前言:肺结节的随访其实也是挺折磨人的,因为总是怕结节进展是肺癌该开刀了!许多结友说每到该复查临近的时候就会焦虑,查好没有变化又暂时舒一口气。而若随访时突然检出一个原来没有大的肺部结节或占位,那又该怎样的担忧与不安呢?但这种情况并不是非常罕见,今天分享的这个病例就是这样子的,那到底新增的病灶是不是恶性呢?我们又该如何来考虑与决策?
病史信息:
基本信息:
男性, 67岁 。
疾病描述:
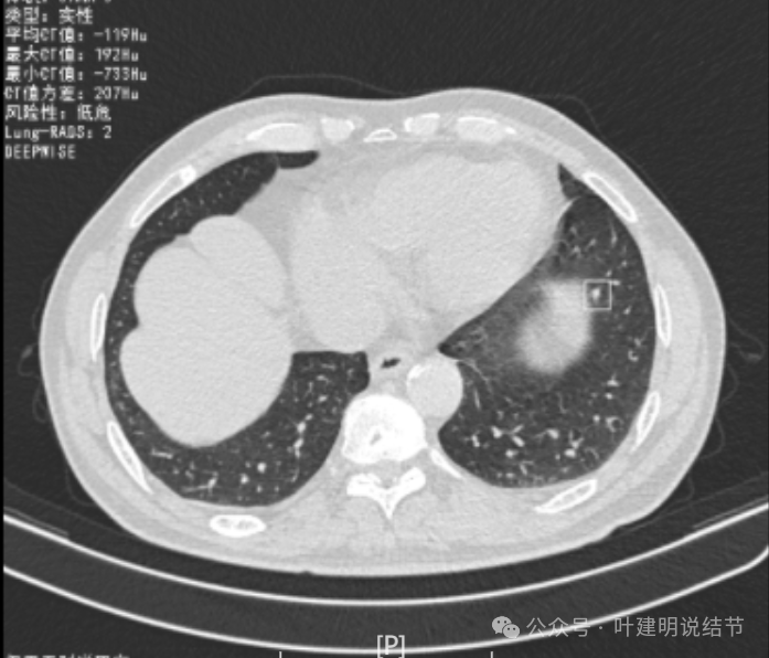
患者自2020年开始体检发现肺部有多发小结节,无明显不适,每年定期复查。 2022年3月和2022年8月分别复查胸部平扫CT提示肺结节无明显变化。 2023年未复查。 2024年6月例行复查发现右肺下叶有一1.9×1.8cm的实性结节。并有多个小的实性结节。后于6月20日起口服拜复乐莫西沙星两周,期间于6月27日补查增强CT。 7月20日复查平扫CT未见变小。于7月25日行PET CT检查。提示右肺下叶实性结节SUV摄取增高,最大13.9。右肺上叶小结节轻微增高,最高1.0。
请帮忙解答几个疑问:
1.右下叶的大结节是恶性吗?如果是的话,是小细胞癌的可能性大吗? 2.PET提示右上SUV轻微增高的小结节,请帮忙与2022年的影像对比一下,是原来就有的产生了变化还是新增的呢? 3.右肺还有许多小结节,有可能是是多发转移吗? 4.右下叶的大结节与其他小的会有关联吗?谢谢!
既往病史:
手术:下肢动脉堵塞,2021年进行过搭桥和支架植入手术。
希望获得的帮助:
请帮忙判断右下叶以及右上叶的结节是否是恶性,以及其他小结节与大结节的关系。以及后续治疗建议。谢谢您!
影像展示与分析:
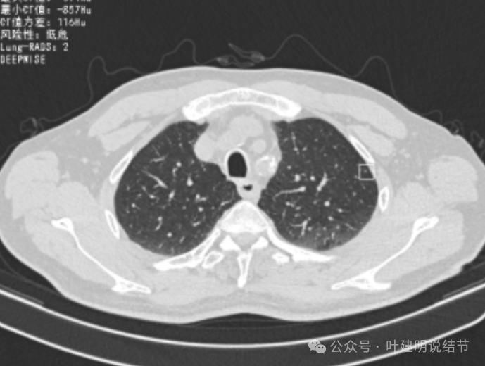
我们先来看2022年3月主要病灶的影像:

