虽已步入立秋,但气温依然“居高不下”,晴天雨加高温炙烤的天气不仅给身体健康带来严峻考验,也会对我们的心理健康构成了显著威胁。潮湿、闷热的夏季比平时更加容易焦虑、发脾气?这可能是因为「情绪中暑」。据悉,当气温超过35℃、日照超过12小时、湿度高于80%时,人容易出现情绪失控、频繁发生摩擦或争执等,这种现象被称为“情绪中暑”。
近日,暨南大学研究团队在Nature Communications杂志发表了研究成果,研究了湿热环境对小鼠肠道菌群和胆汁酸代谢的影响,以及这些影响是如何导致焦虑样行为的发生。
研究发现,长期暴露在湿热环境中,会通过扰乱肠道菌群和胆汁酸代谢,加剧神经炎症,导致小鼠出现焦虑样行为。不过,给予益生菌乳杆菌能够逆转这些异常,表明调节肠道菌群平衡是应对环境压力引起的焦虑障碍的潜在治疗策略。
图片
一、研究内容与思路

 

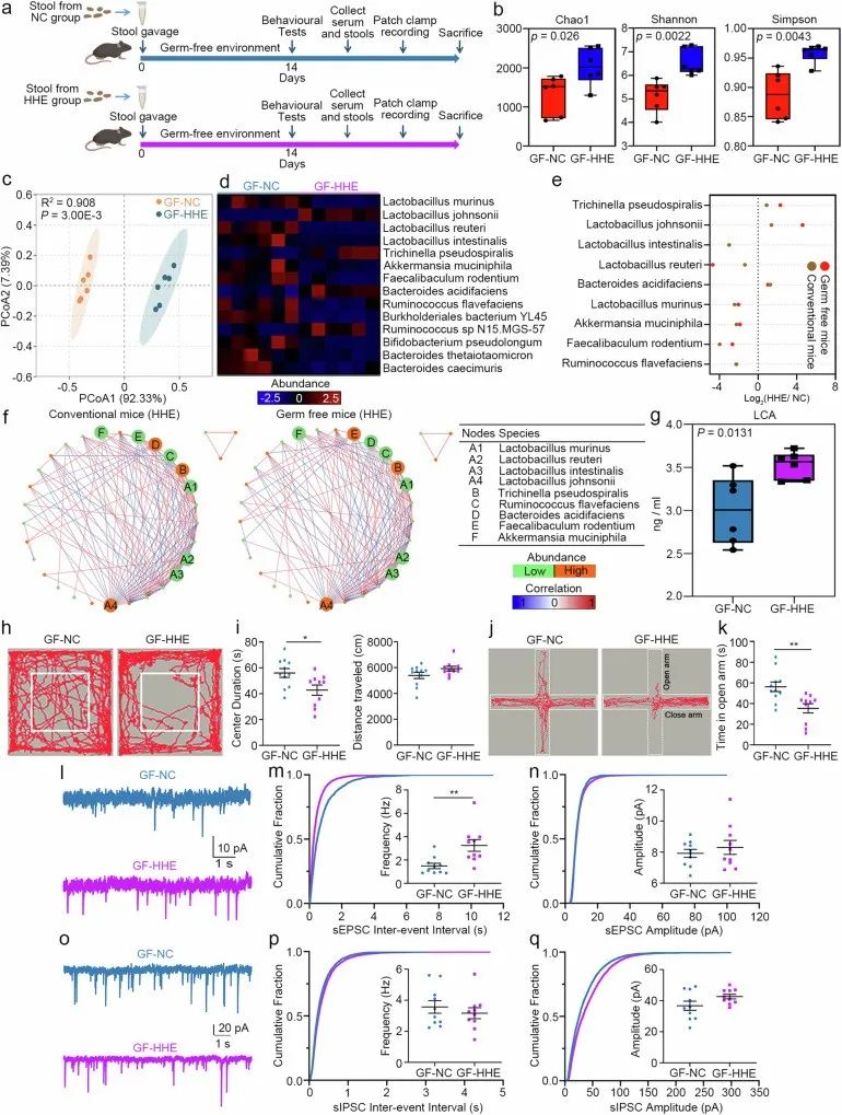
1、潮湿的高温环境会引起类似焦虑的行为,并破坏小鼠的皮质兴奋/抑制(E/I)平衡
将小鼠置于湿热环境(HHE组)与普通环境(NC组)中45天,对比发现,HHE组小鼠在旷场测试中穿越中央区域时间更短,在开放臂停留的时间也更短,表明HHE组小鼠出现焦虑样行为。而悬尾测试、强迫游泳测试和蔗糖偏好测试则无差异,表明小鼠无明显的抑郁行为。
与NC组相比,HHE组小鼠皮层锥体神经元中自发兴奋性突触后电流(sEPSC)的频率显著增加,幅度不变;而抑制性突触后电流(sIPSC)的频率和幅度没有显著差异。这些结果表明,HHE组锥体神经元的E/I比值增加,也就是神经元兴奋性增加。
图片
研究思路1:在又湿又热的环境中,总感觉会比平时更为焦虑、情绪波动更大,对此,作者探讨了湿热环境对情绪的影响。作者将小鼠培养在湿热环境中,检测小鼠焦虑与抑郁行为表现,发现处于湿热环境的小鼠更容易出现焦虑。焦虑的时候,神经元兴奋性增加,对此,作者检测了大脑神经元兴奋性,发现神经元兴奋/抑制平衡被破坏,神经元兴奋占主导地位。

