前言:肺结节有许多随访仍在,又不钙化或纤维化的,尤其是含磨玻璃成分的最后基本上被证实是肿瘤范畴的。但到底何时应该进行干预,目前临床上非常混乱。有认为不典型增生阶段最好,也有认为原位癌阶段最优,更多人认为微浸润性腺癌是最佳干预时机,也有更保守的认为考虑浸润性腺癌了再处理可能也预后差不多。当然对于干预的方式,也是消融或手术各执一词,各有各的利弊,总体上外科倾向手术,而内科或介入科喜欢消融。指南的意见目前仍是能手术的手术应该是首选。在消融的专家共识中,表述是选择性病例可首选手术或消融。但在实际后续具体展开来说适应证与禁忌征方面的表达仍是不能或不宜手术的才是消融。我一直专注于肺结节,特别是极力在自己的公众号上反对过度治疗,反对过早干预,而且建议淡化病理结果,从影像上判断风险高低,从而决定干预与否。但仍有许多结节,其实我也吃不准到底该继续随访还是可以干预处理了。今天分享的这个病例就是有点这种味道。
简要病史:

患者是安徽人,1982年生,发现肺结节已经6年。
影像展示与分析:
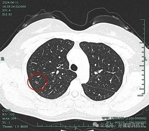
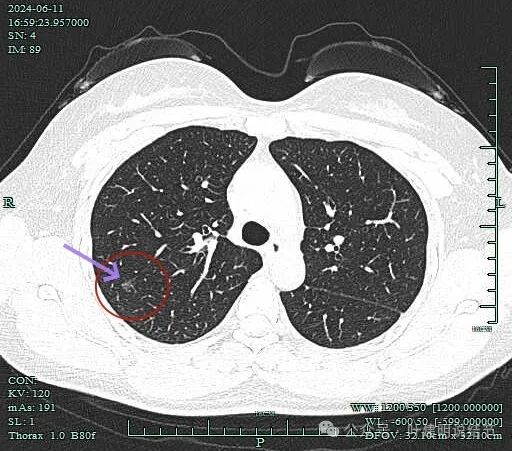
先看2024年6月的影像:

病灶出现,磨玻璃密度,似乎伴小空泡的样子,整体轮廓较清。

表面不平,有小血管进入病灶,病灶内部有点状偏高密度,整体轮廓清楚。

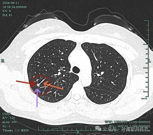
血管有异常增粗的表现,病灶表面有毛刺,灶内实性成分明显,此层磨玻璃成分占比少。

病灶虽小,但毛刺明显,而且天蓝色箭头所指的邻近血管有弯向病灶侧。

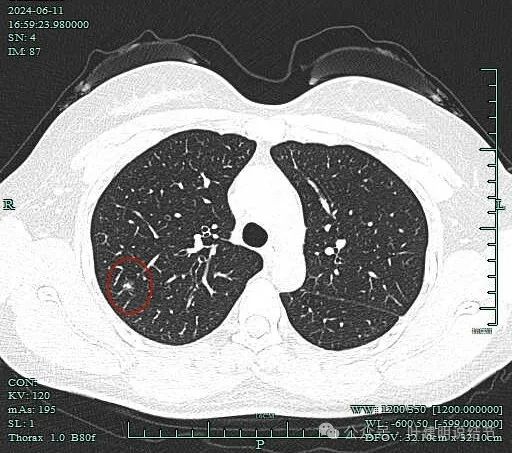
连续部分也是混合密度。

上图层面有磨玻璃成分,实性成分已经开始减少而不明显。但整体轮廓与瘤肺边界较清。

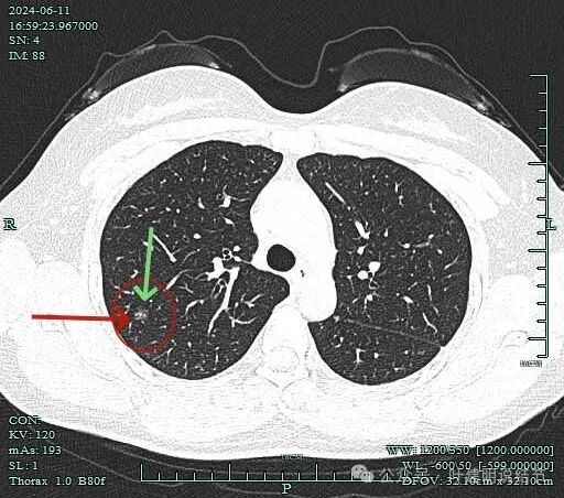
最边缘处磨玻璃密度,并有细毛刺样征。
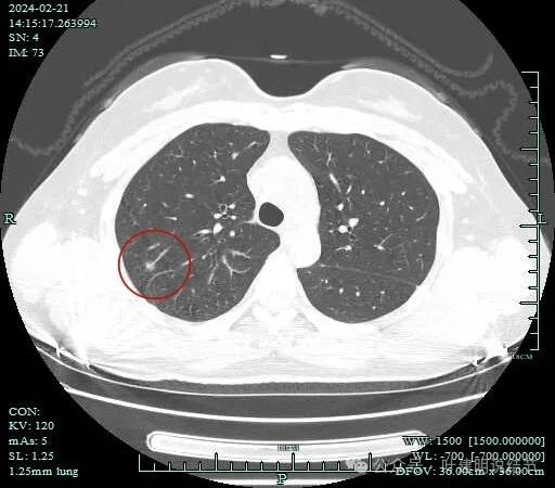
再看2024年2月病灶最明显层面的影像截图:

2024年2月时病灶整体上看密度仍较低,实性的成分就是点状。当然扫描条件也有所不同,可能一定程度影响对比。
影像印象:
右上这个病灶发现已经6年,而且仍未钙化或纤维化。对照4个月前实性成分增多,加上有血管进入、毛刺、轮廓清,瘤肺边界较清,以及周围肺野清爽(不符合炎性),首先要考虑是肿瘤范畴的结节。但主要是太小,虽然感觉密度不纯,是否真的风险已经较大仍是难说的。从术前影像上来看,个人觉得微浸润性腺癌可能性较大,也不能除外浸润性腺癌含贴壁以及腺泡或乳头型。鉴于随访密度有增加以及位置靠边缘,倾向单孔胸腔镜下局部切了更为放心。如果不开刀,复查间隔不能超过半年。
最后结果:
患者最后考虑还是选择手术。由杭州市第一人民医院胸外科叶建明团队为其进行了手术。

标本剖面看,感觉切面灰白,但与平常的肺癌稍有不同,典型的肺癌感觉稍显湿润点,这个病灶显得有些“干”,但总体仍可能恶性的可能性大些。
术中快速切片示:肺泡间隔增宽伴纤维增生,小区肺泡上皮增生活跃伴细支气管增生。不排除不典型增生或原位腺癌的可能性。

常规病理出来报:原位腺癌。
感悟:
其实回头再看这个病例,也是佐证对于肺小结节,我们手术与否应该淡化最后的病理结果,而是从随访有无进展以及术前影像细节特征上来分析其危险性的高低,从而决定是继续随访还是可以干预了。此外要将随访与干预的不同利弊充分如实告诉患者,让他们自己决定选择是否干预处理。肺结节的随访建议并不是说以后都不需要开刀,而是早开迟开预后没什么差别时一是推迟机体遭受创伤的时间;二是影像表现不典型时静待它性质更有倾向性。如果随访过程中进展并风险增加,仍是要干预处理的。或许这点有许多结友存在误区。经常有朋友在我建议随访的病例分析文章末尾留言,说“如果耽误了病情、导致转移了,你负责吗?”之类的话。但大家要明白,随访不是不管不顾,随访也不是永远拒绝手术!风险还小或不确切恶性,适当的间隔后复查如果都能导致转移并不可收场(比如3-6个月),那你以为马上开刀就能治好?恶性程度很高的肿瘤发展很快,甚至一出现就是全身性的,这种目前的医疗技术没有办法。真正体检出来并能被阻断其发展的就不是极其恶的那些,这类肿瘤,何况当时若并不典型或随访过生长缓慢,适当的再随访并不至于影响预后,尤其磨玻璃肺癌!