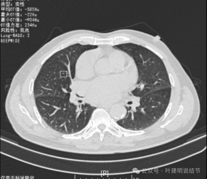
右上叶结节实性,密度高,边缘平整,轮廓清楚,像良性些。

右下似见微小结节,实性,与边上小血管截面不太好区分,过小没什么临床意义,能随访。

左下胸膜下实性结节,轮廓稍模糊,密度较高,边缘较光,像淋巴结些,能随访。
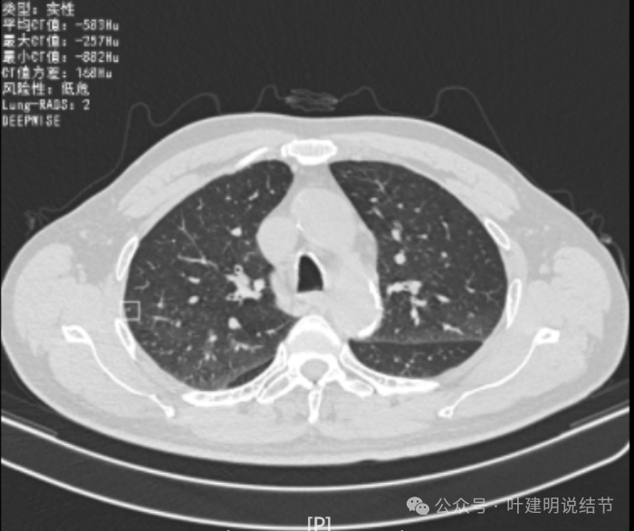
再看2022年8月复查时AI报告找出来的影像:









多是微小实性结节,主要的仍是右上与左下的这两处,较3月时无明显变化。而右下原来似有微小结节处这次并不明显。

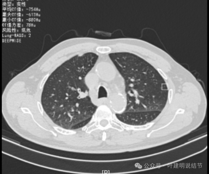
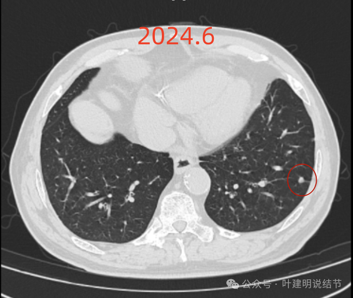
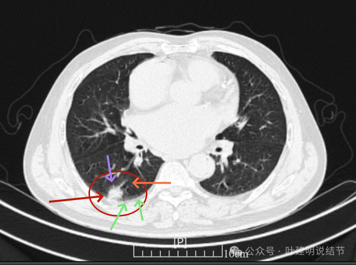
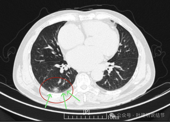
再看2024年6月时的影像:

右上没有明显变化,仍考虑良性可能性大。

左下也考虑良性,与2022年无明显变化。

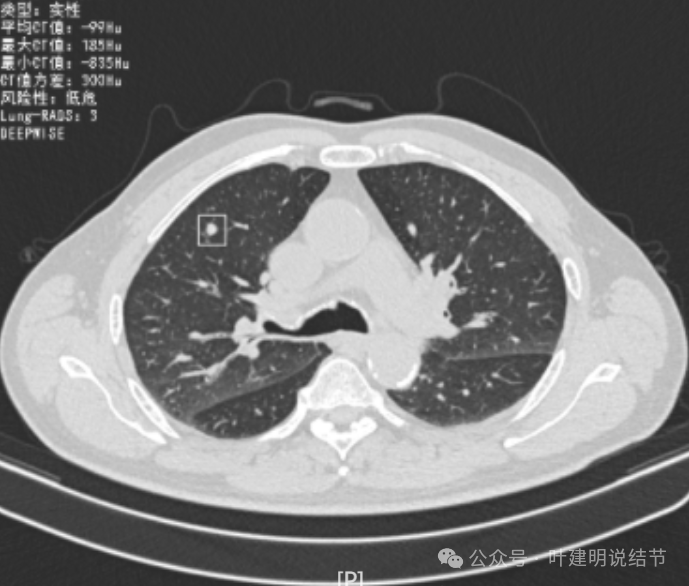
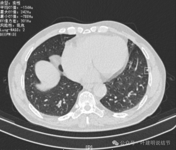
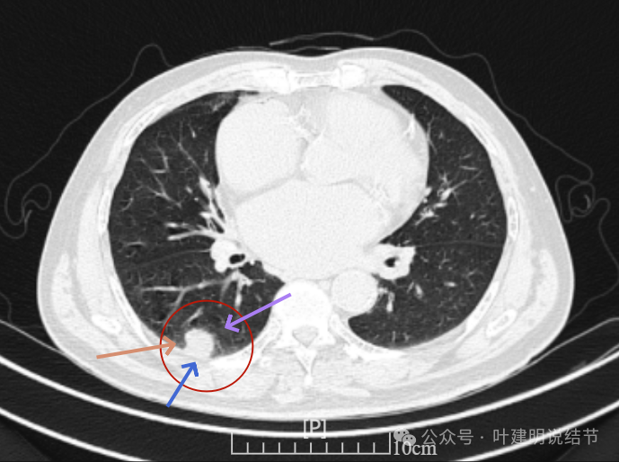
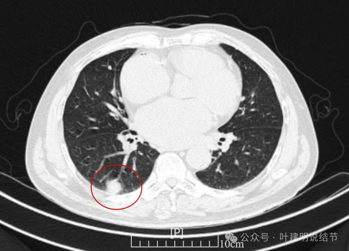
右下新增病灶,混合密度,整体轮廓较清,瘤肺边界欠清。