 

2、湿热环境会改变肠道菌群组成和相关血清代谢物
作者检测发现,相比于NC组小鼠,HHE组小鼠体重下降,盲肠大小减小。对小鼠粪便进行测序,发现NC组和HHE组小鼠肠道菌群的α和β多样性存在显著差异,进一步分析发现HEE组小鼠中乳酸杆菌鼠李糖菌(L. murinus)的丰度降低,其他几种益生菌(如L. intestinalis、L. reuteri和Akkermansia muciniphila)的丰度也显著降低。
血清代谢组学分析发现,NC组和HHE组小鼠血清代谢组存在显著差异,包含35种代谢物表达的改变。Kegg分析发现,次级胆汁酸生物合成、苯丙氨酸代谢、初级胆汁酸生物合成等代谢通路被显著富集。其中,次级胆汁酸生物合成通路排名首位,HEE组小鼠血清中胆汁酸水平(如脱氧胆酸、鹅脱氧胆酸、脱氧胆酸、牛磺酸-α-鼠李糖酸钠和牛磺胆酸)显著升高。使用部分Spearman相关系数分析肠道菌群与血清代谢物之间的潜在相关性,发现肠道微生物菌群失调导致HHE组血清代谢物的改变。
图片
研究思路2:临床上,消化系统功能障碍是潮湿高温环境引起的典型早期症状,而肠道菌群失调可导致血清代谢物紊乱。基于此,作者检测了小鼠菌群变化情况以及代谢情况,分析肠道菌群与血清代谢物之间的潜在相关性,表明菌群变化与代谢变化之间存在关联性。

 

3、移植HHE组粪便菌群可导致GF小鼠肠道菌群的改变和焦虑样行为
将HHE组和NC组小鼠粪便菌群移植到无菌小鼠(GF)中,以确认湿热环境诱导的肠道菌群改变的直接作用。对GF小鼠粪便进行检测,发现了与HHE/NC组小鼠一样的菌群改变,表明菌群成功移植。之后,对GF小鼠进行检测,发现GFHHE小鼠在旷场测试中穿越中央区域时间更短,在开放臂停留的时间也更短,表明小鼠出现了焦虑样行为。与GF-NC组相比,GF-HHE组锥体神经元的E/I比值增加,也就是神经元兴奋性增加。最后,作者用抗生素清除了小鼠菌群,之后移植HHE组和NC组小鼠粪便菌群,结果与GF小鼠移植结果一致。
以上结果表明:潮湿的高温环境诱导的肠道菌群的改变是焦虑样行为的直接原因。
图片
研究思路3:既然小鼠的肠道菌群发生了改变,那么肠道菌群改变是不是导致小鼠处于湿热环境中容易暴躁的罪魁祸首?对此,作者构建了无菌小鼠以及抗生素清除肠道菌群小鼠来进行探讨,两种小鼠所得结果一致,表明潮湿的高温环境诱导的肠道菌群的改变是焦虑样行为的直接原因。

