小泡、肺大疱、囊肿和空洞

小泡、肺大疱、囊肿和空洞都是肺的含气病变,它们的区别在于大小、位置和壁的组成不同

几乎这些病变内都可充满或部分充盈液体,常由感染、出血或液化坏死引起。

当这些病变内完全充满液体时,在常规X线片和CT上表现为实性密度影,但CT值低,由此可区别于实性肿瘤

当同时包含液体和气体,在平片(水平X线束投照)或CT上可见气-液平面

图片

小泡

小泡是胸膜内形成的小泡样病变,常位于肺尖,很薄,在CT上可见,在常规胸部平片上不可见。通常认为小泡与自发性气胸有关。

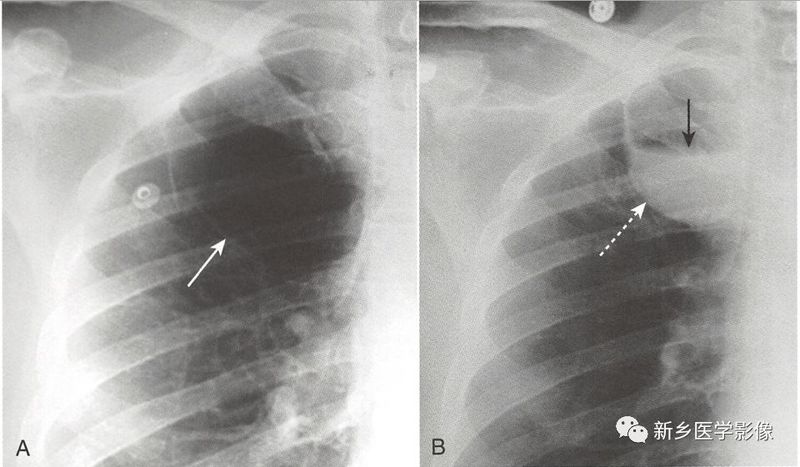
肺大疱

肺大疱多大于1cm,常与肺气肿有关,位于肺实质内,有非常薄的壁( <1mm),常规胸部平片上仅部分壁可见,在CT上更易显示

图片

常规平片上可见局部肺纹理缺乏,由此来推断存在肺大疱。

肺大疱可增大充满单侧胸腔,受累侧肺组织被压缩似消失(肺消失综合征)。

肺大疱感染或出血可见气-液平面。

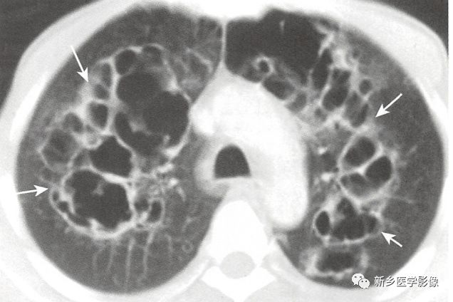
囊肿

囊肿可以是先天的也可以是后天的,可位于肺实质内也可位于纵隔。囊肿壁很薄,比肺大疱壁厚一点(<3mm)。

肺气囊表现为薄壁囊肿,常继发于葡萄球菌或肺孢子虫引起的肺部感染。

图片

空洞

空洞的大小可从几毫米到几厘米。常位于肺实质内,是由于病变中心坏死形成的。

空洞壁是4种含气病变中最厚的,从3mm到几厘米不等。

图片
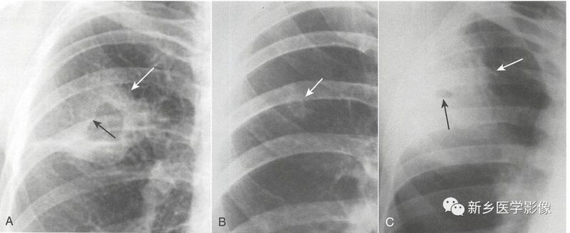
3种最常见的肺空洞性病变,常常可通过空洞壁的厚度、内缘平滑度和壁结节鉴别。
A、鳞状细胞支气管肺癌形成的是厚壁空洞(白色实线箭头),内有壁结节(黑色实线箭头)。
B、肺结核空洞壁相对较薄,位于肺上叶,内壁光滑(白色实线箭头)。
C、葡萄球菌肺脓肿表现为特征性厚壁(白色实线箭头),该例患者空洞很小,且内壁光滑(黑色实线箭头)

空洞的3种常见病因(癌、脓肿、结核)的区别:

图片


来源:新乡医学影像

编辑:Yan


图片