有小血管进入,边缘毛糙。

局部有毛刺,但不够锐利;病灶感觉有一层晕似的,邻近胸膜下也有淡磨玻璃影。

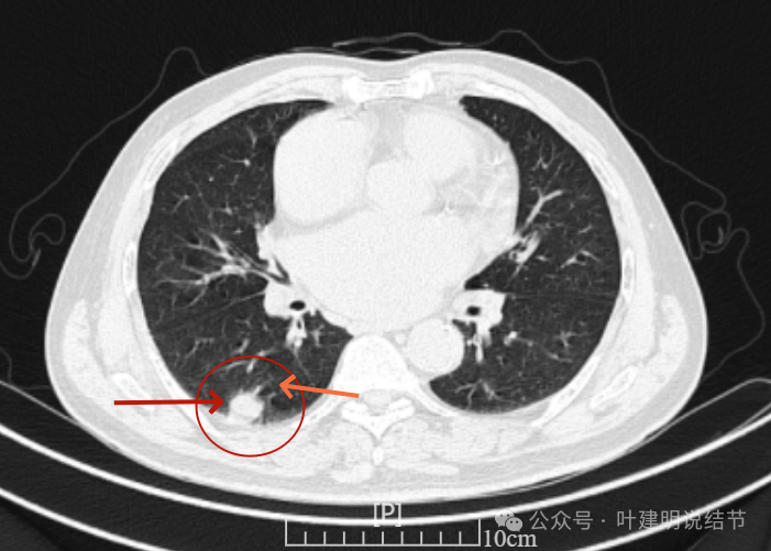
实性密度为主,周围少许很淡的磨玻璃影。

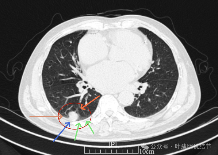
边缘不平有毛刺,但不锐利;贴着胸膜但无明显牵拉。局部表面有浅分叶似的,但总体膨胀感不够。

