研究「转录调控」的历史比较长,近十年来相关研究仍呈增长趋势,也是高分文章的焦点之一。2023年国自然医学部研究热点中标数排行榜上,转录调控的中标率高达189。
作为转录调控的关键因子,转录因子能够影响基因的转录和表达,从而影响细胞的生理功能和疾病的发生和发展。相反,转录调控失调是疾病发生发展的重要标志之一,因此,发现靶向疾病治疗涉及的转录调控关键蛋白是抗病药物研发的热门策略之一。
总结来说,转录调控在疾病发生和发展中扮演着重要角色,所以转录调控机制上找药靶已成为疾病研究的热点领域之一。寻找药物靶点,探讨药物作用分子机理,解决科学技术临床问题,我国学者再发Science,道尽了最新研究思路!
青蒿素(Artemisinin)是一种从蒿属植物(例如黄花蒿)中提取的化合物,因其良好的抗疟疾功效而被广泛认可。2015年,屠呦呦因从黄花蒿中成功提取青蒿素并推动其抗疟疾应用,而荣获诺贝尔生理学或医学奖。
近日,来自复旦大学附属中山医院汤其群教授等团队在Science发表了题为“Artemisinins ameliorate polycystic ovarian syndrome by mediating LONP1-CYP11A1 interaction”的研究论文,首次阐明了LONP1和CYP11A1的相互作用机制,发现青蒿素类衍生物可增强这一相互作用,从而控制雄激素合成,显著改善多囊卵巢综合征(PCOS)的疾病表型。简单来说,该研究探明了一条靶向LONP1-CYP11A1相互作用的药理通路,为PCOS的干预开辟了新途径。
图片
一、研究背景

 

多囊卵巢综合征(PCOS)是存在于育龄妇女中常见的内分泌疾病,其核心病理机制是雄激素过高,导致多种症状如排卵障碍、代谢紊乱等。卵巢内雄激素合成增加与关键酶如CYP11A1、CYP17A1等活性升高相关。尽管PCOS的患病率很高,但其药物干预却遇到了很多实质性的挑战。现有药物多针对症状管理,多存在局限性(如口服避孕药(COCs)等,不仅不能改善不孕症和多囊卵巢形态,而且还伴有血栓栓塞等副作用)。
青蒿素(一种从青蒿属植物中分离出来的,具有抗疟疾作用的分子)及其衍生物,如蒿甲醚(ATM)、青蒿琥酯(ATS)和SM934,可以通过激活产热脂肪细胞来促进能量消耗和改善胰岛素敏感性,从而预防高脂饮食引起的肥胖和代谢紊乱。所以,青蒿素可能为干预PCOS开发,可提供新的治疗策略。
图片
二、研究思路方法与结论

 

