前言:肺结节的检出率太高,多发比例也高,从临床工作与网络咨询中来看,肺结节其实许多时候已经成为心理上的疾病,焦虑不安与到处咨询问诊,但其实许多结节风险并不大,有的多发结节更是都甚为微小,根本看不出良恶性,也不必老是复查随访的。可以由于科普太多、太乱,意见不一致,医生的决策与考虑也各不相同,有让随访、有让手术、有让消融;有说一网打尽,也有说抓大放小;有建议3个月复查,也有说每年复查就可以。说到底我认为这主要是由于肺结节与磨玻璃结节与传统肺癌不一样,而其中的部分病例或部分结节确实病理上也是肺癌范畴的,而现行肺癌诊疗指南的数据仍是来源于传统肺癌,但却套用在肺小结节与磨玻璃结节上,这是混乱不一最根本的原因。此外,医院规模扩张、医疗绩效改革使医院要以增加营收为重要的目的,医保支付改革导致医院收入结构的变化等都是导致一定程度过度检查、过度治疗的促进因素;第三是目前医疗纠纷处理与医疗鉴定的机制导致过于重视辅助检查以及诊断的全面性,从而存在过度诊断的问题。而若真正患者的利益为中心,所有医疗行为都考虑到患者的利益,那么很多问题其实并不复杂,只要看是否有利于患者就行了嘛!今天分享的这个病例也是多发结节,或许不同的医生会有不同的决策,但我们仍秉持“寻找最合适的时机,以最小的创伤、花最少的钱,办效果一样的事”之原则来进行临床决策与治疗。

病史信息:

  诉:发现肺结节1年余。

现病史:患者1年前于当地医院体检,行胸部CT提示肺部结节(具体报告未见),患者无明显症状,无畏寒、寒战,无咳嗽、咳痰,无胸闷、胸痛,无恶心呕吐,无腹痛腹泻,无头晕头痛骨痛等不适,未予治疗。2025-01-14前往杭州市肿瘤医院复查肺结节CT靶重建+结构化报告 1.【靶结节】右肺上叶磨玻璃结节,MIA考虑考虑,请结合结节门诊意见。2.两肺多枚微小结节灶,LUNG RADS 2-3,建议6个月复诊。3,右肺中叶纤维灶。现患者未见明显不适,为求进一步诊治来我院门诊就诊,拟“肺部阴影”收入我科。  患者起病以来,神志清,精神可,胃纳可,睡眠安,二便正常,体重近期无明显变化。

影像展示与分析:

先来看两肺多发结节的总体情况:

