在减重的道路上,运动被视为“最低成本”的万能“法宝”。“管住嘴,迈开腿”是每个想要减重的人都知道的口号,但是,“管住嘴”何其难,到处都是诱惑!所以很多人选择吃吃吃,吃完大不了增加运动时间或强度咯。
殊不知这种“先放纵再补救”的模式并不像我们想象中的那么健康。
近日,空军军医大学相关研究团队在Nature Communications期刊发表了研究成果。研究人员通过构建高热量饮食小鼠运动模型,联合多种功能监测和组学研究,首次报道了不同强度运动对高热量饮食小鼠心脏功能潜在的损伤效应,进一步揭示运动促使全身器官脂质重分配,引发心脏脂质代谢紊乱和脂毒性。
图片
研究内容与思路
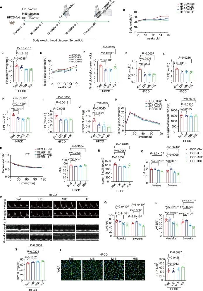
一、中等强度运动(MIE)预防了HFCD喂养小鼠的肥胖和代谢综合征

 

研究人员给予小鼠正常饮食(CD)和高脂饮食(HFCD),采用HFCD饮食构建小鼠高热量饮食模型。将CD或HFCD喂养的小鼠随机分为久坐(Sed)和中等强度运动(MIE)组,监测小鼠体重、血糖、血脂、胰岛素水平和胰岛素敏感性等全身代谢状态改变。检测发现相比于CD小鼠,HFCD小鼠血糖、血脂、血清胰岛素水平、体重及脂肪含量显著增加,胰岛素敏感性受损。而MIE条件有效阻止了HFCD小鼠体重增加,并改善了小鼠的全身代谢状态。这些发现表明MIE足以预防饮食诱导的肥胖(DIO)和代谢综合征。
图片
研究思路:研究人员想要探讨运动对于心脏的影响,首先构建了模型,评估模型的造模成功与否以及评估运动是否可以起到改善肥胖及代谢作用。

 

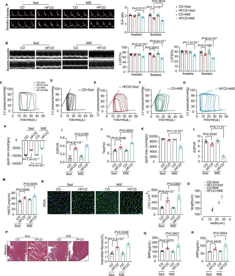
二、MIE加剧了HFCD诱导的心功能障碍

 

在MIE进行4周或8周的时候采用超声心动图及心脏漂浮导管检测心脏功能情况。检测发现与CD小鼠相比,HFCD小鼠心脏功能舒张功能损伤,收缩功能仍然维持正常。但在MIE条件下,HFCD小鼠表现出进一步的心脏舒张和收缩功能受损:相比于久坐不动的HFCD小鼠,MIE 4周的HFCD小鼠心脏舒张功能受损,MIE 8周的HFCD小鼠心脏舒张和收缩功能受损加重,但MIE对CD小鼠无影响。说明MIE加剧了HFCD诱导的心功能障碍。

 

检测小鼠的运动表现,发现相比于CD小鼠,HFCD的久坐小鼠运动表现受损,表现为跑步距离和最大跑步速度减少。相比之下,MIE条件下,CD小鼠运动功能得到增强,但HFCD喂养小鼠的运动表现则出现进一步受损。
此外,相比于CD小鼠,HFCD小鼠心脏肥大,而MIE会进一步恶化HFCD小鼠的心脏肥大以及心脏纤维化情况。综上所述,这些数据表明MIE加剧了 HFCD诱导的心脏病变和功能障碍。
图片
研究思路:第一部分明确了运动可以改善肥胖及代谢,接下来,研究人员分析了运动对于心脏功能的影响,评估MIE是否可以预防HFCD诱导的心功能障碍。比较发现MIE会加剧HFCD导致的心功能障碍。

 

三、高强度和中等强度运动加剧了HFCD诱导的心功能障碍,而低强度运动改善了心脏健
进一步,研究人员分析了不同的运动强度对HFCD小鼠心脏的影响,给予HFCD小鼠低强度、中强度以及高强度(LIE、MIE和HIE)治疗8周。发现小鼠血清皮质酮和乳酸水平随着运动强度的升高而增加,三种强度的运动都改善了DIO。此外,相比于久坐不动的HFCD小鼠,MIE和HIE小鼠表现出一定的减肥、降血脂效果。这些数据表明,三种强度的运动都能够预防HFCD小鼠肥胖和代谢综合征的发展,其中 HIE 是最有效的。
然而,超声心动图及病理学检测发现:对于HFCD小鼠,MIE和HIE条件下的小鼠表现出显著的心脏损伤效应,包括心脏肥大、心脏功能受损及心脏纤维化进一步增加,其中,HIE条件下引发的心脏功能损伤最为剧烈。相反,LIE则对小鼠心脏有保护作用,改善了小鼠的心脏功能。
图片
研究思路:那么,只有MIE运动会加剧HFCD诱导的心功能障碍,还是说大部分强度的运动都会加剧心功能障碍呢。对此,研究人员进行了实验分析,表明大部分强度的运动都能预防肥胖及改善代谢,但是至于LIE运动对HFCD小鼠具有心脏功能保护作用,其他都会加剧HFCD诱导的心功能障碍。

 

四、MIE加剧了HFCD诱导的心血脂积累

 

