患者是一名34岁男性,主诉:少量咯血、严重干咳及低热5月余。他否认有呼吸困难、胸痛、盗汗或体重减轻。胸部 CT 扫描显示左肺下叶有结节伴空洞。支气管肺泡灌洗液病原学检测为阴性。起初,他被诊断为肺炎并接受了抗生素治疗。一周后,症状缓解出院。两个月后,患者因干咳和咯血再次就诊。尽管进行了对症治疗,其症状及胸部 CT 扫描结果均无改善。于是,他被转诊至我院。该患者自幼易出现自发性瘀斑,家族中有自发性脑动脉瘤病史。患者 21 岁时因疑似穿孔接受了阑尾切除术。此外,他 3 年前曾发生脑出血。
体格检查
生命体征平稳,无需吸氧。胸部听诊呼吸音正常。观察到其面部特征为皮肤半透明、眼睛突出且无耳垂。他的小关节自幼活动度就较大(下图A 和图B)。此外,患者下肢有静脉曲张及腿部色素沉着(下图C)。

诊断性检查
实验室检查显示白细胞计数为 8.21×10³/μL,血红蛋白 16.7g/dL,血小板 173×10³/μL。包括 C 反应蛋白和红细胞沉降率在内的血清炎症生物标志物均正常。心脏生物标志物、心电图及超声心动图均正常。室内空气下动脉血气分析报告氧分压(PaO₂)为79mmHg。实验室检查表明患者凝血功能及肝肾功能均正常。肿瘤标志物均在正常范围内。
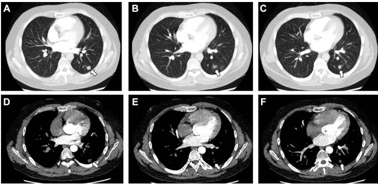
CT 肺动脉造影排除了肺栓塞,该检查显示左肺下叶有两个无强化结节,一个呈圆形且有实性成分,另一个有空洞及晕征(下图)。

上图 A - F 为胸部 CT 肺动脉造影图像。A 图,左肺下叶见一个结节(箭头所示);B 图,左肺下叶另一个结节周围有空洞及晕征(箭头所示);C 图,左肺下叶的另一个结节(箭头所示);D - F 图,两个结节均无强化(箭头所示)。
支气管镜检查未观察到活动性出血或其他异常。肺功能检查显示轻度弥散功能障碍(单次呼吸一氧化碳弥散量,预测值的64.5%;经容积校正的弥散量,预测值的77.2%),通气功能正常。
为明确咯血原因,我们进行了肺动脉造影。未发现明显的肺动静脉畸形、闭塞或造影剂充盈缺损。尽管操作谨慎,患者仍突发剧烈咳嗽及咯血,咯出约 20mL 纯血。肺动脉造影显示造影剂外渗(下图A 和图 B)及一个人工假性动脉瘤(图C 和图D)。随即对受累血管进行了明胶海绵栓塞,咯血逐渐停止。

诊断:血管型埃勒斯-当洛综合征(Ehlers-Danlos syndrome,简称EDS)
讨论
EDS是一组由 13 种遗传性结缔组织疾病构成的异质性疾病,其中血管型EDS(vEDS)是最严重的亚型,由 COL3A1 基因的致病性变异引起。其严重性会导致在青年时期就出现动脉夹层、破裂以及结肠穿孔,使预期寿命缩短至不到 50 岁。
该病起病隐匿,加之初始症状多样,常常导致诊断和治疗延误。气胸和血胸是vEDS 最常见的肺部并发症。vEDS 患者最常出现血管异常,尤其是动脉瘤、扩张和动脉夹层。咯血可能是肺部血管受累的首发表现。即便对于经验丰富的医生和放射科医生来说,确诊 vEDS 也颇具挑战。根据 2017 年国际诊断标准,当患者满足下表中列出的部分标准(尤其是基因变异)时,可诊断为 vEDS。

肺气肿被认为是 vEDS 最常见的肺实质影像学特征。识别CT扫描模式并结合特定临床体征,有助于 vEDS 的早期诊断。确诊 vEDS 需要进行基因检测。此外,vEDS 患者的最佳治疗需要多学科团队协作,包括血管专科医生、内科医生、外科医生、放射科医生以及遗传咨询小组。目前,vEDS 的治疗选择有限。
为确定出血来源,临床医生在实际临床中依赖微创、非手术方法(包括支气管镜检查和血管造影)。由于血管壁脆弱,vEDS 患者存在持续出血风险。尽管血管内操作被认为相对安全,但仍可能引发不必要的风险和危及生命的并发症。即使是诊断性血管造影,在 vEDS 患者中也可能导致较高的并发症发生率,尽管介入设备和方法有所改进,血管造影的死亡率仍高达23%。因此,仅在紧急情况下建议进行干预。必须仔细权衡干预的利弊,特别是对于病情稳定且疑似 vEDS 的患者。最重要的是,在紧急情况下,务必格外谨慎地进行血管内操作。
临床经过在本病例中,多系统受累、细致的体格检查及家族史提供了临床线索。全外显子测序显示COL3A1基因存在杂合突变,从而确诊为vEDS。值得注意的是,该患者表现出不常见的放射学异常。带有周围磨玻璃影的结节的不寻常形态,必须与血管炎或感染相鉴别。我们认为本病例中的结节是由 vEDS 导致的血肿机化形成。在治疗方面,患者出院时接受了镇咳治疗。在 1 年的随访期内,他出现间歇性咳嗽,无其他不良事件。
临床要点
对于有结缔组织受累及其他血管脆弱表现且咯血的患者,需排除 vEDS 的可能性。
对于咯血患者,带有周围磨玻璃影的结节的不寻常形态,可能是 vEDS 的影像学特征。
vEDS 患者进行血管造影时出血风险相当高,因此需谨慎权衡此类侵入性操作的利弊。
目前针对 vEDS 的特效治疗证据有限,且 vEDS 患者通常预期寿命较短。
本文摘自《CHEST》2025年第一期,病例来自于北京中日医院。