前言:肺多发结节处理长期以来,而且此后很长时间内必仍是最为混乱与不一致的领域。到底该争取一网打尽还是无奈选择抓大放小,各有各的依据与说法。但我总觉得“一网打尽”的理念终将因为无法完美实施或没有必要实施而逐渐被淘汰。当然之所以有此之争基于两个原因:一是大家对多原发肺癌的认识停留在传统肺癌的观念上;二是指南的精神引导大家尽量切净病灶的同时尽最大可能保留肺功能。不过,我们欣喜的看到,在《多发磨玻璃结节样肺癌多学科诊疗中国专家共识(2024版)》中已经有了与我多年来一直坚持的理念相似的表述:手术基本原则 :外科处理没有标准模式,建议术前采用MDT工作模式和医患共同决策,讨论制订个体化治疗方案。手术原则是:(1)在符合肿瘤学原则、保留肺功能的前提下,尽可能通过一次麻醉同期手术切除所有病灶;但是在大多数情况下,没有必要切除所有结节,因为主病灶切除后,不管是对残留GGN治疗与否,还是残留GGN持续增长,或新发GGN,都不会影响预后;临床实践中由于年龄心肺功能等原因,也没有条件完全切除。(2)优先处理主病灶,兼顾次要病灶。(3)治疗时机及治疗方式主要根据结节大小、实性成分、位置、数量,病理亚型、患者年龄及心肺功能,既往有无胸膜炎病史、胸部尤其是肺部手术病史等选择,术式以楔形肺切除、亚段肺切除、肺段切除或肺叶切除的各种组合为主,避免复合肺叶、双侧肺叶(右中叶除外)或全肺切除。(4)主病灶一般以肺叶切除或肺段切除为主,次要病灶采取肺段切除或楔形切除;若两侧病灶均较小且位于肺外2/3,可采取亚肺叶切除;对同侧次要病灶,且位于肺外2/3,可考虑同期亚肺叶切除;对位于同侧肺内1/3、实性成分<5 mm或CTR<25%的病灶可密切随访或热消融;对位于对侧,实性成分<5 mm或CTR<25%的病灶,如患者高龄或心肺功能差,可密切随访或热消融。今天分享的病例就是一位多发结节,而且目前已经多达15处结节,主病灶在左肺下叶,来看看我们的考虑与决策。
病史信息:
主 诉:检查发现双侧肺部阴影7月余。
现病史:患者7月余前于当地医院体检,行胸部CT提示肺部结节(具体报告未见),患者无明显症状,无畏寒、寒战,无咳嗽、咳痰,无胸闷、胸痛,无恶心呕吐,无腹痛腹泻,无头晕头痛骨痛等不适,未予治疗。2024-12-17杭州市肿瘤医院复查肺结节CT靶重建:1 【靶结节】左肺下叶(SE4,Im271)小结节,MIA考虑,请结合肺结节门诊意见。2 左肺上叶(SE4,IM126)、右肺中叶(SE4,IM338)、右肺下叶(SE4,IM336)多枚小结节,LUNG-RADS 4a,请结合肺结节门诊意见。3 两肺多枚小结节,LUNG-RADS 2-3,建议隔6月复查。4 胸腺区脂肪密度增高,胸腺退化不全可能,建议随诊。当时建议手术治疗。现患者未见明显不适,为求进一步诊治来我院门诊就诊,拟“肺部阴影”收入我科。 患者起病以来,神志清,精神可,胃纳可,睡眠安,二便正常,体重近期无明显变化。
影像展示与分析:
先看两肺多发结节的总体情况:

病灶1:右上叶淡磨玻璃结节,整体轮廓较清,考虑肺泡上皮增生或不典型增生可能。

病灶2:左上叶磨玻璃结节,整体轮廓较清,考虑肺泡上皮不典型增生或原位癌可能性大。

病灶3:左下叶淡磨玻璃结节,整体轮廓较清,考虑肺泡上皮增生或不典型增生可能。似乎是两处,但靠前侧的不太确切。

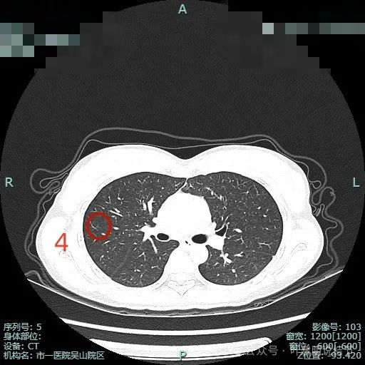
病灶4:右肺微小淡磨玻璃结节,整体轮廓较清,考虑肺泡上皮增生或少放纤维增生可能。

