近年来,肠道菌群一直是研究热点之一,是国自然标书的常客,而脑-肠轴更是热点中的热点,至今我们已多次在顶刊中看到其身影。一般而言,谈到肠道菌群,则离不开肠道菌群代谢产物,不同的代谢物发挥着不同的作用,影响着多种疾病的发生发展。
但你是不是会这么想:只有肠道菌群这个热点,创新性不够啊,而且肠道菌群太过热门了,怎么脱颖而出呢?

 

今天,我们来看看这篇首都医科大学研究团队发表在Cell大子刊Cell Metabolism上的研究,将多个国自然热点巧妙地串在一起,看看如何建立“肠道菌群—代谢物—细胞靶点—细胞内信号轴—细胞表型—疾病病理特征”这个研究模式的。
图片
研究内容与思路

 

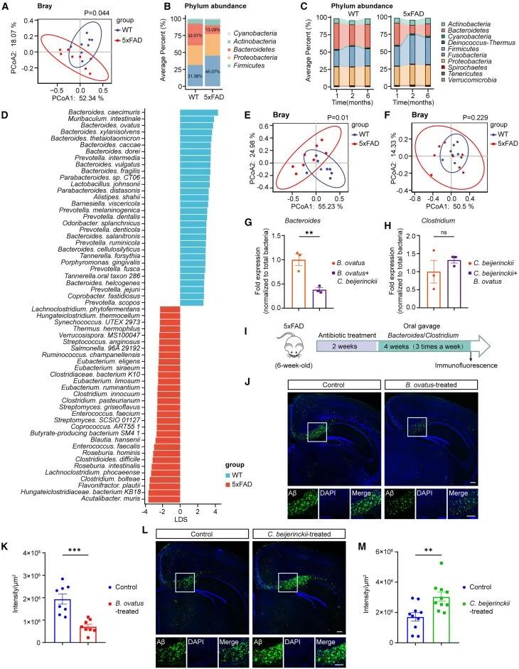
一、肠道菌群失调与阿尔茨海默症

 

给予5×FAD小鼠(AD模型小鼠)广谱抗生素(ABX)以耗竭微生物群,结果发现ABX处理后的AD小鼠海马区Ab斑块负荷减少,认知功能得到改善,表明肠道菌群可以影响AD。

 

对5×FAD小鼠(AD模型小鼠)和WT小鼠粪便进行宏基因组测序,结果显示两类小鼠间β多样性存在显著差异:相比于WT小鼠,AD小鼠表现出Firmicutes门(包括Clostridium属)的丰度增加,而Bacteroidetes门(包括Bacteroides属)的丰度减少。给予AD小鼠灌胃处理Bacteroides属和Clostridium属的微生物群,发现特别是Bacteroides ovatus处理后,Ab斑块显著减少,而Clostridium属处理则导致Ab沉积增加。
图片
研究思路:研究人员想要探讨肠道菌群与AD疾病之间的关系,对此,首先通过清除AD小鼠的肠道菌群来表明肠道菌群与AD有关系,接下来进行测序以及简单的菌群移植实验来挖掘究竟是哪些肠道菌群起着作用。直观清晰的将肠道菌群与AD联系起来。

 

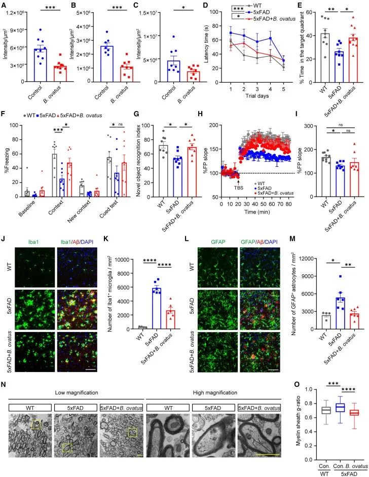
二、Bacteroidetes改善阿尔兹海默症小鼠认知缺陷

 

进一步分析发现,AD小鼠接受Bacteroides ovatus补充后,海马区的Ab斑块负荷减少,小鼠认知功能被改善。同样的结果也出现在接受Bacteroides ovatus补充的另一种AD小鼠模型(3xT8-AD)上。此外,Bacteroides ovatus改善了AD小鼠中与Ab沉积相关的神经胶质细胞的激活,降低了微胶质细胞和星形胶质细胞的数量及激活水平,缓解了神经炎症。电镜结果表明小鼠髓鞘结构得到改善。

 

综上所述,Bacteroides ovatus能够改善AD小鼠的认知表现、神经元功能、神经炎症以及髓鞘健康。
图片
研究思路:挖掘到主要的肠道菌群Bacteroides ovatus后,后续展开了深层次的验证,表明这个菌群真的在AD中发挥主要作用,并探讨了这个菌群改善了AD哪些病理特征。