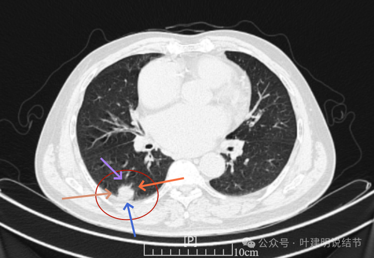
病灶表面不光滑,边上有晕,邻近有淡磨,贴着胸膜无牵拉。

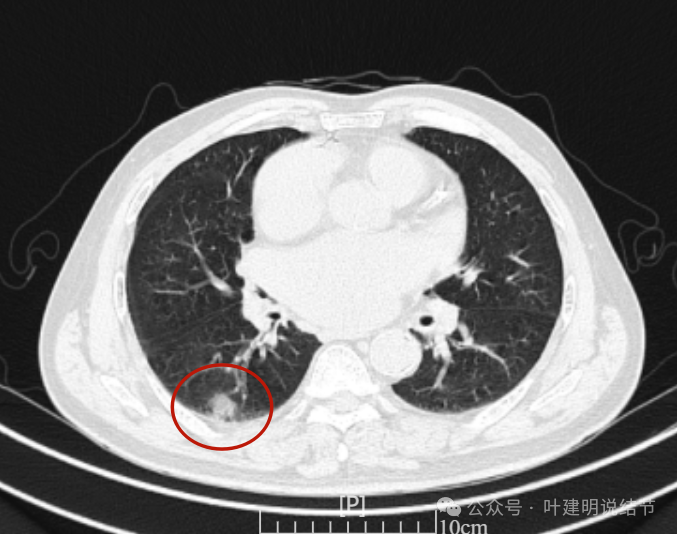
病灶边缘欠清晰,瘤肺边界稍模糊。较宽的基底贴着胸膜。

病灶有血管进入,有浅分叶,实性为主,邻近胸膜有片状淡磨玻璃影,近胸膜无牵拉。但有一定膨胀性。

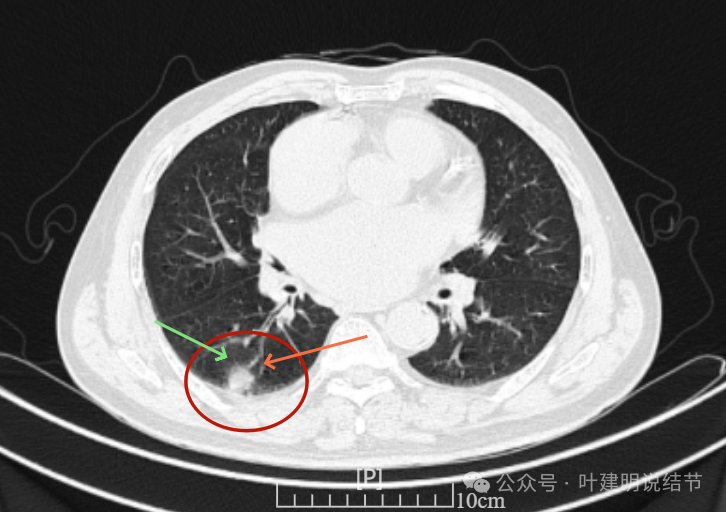
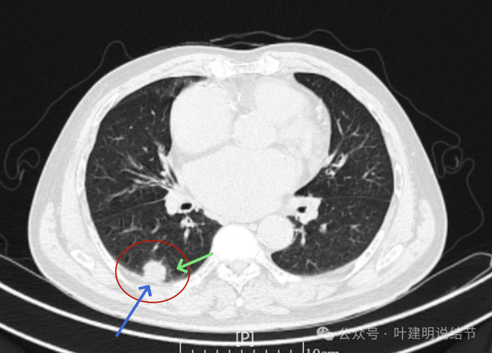
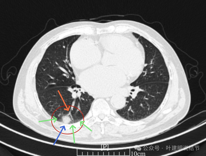
病灶实性,与血管关系较为密切。

