前言:检查发现的混合磨玻璃结节是不是肺癌,许多患者都会纠结不安与彷徨,而且若确实是恶性,由于混合密度的病灶较纯磨玻璃密度的风险高,所以更让人不安一些。前段时间有位患者检查发现右肺下叶混合磨玻璃结节,某医院报告考虑肿瘤性病变可能性大。来我门诊后,做了复查,我认为基本不可能是恶性,就是炎性恢复期。如何从影像细节上来判断炎性还是肿瘤性呢?抓住一点,八九不离十!
简要病史:
患者女性,检查发现右下叶结节,某医院考虑肿瘤性病变。没有明显呼吸道症状。
影像展示与分析:
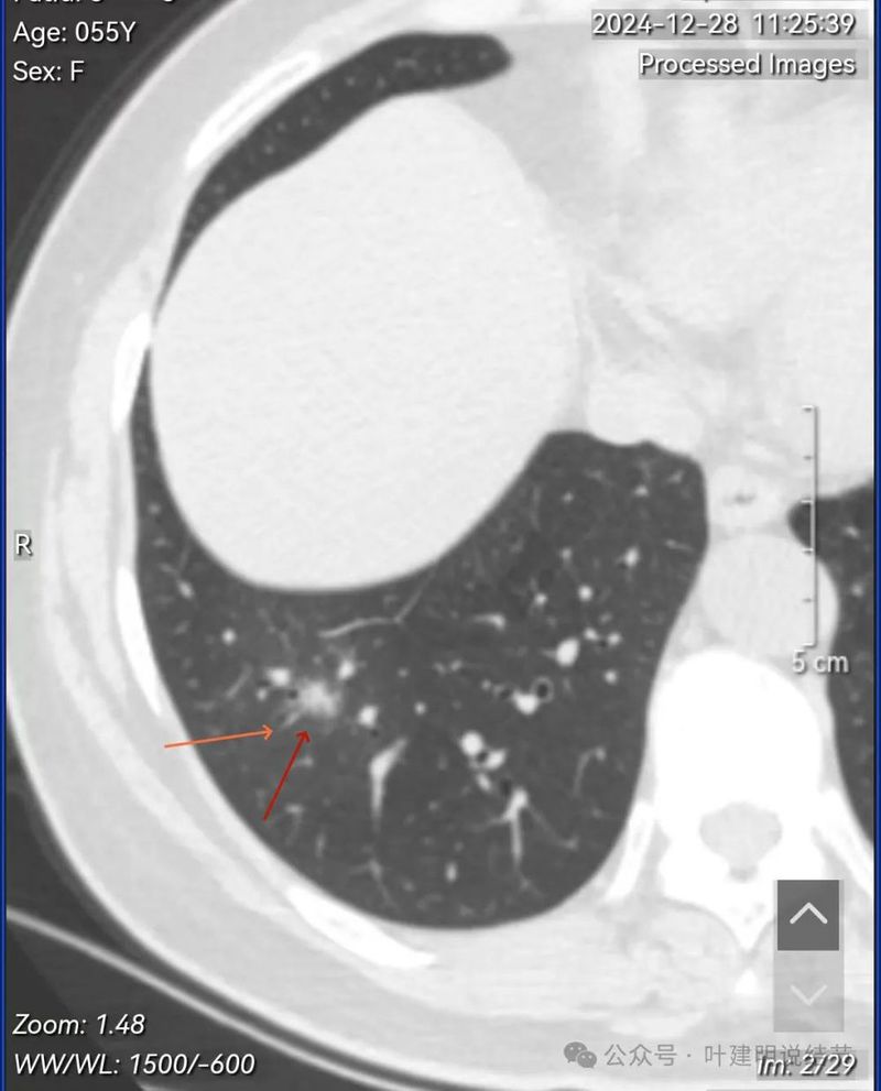
先看2024年12月28号初检查发现时的影像与报告:

右下病灶混合密度,整体轮廓较清,但瘤肺边界欠清晰。

实性成分占比高,边缘看上去有晕似的,边上有明显血管走行。也有细支气管可见。

实性部分或整体病灶缺乏收缩力,膨胀感也不明显。瘤肺边界欠清晰,感觉有一圈晕。

晕征上图更明显,进入的血管未见明显异常增粗,略显弯曲。

报告示右下叶外基底段结节,考虑肿瘤可能性大。
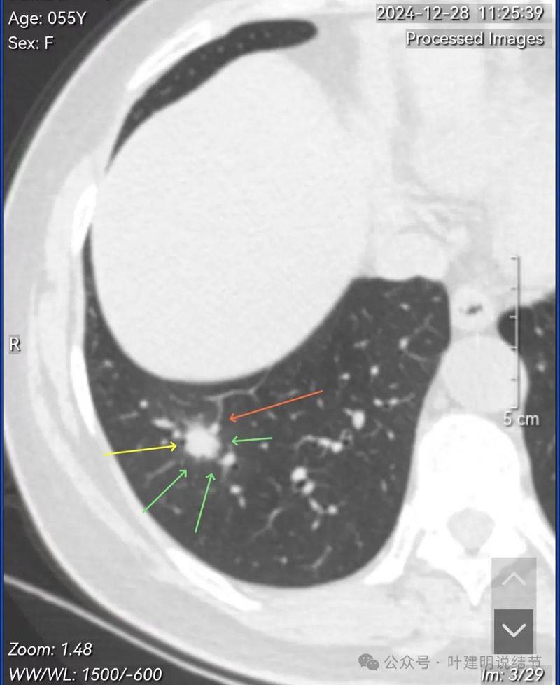
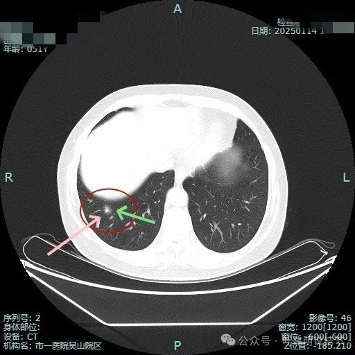
再看在我门诊时2025年1月14号复查的靶扫描影像:

非薄层上见病灶混合密度,整体轮廓较清。

薄层上见病灶表面有毛刺征。

毛刺更明显,灶内密度不均,混合密度,表面不平。

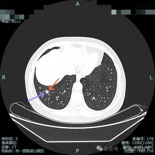
灶内密度显杂乱,表面不平。

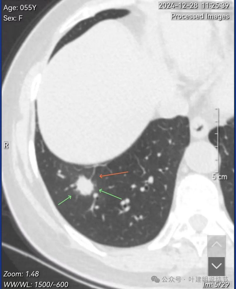
靶重建显示边缘细毛刺、外围磨玻璃密度,中间实性成分明显,表面不平有浅分叶。

中间实性成分感觉边缘较清,缺乏收缩力,外围的磨玻璃成分整体轮廓较清,边缘有细毛刺征。

明显的血管进入与异常增粗。

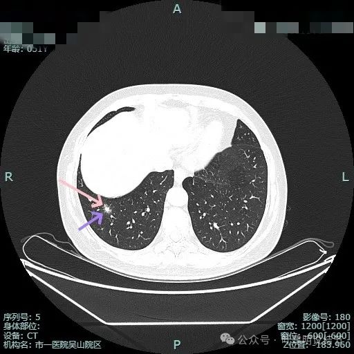
灶内密度杂乱,血管进入与增粗,表面不平。

实性成分明显,但缺乏收缩力;边上是磨玻璃成分,整体轮廓较清;邻近血管走行,但没有形成血管弯征。

边缘毛糙,但瘤肺边界欠清,灶内实性成分缺乏收缩力。

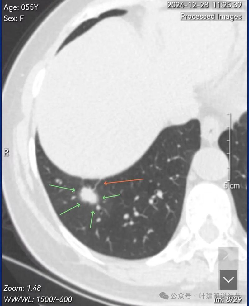
磨玻璃成分有点显得像云雾状,实性成分明显,但乏收缩力。

混合密度,整体轮廓较清,瘤肺边界欠清,整体看没有收缩力。

边缘细毛刺,不太锐利;外围磨玻璃成分,瘤肺界限欠清;中间实性成分明显但缺乏收缩力,实性部分没有明显毛刺征。

灶边有支气管扩张,表面不平,灶内实性成分无收缩力。

血管进入与异常增粗并散开来(在肿瘤性病变中,这种表现是浸润性而且风险大的表现)。

血管进入穿行并异常增粗,磨玻璃成分显得较为散在,缺乏聚拢性。
临床考虑:
右下这个病灶前后对比一看,范围已经有缩小,如果没有12月份的影像,假如靶扫描这次的是首次发现,那感觉更倾向恶性些,只是比如收缩力不明显、瘤肺边界有的层面欠清晰等不太符合,但总体上仍得高度怀疑恶性的可能性,至少不能掉以轻心。但由于有12月28日的影像在前,我们发现短短半个月左右的时间,病灶实性成分明显吸收,磨玻璃成分占比增加,显然不可能是恶性的,就是个炎性病灶处于开始吸收但还没有吸收完的状态。而若捌开靶扫描这次的影像只看前次平扫,那么反而更倾向良性的炎性的。最归关键的是:实性病灶边缘有圈“晕”征!实性病灶伴晕征的基本上不太可能是肿瘤性病变。而且此灶整体上看实性却缺乏收缩力,肿瘤不是这个样子。当然若是粘液性腺癌或小细胞癌或鳞癌,也可以缺乏收缩力,但小细胞癌或鳞癌的轮廓与边界要更清楚些。只有粘液腺癌倒也可能类似表现,这时候适当随访是区分鉴别的重要手段。
感悟:
肺部的炎性病灶并不一定要有显著的呼吸道症状,或只以为是感冒,其实已经是肺炎。处于炎症恢复期的时候,有时与表现为混合磨玻璃密度的肺癌很难区分。就如前面所说的,若没有12月28号的对比,一开始发现即1月14号这次的,确实比较难以判定必为炎性。所以我的感受是两点:1、实性结节伴晕征的以炎性可能性大。2、混合密度结节实性部分缺乏收缩力且瘤肺边界欠清晰的炎性恢复期可能性大,建议适当抗炎治疗后复查再看。