 

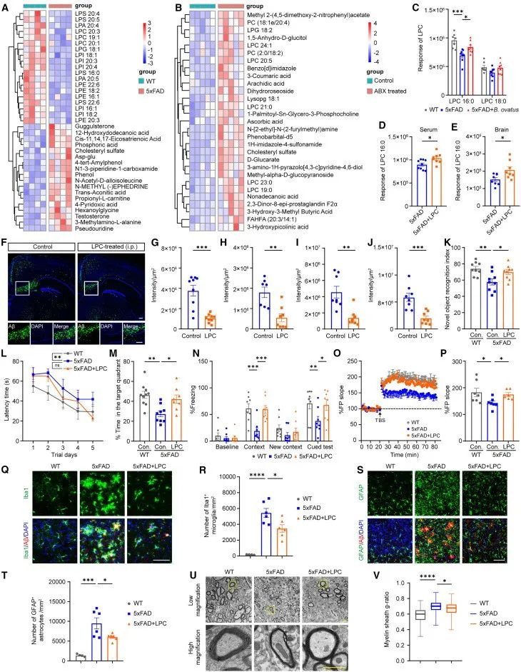
三、代谢产物LPC水平恢复改善了AD病理

 

对小鼠进行血清代谢组分析,发现AD小鼠的溶血磷脂家族代谢物水平显著低于WT小鼠。相关性分析及动物实验发现与AD小鼠相比,ABX处理后的AD小鼠LPC含量及PC含量增加;而与WT小鼠相比,AD小鼠的LPC水平显着降低,Bacteroidetes灌胃可以增加LPC含量。外源性给予AD小鼠LPC,发现小鼠海马区的Ab斑块负荷减少,认知功能及突触可塑性得到改善。此外,LPC治疗还减少了神经胶质细胞的激活和神经元退化,促进了髓鞘的修复。

 

这些结果表明,肠道微生物代谢物LPC能有效减轻AD小鼠模型的淀粉样蛋白沉积、改善认知功能并修复神经损伤。
图片
研究思路:定位特定肠道菌群类型后,肠道菌群常常通过代谢产物发挥作用,因此研究人员进行了代谢组分析来挖掘发挥主要作用的代谢产物。这一过程还结合了前人研究的文献进行进一步代谢产物锁定。锁定发挥效果的主要代谢产物后,接下来当然就是验证这个产物是否真的对AD有影响。

 

四、来自Bacteroides ovatus的PLA2将PC水解成LPC

 

LPC是PC的代谢产物,对此,研究人员探讨了PC与AD疾病之间的联系,研究发现腹腔注射PC治疗未能减少AD小鼠的Ab斑块负荷。但Bacteroides ovatus加PC治疗可以显著减少AD小鼠海马区域的Ab积累,且血清LPC水平升高,表明Bacteroides ovatus对PC代谢至关重要。

 

LPC是PC的代谢产物,特别是磷脂酶A2(PLA2)水解PC的产物。对此,研究人员假设了Bacteroides ovatus的PLA2可能在PC水解成LPC中起关键作用并进行了验证。通过基因克隆和实验验证发现,过表达Bacteroides ovatusPLA2基因的大肠杆菌能有效将PC转化为LPC。在AD小鼠中补充大肠杆菌-PLA2显著降低了Ab斑块负荷,并提高了血清中的LPC水平,支持Bacteroides ovatus通过PLA2酶水解PC产生LPC,从而减轻Ab积累的作用。
图片
研究思路:明确LPC的确是主要代谢产物且对AD存在显著影响后,接下来就需要涉及到中间作用途径了,LPC是如何影响的AD?有无中间产物的参与等。

 

五、LPC通过抑制铁死亡来缓解阿尔茨海默病的病理症状

 

通过单细胞RNA测序分析了不同细胞类型(神经元、少突胶质细胞、小胶质细胞和星形胶质细胞)对LPC治疗的反应。研究发现,AD小鼠的神经元中,与氧化磷酸化、活性氧物质、铁死亡和神经退行性疾病相关的基因上调,而LPC治疗可降低这些基因的表达。此外,LPC治疗还调节了小胶质细胞、星形胶质细胞和少突胶质细胞中的基因,主要与铁死亡相关。

 

基于上述分析结果,研究人员探讨了LPC对AD病理的抑制作用是否通过铁死亡介导。检测发现AD小鼠ROS和脂质过氧化水平显著升高,而LPC和Bacteroides ovatus治疗可显著降低这些水平。铁死亡抑制剂Lip-1显著降低了Ab斑块负荷并改善了AD小鼠的认知功能。此外,LPC和Lip-1治疗恢复了由RSL3诱导的铁死亡,并修复了线粒体损伤。但LPC无法挽救细胞凋亡、焦亡和自噬等其他形式的细胞死亡。