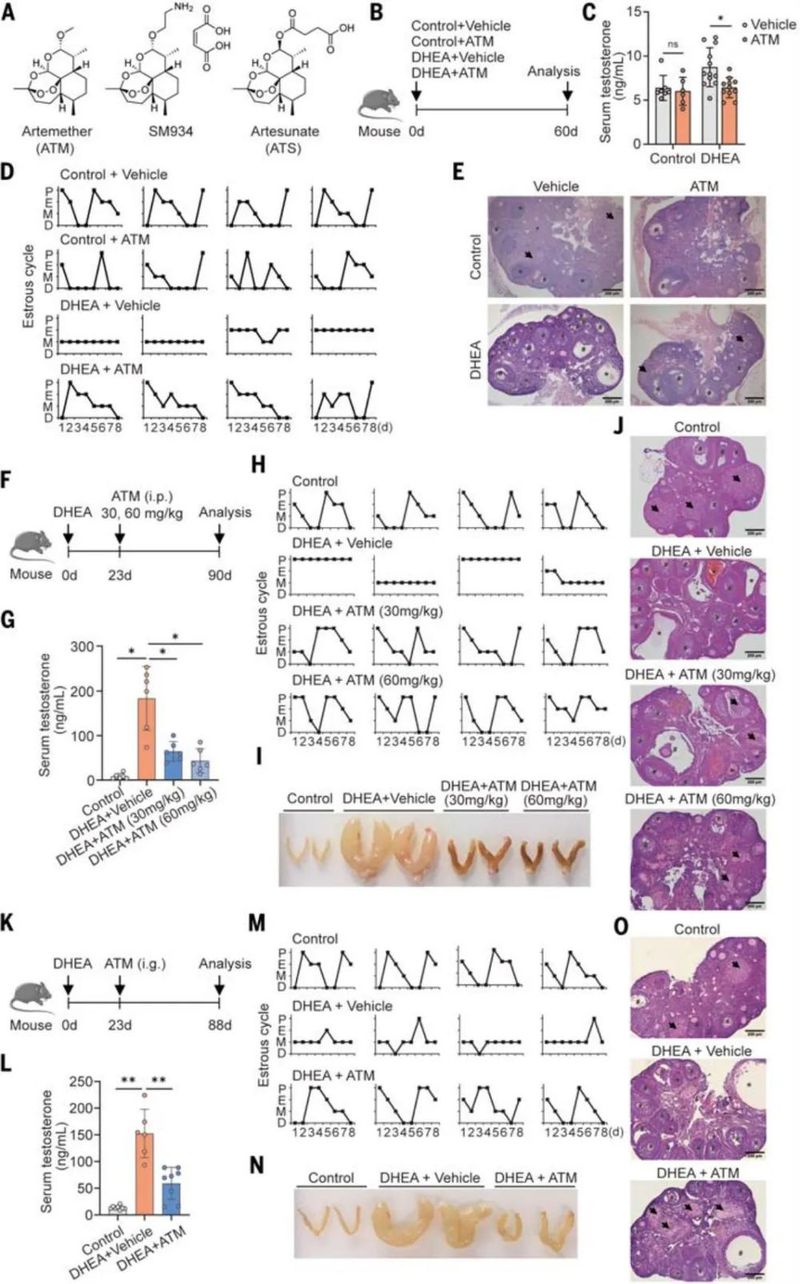
结论1:在啮齿类动物模型中,ATM对PCOS样表型具有抑制作用

 

研究思路:探讨青蒿素类衍生物对PCOS发展的影响、评估了ATM的疗效以及研究了ATM的抗PCOS作用。
研究方法:

 

(1)建模:通过给雌性小/大鼠皮下注射脱氢表雄酮(DHEA,60 mg/kg/天)持续一段时间(如60天),诱导PCOS样表型(如血清睾酮水平升高、发情周期中断、卵巢形态改变(囊肿样卵泡和窦腔卵泡数量增加,黄体减少等)。
(2)给药:第一种:在DHEA给药同时,腹腔注射ATM(30 mg/kg/天),持续与DHEA诱导相同的周期,以评估ATM的预防效果;第二种:建模后,腹腔注射/灌胃给予不同剂量的ATM(如30 mg/kg/天、60 mg/kg/天或100 mg/kg/天),以评估ATM疗效。
(3)生化指标分析:分析血清睾酮水平;记录并分析小/大鼠发情周期;监测体重、脂肪质量等,进行葡萄糖耐量试验、胰岛素敏感性分析等,以评估ATM对代谢的影响。
(4)组织学分析:通过苏木精和伊红(H&E)染色,分析卵巢形态变化(包括卵泡发育阶段、黄体数量等),以评估ATM对卵巢功能的恢复作用以及对子宫水肿等PCOS相关病理变化的抑制作用。
(5)生育能力及安全性评估:通过生育试验(如胚胎着床率和产仔数)评估ATM对PCOS大鼠生育能力的改善作用;以及检测丙氨酸转氨酶(ALT)和天冬氨酸转氨酶(AST)水平,评估ATM的肝毒性。
图片
结论2:青蒿素类衍生物抑制卵巢内类固醇生成和睾酮生成
研究思路:假设青蒿素类衍生物通过靶向卵巢调节睾酮水平(而非通过改变下丘脑-垂体-卵巢轴中的促性腺激素(FSH和LH)产生),并进行验证。
研究方法:
(1)间质细胞分析:分离卵巢卵泡膜间质细胞并进行体外培养,以模拟体内环境;收集细胞培养上清液,通过质谱等方法检测睾酮及其他类固醇激素(孕烯醇酮、黄体酮、17α-OHP)的水平;以不同浓度(如1 mM、5 mM、10 mM)的ATM处理细胞,评估ATM对类固醇激素生成的剂量依赖性影响;并通过MTT法、台盼蓝染色法等,评估ATM对卵巢间质细胞活力的影响。
(2)脂肪细胞分析:分离大鼠/人类脂肪细胞并进行体外培养;分别在基础状态、胰岛素处理或雄烯二酮(A4)处理下,检测细胞睾酮水平;并检测对比ATM处理后脂肪组织中的睾酮浓度。
图片
结论3:青蒿素类衍生物通过减少CYP11A1来限制睾酮的产生
研究思路:探究导致青蒿素诱导的雄激素合成减少的细胞通路,并分析CYP11A1的减少是否介导了青蒿素类药物对睾酮合成的抑制作用。
研究方法:
(1)定量蛋白质组学分析:从分离的卵泡膜-间质细胞细胞中提取蛋白质,并通过质谱技术定量分析在青蒿素处理下表达发生显著变化的蛋白质;然后通过生物信息学技术,筛选变化显著的蛋白质:细胞色素P450家族11亚家族A成员1(CYP11A1)。
(2)通过Western Blot检测小/大鼠间质细胞以及人绒毛膜癌细胞系BeWo中CYP11A1、HSD3B2和CYP17A1等类固醇生成酶的表达水平进行验证;根据时间梯度,检测CYP11A1蛋白表达变化。

