前言:肺结节是否需要手术是个非常需要个体化决策的事情,既不能考虑是恶性范畴的肺结节都一刀切,也不宜良恶性不能定都得切了化验,更不可只要见结节就说不能排除恶性全建议切。但今天分享种位置这种类型的结节,虽然影像报告上说没有明显增大,却仍是应该尽早切除的。
病史信息:
患者,女性,67岁,检查发现肺部结节1年。没有症状,复查结节未见明显增大。但近期来杭州市肿瘤医院(杭州市第一人民医院吴山院区)找我门诊时,我让她查了右上叶靶扫描,认为病灶有一定风险,鉴于位置与密度情况不宜再随访,应该考虑微创手术切除。
影像展示与分析:
先来看病灶较大层面不同时期的影像:

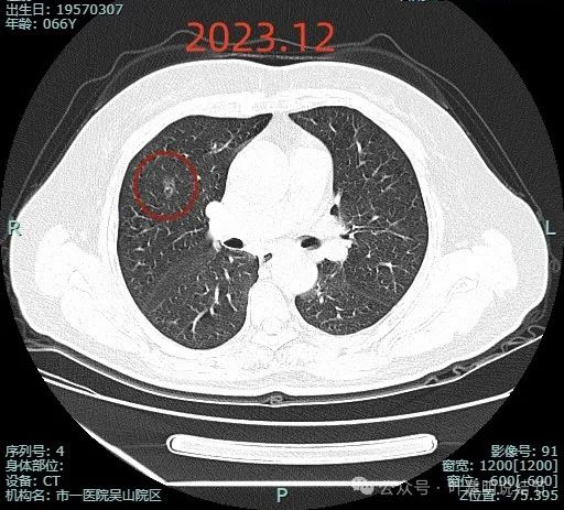
这是患者在市一医院吴山院区检查后的2023年12月时的影像,右上叶磨玻璃密度结节,轮廓较清,密度似乎不是非常淡,表面显毛糙。

这是2024年3月时的平扫影像,密度不纯,表面不平,整体轮廓较清。

这是2024年4月靶重建时平扫的影像,病灶大小无明显增大,但密度显得较高。
再来看靶重建的影像:

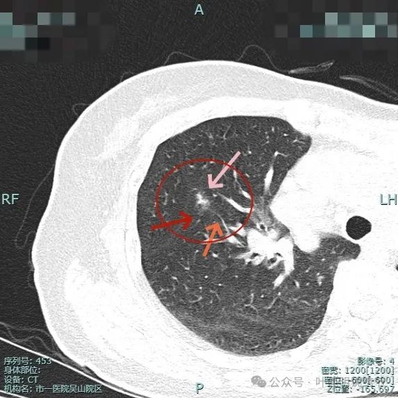
病灶整体显得模糊,但灶内密度不均,有偏实性成分,边缘毛糙,似有小血管走向病灶,轮廓较清楚,瘤肺边界欠清。

病灶紧贴水平裂,而且水平裂略向病灶侧牵拉,灶内有实性成分。虽然瘤肺边界欠清,但整体轮廓仍显得较为清楚。

混合密度,叶间裂牵拉影响,灶内密度杂乱感。

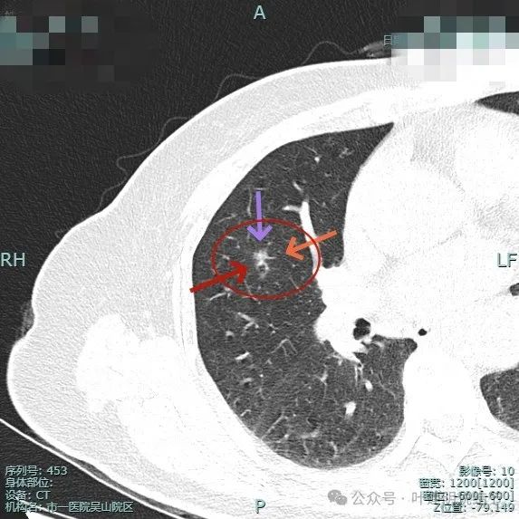
灶内有小空泡征,表面浅分叶,灶内实性成分明显,有微血管进入病灶。

部分边缘毛刺,边缘区域有磨玻璃成分,有微小血管进入,灶内空泡征。

微血管进入病灶,灶内点状高密度。

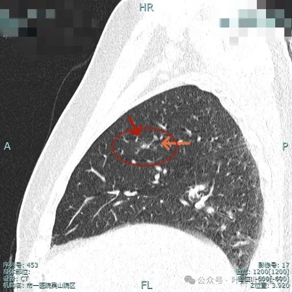
叶间裂牵拉向病灶侧,此视角看瘤肺边界较为清楚。
影像考虑:
这样的混合密度结节,虽然随访大小无明显进展,但基本以下几点,仍应该考虑尽早手术切除:1、病灶随访持续存在,不能用普通炎症解释;2、病灶密度不均,有实性成分,不是纯磨玻璃结节,有一定风险;3、病灶不大,也无显著增大,但有收缩力,内部显得杂乱,整体轮廓较清,符合恶性且紧贴叶间裂,关键是密度不纯,有侵犯影响胸膜的风险;4、有血管进入,说明在恶性情况下不太可能很长久的安全随访;5、病灶在上叶边缘部分,能部分切除,而不必切肺叶,万一非浸润性病变也不亏。
最后结果:
杭州市第一人民医院胸外科叶建明手术团队为其进行单孔胸腔镜微创右上叶部分切除术,手术顺利,术后恢复非常好。

病灶质较硬,上图示表面观。

剖开见病灶灰白色,质硬,无包膜。

病理示微浸润性腺癌。淋巴结采样阴性。
感悟:
其实本例如果从术前影像或术中大体标本肉眼观察来看,应该与浸润性腺癌更符合,当然病理才是金标准。但今天分享的此例的目的不是于讨论最后是浸润性还是微浸润性腺癌,而是用以说明在肺结节的随访中,我们不能只盯着病灶大小有无增大,风险的评估要结合密度、随访情况、位置情况以及影像特征表现出来的危险性来综合评估。个体化、个性化来评价患者结节的风险,从而决定是否干预,把握正确的手术时机。如果仅从术后病理来看,微浸润性腺癌显然也不是必得马上手术的,但由于它的位置、它的形态与密度来看,继续随访是存在危险性,所以我们仍建议结友进行手术。而术后病理微浸润性腺癌并不表明我们的手术时机选择不恰当。甚至这种病灶即使切出来是慢性炎伴肺泡上皮增生或只慢性炎,也是该切的,因为不能赌!