弥漫性肺泡出血(DAH)继发咯血在儿童中较为罕见,一旦发生需通过全面检查明确潜在病因。本文报道1例17岁既往健康男性青少年病例,该患者有过敏性鼻炎病史,初始因甲型流感合并肺炎就诊,后续进展为DAH,经多学科诊疗最终确诊为一种罕见的抗中性粒细胞胞浆抗体(ANCA)相关性血管炎,提示临床需警惕此类疾病的不典型表现。
患者因咳嗽加重2周、痰中带血及发热就诊于急诊科,1周前曾因甲型流感合并细菌性肺炎在外院住院,接受头孢曲松、阿奇霉素及奥司他韦治疗,出院后继续口服抗生素完成疗程,但症状未缓解。入院查体可见黏膜干燥,静息血氧饱和度88%,心率107次/分,体温38.2℃,双肺底可闻及湿啰音;胸部X线片显示双肺混浊影较前加重,心电图正常,经胸超声心动图未见心脏结构异常,左心室射血分数62%(儿科正常范围55%-90%)。
实验室检查提示,血红蛋白从基线12-13g/dL降至8.4g/dL,存在轻中度贫血;动脉血气分析示PaO₂/FiO₂比值270,符合轻度急性低氧性呼吸衰竭;血常规显示白细胞10.5×10³/μL(正常4.5-10.9×10³/μL),嗜酸性粒细胞14%(正常0.0-8.6%),C反应蛋白259.75mg/L(正常1.0-4.0mg/L),凝血功能异常(PT 16.1s,INR 1.5,D-二聚体6850ng/mL),VII因子30%(正常50-129%)。
结合患者抗生素治疗无效、持续咯血及影像学表现,临床高度怀疑DAH,遂将其转入儿科重症监护室,给予吸氧(FiO₂ 30%)、容量复苏及万古霉素联合哌拉西林/他唑巴坦抗感染治疗。胸部CT显示双肺多灶性气腔实变及外周磨玻璃影,提示肺泡炎或肺出血;CT血管造影(CTA)排除肺栓塞。鉴于患者无白细胞增多、有明显嗜酸性粒细胞升高且对抗生素反应差,排除感染性病因后,于住院第2天开始经验性静脉输注甲泼尼龙(200mg/日),同时完善免疫相关检查。

图:胸部X光片(CXR)前后位显示双侧肺泡实变,提示炎症或感染性病变取代了含气腔隙(红色箭头所示)
进一步检查显示,胞浆型ANCA(c-ANCA)1:160(正常<1:20),蛋白酶3抗体(PR3-ANCA)>200U(正常≤20U),类风湿因子49IU/mL(正常≤14IU/mL),补体C4 15mg/dL(正常20-58mg/dL),抗核抗体、抗双链DNA抗体及抗肾小球基底膜抗体均阴性;尿常规示尿糖>500mg/dL(无酮尿),微量血尿(3.7RBC/hpf),无蛋白尿,肾功能正常。结合临床及实验室结果,诊断倾向于ANCA相关性血管炎,不排除肉芽肿性多血管炎(GPA)与嗜酸性肉芽肿性多血管炎(EGPA)重叠可能。

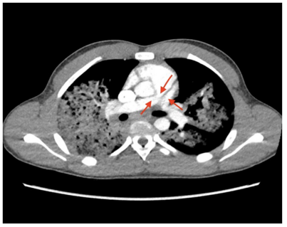
图:胸部CT血管造影(CTA)轴位图像,显示右肺动脉、左肺动脉及主肺动脉的典型充盈(红色箭头所示)
针对患者凝血功能异常,给予新鲜冰冻血浆及维生素K治疗,同时输注1单位浓缩红细胞纠正贫血,咯血及鼻出血症状逐渐缓解,3天后嗜酸性粒细胞计数恢复正常。因长期使用激素出现类固醇诱导的高血糖(随机血糖200-350mg/dL),给予胰岛素治疗。结合儿科诊疗指南,选用利妥昔单抗作为诱导治疗药物(1g,750mg/m²),输注前排除乙肝、丙肝、HIV及结核感染,预输注甲泼尼龙、苯海拉明及对乙酰氨基酚,输注过程耐受良好。

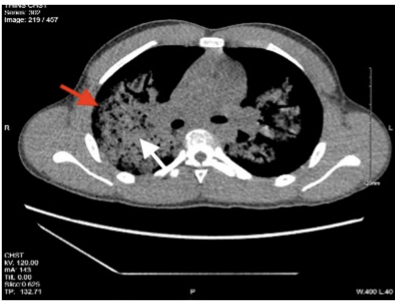
图:胸部CT扫描轴位图像显示多灶性肺泡腔模糊影(白色箭头)伴周围磨玻璃样影(红色箭头)
出院后患者继续激素减量治疗,2周后接受第2次利妥昔单抗输注(1g),6个月后接受第3次输注(500mg)。出院6周后肺功能检查显示,用力肺活量(FVC)为预计值68%,第1秒用力呼气容积(FEV₁)为预计值71%,肺一氧化碳弥散量(DLCO)为预计值64%,提示轻度弥散功能障碍,允许进行非接触性活动;后续2个月病情持续改善,逐渐恢复包括篮球在内的竞技运动。
该病例提示,青少年咯血伴肺部阴影需警惕DAH及ANCA相关性血管炎,尤其是在感染治疗无效、存在嗜酸性粒细胞升高时。CT及CTA检查可明确病变性质并排除血管异常,ANCA及相关抗体检测对诊断至关重要。利妥昔单抗联合激素是儿科重症病例的优选诱导治疗方案,多学科协作有助于优化诊疗流程。由于儿童ANCA相关性血管炎及重叠综合征的诊疗数据有限,亟需多中心研究完善相关指南,提高临床诊疗水平。
原始出处
Wells C, Cho HG, Gude SS, et al. A Bloody Cough and Clouded Lungs: Uncovering a Systemic Culprit in an Adolescent. Pediatrics. Published online February 20, 2026. doi:10.1542/peds.2025-073274
