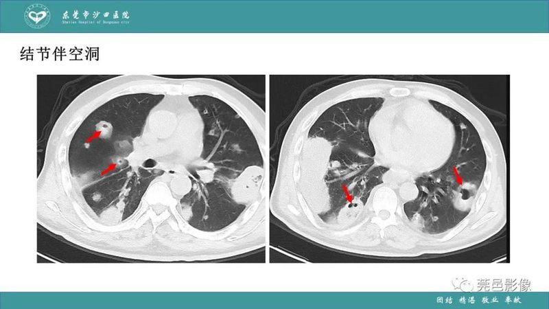
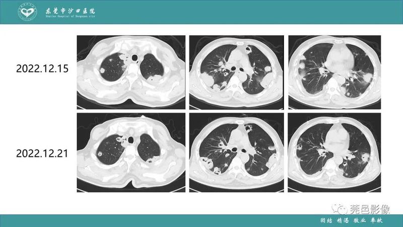
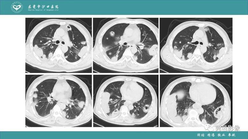
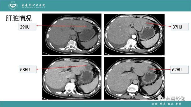
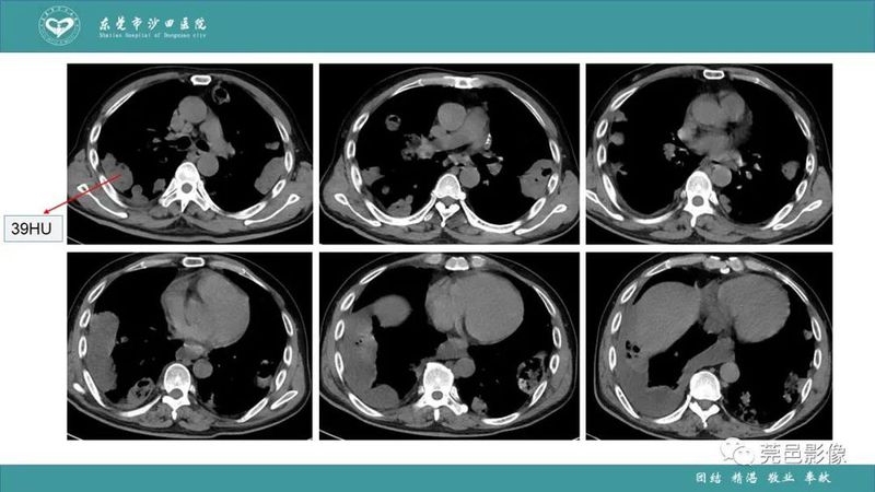
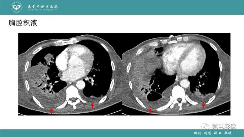
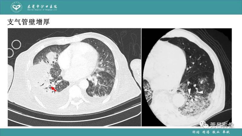
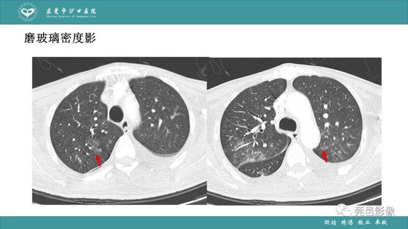
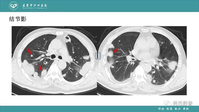
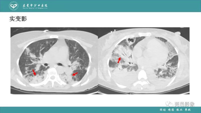
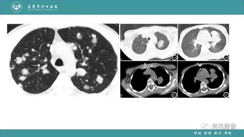
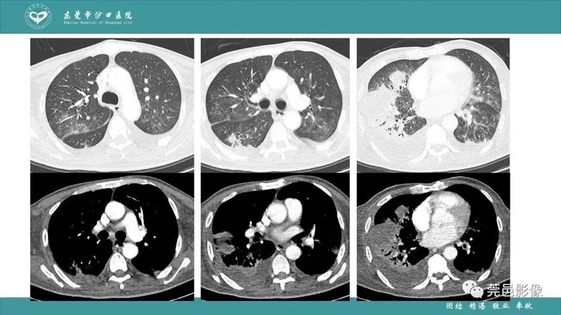
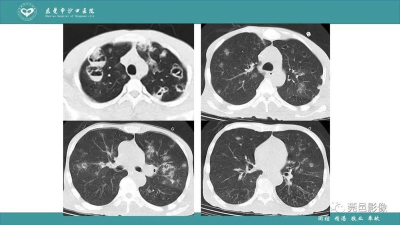
「肺炎克雷伯杆菌肺炎」影像学诊断+鉴别诊断
2025年1月18日
来源
:
莞邑影像
梅斯呼吸新前沿
最近内容
别再乱开「左氧氟沙星」了!这5个处方“雷区”,90%的医生都没注意
抢救过敏性休克:肾上腺素该打哪儿?肌注 or 静推,90%的人都搞错了!
游走性肺叶实变,这个病因罕见却可能致命!
社区获得性肺炎(CAP)24种病原体的首选抗菌药,一表拿下→
又一起用药事故!地塞米松+这个常用药=致命组合,很多医生还在这样用……