前言:检查发现肺部病变,有的人非常焦虑,到处咨询问诊,小到几毫米的结节也不断的对比CT值、大小、体积等信息;有的人查出肺结节,即使考虑恶性可能性大,也因为自己没什么不舒服,从而不引起重视。前段时间有位结友,其实他查出肺部病灶已经近1年半了,虽也曾复查,但就不手术。我问他,他说又没什么不舒服,报告又说大小没有什么变化。其实呀,大小虽然要紧,但更要紧的是密度与形态,如果影像上是典型的恶性,随访或消炎后又不改善,那也是等不得的呀!
简要病史:
体检发现,没有症状。
影像展示与分析:
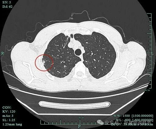
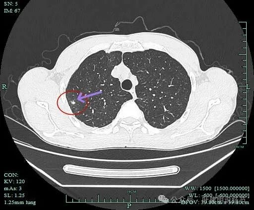
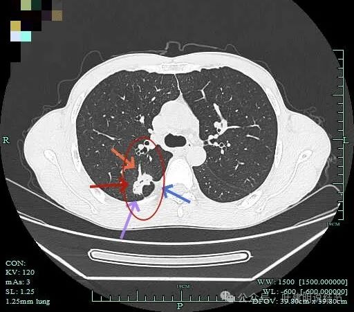
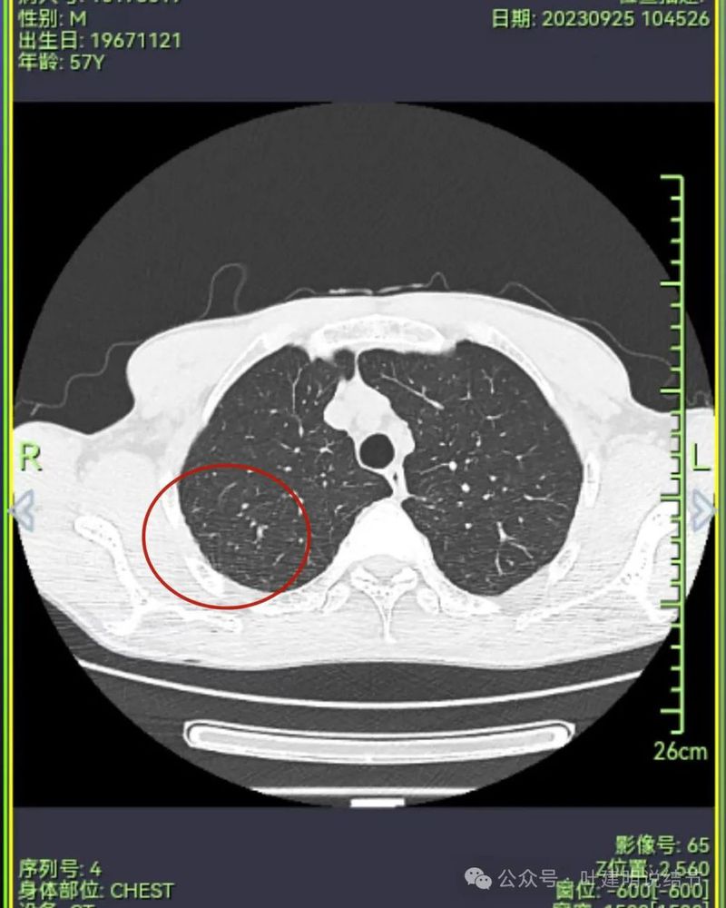
右上病灶1:
影像截图:

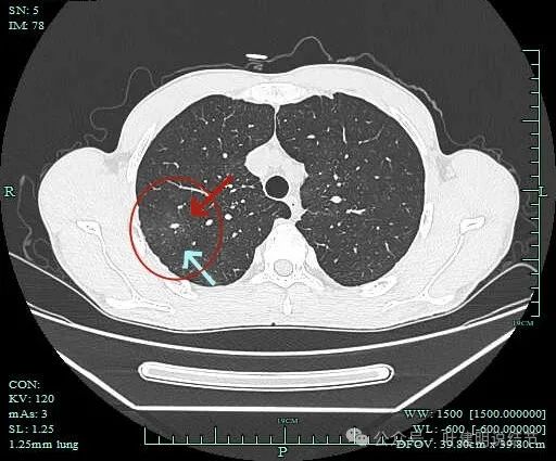
病灶出现,密度较高,不是圆形或类圆形,边缘略模糊。

病灶似乎有卫星灶,中间有小空泡征,边缘有晕。

感觉周围略糊,有晕的感觉。

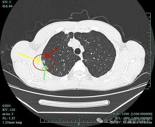
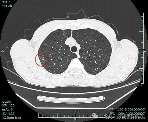
上面层面密度较高。