 

(3)补充实验:在ATM处理的间质细胞中添加孕烯醇酮,并检测孕酮、17α-OHP和睾酮等类固醇激素的水平,以评估其补充效果。
(4)挽救实验:通过转染在细胞中过表达CYP11A1以及CRISPR/Cas9等基因编辑技术敲低CYP11A1表达,分别评估CYP11A1对ATM处理细胞中类固醇激素合成的影响。
图片
结论4:青蒿素类衍生物介导了LONP1和CYP11A1之间的相互作用
研究思路:探讨青蒿素类衍生物调控CYP11A1的具体机制,分析导致青蒿素类诱导的CYP11A1不稳定性的介质,并确定LONP1与CYP11A1结合的结构域。
研究方法:
(1)稳定性分析:通过qPCR分析青蒿素处理后CYP11A1的mRNA水平,确认其转录后调控特性;然后利用放线菌酮(CHX)阻断蛋白合成,检测CYP11A1蛋白的半衰期变化;最后利用蛋白酶抑制剂(如MG132)处理细胞,观察是否能挽救CYP11A1的下调。
(2)蛋白互作鉴定:采用IP-MS(免疫沉淀结合质谱分析)鉴定在ATM/SM934处理下与CYP11A1相互作用的蛋白,筛选出潜在的关键调控因子;通过co-IP(免疫共沉淀)验证IP-MS结果,确认LONP1和CYP11A1之间的相互作用。
(3)结构域分析:基于蛋白对接预测,构建CYP11A1的突变体(如DW56-S66和DF252-T259),探究其与LONP1的相互作用;将LONP1的不同结构域(n结构域、ATPase结构域、蛋白水解结构域)与线粒体靶向序列融合,通过Co-IP分析其与CYP11A1的相互作用,确定结合的关键区域。并通过下拉实验进行验证。
图片
结论5:LONP1促进CYP11A1降解并抑制睾酮合成

 

