前言:肺结节与肺癌网上可查可看的科普太多了,但仍有许多人看得云里雾里,一是因为信息量太大,二是不同医生说法有出入。我们该怎样把某个问题讲明白?今天以一个病例入手,尝试把微浸润性腺癌的相关问题尽量讲清楚。如果看肺微浸润性科普文章,只看这一篇就够了,那么这样的文章价值更高,花较多的时间码字也更有意义。
(一)病例举例
1、病史信息:
患者女性,34岁,幼儿园老师。
主 诉:检查发现肺部阴影5月。
现病史:患者5月前于某省级医院,行胸部CT提示肺部结节,平时无明显症状,无畏寒、寒战,无咳嗽、咳痰,无胸闷、胸痛,无恶心呕吐,无腹痛腹泻,无头晕头痛骨痛等不适,未予治疗。2024-11-03我院复查胸部(含纵隔)CT平扫+高分辨靶扫描 :胸廓对称,气管纵隔居中。两肺纹理清晰,走向自然,左肺上叶(SN202,IM54)、右肺中叶(SN202,IM176)见多发实性小结节影,长径约5mm,界清。余肺野内未见明显异常密度阴影,所见各支气管腔通畅,肺门及纵隔未见明显肿大淋巴结,胸膜未见明显增厚,胸腔内未见游离积液。现患者未见明显不适,为求进一步诊治来我院门诊就诊,拟“肺部阴影”收入我科。 患者起病以来,神志清,精神可,胃纳可,睡眠安,二便正常,体重近期无明显变化。
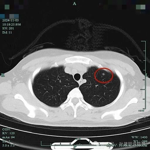
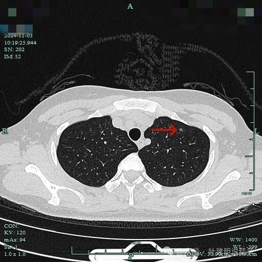
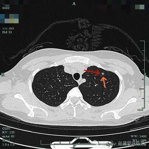
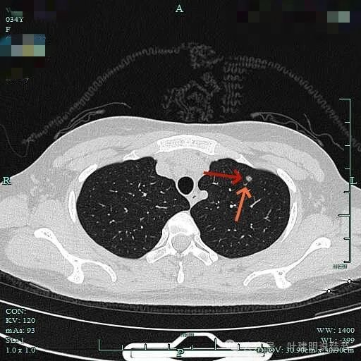
2、影像展示与分析:

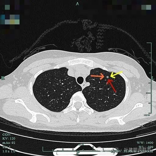
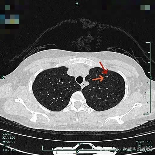
非薄层平扫上病灶位于左上叶,仅约4-5毫米,磨玻璃密度,轮廓与边界清,实性成分不明显,但并不太淡。

薄层上病灶出现,点状,边缘不光滑。

轮廓清,有微小血管走向病灶,表面并不光滑。

灶内密度也不均匀,微小血管走向病灶。

病灶内局部似有小空泡或局灶细支气管扩张,有血管贴边进入,整体轮廓与边界较清。

边缘区小血管似乎有拐了个弯,是不是病灶的影响导致的?
3、临床考虑:
结友来我门诊时,我的考虑是:(1)病灶随访持续存在,磨玻璃偏实密度,有微小血管征以及局灶细支气管扩张,灶内密度欠均匀,整体轮廓与边界均清,要考虑是肿瘤范畴的;(2)从大小来看虽然才4-5毫米许,但密度不纯,微血管进入,密度不低,要考虑微浸润性腺癌或原位癌可能性大,尤其是微浸润性腺癌,即使切出来是浸润性腺癌也不意外;(3)是否手术的考虑不只看大小,更要看密度,也要结合位置是否能楔形切除。所以我的意见倾向于单孔胸腔镜下局部楔形切除,如果暂时不开,则也可4-6个月复查。
4、最后结果:
结友开始的意见是说幼儿园寒假时间短,而且工作无法叫人替代,想等到2025年放暑假时再手术。那我倒觉得如果下定决心开的话,就不必等到暑假,不如早点切了放心。后经过沟通商量,决定在幼儿园放寒假的当天入院,下午与次日完善相关术前检查,入院第三天手术,第四天拔胸管,第五天拍下胸片下午出院或第六天出院,正好趁过年休息与恢复几天,到了过正月十五学校开学,基本应该影响也不大了。入院与手术以及后来的出院时间点均按规划如期进行,全过程顺利,尽在掌控。