似乎有毛刺征,但膨胀性不明显。

有部分边缘显毛糙。

点状高密度,有晕的感觉。

点状高密度结节。

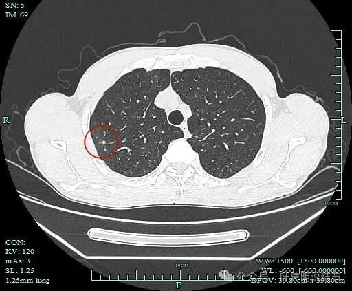
点状高密度之外,蓝色箭头示周围有淡磨玻璃影。

风轻云淡磨成分明显且轮廓不清。中间的点状高密度显得不够致密,缺乏收缩力。

边缘区仍有淡磨形态的晕
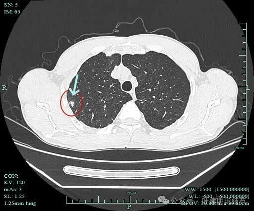
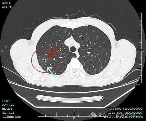
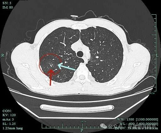
病灶1影像印象:
此灶从连续层面上看,是自右上前侧斜行向左下后侧延伸的,整体病灶偏长条些,而且有晕、有淡磨成分,实性部分缺乏收缩力或膨胀性,更符合炎性病灶的恢复期或吸收不全的阶段。
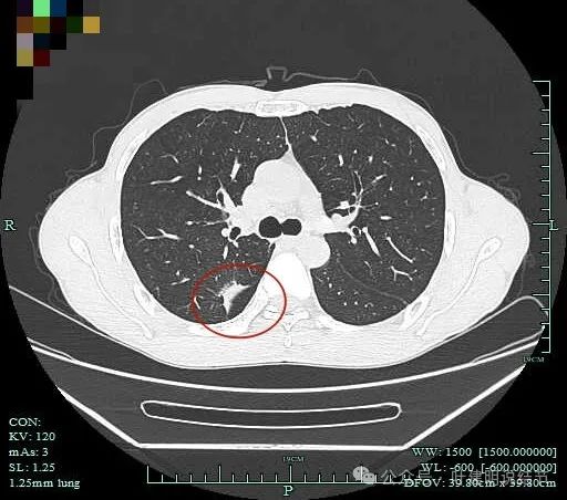
病灶2:
影像截图:

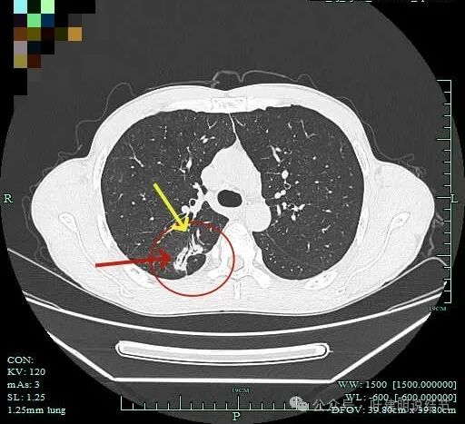
病灶出现,密度杂乱。

有磨玻璃成分,且轮廓清,磨玻璃边缘有细毛刺征,实性成分的边缘毛糙不平,形态不规则。

灶内有僵硬支气管走行,边上少许磨玻璃成分,病灶有一定收缩力。

灶内支气管穿行且显得僵硬。

胸膜牵拉,灶内支气管通气征并显僵硬,部分边缘有毛刺征。

有血管进入并异常增粗;病灶有分叶征,有毛刺征,也有胸膜牵拉征。

病灶有细毛刺征,感觉有收缩力。

实性成分为主,边上少许磨玻璃成分。

叶间胸膜牵拉。
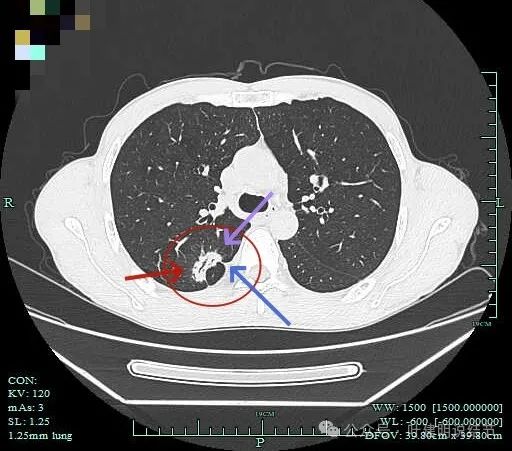
病灶2影像印象:
这个病灶是非常典型的恶性的,总体上基本上是实性成分,但边上仍有少许磨玻璃,而磨玻璃成分有分叶与细毛刺,病灶内部有支气管通气征,且支气管显僵硬,又有异常增粗的血管进入。再加上胸膜牵拉、叶间裂牵拉,整体轮廓较清,周围肺野清爽,没有卫星灶。所以基本上就是浸润性癌了的。
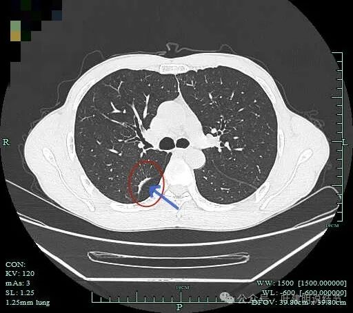
既往对比:

上图是2023年1月时的,虽也基本上实性,但明显病灶相对较小,而且膨胀感不太明显些。

到2023年9月病灶较前进展,或许测量大小变化不明显,但实性成分明显多起来,内部不太致密的部分明显显得较之前密了。

到了2024年5月,病灶整体给人感觉有收缩力了些,内部也更显致密了。

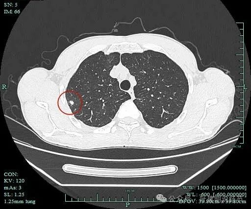
病灶1于2023年9月时都没有的,更说明是炎症性的。
临床考虑:
相关检查无明显远处转移证据。按规范应该先行病灶2切除,送快速切片,若恶性再行肺叶切除加淋巴结清扫。但其位置实在是靠在边缘,术前阅片也未见明显肺门与纵隔淋巴结肿大,感觉切了肺叶多少有些可惜。病灶1拟视术中探查情况看,若是明显可见,且切除肺组织不多,也可顺便切了化验以明确。经过与患者以及其家属的充分沟通,并陈明肺叶切除加淋巴结清扫与右上叶部分切除加纵隔淋巴结采样的不同之处以及利弊,包括肺功能的损失与生活质量的影响不同、取得的淋巴结站数不同从而对术后分期的准确性不一致、事实上有微转移与无微转移时不同手术方式可能的预后区别、手术费用风险与术后恢复方面的差异等各种可能性。最后由患方自行选择标准肺叶切除加淋巴结清扫或右上叶部分切除加淋巴结采样。
最后结果:
患方经过充分考虑,最后选择右上叶部分切除加淋巴结采样。

刚进胸时感觉完了!大概已经广泛转移了,肺表面都是疙瘩。

主病灶表面颜色两样,质较硬,胸膜略有皱缩。

次病灶处表面胸膜也略质硬,与周围正常肺组织不太一样。

主病灶表面观。

主病灶剖面观,明显是恶性的。

次病灶不像恶性,剖面较为湿润,质不太硬,缺乏收缩力。

术中快速切片示主病灶浸润性腺癌;次病灶纤维化炭末沉积,周边少许肺泡上皮增生活跃。周围肺组织内是肺膜显著增厚伴纤维化,胶原化。那么并不是肿瘤转移。

术后常规病理示:主病灶浸润性腺癌,复杂腺体占70%,乳头型占30%;有气道播散,长径2.1厘米。淋巴结采样共20枚均阴性。
后续考虑:
1、病灶虽然是低分化,但若肺内淋巴结事实上也阴性,那么分期其实仍是1A3期,按指南并没有达到需要术后辅助治疗的标准。因指南的意见是1B期有EGFR突变的可TKI治疗,1A期的都不建议的。
2、如果事实上存在血行微转移,局部的扩大切除并不能改善预后,因为癌细胞已经经过血扩散出去了的话。但可能会在不太长久的将来,随访中发现转移灶,那么到时候是需要靶向治疗或化疗的。因低分化,预后并不能保证肯定非常好,所以我个人虽暂时不建议术后辅助治疗,却倾向送基因检测,因为新鲜手术标本送检的准确性更高,更有参考价值。
感悟:
这个病例我其实对于采取较为保守的亚肺叶切除加淋巴结采样是非常纠结和犹豫的,毕竟病灶从影像上看已经必是浸润性癌,而且实性成分占绝大部分,而且随访是有进展的。但考虑到它位置实在太靠边上了,若事实上没有叶内的转移扩散或叶内淋巴结转移,那扩大到肺叶切除确实又很可惜。当这种利弊确实难以非常明确界定的情况下,不管选A或选B都有有益之处与不可预知的坏处,我想充分的告知沟通,从而让患者自己选择是合适的。