| 何谓肺气肿?它分为哪几类?|
肺气肿主要是指肺终末细支气管远端部分,包括呼吸性细支气管、肺泡管、肺泡囊和肺泡的过度充气,或由于它们的扩大或壁的破坏所引起,肺气肿亦包括气体异常地进入肺间质内。
根据其病因、病变性质及病变范围分为四类:
①慢性普遍性阻塞性肺气肿;
②局限性阻塞性肺气肿;
③代偿性肺气肿;
④间质性肺气肿。
根据病理解剖学可分为:
①小叶中心型肺气肿;
②全小叶型肺气肿;
③间隔旁肺气肿;
④瘢痕旁肺气肿;
⑤间质性肺气肿。
小叶中心型、全小叶型及间隔旁肺气肿常见于慢性支气管炎、各种原因的肺间质纤维化及支气管哮喘等。小叶中心型(需CT诊断)及全小叶型肺气肿可融合成大泡。
间质性肺气肿是由于支气管或肺泡破裂后,空气进入肺间质所引起。随后气体可沿着支气管和血管周围的间隙流入纵隔或心包产生纵隔积气或心包积气,并可到达皮下形成皮下积气。致病原因可为外伤性或自发性。


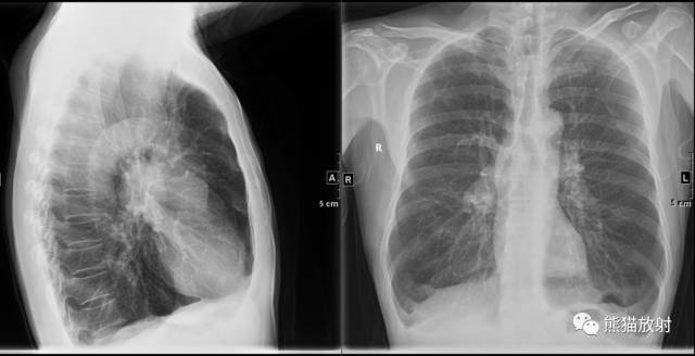
| 什么是肺大泡、肺小泡?|
肺大泡是因小支气管活瓣性阻塞,肺泡过度膨胀、破裂互相合并而成,其直径大于1cm。肺小泡是指脏层胸膜内的积气,其直径最大1cm。
肺大泡X线表现为:薄壁环形透光区,壁薄如线,常只能见到部分囊壁,甚至有时不易见其囊壁,只见局限性透亮区,其中无结构。巨大的肺大泡可压迫周围肺组织,使囊壁增厚。
肺大泡可单发或多发,大小不一,多位于肺的周边,以肺尖、肺底常见。较小的大泡CT可明确显示。成年人进行性巨大肺大泡,称为肺消失征。肺大泡即可见于弥漫型肺气肿,亦可见于局限性阻塞性肺气肿。