研究人员将久坐HFCD小鼠和MIE HFCD小鼠的心脏组织进行代谢组学分析,发现相比于久坐小鼠,MIE小鼠心脏中的各种代谢底物均发生了变化。分析发现在这些代谢底物中,脂质和脂质样分子占比最高,GSEA主要富集得到甘油磷脂代谢和花生四烯酸代谢。
分离的成年心肌细胞荧光染色结果和电镜检测发现相比于久坐小鼠,MIE小鼠心肌细胞中脂滴显著增加。进一步分析心脏中脂质组成情况,发现久坐的CD小鼠脂质主要是PC和PE,TAG占比较少,而MIE降低了CD小鼠心脏中的TAG比例。而在久坐HFCD小鼠中,TAG占比增加,为15.59%,而MIE增加了TAG比例。与MIE相比,HIE诱导了HFCD喂养小鼠心脏中更严重的脂质积累。
综上所述,MIE加剧了HFCD诱导的心肌内脂质积累,这可能是导致心脏功能受损的原因。
图片
研究思路:进一步,研究人员进行了代谢测序分析,检测究竟是什么发生了变化,检测发现MIE运动增加了HFCD诱导的心脏脂质积累。

 

五、MIE导致脂质重新分布到心脏
为了进一步探索心脏过度脂质堆积的来源,研究人员利用13C同位素和荧光两种手段在体标记脂肪酸,结果显示:HFCD小鼠运动训练后,循环脂质从肝脏和脂肪组织向心肌和骨骼肌重新分布,加重了心肌的脂质负荷。
图片
研究思路:那堆积的心脏脂质从哪出现的呢,对此,同位素及荧光手段检测发现MIE后,HFCD小鼠的脂肪会从脂肪组织以及肝脏组织流向心脏及骨骼肌,导致心功能受损,但是表现出来的是MIE可以减肥及改善代谢。

 

六、MIE增加了HFCD小鼠心脏脂质摄取并减少了脂质氧化
为了探索不同运动强度对于HFCD小鼠心脏代谢功能的影响,研究者采用多种手段(蛋白组学、转录组学、线粒体呼吸功能检测)对心脏代谢能力和代谢相关基因的表达进行了检测。分析发现相比于久坐HFCD小鼠,MIE HFCD小鼠心脏中参与心脏脂质摄取(脂肪消化和吸收)的基因及蛋白显著上调,而参与脂肪酸降解途径(FAO)的基因及蛋白下调。实验发现MIE进一步增加了HFCD小鼠心脏中参与脂质摄取的蛋白质水平,而参与脂肪分解的蛋白质水平降低。GEO数据集的转录组学分析显示,HFCD小鼠心脏中与线粒体代谢相关的基因受MIE的影响最大。
综上所述,MIE会导致心脂质增加,伴随脂肪酸降解减少,导致脂肪越积越多,此外,研究人员猜测线粒体损伤可能是脂肪酸降解减少的主要原因。
图片
研究思路:明确了心脏多出来的脂质是从哪里来的后,接下来就是研究其中的作用途径了。研究人员采用了多组学及实验验证,使得实验数据更为可靠。

 

七、MIE进一步损害了HFCD小鼠心脏中的FAO和线粒体功能
线粒体是脂质氧化的主要部位,有毒脂质会导致氧化损伤和线粒体呼吸缺。研究人员检测发现:与久坐CD小鼠相比,久坐HFCD久坐小鼠心脏的基础耗氧率显著降低,表明其基础线粒体呼吸受损。MIE改善了CD小鼠的基础线粒体呼吸和FAO。然而,在HFCD小鼠中,MIE和HIE进一步恶化了线粒体呼吸功能和FAO。同位素标记发现MIE会抑制HFCD小鼠心脏脂肪酸氧化。进一步,研究人员还检测了线粒体复合物的活性,发现与FAO检测趋势一致,线粒体复合物的活性在MIE HFCD小鼠的心脏中也受到明显抑制。蛋白质组学分析表明与久坐HFCD小鼠相比,MIE HFCD小鼠线粒体电子运输链和ATP合成中的通路受到抑制。转录组数据表明MIE HFCD小鼠线粒体氧化磷酸化途径受到抑制。实验分析发现MIE HFCD小鼠线粒体大小减小,线粒体功能出现障碍。
总的来说,MIE加剧了HFCD小鼠心脏中线粒体呼吸和FAO的损害,导致HFCD小鼠心脏脂质沉积和功能损害。
图片
研究思路:研究人员进一步深挖机制,证实了心脏脂质堆积以及心脏功能障碍的原因。

 

小结

 

综上所述:对于高热量肥胖的人群来说,尽管中等强度或高强度锻炼在控制体重方面表现出色,但却会对心脏造成意外的损害,会加剧心脏的脂质堆积,导致心脏肥大,心功能障碍,得不偿失。但是低强度锻炼就不会噢。

参考文献:

 

[1] Geng J, Zhang X, Guo Y, et al. Moderate-intensity interval exercise exacerbates cardiac lipotoxicity in high-fat, high-calories diet-fed mice.Nat Commun. 2025;16(1):613. Published 2025 Jan 12. doi:10.1038/s41467-025-55917-8

 

撰写:MIE

编辑:小饼干