概述
右肺中叶综合征是指不论临床上有无症状,也不论是何病因造成,凡有孤立性右肺中叶不张均属右肺中叶综合征,它主要表现在X线方面,当肺不张发生后,可能在不张区域伴有程度不等的水肿、炎症及纤维化等。右肺中叶综合征是临床上常见的病征,病因较多。
病因病理
中叶综合征的病因较多,但不外以下几种:
(1) 结核型 结核病的病灶引起淋巴结的肿大,由于肿大的淋巴结对中叶支气管造成压迫,引起中叶支气管的狭窄、阻塞,另外,结核灶的钙化亦可引起。
(2)炎症型 由于右肺中叶支气管炎症,使支气管发炎、水肿,管腔变狭窄及中叶支气管炎症伴发所属淋巴结的肿大、压迫支气管。(3) 肿瘤及其它型 由于肿瘤的产生而导致支气管的阻塞(息肉型、肺癌、支气管腺癌等),其它如矽肺、结节病、支气管扩张、肺脓肿等也可引起右肺中叶支气管的狭窄阻塞等。
临床表现
反复咳嗽,咳粘液痰或脓性痰,有时可有咯血或发热等慢性支气管炎或支气管扩张合并感染的症状。右胸前有时可听到少许湿啰音。
影像表现
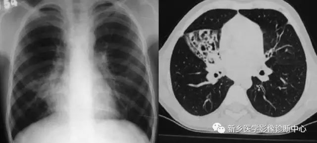
X线表现:
(1) 后前位示 于右心缘看到一个小而密度均匀或略有增高的阴影,上界不超过肺门阴影的中部,以内侧较密,右心缘为其所重叠,这片状密度增高的阴影没有明显的边缘,其外带变淡并逐渐消失,水平裂大多不见,或向下、向内移位,邻近肺野可见代偿性肺气肿。右侧膈肌稍有上升。
(2) 前弓位示 由于不张的右肺中叶,其邻近肺野出现了代偿性肺气肿,所以在正位胸片上常显示不清,采用前弓位检查,使肺门向下倾斜,不张的肺叶的长轴与X线中心线平行,因而投影为一个由肺门向外伸展的三角形阴影,基底部在肺门,尖部向肺野可达胸壁,上下边缘锐利,此为中叶不张的特征。
(3) 右侧位示 自肺门向前下方斜行的带头或条索状致密影,常与心影相重叠,基底部较宽,大多靠近剑突与胸骨交界处,或完全贴靠胸骨下部,水平裂与斜裂移位相靠近,阴影上端不超过肺门。
(4)支气管造影检查 个别病人可行支气管碘油造影,可显示中叶支气管有无梗阻、狭窄或扩张,有分支聚拢及变形等。
CT表现:
右中叶支气管壁增厚,管腔狭窄或支气管开口截断等。
右中叶体积缩小,其内可见斑片实变,支气管扭曲扩张等。
不同原因引起的综合症会有相应的特殊征象。


鉴别诊断
①右肺中叶肺炎:主要依靠X线检查相鉴别,肺实变阴影边缘较平直,叶间裂不移位。肺不张时叶间裂向阴影内凹入,周围呈代偿性肺气肿。
②右肺叶间积液:叶间积液发生于叶间裂处,多呈梭形,且阴影边缘清楚,外凸较饱满,阴影上顶端超过肺门,肺纹理不穿过梭形影。
③结核及肿瘤:右肺中叶结核及右肺中叶肺癌,从其阴影的边缘密度,加上结核菌素实验及活检的检查,不难鉴别。
来源:新乡医学影像
编辑:Yan