| 慢性普遍性阻塞性肺气肿的主要X线表现有哪些?|
大多将肺部的过度充气膨胀以及肺血管纹理变细和减少现象作为诊断肺气肿的两个主要X线表现。但肺血管纹理的改变实际上具有如下两种类型:
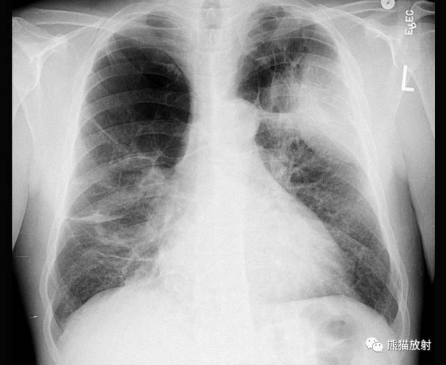
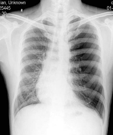
(1)肺纹理减少型:这种肺气肿的三项主要X线表现为:①肺过度充气膨胀;②肺血管纹理减少;③肺大泡。肺过度充气膨胀,表现为肺透亮度加深和肺容积增大。肺容积增大表现横膈位置下降和膈顶变平、胸骨后肺透亮区增宽、胸廓呈桶状及心影呈垂直型。这种类型常多见于全小叶型肺气肿。
(2)肺纹理增多型:其X线表现肺纹理不是纤细减少,反而比正常者更为显著。有的轮廓不规则、不清晰,提示有严重的慢性支气管炎现象。肺部只有轻度或中度的过度肺充气膨胀(肺大泡很少见到)。这种类型多见于小叶中央型肺气肿。
| 什么是局限性阻塞性肺气肿?|
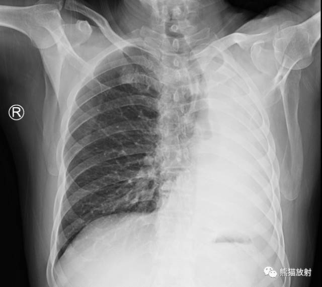
局限性阻塞性肺气肿是由于一个较大的支气管产生部分性阻塞所引起。该病可见于支气管内异物、小儿急性肺炎、早期支气管肿瘤和支气管慢性炎性狭窄包括结核等病史。
X线表现:在肺野内有局部的透亮度增高区域,其部位和范围取决于支气管部分阻塞的所在。至于有无胸廓、横膈等改变取决于病变的范围和部位。
| 什么是代偿性肺气肿?|
代偿性肺气肿属于局限性非阻塞性肺气肿,是由于一部分肺的纤维化或不张,或手术切除后,余肺膨胀代偿其胸腔内失去的体积所致。
代偿性肺气肿的范围和程度取决于肺部切除的多少或肺萎缩的情况。如果一侧肺完全切除或不张,对侧的肺可全部产生代偿性肺气肿,甚至形成纵隔疝。一叶、一段或少于一叶的代偿性肺气肿较为常见。由于其范围小,一般不产生明显的胸廓、横膈或心脏和纵隔的改变。

| 什么是肋间膨出征?|
正常人的胸膜线规则,整齐地沿胸廓内缘走行。当胸膜线在肋间隙处向外弧形突出时称为肋间膨出征。此征可见于:
① 肺过度充气;
② 肋间肌等软组织萎缩;
③ 某些正常小儿、消瘦者、高龄者。
该征对肺气肿和小儿细支气管肺炎的诊断有一定价值。
| 什么是慢性阻塞性肺病?什么是老年肺?|
慢性支气管炎、支气管哮喘、闭塞性细支气管炎、支气管扩张和肺气肿,总称为慢性阻塞性肺病。
老年肺是指发生于退行性变的老年人的肺脏。老年肺形态上类似肺气肿的表现,但把它看做肺气肿的一个类型是不合理的。其X线表现为:两肺透亮度增强,两肺可见细网状纹理,粗细近似,分布均匀,膈肌低平,活动度下降。
慢性阻塞性肺病之肺气肿肺内往往可见纤维性改变,网状纤维粗大而不规则,分布不均匀,以中下野居多。膈肌位置较老年肺更低平。出现肺心病时有其相应的X线表现,应注意与老年肺鉴别。
| 如何分析过度透明肺的X线表现?|
(1)过度透明肺可以是单侧或双侧的病变。若是单侧的,它可以侵及全肺、一叶、一段甚至一个小叶。
(2)单侧过度透明肺的人为原因包括投照技术的错误。
(3)乳腺切除可能是单侧过度透明肺的常见原因。
(4)真正的肺疾病导致单侧过度透明肺是肺血流量减少的反应。其原因包括心脏分流、肺栓塞、肺气肿、支气管内肿块和闭塞性细支气管炎。
(5)X线诊断肺气肿是一个有争论的课题。大多数人同意血管的变化与肺气肿的病理诊断紧密相关。对早期肺气肿的诊断CT较平片敏感。
(6)慢性阻塞性肺病一词是一临床名称,这些疾病的X线特点不一样。过度透明区是由肺实质的破坏所造成。
(7)在大气道阻塞患者,首先决定过度透明侧异常,还是密度增高侧异常。拍摄呼气片、透视或侧卧位片来肯定空气积聚是很容易的事。
| 一侧性肺气肿 |

| 双肺弥漫性肺气肿 |








| 局限性阻塞性肺气肿 |






| 间质性肺气肿 |

| 慢性阻塞性肺气肿的发病机制 |


| 间隔旁型肺气肿 |