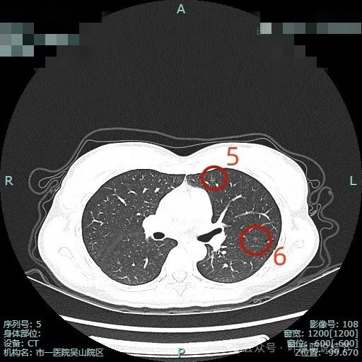
病灶5:左上叶淡磨玻璃结节,整体轮廓较清,有微小血管进入,考虑肺泡上皮增生或不典型增生可能。
病灶6:左上叶近斜裂处淡磨玻璃结节,整体轮廓较清,考虑肺泡上皮增生或不典型增生可能。

病灶7:左下叶微小淡磨玻璃结节,整体轮廓较清,考虑肺泡上皮增生或不典型增生可能。

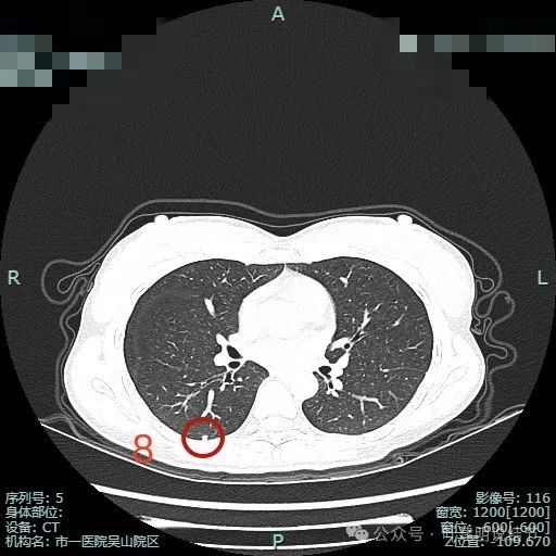
病灶8:右下叶小结节,整体轮廓较清,密度较高,考虑良性的可能性大些。

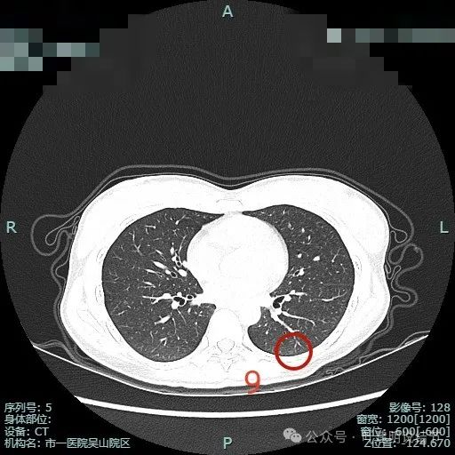
病灶9:左下叶微小淡磨玻璃结节,整体轮廓较清,考虑肺泡上皮增生或少许纤维增生可能。

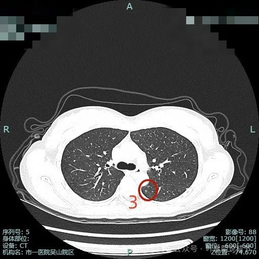
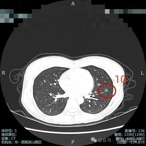
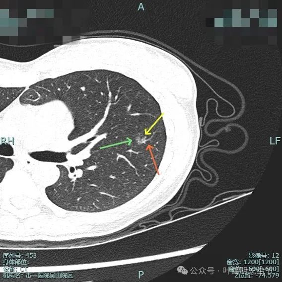
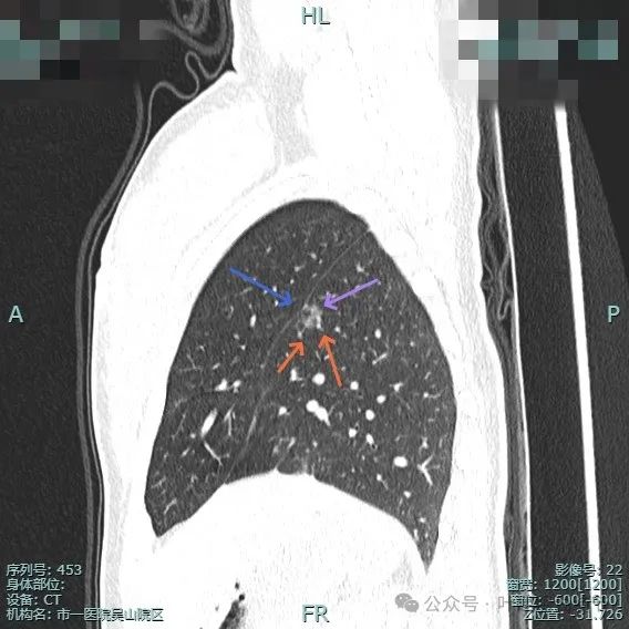
病灶10:左下叶磨玻璃结节,密度不太纯,但说不上纵隔窗可见的实性成分,表面不平,邻近叶裂,有分叶征。考虑微浸润性腺癌或浸润性腺癌贴壁为主型可能性大。