 

这些结果表明,LPC的作用可能通过调节铁死亡来减轻AD的病理和改善认知功能。
图片
研究思路:其实在第四部分的时候,研究就很完善了,肠道菌群-代谢产物-中间途径-AD形成了一条常见的研究途径。但研究人员还进行了单细胞测序来评估细胞对于LPC的影响,从而挖掘出LPC主要调节的细胞。在这一过程中,研究人员挖掘到了铁死亡这一表型,对LPC影响铁死亡进而影响AD进行了验证。

 

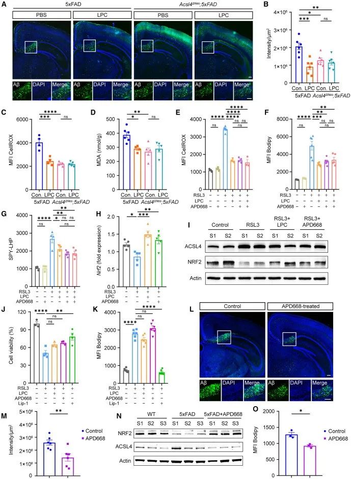
六、LPC通过GPR119抑制ACSL4依赖性铁死亡

 

RNA测序分析发现LPC处理显著下调了铁死亡关键因子ACSL4的表达,进一步分析表明,LPC抑制了铁死亡相关的脂质过氧化过程,还显著减少了与铁死亡易感性相关的主要PL-PUFAs,如PE-AAs、PE-AdAs和PC-PUFAs。

 

接下来,研究人员探讨了LPC与ACSL4之间的联系,在AD小鼠中敲低ACSL4基因,发现小鼠显示出较低的Ab斑块负荷和脂质过氧化水平,且LPC治疗对其效果有限。此外,ACSL4过表达可增加RSL3诱导的脂质过氧化,且抵抗LPC治疗。

 

孤儿受体GPR119以前已被确定为LPC的受体,对此,研究人员纳入GPR119的临床阶段激动剂APD668或敲低GPR119来探讨GPR119受体在这一环节的作用,发现LPC通过GPR119受体调节ACSL4的表达。LPC和APD668均可降低RSL3诱导的活性氧和脂质过氧化水平,并通过降低ACSL4的表达抑制铁死亡。此外,NRF2转录因子在LPC作用中可能起到介导作用,LPC或APD668处理增加了NRF2的转录和翻译水平,而NRF2缺失减弱了LPC的抑制效果。综上所述,LPC通过GPR119-ACSL4- NRF2轴调节铁死亡,抑制AD病理的进展。
图片
研究思路:挖掘到一个东西,那就得继续深挖,研究人员从铁死亡角度入手,采用测序分析获得ACSL4,探讨了LPC与ACSL4之间的联系。最后,研究人员还探讨了LPC如何影响ACSL4。

 

七、肠道微生物群与临床阿尔茨海默病

 

本研究通过分析患有阿尔茨海默病(AD)个体和年龄匹配的对照捐赠者的粪便和血清样本,探讨了人类肠道微生物群和LPC水平的变化。研究发现,AD患者的粪便样本中,BacteroidetesBacteroides的丰度显著降低,而FirmicutesClostridium的丰度略有增加。健康对照样本中,Bacteroides ovatus在粪便中的丰度最高。脂质组学分析发现AD患者的血清中LPC浓度显著低于健康对照群体。
图片
研究思路:动物实验可能与人体研究存在着一些差异,那上述所得结论是否适用于人体样本中。研究人员收集了相应人群样本进行了简单分析,最终表明上述结论适用于人体。实现了从科研过渡到临床的跨度,使得研究更具实用性。

 

小结

 

综上所述,这篇文章探讨了微生物群与AD之间的关系,特别是微生物衍生的溶血磷脂酰胆碱(LPC)如何通过抑制铁死亡来缓解AD的病理。

 

本文主要创新点在于深度剖析肠道菌群与 AD 关联及作用机制,精准识别 5xFAD 小鼠模型中肠道菌群失衡关键特征,揭示菌群代谢物 LPC 治疗潜能及机制,且在临床样本中发现 AD 患者双歧杆菌与 LPC 水平同步降低,有力支撑动物模型结论。为AD治疗提供新思路。

 

参考文献:

 

[1] Zha X, Liu X, Wei M, et al. Microbiota-derived lysophosphatidylcholine alleviates Alzheimer's disease pathology via suppressing ferroptosis. Cell Metab. Published online November 1, 2024. doi:10.1016/j.cmet.2024.10.006

 

撰写:MIE

编辑:小饼干