介绍

肺的主要功能是进行气体交换,包括肺通气和肺换气。
肺换气的顺利进行依赖于肺泡气体与肺毛细血管血液之间的气体顺利交换,而肺内液体平衡是保证顺利进行肺换气的重要因素之一,任何原因导致的肺水肿都会影响肺组织的气体交换。
间质性肺水肿是病变的早期阶段,继而进一步发展为肺泡性肺水肿。
病理原因为基于多种原因,引过多的组织液不能被肺淋巴及肺静脉系统所吸收,最终引起功能性障碍。

病因

 

肺水肿是在多种疾病基础上发生的过多体液积聚于肺组织内的状态,其病因主要有肺泡毛细血管血压增高,肺泡毛细血管通透性增高,血浆胶体渗透压降低,其他因素如肺淋巴回流障碍等。

影像学表现

 

1.间质性肺水肿的早期表现可见肺血转流,典型间质性影像学表现有小叶间隔增厚、支气管袖套征、叶间裂积液、胸腔积液等:
(1)肺血转流,该表现出现在间质性肺水肿的早期,影像学上可见肺内血流的再分布,下叶血管因间质水肿导致外周阻力增加而收缩变细,上叶血管出现相对扩张,出现上、下肺野血管纹理相等或由于肺循环充血甚至出现上肺野血管扩张,下肺野血管因收缩相对变细,肺血管纹理从肺野外上方走向肺门,走行方向较正常时的肺纹理直,无明显分支,即平常所述的“反转血流”;
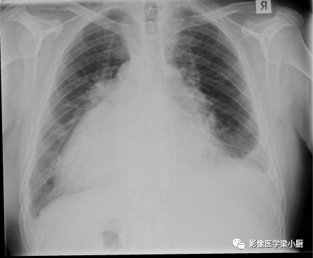
图片
心源性肺水肿,上肺野血管纹理增多,肺内血流重新分布,心影增大,双侧胸腔积液。
(2)小叶间隔增厚: 正常人的胸片一般看不到小叶间隔,当左心功能不全导致肺静脉压升高后,过多液体渗入小叶间隔的结缔组织,使小叶间隔增厚,形成小叶间隔线,包括 Kerley A、B、C。
其中 Kelery B 线为典型代表,正位片多位于肺底,靠近肋膈角,呈与胸膜表面几乎垂直的短细的水平线,一般长约1 ~2 cm,宽约1 mm 左右,可延伸到胸膜表面。
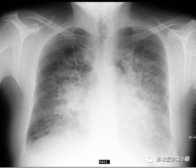
图片
间质性肺水肿X线图像,双肺小叶间隔增厚,表现为双肺下叶几乎垂直于胸膜表面的短细的水平线,称为Kelery B线。
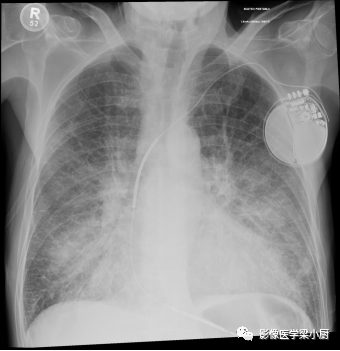
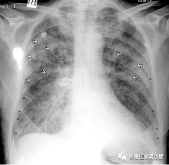
图片
急性肺水肿患者X线图像:双肺外野可见Kelery B 线(黑色箭头),为间质性水肿表现。双肺同样可见趋向于融合的结节性阴影(白色箭头),为肺泡性肺水肿表现。
图片图片
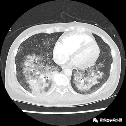
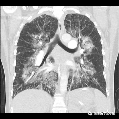
间质性肺水肿CT表现
2.肺泡性肺水肿影像学主要表现为絮状、模糊、斑片状气腔病变,可以是间质性肺水肿发展的结果,也可以是肺泡及血管上皮细胞受损害后的结果,多出现在病情较重阶段。
(1)肺泡实变阴影: 在肺泡水肿初期,少量液体聚集在肺泡腔,影像上开始出现浅淡磨玻璃影,边缘较模糊,当肺泡水肿持续加重后开始出现气腔实变影且边缘分界逐步清晰,明显的患者可以出现空气支气管征或空气肺泡征。
(2)分布特点: 肺泡性肺水肿多位于中心,可表现为中央型、弥漫型和局限性三种表现。
中央型为双肺中内侧带对称分布的磨玻璃影,肺门区密度最高,向外逐步减低,肺野外侧带常不受累,肺下叶比肺上叶严重,即“蝶翼征”,这种表现也可能与肺外侧带淋巴引流能力较强或肺周围部呼吸时容积改变较大相关,此种表现典型但却较少见。
图片
蝶翼征
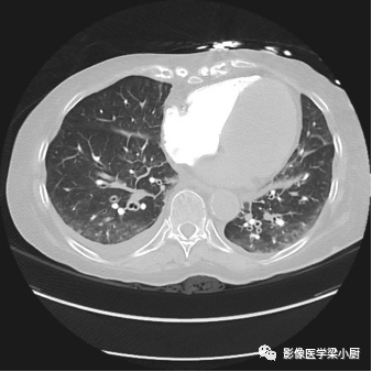
图片图片
肺泡性肺水肿CT表现
弥漫型主要表现磨玻璃影位于中下肺外带,且从上至下、从前至后分布,逐渐增高,密度不均匀、边缘较模糊,常分布不对称,以急性左心衰多见。
局限型表现为磨玻璃影位于一侧或一叶,右侧较左侧多见,考虑可能因心脏病患者多喜右侧卧位,增大的心脏压迫左肺动脉,使左肺血流量少于右肺所致。

鉴别诊断

 

 1.心源性肺水肿与非心源性肺水肿的鉴别:
心源性肺水肿影像学表现主要为小叶间隔对称性均匀光滑增厚,支气管壁增厚出现支气管袖套征,肺泡水肿出现磨玻璃影并可合并实变,磨玻璃影常趋于肺门旁区且呈重力性分布。
非心源性肺水肿影像学表现与心源性肺水肿有明显不同,非心源性肺水肿的磨玻璃影或实变影因炎症损伤多在肺外周明显,不受重力影响、不随重力分布,血流分布无肺血转流等表现,无明显间质性肺水肿表现,不出现“袖套征”,也无间隔线,也不伴随心影增大等表现。
2.心源性肺水肿与肾源性肺水肿的鉴别: 
肾源性肺水肿因水钠潴留和代谢产物堆积共同作用引起肺部继发水肿改变,主要由于有毒代谢产物堆积引起肺毛细血管内皮通透性增加有关。
3.心源性肺水肿与肺间质纤维化的鉴别: 
肺间质纤维化可由多种病因引起,如结节病、慢性支气管炎、尘肺等。疾病早期常出现磨玻璃样密度,常位于双下肺野外带背段及后外基底段,其边缘模。在中晚期一般出现网状结构或者蜂窝状改变,蜂窝状改变以肺野中外带分布为主。

参考文献:

[1]胡美玲,戴书华,于世勇.心源性肺水肿的影像学特征与其病理生理机制[J].中华肺部疾病杂志(电子版),2020,13(04):479-483.
[2]陈楚钦.心源性肺水肿的影像学特征以及鉴别诊断研究[J].现代医用影像学,2020,29(01):78-79.

[3]吴帮远,聂小军.不同类型肺水肿的CT表现及鉴别诊断[J].实用医技杂志,2013,20(06):614-615.

 

来源:影像医学梁小厨