手术进胸后看到术前定位钩针的尾线以及其穿过胸壁时的样子。

钩针旁边的病灶,切面灰白,质较硬,没有包膜。

被切除的组织与我的大拇指相仿。

常规病理出来报:微浸润性腺癌,最大径0.5厘米。
(二)微浸润性腺癌是如何定义的?何为微浸润性腺癌?
1、病理分类归属:
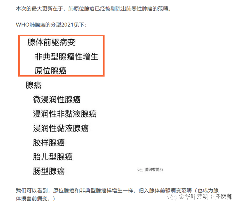
根据2021年WHO新的病理分类:

在2021年之前肺腺癌分为:腺瘤样不典型增生、原位腺癌、微浸润性腺癌以及浸润性腺癌,其中浸润性腺癌再有不同的亚型,主要是贴壁型、腺泡型、乳头型、实体型以及复杂腺体等五种。但在2021年之后,将不典型增生以及原位癌归于腺体前驱病变,所以肺腺癌从微浸润性腺癌起步,也就是说微浸润性腺癌是病理定义中最早期的肺癌,原位癌与不典型增生不算肺腺癌了。
2、微浸润性腺癌的概念:
定义为不大于3厘米,以附壁生长为主,浸润癌形态应该是附壁以外的形态,浸润间质最大径不大于5毫米,而且要除外脉管侵犯、胸膜侵犯以及气道播散。许多人搞不清楚微浸润性腺癌概念的关键。我们从上述定义可以得出以下结论:(1)微浸润性腺癌必定不能大于3厘米,只要超过3厘米,就算全是贴壁亚型也要诊断浸润性腺癌;(2)只要诊断为微浸润性腺癌就是贴壁成分为主,不必另标明亚型。所以患者不需要咨询自己的微浸润性腺癌是什么病理亚型;(3)诊断微浸润性腺癌,如果没有大于3厘米,必含贴壁以外的其他成分,但浸润间质不能超过5毫米,超过就得诊断为浸润性腺癌;(4)只要有脉管侵犯、胸膜侵犯以及气道播散就诊断为浸润性腺癌,不论病灶大小。之前仍有非常有名的教授也会认为肿瘤大小才4毫米,怎么能诊断为浸润性腺癌,而认为应该是微浸润,其实这是理解有误。
(三)微浸润性腺癌的影像表现有何特点
我在多年以前受邀在《放射沙龙》大师讲堂上讲网络课,当时总结过微浸润性腺癌的影像特征,现在看来大致仍是准确的,供大家参考:















现在又过去了好几年,结合近年来影像表现与术后病理证实相结合,微浸润性腺癌的影像我的感觉可以再总结如下:
1、纯磨玻璃的话,密度整体显得略高,但又不有到实性;
2、比较纯而淡的磨玻璃密度的话,要有其他恶性影像特征之一加持:边缘有细毛刺征;有血管进入穿行并稍有异常增粗或血管弯征;邻近胸膜时伴轻微胸膜牵拉;分叶征等;
3、混合磨玻璃密度的话,实性占比少,边缘细毛刺或小棘突征;
4、实性结节也有报微浸润性腺癌的,但很少见,如果之前随访一直是纯磨玻璃结节的,近来才突然变成实性,切下来也会报微浸润性腺癌,实性成分大概会是纤维组织增生或慢性炎的关系。
(四)微浸润性腺癌的分期
这很简单,我们看TNM分期是如何表述的就可以:

可见,只要是微浸润性腺癌,就是T1aN0M0,也就是1A1期。即使是肿瘤在影像上测量在2-3厘米之间,也不影响分期,仍是1A1期的。
(五)微浸润性腺癌的手术方式
指南缺乏细化,所以目前的表述仍如下面所示:
解剖性肺叶切除仍是标准术式。所以病理是微浸润性腺癌(MIA)的话,切肺叶、切肺段或楔形切除可能都是对的,都不违反指南精神。但随访JCOG系列研究的结果发表,亚肺叶切除显然是更为合适的术式。再结合MIA定义中说完整切除后5年生存率100%,许多文献报告10年或20年生存率也是100%,那么我的理解是:既然局部完整切除就达到治愈,干嘛要切肺段或肺叶呢?所以我一直认为,只要是MIA,能楔形切除的位置,楔形切除就够了,无法楔形切除的位置,也争取段切,若是连段切也做不到,影像上又考虑MIA,那就再等等,反正要切肺叶,当其有所进展并出现实性成分,或考虑浸润性了再切又有什么关系?

