病例一[1]
患者,男,72岁。因头痛和发热入院。
既往史:类风湿关节炎病史,使用来氟米特、依那西普和羟氯喹等多种免疫抑制剂治疗。
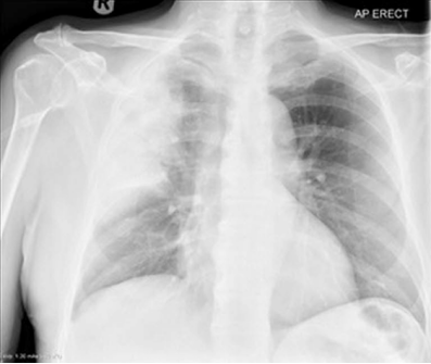
入院时胸片见图1,显示右上肺外周实变。

图1 入院时胸片
在停用免疫抑制剂并使用多种抗生素治疗后,患者症状缓解。然而,在入院7天后,他睡醒时感到呼吸困难,并出现咳嗽、胸痛和微量咯血。复查胸片见图2。检查结果显示,右上肺实变消退和新的右下肺实变,伴有右侧膈肌和右心缘清晰度的丧失。

图2 复查胸片
这“翻转”来的太突然,即使再次胸片检查也依旧如此。不得已行CT检查和三维渲染重建,见图3。胸部CT示右侧斜裂反转,中间支气管异常前行,肺血管旋转;右下肺动脉与中间支气管一起被拉向前行;右肺广泛实变,并伴有胸腔积液;外观显示右肺发生了180度扭转。

图3 胸部CT
病例二[2]
患者,男性,60岁。因嗜肺军团菌肺炎导致急性呼吸衰竭而接受有创机械通气治疗2周,在出院1个月后患者仍有持续性呼吸困难和咳嗽。首次住院时胸部CT见图4,胸片显示左上肺实变。

图4 首次住院时胸部CT
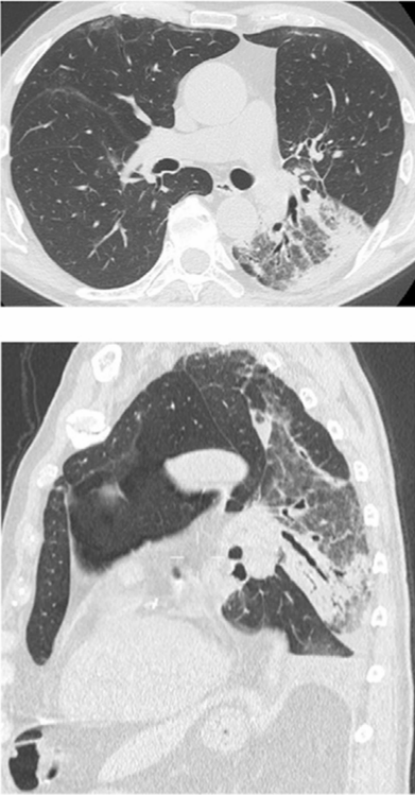
再次入院时胸部CT见图5,检查结果示左下肺实变。

图5 再次入院时胸部CT
支气管镜检查结果见图6,结果显示左下叶支气管及其段支气管逆时针旋转约150度。

图6 再次入院时支气管镜检查(A示正常解剖结构,B示该患者的解剖结构)
关于肺扭转[3],你知道多少?
肺扭转病因分析及诊断
胸部CT常显示肺叶实变或肺不张,并可注意到解剖结构的狭窄、截断或倒置以及肺动脉的阻塞。
支气管镜检查可以显示支气管狭窄、支气管开口扭曲和支气管树解剖结构的倒置。
■ 3则实例分析:
治疗