病灶11:右下叶近脊柱处淡磨玻璃结节,整体轮廓较清,考虑肺泡上皮增生可能大。

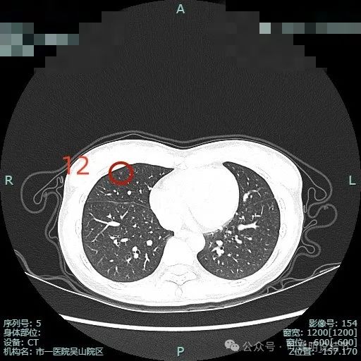
病灶12:右中叶微小淡磨玻璃结节,整体轮廓较清,考虑肺泡上皮增生可能。

病灶13:右下叶淡磨玻璃结节,整体轮廓较清,考虑肺泡上皮增生或不典型增生可能。

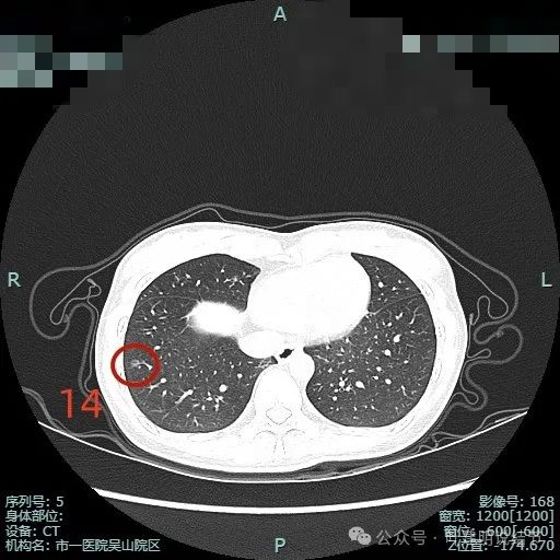
病灶14:右下叶磨玻璃结节,整体轮廓较清,有微小血管进入以及空泡征,考虑原位癌或不典型增生可能性大。

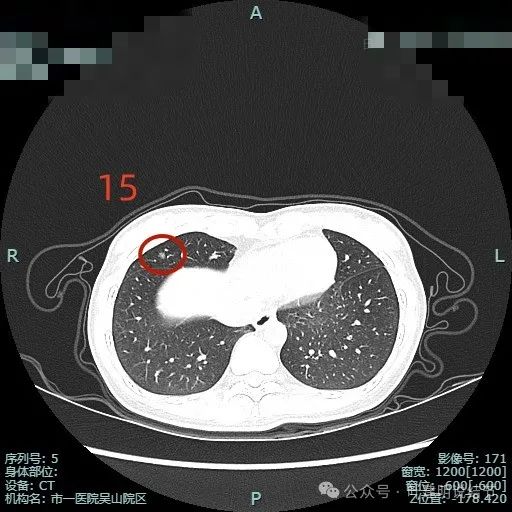
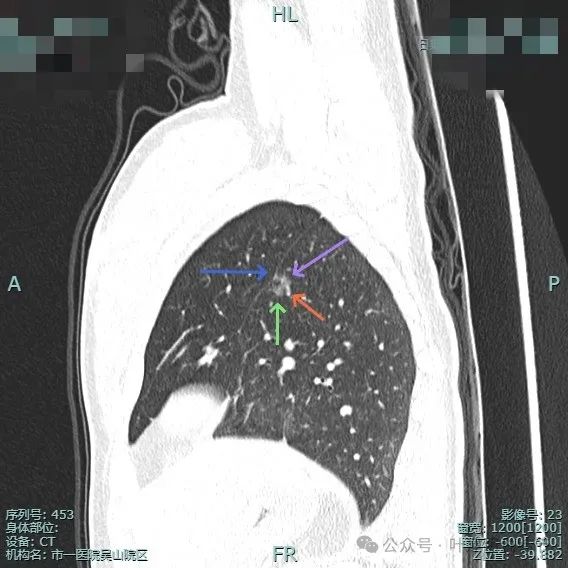
病灶15:右中叶磨玻璃结节,密度不太纯,边缘毛糙,整体轮廓较清,考虑原位癌或微浸润性腺癌可能性大。
再看主要病灶的靶重建情况:
左侧病灶10:

病灶表面不平有分叶与凹凸,密度也不均匀,有点状实性成分,邻近胸膜(叶间裂)。

表面有毛刺,灶内有小空泡征,边缘毛糙不平,密度显得不均匀。

部分边缘有毛刺或小棘突,病灶边上有扩张的细支气管,整体内部密度欠均匀。

边缘毛糙,血管进入,灶内密度显得杂乱。

有扭曲的血管进入血管,表面有凹陷与分叶。

密度不太纯,表面不平,血管有异常增粗。

胸膜有轻微牵拉,表面不平,多处微小血管进入,整体密度显得不匀。

血管征明显、灶内小空泡征、胸膜牵拉、边缘细毛刺征。

整体看上去密度不均、边缘不平、灶内空泡征以及细毛刺征均明显。
右侧病灶15:

病灶密度仍纯但不太均匀,整体轮廓与瘤肺边界清。

有小血管进入与类反晕征。

血管进入以及轮廓与边界清楚。

密度不均显杂乱。
临床考虑:
各病灶的影像特征以及考虑如前述。我们最要关注的左侧是病灶10,右侧是病灶15。主要是由于这两处密度不纯,风险相对较大。两侧相比,左侧病灶10(以下称病灶A)由于紧贴叶间裂,有点状高密度,表面毛刺与多支微小血管进入,风险更要大于右侧病灶15(以下称病灶C)。所以需要处理的话,应该先处理左侧。那么左侧的病灶共有7处,是否有性格“一网打尽”式解决左侧7处病灶呢?由于病灶分散在上叶与下叶不同部位,有的位置还靠中间些,如果均外科解决所有病灶显然就算勉强切掉,也是左侧肺受损严重,关键是我一直强调的“由于致病因素未知,解决了目前已经发现的多发病灶,并无法预防后续再检出结节,而本就已经多达10几处的话,后续再检出新的是必然的,否则逻辑上解释不通”。当然病灶2(以下称病灶B)由于也是靠胸膜很近,而且在左侧的7处病灶中,它的风险与大小排在第2位,如果术中能从胸膜表面发现异常,能楔形切除,那该考虑一并切了。若发现不了,则只处理病灶A也是能接受的。至于右侧,早在十几年前我们自己也主要双侧同时手术,但那时认识不够,现在知道多发的很常见,也解决不了后续再长的问题,那么风险较小的一侧当然可以先缓缓,等以后有进展并风险增加时再考虑干预处理。所以右侧的病灶C虽然也有一定风险,但处理与否则要排在后面考虑。
最后结果:
杭州市第一人民医院胸外科叶建明团队为其进行了单孔胸腔镜下左肺部分切除术。术中发现病灶B也已在肺表面看出异常,遂予以局部楔形切除,病灶A当然能从叶间裂处直接看到,也予以切除。

上图是病灶B剖面观,略显灰白,质稍硬。

上图示切下病灶A时,表面扪及的另一处,但回头看CT好像邻近处不明显,所以也可能只是少许肺不张或肺泡间隔异常,病理也没有报异常。

上图是主病灶,左下叶病灶A,剖面灰白,质硬,肉眼看也是明显恶性的。
常规病理出来,病灶A微浸润性腺癌,最大径0.7厘米;病灶B微浸润性腺癌,最大径0.5厘米。
感悟:
对于多发结节,指南的说法太笼统而缺乏可操作性,而且说在“不影响患者生存及符合无瘤原则的前提下尽量切除病灶”,这一条导致的理解是:只要不影响生存,能切光尽量切光所有病灶。这给主张一网打尽的医生有了“创伤再大、切除组织再多也可以切”的依据。但这样真的是否最有利患者呢?我一直认为是否定的。

就如前面所说的,多学科专家共识2024版中提的“不管是对残留GGN治疗与否,还是残留GGN持续增长,或新发GGN,都不会影响预后”,那么还有何必要急在一次都切光呢?或许次要的病灶再随访5年、10年,甚至十几年,它也仍风险低,即使风险增加了再来处理,不管再手术、再消融或都其他局部治疗手段均可以的呀。而且谁知道多年后,肺结节的诊疗,以磨玻璃为表现的早期肺癌的诊疗会不会有不同于目前的理论与手段呢!就如我常说的,原位癌在10多年前行标准的肺叶切除加淋巴结清扫是合乎指南精神的,也是标准的治疗手段,但现在居然说原位癌不是肺癌了,如果能确定是原位癌都不需要开刀了。回想当时被我们切掉肺叶的原位癌患者其实就是亏大的!但没有办法,这是医学知识的局限性与对疾病认知的局限性。谁又能否认再过十几年,目前我们对肺结节的认识与理念也可能又出现颠覆呢?所以在风险不大且监测可控的情况下,随访,交给时间来回答是最好的决策!