 

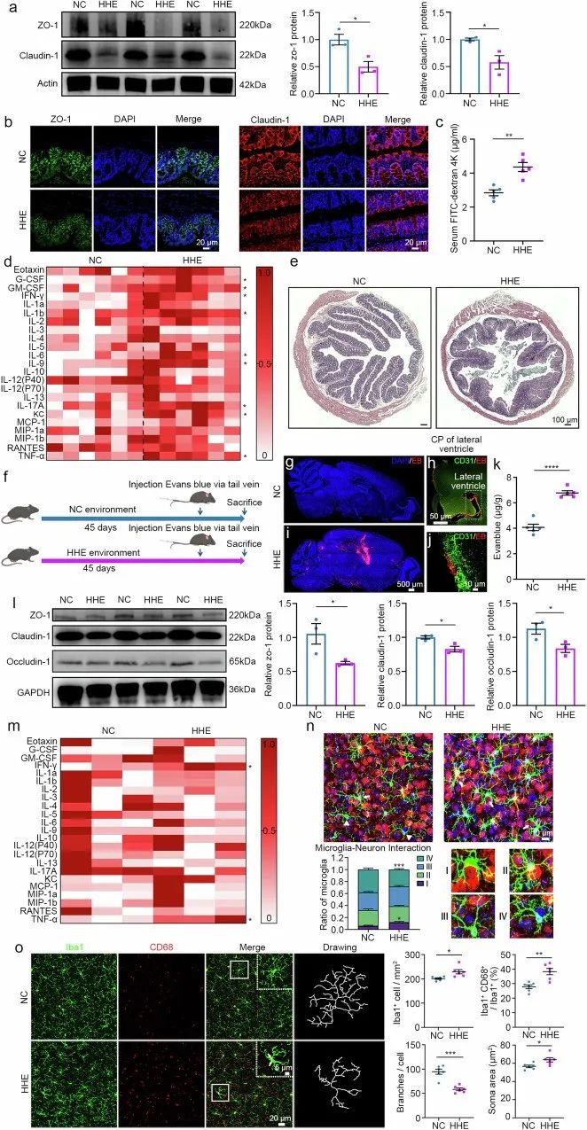
4、HHE和GF-HHE组表现出肠道屏障和血脑屏障通透性增加以及炎症反应增强
作者检测了相应蛋白表达水平以评估HHE对肠道屏障的影响,发现:HHE和GF-HHE组小鼠的Claudin-1和ZO-1的表达显著降低;血清炎症因子的水平显著升高;肠道结构明显萎缩,绒毛高度降低;FITC-右旋糖酐灌胃结果表明肠道通透性增加。
进一步,作者检测了血脑屏障通透性,发现HHE组小鼠和GF-HHE组小鼠大脑中Claudin-1、Occludin-1和ZO-1的表达显著降低,Evans blue染料的渗透性显著增加,表明血脑屏障通透性增加。此外,HHE组小鼠和GF-HHE组小鼠皮层样品中炎症因子水平显著升高;Iba1阳性小胶质细胞的密度、Iba1+CD68+细胞数量、小胶质细胞胞体大小均显著增加,而小胶质细胞分支数量显著减少,表明小胶质细胞激活增强,与神经元的相互作用增加。
图片
研究思路4:肠道菌群组成的改变导致胃肠道通透性增加和血脑屏障损伤,诱发神经系统疾病(如焦虑和抑郁样疾病)中涉及的神经炎症过程。作者检测了小鼠的肠道屏障和血脑屏障通透性,以此来进一步佐证肠道菌群在其中的重要性。

