前言:肺癌术后再检查出新的结节,是不是转移是个永远值得说道的话题。因为肺癌患者的术后随访复查就是为了明确有无复发转移,再现结节当然高度紧张,如果转移就是晚期了呀!但是否真的是转移,却并不总是简单的CT检查就可以确定的,有时要进一步查增强CT、查PET-CT,甚至做穿刺、做活检,乃至再手术以明确。但我们可以通过手术前后影像的细节观察,结合病理类型和分期,来预测复发转移的可能性大小,以及炎性或新发肿瘤的概率大小,从而有倾向性方向。当然病理是金标准,是最后的审判。今天分享的这个病例左下叶肺癌术后才2年,检查发现右侧实性病灶,到底是不是转移?该怎么办?与大家分享交流。
病史信息:
基本信息:
女性, 55岁。
主诉:
肺癌术后2年,复查发现新发肺结节2天。
现病史:
患者2022年行肺癌根治手术,术后无放化疗,术后自诉经常咳嗽,右侧胸口有时候会闷痛,2024-05-29患者复查CT提示右肺上叶后段新发类圆形稍高密度影,现特来咨询。
曾就诊医院:
某省药科大学附属第一医院
希望获得的帮助:
想让主任看下前年到今年的三份CT片子。
影像展示与分析:
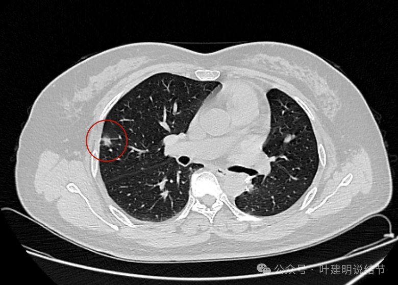
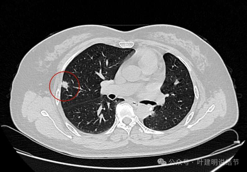
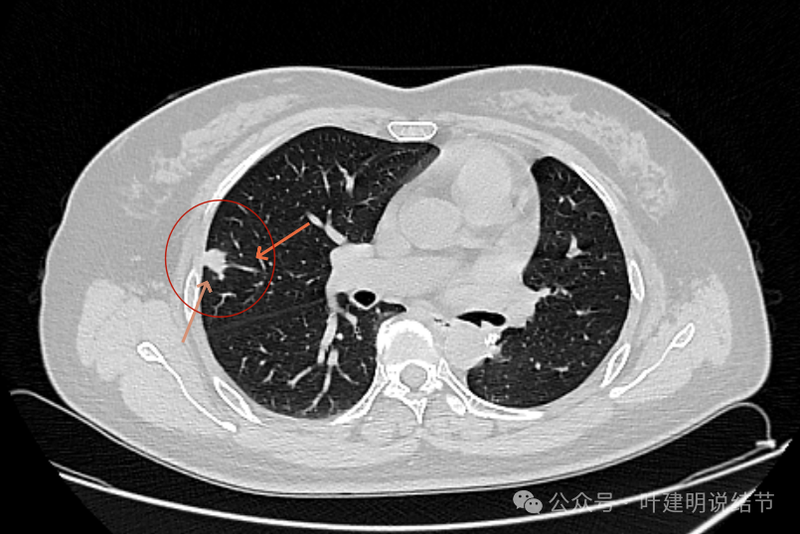
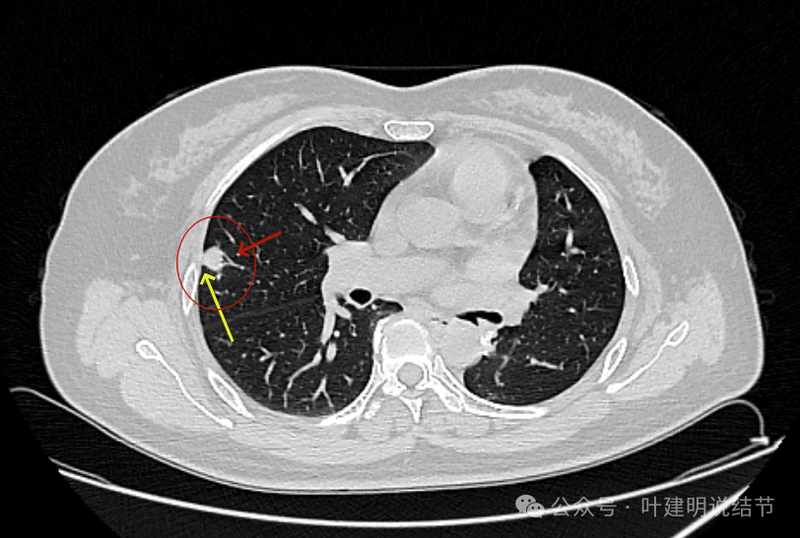
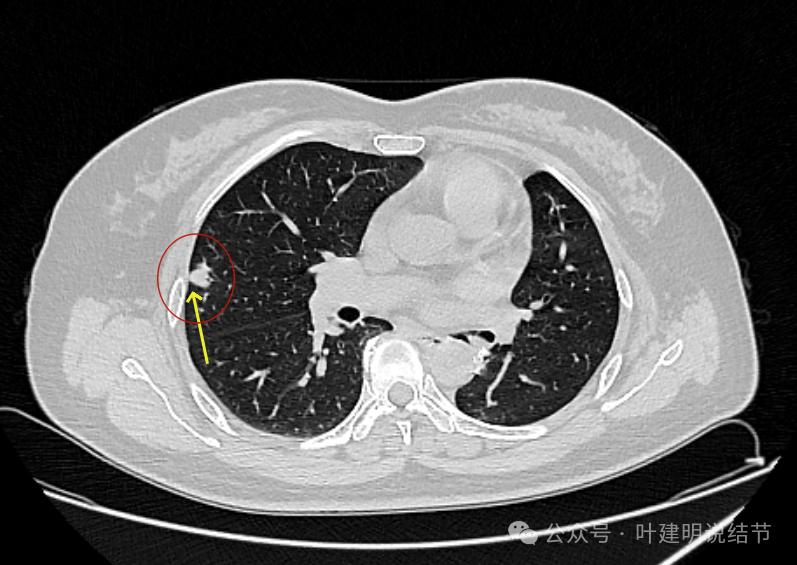
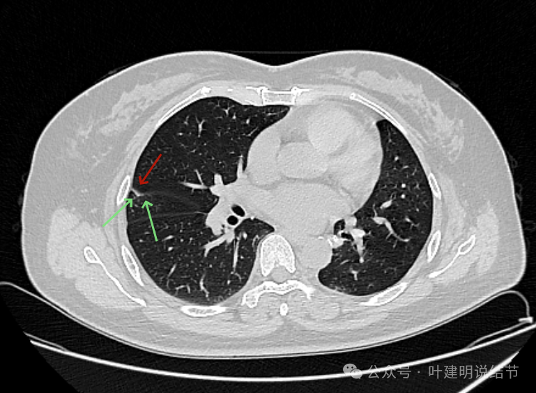
先看2024年5月时的片子:

病灶出现 ,边缘略显毛糙,有小血管进入,也见毛刺或小棘突征。

边缘不平,实性密度,贴着胸壁,胸壁处无明显增厚或胸膜反应。

表面不平,血管走向病灶。部分边缘较为平直。

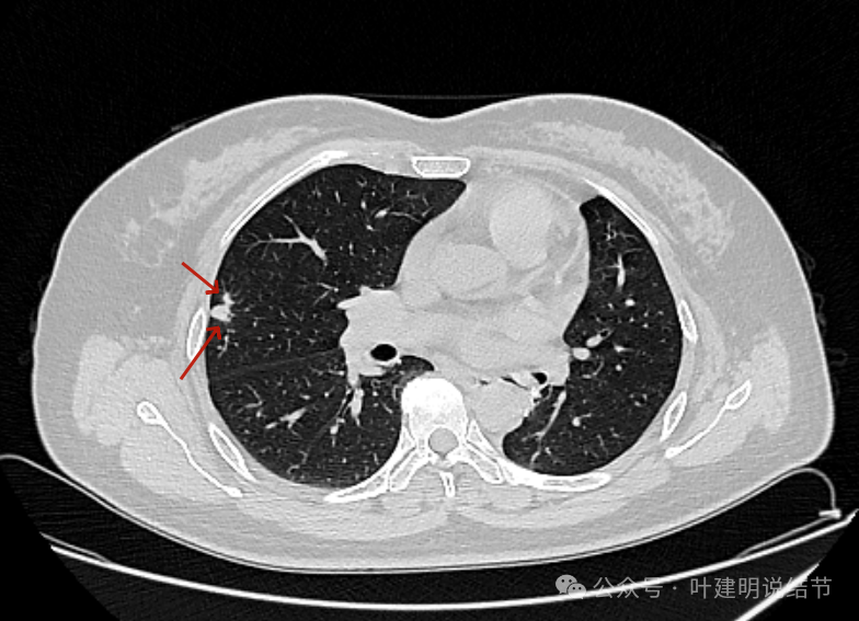
此层见病灶轮廓较清,有小血管进入,表面不平,有一定的膨胀感。部分边缘较为光滑。

胸膜间隙征存在,整体边缘显得较为光滑。

似乎两个中心点,密度均是实性的。

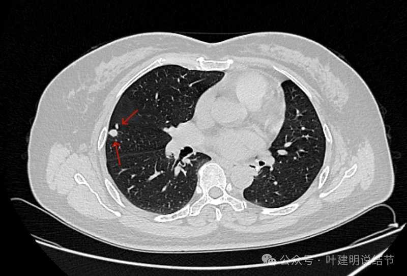
两个中心,病灶边缘光滑,轮廓清楚。

靠着水平理解 ,病灶缺乏收缩力。

叶裂于此处略有增厚。
既往情况:

2022年8月术前左下病灶的样子,是混合磨玻璃密度,边缘毛糙,灶内有细支气管扩张,近侧有支气管截断似的,胸膜有牵拉,整体轮廓清,瘤肺边界也较清,是典型浸润性腺癌的影像表现。

基因检测结果示存在EGFR突变。

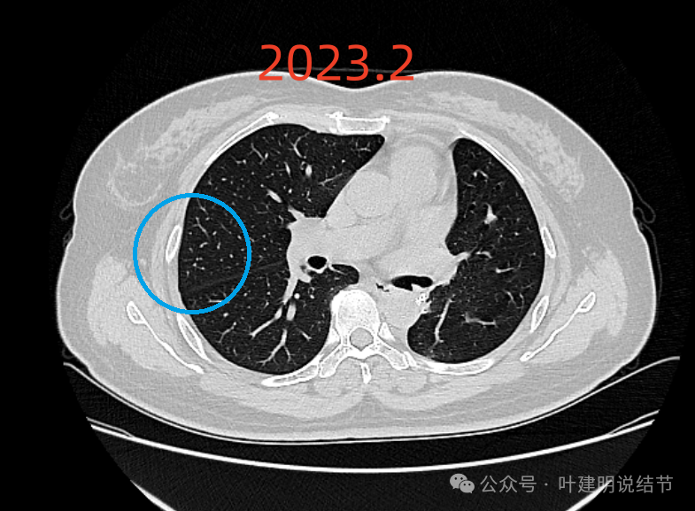
2023年2月时右上叶同一处没有明显病灶。

右上前后相差15个月的对比。
我的回复:
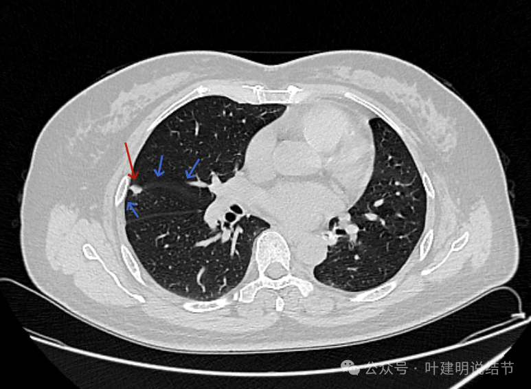
我的想法是这样:第一、我看了你术前的片子,左下病灶是混合磨玻璃密度,但实性成分并不是明显聚着的,而只是整体密度略显高而已,有毛刺、有血管进入,靠近叶间裂与胸膜。这种密度的病灶转移的概率应该不高的。而且这次右上的病灶是实性的,形态与原来的左下病灶明显不一致的。所以首先我觉得不像转移。第二、右上病灶在一年前的2023年2月一点都没有,在比较短的时间内突然出现并快速进展的话,要么是炎性的,要么是恶性程度比较高的,比如低分化癌或小细胞癌这些。单纯从影像上分析,右上这个病灶感觉多中心,有支气管截断征,有血管进入,胸膜了有轻微牵拉,整体轮廓较为清楚,周围肺野比较清晰,感觉与恶性更为符合;第三、从是否马上干预来讲,如果积极点,穿刺下或直接单孔胸腔镜下切除并术中送快速切片以确诊,并依术中快速病理再决定是否切肺叶,这也是可以的。但真恶性,我前面说了恶性程度估计不低,要有血行微转移估计也已经转移了,适当随访下再对比再决定手术与否亦是可行的;而若实际上非恶性,则适当随访或抗炎后复查更不会延误治疗。当然若查下PET-CT也是可以的。总体我的意见是:倾向恶性点,但建议适当观察随访下并对比后再决定手术与否。意见供参考!
后续再考虑:
上面的意见是当时的回复,在书写今天的微信文章的过程中,我倒又觉得由于多中心发生,部分边缘较为光滑,生长过快,收缩力不强,良性的概率似乎应该稍大于恶性点。但主要这种实性病灶放着不明确是有风险与不放心的,总体仍宜短期复查随访(毕竟没有随访复查过),比如4-6周,期间适当抗炎治疗,若有缩小好转,则再随访,若无好转或有进展,不管最后良性还是恶性,都是单孔局部切了以明确病理更为妥当。当然随访期间也可以考虑穿刺活检或PET-CT检查,可提供一定价值的。
感悟:
肺结节良恶性有时仅凭影响确实难以非常明确,但仍得前后对比,结合病史信息,总体来考虑判断。对于磨玻璃结节适当随访即使恶性也不容易延误,但对于实性病灶,虽短期内出现的恶性可能性小些,但恶性程度高的也会较快进展,所以从风险角度来讲,实性结节要更加警惕些。随访不改善好转的,不取得病理依据是不放心的。