研究思路:探究LONP1在青蒿素诱导的CYP11A1降解中的作用,并评估LONP1对卵巢雄激素合成的影响。
研究方法:
(1)基因表达与调控分析:通过质粒/腺病毒载体在细胞中过表达LONP1,观察其对CYP11A1水平的影响;利用siRNA敲低细胞中的LONP1,评估其对ATM诱导的CYP11A1下降的影响;然后构建突变体(LONP1-S844A)以及不与LONP1结合的CYP11A1突变体(DF252-T259),验证其对CYP11A1降解的影响及抗性。
(2)蛋白酶活性测定:通过纯化的CYP11A1和LONP1蛋白,在有/无ATP的条件下,评估LONP1对CYP11A1的降解作用,并探究ATM和SM934对LONP1催化CYP11A1降解的加速作用;然后利用蛋白酶抑制剂MG132/LONP1抑制剂,分别观察其对ATM诱导的CYP11A1下调的恢复/逆转作用。
(3)建模:间质细胞(如卵巢内膜间质细胞)和BeWo细胞系,探究LONP1过表达对雄激素合成的影响;通过腹腔注射腺相关病毒(AAV)-LONP1,在小鼠卵巢中过表达LONP1,评估其对CYP11A1和血清睾酮水平的影响;利用hCG和胰岛素治疗建立PCOS小鼠模型,观察CYP11A1在卵巢中的变化。
(4)表型分析:通过Western Blot,检测细胞中CYP11A1、LONP1、ClpP、ClpX等蛋白质的表达水平;利用免疫共沉淀(Co-IP)验证CYP11A1与LONP1的相互作用,以及它们与雄激素诱导剂(如hCG)处理后的变化;通过GEO数据库,比较PCOS患者与正常细胞中LONP1的表达;最后测定细胞上清液中的孕烯醇酮、孕酮、17α-OHP和睾酮等类固醇激素的水平,评估LONP1过表达对雄激素合成的影响。
图片
结论6:LONP1是青蒿素类药物的直接靶点
研究思路:探究青蒿素类药物是直接靶向LONP1还是CYP11A1,以及青蒿素与靶点的结合模式。
研究方法:

 

(1)生物素偶联到青蒿琥酯(bio-ATS)上进行下拉试验,验证bio-ATS对目标蛋白的结合能力;通过bio-ATS捕获测定,进一步确认bio-ATS对LONP1的结合亲和力;并利用热稳定性测定,分析青蒿素对LONP1和CYP11A1热稳定性的影响。
(2)基于蛋白质结构的对接计算,验证硼替佐米与青蒿素竞争LONP1结合的能力;并通过表面等离子体共振(SPR),测定ATM、SM934和ATS与该结构域的结合解离常数(KD)。
(3)功能分析:构建缺失G847到D852残基的LONP1突变体(ΔGATPKD)。通过体内外实验评估突变体对青蒿素敏感性和CYP11A1降解的影响,并在LONP1敲除细胞中重新引入WT或突变LONP1,观察青蒿素对CYP11A1的调控作用。
图片
结论7:双氢青蒿素对PCOS患者的治疗作用
研究思路:通过试验性临床研究,以验证青蒿素类药物治疗PCOS患者的疗效。
研究方法:
(1)干预措施:PCOS患者19例,女性,年龄(27.79±3.74)岁;体重:(62.1±8.9)kg;体重指数(BMI): 23.23±2.30 kg/m2等符合鹿特丹PCOS诊断标准,并给予双氢青蒿素(40 mg, 3次/ d)口服治疗12周。
(2)指标分析:检测其血清睾酮水平(评估对高雄激素的改善效果)、Anti-Müllerian激素(AMH)水平(反映卵巢腔前卵泡和小腔卵泡的颗粒细胞活性及生长卵泡数量)、窦腔卵泡计数(评估卵巢多囊形态的改善情况)、月经周期恢复情况及安全性评估。
图片
三、小结

 

综上所述,该研究证明了青蒿素类衍生物在啮齿动物模型和人类患者缓解PCOS症状的有效性,促进CYP11A1蛋白降解,以阻断雄激素过度生产,从而抑制高雄激素血症。机制方面,青蒿素直接靶向LONP1,增强了LONP1-CYP11A1相互作用,并促进了LONP1催化的CYP11A1降解。
该研究表明,应用青蒿素治疗多囊卵巢综合征是一种很有前景的方法,并强调了LONP1-CYP11A1相互作用在控制高雄激素和多囊卵巢综合征发生中的关键作用。

 

参考来源:

 

Liu Y, et al. Artemisinins ameliorate polycystic ovarian syndrome by mediating LONP1-CYP11A1 interaction. Science. 2024 Jun 14;384(6701):eadk5382.

 

撰写:彤彤

编辑:小饼干