 

5、PI3K/AKT/NF-κB信号传导在HHE和GF-HHE组小鼠大脑中增强
作者对小鼠大脑皮质进行RNA测序,发现与NC组相比,HHE组小鼠皮层中391个基因表达上调,48个基因表达下调,KEGG分析显示,差异表达基因主要富集在炎症相关信号通路中,PI3K/AKT通路排名第一,其次是NF-kB信号通路和TNF信号通路。而GSEA分析显示,HEE组小鼠皮层中PI3K/AKT信号通路显著上调。RNA及蛋白层面验证表明HHE组和GF-HHE组小鼠皮层中磷酸化PI3K、AKT和NF-κB蛋白的水平显著升高,表明湿热环境诱导的菌群改变激活了皮层中的PI3K/AKT/NF-κB信号传导和神经炎症。
图片
研究思路5:明确了在湿热环境中,小鼠肠道菌群发生了改变,从而使得小鼠更容易焦虑后,那其相关作用机制是什么?对此,作者进行了测序来分析这一过程涉及的作用机制。

 

6、L.murinus给药逆转HHE组小鼠的异常
上述提到了一些肠道菌群的减少,包括L.murinus、L.reuteri 和 Akkermansia muciniphila。作者检测了这些菌群的外源性补充是否可以改善HHE小鼠。对暴露于HHE的小鼠施用L.murinus(HHE+Lm组),L.reuteri(HHE+Lr组),Akkermansia muciniphila(HHE + Akk组)或生理盐水(HHE+S组)。在露天试验中,与HHE+S组相比,HHE+Lm和HHE+Lr组小鼠在中心区域花费的时间增加,但HHE+Akk组小鼠的时间没有增加;三组小鼠张开双臂的时间增加。但其中L. murinus治疗改善效果最为显著。
进一步分析发现,L. murinus治疗后,小鼠肠道菌群的组成得到改善,血清中LCA水平降低,焦虑样行为得到缓解。电生理记录显示,皮层锥体神经元的E/I平衡恢复。此外,L. murinus治疗减少了大脑中PI3K/AKT/NF-κB信号通路的激活,减少了神经炎症。
图片
研究思路6:第五部分的时候,整个实验框架已经完善,得出结论——在湿热环境中,小鼠的肠道菌群通过影响肠道屏障和血脑屏障通透性以增强炎症反应,从而导致小鼠更容易焦虑,且这一环节与PI3K/AKT/NF-κB信号通路相关。而在第二部分的时候,作者检测发现了发生改变的对应菌群,因此,在这一环节中探讨补充有益菌群是否可以改善处于湿热环境中的小鼠焦虑样行为,衔接并进一步肯定研究结果。

 

二、小结
研究揭示了长期湿热环境暴露通过扰乱肠道菌群和胆汁酸代谢,加剧神经炎症,导致小鼠出现焦虑样行为。而给予L. murinus治疗能够逆转这些异常,表明调节肠道菌群平衡是应对环境压力引起的焦虑障碍的潜在治疗策略。
尽管本研究提供了肠道菌群与环境压力引起的焦虑行为之间的联系,但神经炎症并非焦虑障碍的唯一原因。未来研究需要探索其他类型的神经功能障碍,并进行长期队列研究以验证肠道菌群变化对人类心理健康的长期影响,以及益生菌干预在临床治疗中的应用潜力。

 

参考文献:

 

[1] Weng, Huandi et al. “Humid heat environment causes anxiety-like disorder via impairing gut microbiota and bile acid metabolism in mice.” Nature communications vol. 15,1 5697. 7 Jul. 2024, doi:10.1038/s41467-024-49972-w

撰写:MIE
编辑:小饼干