血管走向病灶,但似乎没有被病灶影响,有向内侧的分支甚至没有哪怕一点凹向病灶侧。整体显得偏模糊。

边缘区域杂乱,边糊。

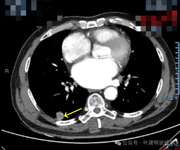
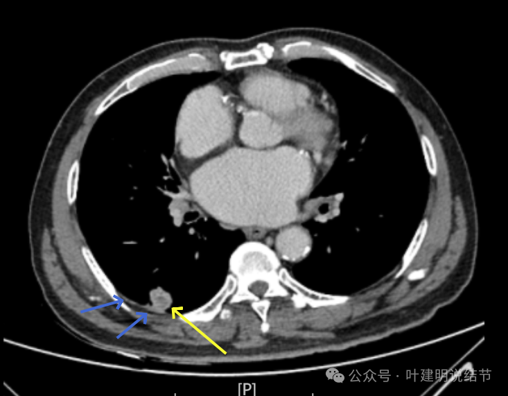
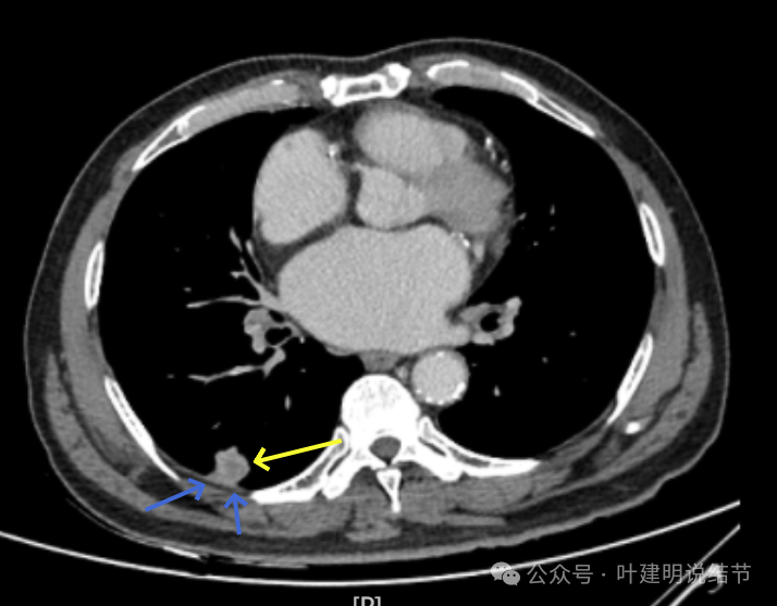
这是冠状位、矢状位与轴位的影像。

增强纵隔窗见病灶内部的密度好像低于周围区域,像坏死。

邻近胸膜无牵拉,灶内有低密度区,局部有点状液性密度。邻近胸膜较为广泛的增厚或胸膜反应。

病灶与胸膜接触面宽,病灶内部密度较低。
我的回复:
你的结节,对比各次的影像,原来的肺多发结节主要病灶是右上叶与左下叶这两处,其他过小。直到2022年8月,右下这处均不明显的。2023年没查,今年突然发现。首先几点:1、原有的结节没有明显进展,实性且小,考虑是良性的;2、右下结节原来没有,这次检出是新发的;3、两肺多发结节必不是右下这处新检出的病灶转移的(因为它们原来就有,右下这处是新发的)。右下这处的特点则有以下几点:1、病灶实性密度,磨玻璃成分不明显,但总体上并不是具有强收缩力或显著膨胀性的,与恶性程度很高的肺癌似乎不符合;2、表面不平毛糙,但毛刺样征并不锐利,紧邻胸膜也无明显胸膜牵拉凹陷,不是典型恶性的影像表现;3、口服消炎无好转,不像普通急性炎症;4、纵隔窗上见病灶内部密度低,周围的密度高些,中间更像坏死或液性密度。但这么小的肿瘤容易中间缺血性坏死吗?显然这与肿瘤恶性程度高而中间乏血供而坏死是不符合的。而这种表现与肉芽肿性炎伴坏死比较符合;5、病灶与胸膜紧邻,胸膜侧在纵隔窗上见基较宽并有胸膜增厚,这与炎性改变更为符合。我的感觉总体上倾向肉芽肿性炎可能性大,建议完善结核与隐球菌方面检查,并同时CT引导下穿刺活检(这个位置穿刺容易也风险小,又能取得病灶依据)。若有结核或隐球菌方面阳性结果,请内科医生按相应结果治疗;若均阴性,且穿刺也未见癌细胞,则可考虑3个月左右复查随访,当然也可直接局部胸腔镜下局部切了化验,既达诊断目的,也去除病灶。这要你自己酌情考虑选择。意见供参考!
感悟:
影像不能代表病理,确诊要有病理依据,但我们通过细致的影像分析能使诊断尽量离真相更近些。并通过手术与随访的利弊分析以期望达到对机体最为有利的选择。但任何过于在意百分之百确诊的想法当然应该要考虑穿刺或手术以取得病理依据。不过我总想,要考虑哪种可能性为大,总不能查出肺结节都一切了之,良性最好,恶性更是该手术。医生应该是力求“开该开的刀”,选“最合适的手术时机”,择“最恰当的手术方式”才是应该努力追求的目标。以患者的利益为中心考虑问题,充分的沟通与说明、详细的利弊分析与老量,最后的选择权交给患者自己决定。