最近来了一个75岁的老年女性,因为“胸闷气急伴咳嗽9天”住院,5天前出现双下肢水肿,3天前在当地医院就诊,CT显示左侧大量胸腔积液,给予患者进行胸水引流,引出2000ml后,胸闷气急改善不明显,于是患者家属将其转入我院进一步治疗。
患者既往10年前因“子宫肌瘤”行子宫切除术,有一个姐姐死于肺癌。
入院后化验检查:
血常规+CRP 白细胞 13.8*109/L,中性粒细胞 89.3%,淋巴细胞3.9%,血红蛋白 104g/L,血小板 336*109/L,超敏C-反应蛋白 109mg/L;
生化:丙氨酸氨基转移酶 59U/L,门冬氨酸氨基转移酶 57U/L,总蛋白 55.5g/L,白蛋白 22.7g/,葡萄糖6.77mmol/L,乳酸脱氢酶(LDH) 312U/L,钾3.42mmol/L;
免疫五项:正常
肺癌抗原:CEA2.87ug/L,NSE31.4ug/L,CYFRA21-1 55.7ug/L,SCC0.62ug/L
血沉:65mm/h
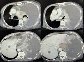
胸部CT如下图:

从上图CT可以看到,患者左侧大量胸水,即使引流了2L,似乎胸水并没有丝毫减少,左肺压缩只剩下很小一部分,纵隔也有向右侧推移的表现。仔细看还可以发现左侧胸膜有增厚。

当我们看到胸水化验结果之后,我们更加零乱了:
胸水常规:有核细胞数610/ul,中性粒细胞30%,淋巴细胞60%,单核10%;
胸水生化:总蛋白25.4g/L,葡萄糖 0.78mmol/L,LDH15826U/L;
胸水腺苷脱氨酶(ADA)139.5U/L (正常<40)
胸水肿标:CEA1ug/L,NSE>300ug/L,,CYFRA21-1>500ug/L, 铁蛋白16186.2ug/L;
胸水找抗酸杆菌:阴性;
我们简单分析一下胸水化验,胸水有核细胞数不多,中性也只有30%,胸水没有混沌外观,因此脓胸可以排除。胸水ADA明显增高,淋巴细胞为主(60%),但并没有超过80%,而且结核性胸腔积液的胸水通常ADA不会超过100IU/L,因此结核的可能性也并不大。当然我们为了慎重起见,行胸水XPERT结果阴性,进一步排除结核性胸腔积液的诊断。
肿瘤可能性有没有呢?血和胸水的肿瘤指标均明显增高,以NSE和CYFRA21-1增高为主,但是胸水病理结果仅显示淋巴细胞增多,并未找到癌细胞,非常诡异。因为通常胸水肿标增高的时候,病理应该能找到癌细胞的。另外肺癌的癌性胸水LDH会增高,但增高超过1万的似乎没见过。
我们比较能确定患者是恶性肿瘤,但应该不是肺癌,而是非常少见的肿瘤。我们关注到患者有胸膜增厚的表现,于是决定在超声下行胸膜活检术,术后病理示短梭形、卵圆形细胞片状生长,部分细胞异型明显,可见小核仁和核分裂,伴坏死。免疫组化:CK(+),vim(+), CK7(+), Calretinin(+) CK5/6部B分(+),D2-40(+),WT-I(+),GATA-3个别(+), CK19(+)NapsinA (-) ,T TF-1(-), HBWE-1(-), S-100(-), Ki-67(+)80%。
最终明确为胸膜恶性间皮瘤。
可惜的是患者家属放弃进一步治疗,自动出院了。
胸膜间皮瘤是一种少见的胸部恶性肿瘤,2020年全球恶性间皮瘤新发病例数为30 870例,占全球新发恶性肿瘤的0.2%,死亡病例数为26 278例,占全球恶性肿瘤死亡病例数的0.3%。欧洲1994-2016年统计(不包括前苏联地区)死于本病的人数约5万。发病率以发达国家居高(有可能发展中国家诊断本病的能力较弱),特别是英国、澳大利亚发病率最为突出。2016年中国间皮瘤的新发病例数为583例,其中恶性胸膜间皮瘤的新发病例数为330例,发病率约为0.86/100万。我对本院的胸膜间皮瘤做了一下统计,近10年只有10例这样的报道。

本病发病主要发病人群为暴露于石棉的老年男性(确诊中位年龄为72岁),暴露人群常于暴露于石棉的20~40年后发病。主要发病诱因是石棉,20世纪70年代,美国开始减少石棉开采,MPM发生率逐渐下降,但美国报道的MPM发病病例数和死亡例数仍高于世界其他国家。俄罗斯、中国、巴西和加拿大是最大的石棉生产国。MPM在俄罗斯、东欧、中国和印度的发病率逐年上升。英国、荷兰、澳洲MPM的死亡率较高,而波兰、西班牙、中国、日本、阿根廷、韩国及巴西等国家MPM死亡率增长较快。
MPM常见症状包括气短、胸痛、咳嗽、失眠、乏力、食欲不振、体重减轻等。MPM的临床症状常较其他肿瘤更为严重,MPM病灶局限时患者即出现较明显的气短、胸痛。MPM较少出现远处转移和远处转移引起的相关症状,中枢神经系统转移不常见,副肿瘤综合征罕见。
恶性间皮瘤的实验室检查差异很大,并没有特异性,通常胸水LDH会明显增高,胸水葡萄糖可以明显下降,同时细胞数不多的情况下需要警惕间皮瘤的可能。如果能进行可溶性间皮素相关肽水平的检测会更有助于本病的诊断,但这个检测项目目前在国内较少有医院开展。
本病的确诊主要依靠胸膜活检的病理组织,主要是和肺腺癌进行鉴别,支持诊断MPM的主要标志物包括Calretinin、CK5/6、WT1、mesothelin和D2-40等,支持诊断肺腺癌的主要标志物包括TTF-1、Napsin A、癌胚抗原(carcinoembryonic antigen, CEA)、BerEP4和Claudin4等。
本病的主要的干预手段包括手术治疗、放疗和全身化疗。可使用三联疗法即化疗、手术、半胸放疗(略)。