前言:肺癌的手术,若是术前影像混合密度,实性成分明显,但仍有磨玻璃成分,位置比较靠边上,能楔形切除,也可考虑肺段切除,切肺叶也符合原则,这时候到底怎么切,真的非常令人纠结。我是越来越觉得对于这种位于外周仍能亚肺叶切除(包括肺段与楔形切除)的病灶切肺叶下不去手,虽然切肺是最为符合指南精神的。总想着若事实上并无转移,楔切与叶切效果一样时,切多了太可惜了。但这压力或万一复发转移要怪到医生头上来的话,真的吃不消的。而我也多次阐述自己的观点,“真早期”的楔切就够了,“伪早期”的即使切肺叶也不能治愈。所以更加重视生活质量,更好维护肺功能是值得权衡后选择的,但一定要讲清楚后,由患方自主决定取舍。今天分享的这个病例,我心里也不是很有底,但基本仍有较多磨玻璃成分,所以在手术之前从门诊接触时、到入院后手术前、术前谈话时、术后有病理后反复与患方沟通,把各种利弊与可能的风险都讲清楚,并由他们自主选择手术的方式。
病史信息:
主 诉:
胸背部疼痛伴干咳1年余。
现病史:
患者1年余前无明显诱因下出现胸背部疼痛,呈间歇性隐痛,不剧可忍,无放射痛,夜间明显,伴咳嗽,呈间歇性干咳,偶有胸闷气促,无咳痰,无畏寒发热,无恶心呕吐,无腹痛腹泻,无头晕头痛骨痛等不适,当时予莫西沙星1片#QD抗感染治疗,症状无明显改善,后未进一步诊治。1月前患者因右上肢麻木无力至某省级医院就诊,查胸部高分辨率CT提示:左肺下叶后基底段部分实性结节,肿瘤性病变可能,建议短期密切复查。右肺上叶磨玻璃结节,炎性增殖灶或AAH考虑,建议随访。两肺少许纤维增殖灶。患者现自觉干咳症状加重,胸背部疼痛性质同前,偶有胸闷气促,余无明显不适,为求进一步诊治,拟“左侧肺部阴影”收入我科。
既往史:
高血压病史8年余,最高血压200/150mmhg,服药控制(具体不详),自述血压控制欠佳。 脑梗16天,服用阿托伐他汀钙片(美达信)20mg QD,阿司匹林片(拜阿司匹林)1片#QD。
影像展示与分析:
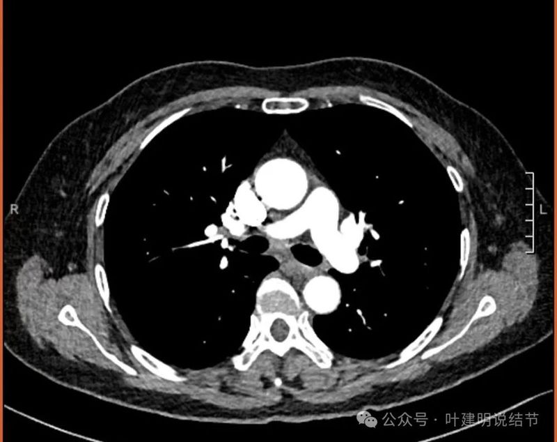
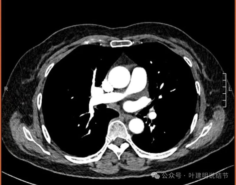
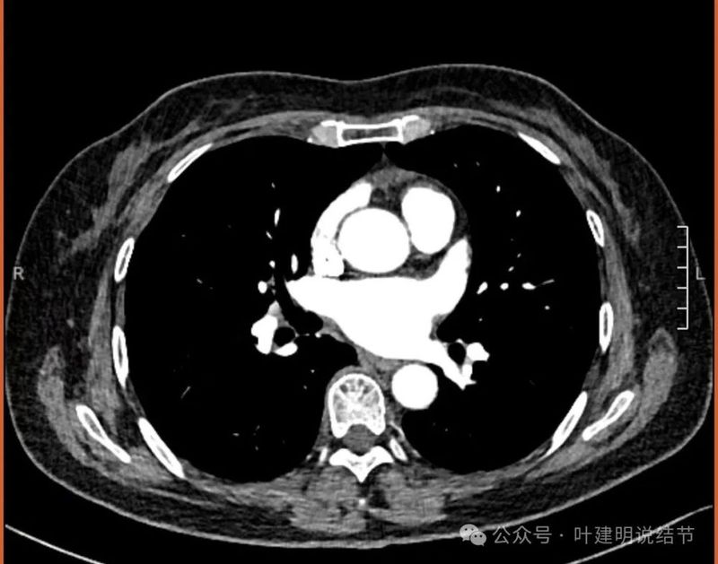
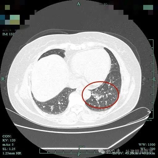
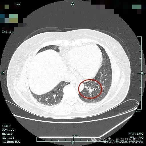
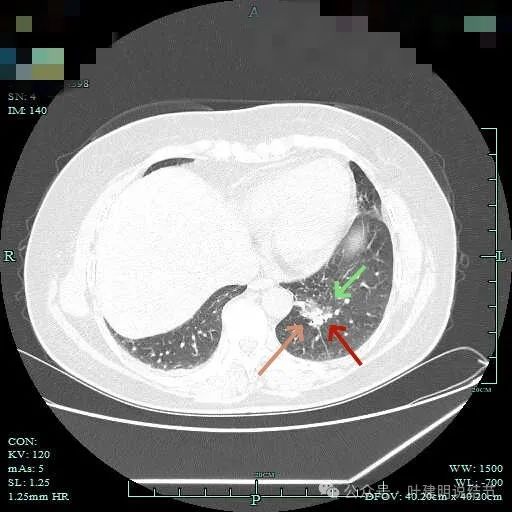
外院增强CT影像:

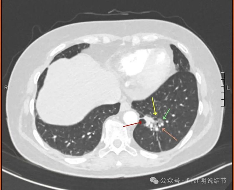
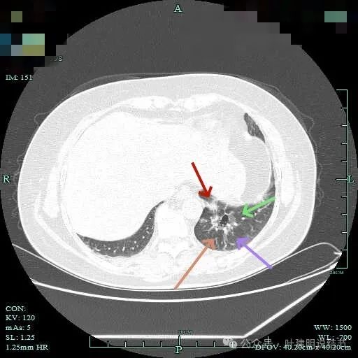
左下病灶混合密度,实性成分明显,但收缩力不强,磨玻璃成分非常明显,而且轮廓与边界清楚,灶内有小空泡征,表面有分叶,灶内有多支血管走行。

纵隔窗见有明显实性成分,磨玻璃成分不可见,走行血管也明显。





纵隔与肺门没有见到显著增大融合要考虑转移的淋巴结。
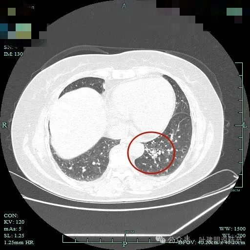
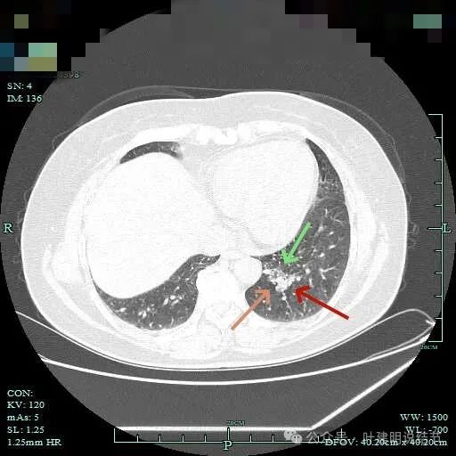
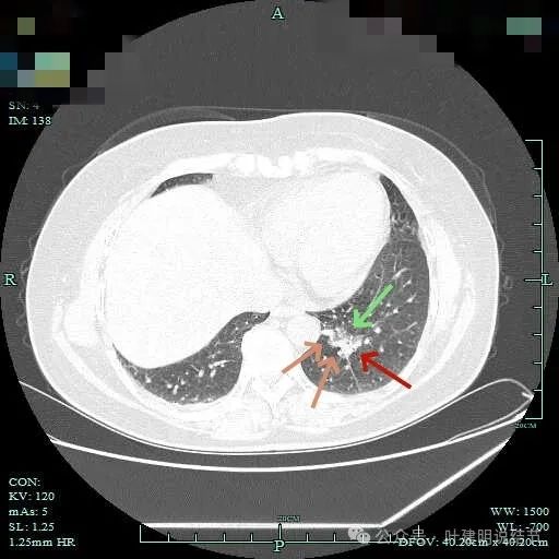
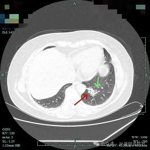
连续层面影像展示:

病灶轮廓欠清,较为散在,缺乏聚拢性,似乎有些像斑点状。

有少许磨玻璃成分出现,较前面层面整体轮廓显得清楚点。

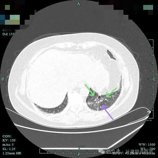
到这层面,聚拢性较前明显,密度显杂乱。

磨玻璃成分更明显,实性成分也明显,实性部分收缩力不强,表面不平整,感觉边缘毛糙。

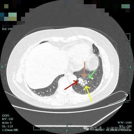
表面浅分叶,磨玻璃成分明显,实性部分密度较高。

表面不平,磨玻璃部分的轮廓与边界清,实性部分占比不小,缺乏收缩力,像是腺泡型。

实性成分占比较高,边上有明显磨玻璃成分,说明含贴亚型。

灶内有小空泡征,磨玻璃部分轮廓与边界清,实性部分虽明显但毛刺征或收缩力等均不明显。

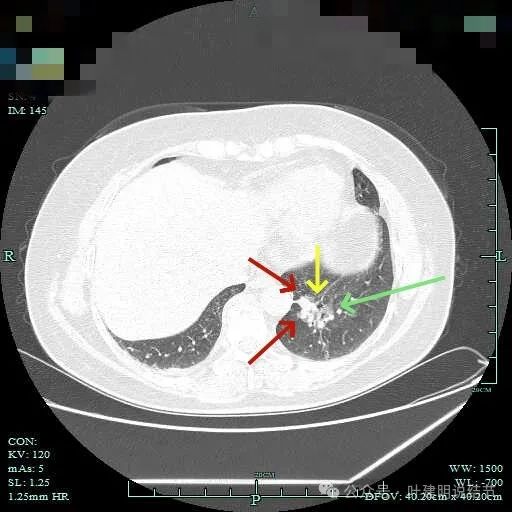
磨玻璃成分以及灶内空泡征。

灶内细支气管扩张明显,实性成分缺乏收缩力,考虑腺泡亚型。

磨玻璃成分也很明显,考虑含贴壁亚型。

上图大部分是磨玻璃成分,边缘的毛刺征,表面有浅分叶。

上图层面已经基本上磨玻璃密度,轮廓清,灶内有囊腔样灶,表面不平。

边缘略显糊,与膈肌贴着。

远侧端有阻塞性炎症的表现,病灶在些层也是磨玻璃密度。

边缘区域略显轮廓不清。
临床考虑:
1、患者左下病灶是非常典型的混合密度病灶,整体轮廓与边界多数层面均较为清楚,尤其磨玻璃成分是密度较为均匀的,边界很清楚的,这种明显是恶性的。灶内的实性成分也明显,但其缺乏收缩力、膨胀感也不明显,实性部分也无显著毛刺,所以考虑是腺泡亚型可能性大,一般不至于有高危的微乳头或实体型。所以应该中分化浸润性腺癌可能性大些,从而已经存在微转移的概率相对较小;
2、这个位置靠下叶的膈面与脊柱侧,仍是能够楔形切除的地方,如果手术时游离下肺韧带后将病灶翻过来,将后基底段与部分外基底段的范围切除,若切缘阴性也应该是可以的。肺段切除个人一直不推崇,总觉得若有淋巴结转移,楔切不够的话,肺段也是不够的;
3、患者脑梗后不到一个月,门诊时我本来是建议她间隔4-6周再来住院的,左下肺癌仍有磨玻璃成分,过几周不至于预后有不同。但患者听说考虑肺癌,外院告诉她要行肺叶切除,在家焦急的很,说先来住院,检查完善下也就差不了很多天。但术前请神经内科会诊后认为至少要1个月才能考虑手术,故一是等足1个月后手术,二是手术尽量往小点做,手术时间更短,恢复更快,对机体影响更小为宜。
最后结果:
患方最后在充分知晓不同术式的区别与利弊情况下,选择楔形切除加淋巴结采样。

镜下见病灶的囊腔以及胸膜表面略质硬,偏灰白。

标本表现观见略灰,质硬。

剖开见切缘应该肉眼是阴性的,当然2厘米的距离是没有的。但已经贴着肺静脉下缘处了。

剖面灰白,质较硬。

术中快速病理示浸润性腺癌。

常规病理示浸润性腺癌,贴壁占70%,腺泡型20%,乳头型10%,高分化。切缘未见癌累及、胸膜未侵犯(PL0),脉管侵犯也阴性,淋巴结采样阴性,术中探查未见其他显著肿大的淋巴结,所以未系统清扫。应该说术后病理还是相对理想的,也与术前的判断大致符合。
感悟:
病灶长径大于2厘米,又有实性成分,这样的选择是否最正确,我也不知道。但我总觉得1个月前脑梗过,肿瘤仍含磨玻璃成分,又没有高危亚型与高危因素,存在转移的概率是低的,而且就如之前的阐述,真有血行微转移的话,切肺叶也解决不了问题。这时候关注机体整体情况,减少创伤,减少手术时间,维护肺功能或许会是正确的。为了符合原则而行肺叶切除好,还是为了更小的创伤、更好的恢复、更安全的围手术期,少切更好,这是权衡与取舍的事。都讲明白,然后让患方自行选择决定,我想也是以人为本,也是以病人为中心的体现。