
下文是哈尔滨医科大学附属第六医院的赵德利教授授权发布的肺含气囊腔分类、定义及CT诊断思维。让我们在收获知识的同时,为赵教授打call。
肺内含气囊腔包括很多,从基础并且常见的肺囊肿、肺大泡和肺气囊等空腔性病变到复杂的囊性肺病,涉及到同肺气肿、空气滞留的马赛克灌注和支气管扩张的鉴别,因而遵循呼吸系统影像临床教材的前提下,融入一些国外学者的理论和笔者自身的理解同大家分享,希望您能跟随德利的脚步再次砍柴、担水和做饭,再次收获!
肺含气囊性病变主要包括腔(含气囊腔/囊性气腔)和洞(空洞)两大类,如图1. 分类中之所以把肺气肿、支气管扩张和马赛克灌注单独分在空腔之外,更多的是遵循国内临床教材将空腔的定义及支气管扩张划分为独立的具有一定特征性的疾病。因而,我们一起来探究肺含气囊腔的分类及诊断思维。
分类

图1.肺含气囊腔的分类
肺含气囊腔的分布和常见病变形态模式图,如图2,模式图简单、形象显示常见的肺含气囊腔。

图2.肺含气囊腔的模式图
定义及CT表现
1.肺囊肿
定义:边界清晰的圆形病灶,壁常较薄,壁厚2-3mm,但是壁均匀完整,囊内含气,也可含液,如图3,4。
图3a

图3b

图3a,b.分别为CT图像的MPR冠位、轴位显示左肺舌段含液囊肿,壁完整,壁厚2-3mm。
图4a

图4b

图4a-b.右肺中下叶显示多发圆形含气囊性气腔,壁薄,完整。
2.肺大泡/疱
定义:肺内类圆形或不规则形大于1-2cm的肺气肿,无壁或无完整壁,位于胸膜下,并小叶中央型肺气肿或间隔旁型肺气肿,因而肺大泡的病理基础是肺气肿。需要强调的是如果间隔旁型肺气肿在胸膜下大于1cm,即可诊断肺大泡,而远离胸膜的小叶中央型肺气肿大小1-2cm时与肺大泡有交叉。因而,笔者建议非胸膜下肺中心的肺大泡诊断应以大于2cm为标准,如图5。
图5a

图5b

图5c

图5a-c.图a,b胸膜下肺大泡外缘无明显壁,内缘压迫肺组织形成线状高密度。图c为右上肺小叶中心型肺气肿,融合形成肺大泡,大于2cm。
3.肺气囊
定义:肺内薄壁、含气的腔,常见病因:①急性炎症;②创伤;③与吸入碳氢化合物有关,多为一过性。需要强调的是肺气囊的诊断需要①/②/③病史,如图6,7。
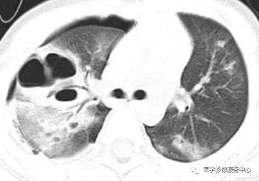
图6a

图6b

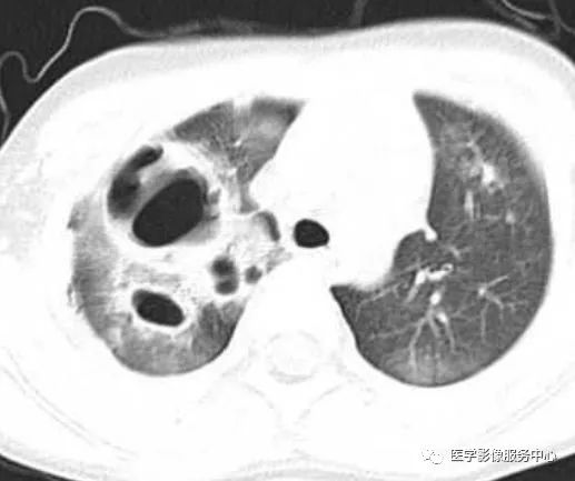
图6a,b.小儿创伤性肺气囊。右肺可见多发含气囊腔,囊腔间散在磨玻璃状影,右侧少量气胸。
图7a

图7b

图7a,b.为急性耶氏孢子菌肺炎的肺气囊及磨玻璃影。
4.蜂窝
定义:为6-10mm含气囊腔,分布于胸膜下为主,亦可弥漫全肺分布,为肺纤维化的晚期表现,如图8。
图8a

图8b

图8a,b.双肺间质纤维化。双下肺胸膜下可见蜂房状含气囊腔,成排分布,共享壁,囊腔间无正常肺结构,部分囊腔融合成肺大泡(箭头)。
5.肺气肿
定义:终末细支气管以远的含气腔隙的过度充气,扩大同时伴有不可逆的肺泡壁破坏。如图9-11。
图9a

图9b

图9a,b.小叶中央型肺气肿。图a为双上肺为主5-10mm的无壁含气囊腔,图b为局部放大图像,可见囊腔内小叶中心动脉,如箭头所示。
图10

图10.全小叶型肺气肿。肺透过度增强,肺血管稀疏,未见小叶中心型肺气肿的含气囊腔。
图11

图11.双肺胸膜下可见多发无壁含气囊腔,直径小于10mm, 双肺无明显纤维化。
6.囊性肺病
囊性肺病并不常见,但是淋巴管肌瘤病(LAM)、朗格汉斯组织细胞增生症(LCH)和淋巴样间质性肺炎(LIP)三种典型并且有特征性的囊性肺病需要认识和掌握。
淋巴管肌瘤病(LAM)的特点:
①大小一致的圆形或类圆形囊肿,壁薄;
②弥漫分布;
③育龄女性;
④可伴结节硬化,如图12。
朗格汉斯组织细胞增生症(LCH)的特点:
①囊肿形态奇异、不规则,壁厚或薄;
②分布上肺多且大;
③不累及膈角;
④并结节及空洞;
⑤吸烟有关,如图13。
淋巴样间质性肺炎(LIP):
①囊肿的数量较LAM和LCH少;
②分布下叶多;
③可见与囊壁有关的血管;
④伴干燥综合征或血管胶原病及免疫抑制疾病,如图14。
图12a


图12b

图12a,b.为LAM的多发囊肿。表现为双肺弥漫分布的薄壁含气囊腔,呈圆形或类圆形,囊腔中心无血管结节影,为育龄女性。
图13a

图13b

图13a,b.为LCH的多发囊肿。表现为不规则形态的奇异含气囊腔,厚壁/薄壁,上肺多,不累及膈角,患者有吸烟史。
图14

图14为LIP,表现为下肺较大的含气囊腔,血管与囊壁相关(红箭头),且可见到邻近的正常支气管(绿箭头)。
诊断思路
肺内含气囊腔的诊断思路主要集中在囊壁有无、囊腔大小、形态和分布情况,囊间是否有正常肺组织分布,邻近肺组织伴随征像等,结合临床资料包括性别、吸烟史等进行分析诊断,如图15所示。