此研究中,长达10年的随访,317名MIA患者没有一例出现复发!
(六)手术时机的把握
我们采取手术的目的是阻止疾病进展,阻断疾病对机体的危害,特别是不能影响寿命。曾经一度,我以为:1、原位癌开刀的话太早,浸润性腺癌的话太迟,微浸润性腺癌是最佳的手术时机;2、原位癌楔切,微浸润性腺癌段切,浸润性腺癌切肺叶。因为刚好将病理的风险与手术时机以及手术切除的范围能对应起来。但随着临床经验的增加以及大家对肺结节认识的加深,我对此前这样的认识产生了怀疑。而是觉得应该着眼于干预的时机与切除的范围对预后有没有不同来考虑问题。如果MIA时切除与浸润性腺癌贴壁为主型时切除效果一样,对于这类贴壁为主型的、相对惰性的肿瘤类型,有的甚至长达10几年也不进展的,又何必一诊断为早期肺癌就马上手术呢?何况在目前多发结节、多原发早期肺癌很常见的情况下,过早的干预或许并不能带来预后的改善,反而机体过早遭受创伤,带来一些不适。所以对于术前影像诊断考虑MIA的结节,我的想法是这样:
1、磨玻璃结节考虑MIA一定要有过随访,就算1周、2周也是好的;
2、位置在外周能简单楔形切除的可以相对积极点,切了也就切了;
3、位置在无法楔形切除而能段切的情况下,相对要保守点,随访到病灶有所进展再切就可以;
4、位置在只能切肺叶才行的话,可以随访到考虑浸润性腺癌可能性大时再切就可以(因为实性成分不足25%时的混合密度结节即使是浸润性腺癌也几乎不会有转移);
5、多发结节相对于孤立性病灶要保守点,因为切除主病灶不能解决所有问题,而主病灶即使已经考虑MIA也仍风险说不上大到定要马上手术切除。
(七)术后相关事宜
1、基因检测与否:

在2024年版中华医学会指南中说,含腺癌成分的非小细胞肺癌,应常规进行EGFR、ALK、ROS1、BRAF V600、RET、MET14外显子突变、NTRK重排等分子生物学检测。1B-3期的手术病理标本需常规进行EGFR突变检测。当然MIA不在术后常规进行EGFR突变检测之列,但按字面意思理解,当然在“含腺癌成分的”分子生物学检测之列。
我们再来看2022年版卫健委指南的说法:

这里的说法是:对于2-3A期非小细胞肺癌、淋巴结阳性的非鳞癌以及小标本鳞癌患者进行EGFR检测;对于晚期非小细胞肺癌,在诊断的同时常规进行肿瘤组织的EGFR、ALK、ROS1、RET、CMET14等基因检测。
如果结合两个指南来看,整体意思应该理解为“晚期小标本含腺癌成分的都要多基因检测,手术标本的1B-3期的要EGFR检测”,这样比较合理。因为基因检测的目的是为了指导术后辅助治疗,而晚期的没有手术,经活检明确的,当然要有更全面的基因检测结果以指导后续治疗。早中期能手术的患者需要术后辅助治疗的群体当然也明确EGFR突变状态从而指导术后辅助治疗是合理的。
所以我认为,MIA术后不需要基因检测,因为不必术后辅助治疗。
2、术后辅助治疗与否:
就如前面所术,MIA分期是T1aN0M0,是1A1期的,按2022年版卫健委肺癌诊疗指南的推荐:

完全切除的1A期非小细胞肺癌患者不推荐常规应用术后辅助化疗、放射治疗及靶向药物治疗。所以MIA当然不需要任何辅助治疗的!
3、术后随访事宜:
我们来看指南的随访说法:
按卫健委指南,只是笼统的说早中期肺癌外科手术后2年内每3个月复查1次,2年至5年内每半年复查1次,5年后每年复查1次。MIA是早期肺癌,所以许多医院与医生都在让患者每3个月复查。有没有错,当然没有错,是符合指南精神的!但前面所说指南中自己说MIA术后五年生存率100%,文献报导10年也没有一例复发,那每3个月复查还有必要吗?显然是多余与不必要的!
我个人认为,MIA术后只需与正常人一样每年体检复查。但我不敢让患者真的就每年复查,因为指南说3-6个月要复查,所以一般建议半年复查胸部CT平扫,一年常规体检。或者口头上与患者说半年到一年复查,但出院记录上写半年复查。无奈!
感悟:
今天我们从一个具体病例入手,将与微浸润性腺癌相关的从概念到影响、从手术时机到手术方式、从术后基因检测到辅助治疗与否,再到随访建议都进行了梳理,希望大家对微浸润性腺癌的整体全貌有更多了解。如果仍有不明显的地方,或觉得还不明确之处,欢迎在文末留言共同探讨。目的就是将这一疾病讲清楚,减少患者的焦虑与不安、减少过度检查与过度治疗,把握更好的干预时机与方式。