图片
病灶1:左上叶肺尖淡磨玻璃影,轮廓稍显模糊,少许慢性炎或肺泡间隔增宽可能性大。
图片
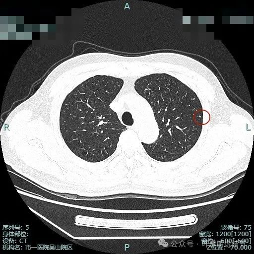
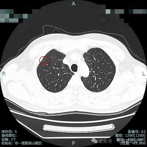
病灶2:右上肺胸膜下微小磨玻璃结节,表面欠光滑,倾向肺泡上皮增生之类的病变,目前不十分确切,但风险总是低的。
图片
病灶3:右上叶点状偏高密度微小结节,只有1毫米许,无法定性,但增殖灶的可能性大点,因为密度感觉稍显高。
图片
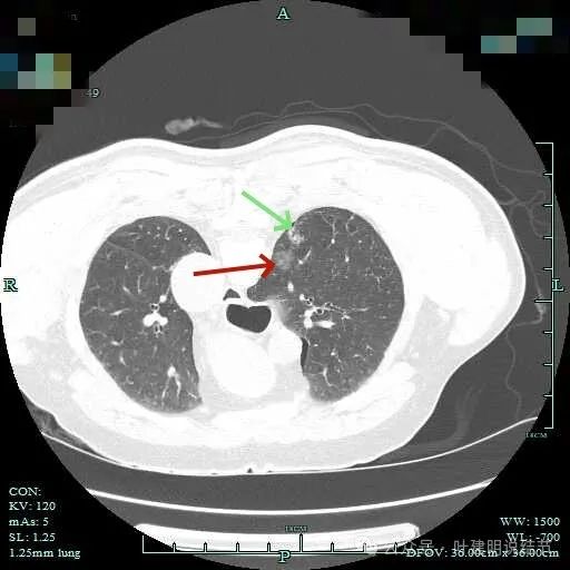
病灶4:左上叶点状高密度结节,良性可能性较大。
图片
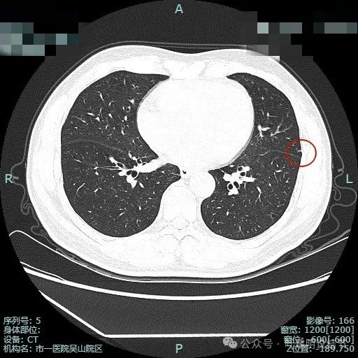
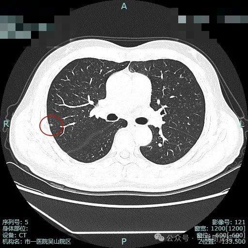
病灶5:右上叶前段血管旁微小磨玻璃结节,轮廓较清,与血管挨得近,考虑是肺泡上皮增生或不典型增生可能性大。
图片
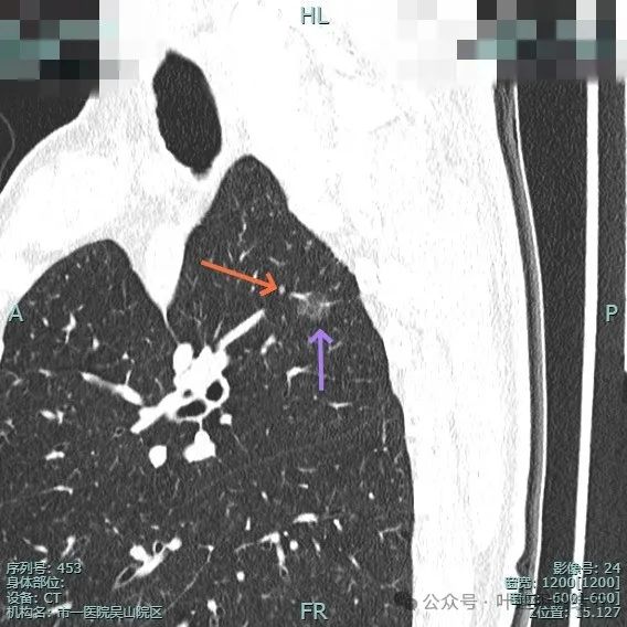
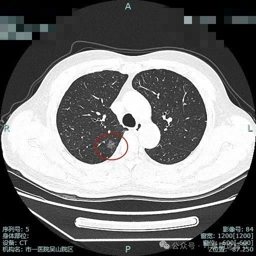
病灶6:右上叶后段磨玻璃结节,有浅分叶征,结合前面图上有血管穿行,考虑是肿瘤范畴的,以微浸润性腺癌或浸润性腺癌贴壁为主型可能性大。
图片
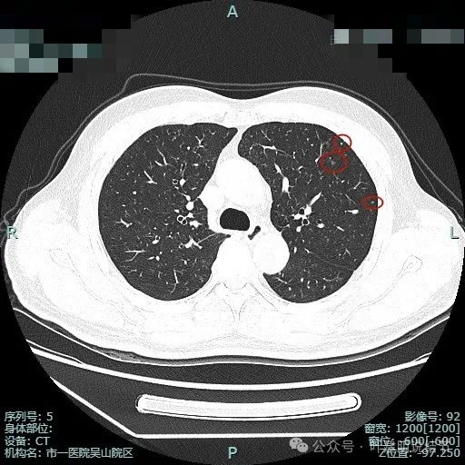
病灶7:左上叶胸膜下微小不足1毫米点状高密度,无法定性,但良性可能性大,因为密度显得较高;
病灶8:距离胸膜约1.5厘米许微小磨玻璃结节,大概1-2毫米之间,轮廓较清,以肺泡上皮增生可能性较大;
病灶9:左上叶胸膜下微小结节,密度不如病灶7高,又不如病灶8大,无法确定性质,但必能随访。
图片
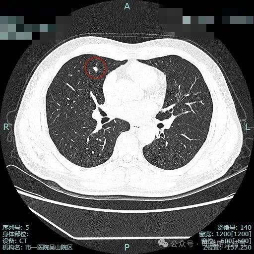
病灶10:右上叶胸膜下微小结节,表面不平,密度也非实性,显得形态不太规则,考虑良性或肿瘤范畴的原位癌或微浸润性腺癌均可能,但太小了,如果只有此灶只需随访。
图片
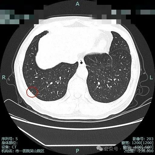
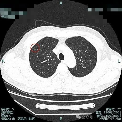
病灶11:右肺实性结节,边缘略模糊,缺乏膨胀感,考虑良性可能性大些。
图片
病灶12:右下叶微小结节,点状,密度较高,良性增殖灶可能性大。
图片
病灶13:左上叶舌段磨玻璃结节,但呈长条状,贴着胸膜,纤维条索可能性稍大,但由于密度不够高,也无法完全除外肿瘤范畴的肺泡上皮增生或不典型增生,但必能随访。
图片

病灶14:左上叶微小结节,密度较高,但未钙化,考虑增殖灶可能性大。

再来看主病灶右上叶后段病灶6的靶重建影像:

图片
病灶磨玻璃密度,未见明显实性成分,但有血管进入。
图片
血管穿行明显,表面有毛刺征,灶内有空泡征。
图片
分叶明显,灶内点状高密度(血管穿行)表面有细小毛刺征。
图片
灶内密度略显不均,有空泡征,表面有毛刺征。
图片
毛刺与血管进入,整体是纯磨,轮廓与边界清。
图片
少许毛刺,整体轮廓清。
图片
血管穿行并发现细小分支的样子,表面不平有细毛刺,灶内有小空泡征。
图片
血管穿行并略有增粗,表面不平有浅分叶,整体轮廓与边界清。
图片

血管进入并有发出分支,边缘有细毛刺,表面不光滑,整体轮廓清,瘤肺边界清楚。

临床考虑:

1、结节性质:主病灶是结节6,其他结节有的过小无法明显,有的是微小磨玻璃密度也考虑广义上的肿瘤范畴,但目前风险不大,由于两肺分散分布,也不适合均予以干预处理,当然更无必要。而主病灶由于纯磨密度,伴血管征以及空泡征,表面也不平,浅分叶征也有,又随访过没有好转,所以单从影像密度看是原位癌或微浸润性腺癌可能性大,但由于有血管进入穿行,并显得略有增粗与发出分支,考虑时要加一级,所以我术前考虑是微浸润性腺癌或浸润性腺癌,贴壁为主型。

2、手术考虑:主病灶位置靠边,又考虑至少微浸润性腺癌,甚至也可能是浸润性癌了的,手术只需定位后楔形切除,所以微创手术是以较小的创作与代价解决有一定风险的结节。倾向于手术切除为妥,但不往大了切,不做肺段,更不做肺叶,不管最后病理是什么类型。病灶10由于密度不纯,表面不平,虽也可能良性,但位置靠边,如果病灶6要切除,病灶10最好顺带切除为妥,其他过小的先不管。

最后结果:

结友最后经过商量同意我们的建议,办理住院手续,在杭州市第一人民医院胸外科接受叶建明团队的微创手术。

图片
主病灶术前定位,医用胶就在病灶边上(上图绿色的是定位医用胶,红色箭头指的是病灶6)。
图片
次病灶术前定位,上图均是定位胶,结节太小,在其附近层面。
图片
主病灶剖面观,切面灰白,质较硬。
图片
次病灶剖面观,感觉也是像恶性的,切面略灰白,质稍硬。
图片
术中病理示:主病灶腺癌,贴壁生长为主,局灶浸润;次病灶局灶间质纤维胶原增生,伴肺泡上皮增生较活跃。
图片
常规病理出来主病灶微浸润性腺癌;次病灶是局灶肺泡间隔增宽伴纤维组织增生,肺泡上皮反应性增生。
感悟:
多发结节太常见,我们如何决策手术时机,以及决定手术方式其实对于结友来说很重要。过早的干预或过多范围的切除均不合适。追求大小病灶尽量一次切除也应该不会是最好的方案,因为再小范围的切除,切多了也是肺功能的损失,而且肺内都是钉匣,都是疤痕,非常影响后续再长新的结节时的观察与判断。而最关键的是十多年来,我们其实已经知道磨玻璃结节即使是肺癌范畴的,仍是进展多缓慢,有变化与出现实性成分再干预并不至于影响预后。我一直说,假如业内重新定义磨玻璃密度的肺癌,换个名称,就如我之前建议的“肺毛瘤”,意思是“怕它个毛呀!”,或许就能大大减少患者的焦虑与不安,因为不再带“癌”字。当然随访并判定风险仍是需要的。目前我自己认为与总结的风险增大的几个表现,包括一是纯磨但范围明显增大;二是血管进入并异常增粗;三是邻近结构影响(胸膜牵拉、血管弯征、支气管扭曲变形等);四是出现实性成分。这些表现是否在五年后、十年后仍是最合理,那也不一定的,对肺结节的认识是一个动态变化的过程,就如十几年前原位癌切肺叶加淋巴结清扫是正确的;也如多年前我认为原位癌楔切,微浸润性腺癌段切以及浸润性癌切肺叶是合理的,到了现在就不这样认为了,因为对肺结节与早期肺癌认识更深入了。关键是我们要有思考、有反思,有以患者为中心的心,这才是最重要的!

图片