前言:体检查出肺部结节,看了不同的专家医生,给出的意见不一致,这是很常见的情况。一方面说明医生观念理念不同,另一方面也说明疾病的复杂性,当然更说明医生看病是很难标准化流程化的,人体是复杂的,简单的将医疗归于服务行业,等同于买卖关系是不现实的。作为临床一线的医生,我们该如何来分析与决策这种不太确切的、有争议与不一致意见的肺结节?考虑与权衡的重点是什么?我们不断分享病例,就是希望在这些方面能给别人一点借鉴,至少发出自己的意见与观点。今天分享的这个病例也是网络问诊的,看过多位专家,意见不同,结友比较困惑。
病史信息:
基本信息:
女性, 69岁 。
主诉:
查体发现肺结节11天。
现病史:
患者于2024.10.07就诊于某医学院附属医院行胸部CT检查示 1、双肺轻度支气管炎;右肺下叶肺大泡;2、双肺多发微小结节,建议随诊复查;3、左肺下叶可疑实性密度结节影,请结合临床3月至6月随诊;4、主动脉及冠状动脉管壁钙化斑块。目前患者无发热,无胸痛胸闷,无头晕头痛,无腹痛腹胀,今为求进一步诊疗来诊。当时体检中心给他打电话的时候那种终于联系上了的语气,让他很担心,在体检医院找胸外科医生看了,建议三个月复查 CT,不放心的话到时候可以做增强 CT。他不太放心,又到工作地方挂了个专家号,那边建议做 pet 和穿刺,但是说位置不适合穿刺,说对方量的 1.4cm,建议做 pet, 说的很严重。所以他现在有点不知道怎么才好了。患者有家属做过肺结节手术,从公众号上知道了叶主任,所以前来咨询。
希望获得的帮助:
想让医生给仔细看一下 ct 片子,扫描二维码可以转发电脑。想知道报告里给出的结节大小准确吗?高危可能性大吗?后续有什么建议?
影像展示与分析:
先来看两肺多发病灶的情况:

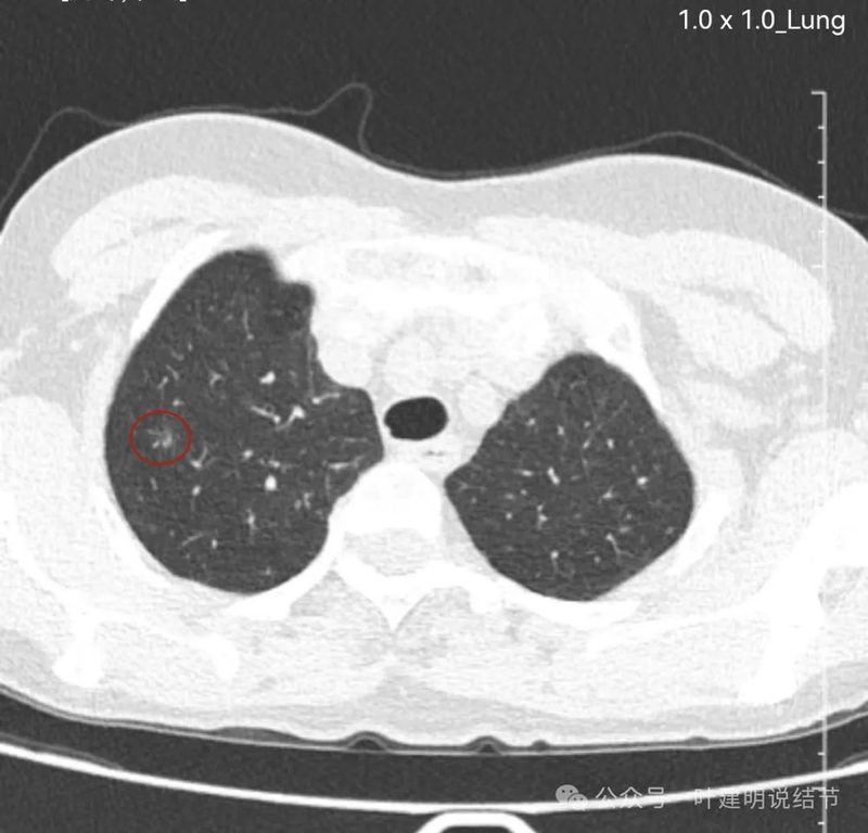
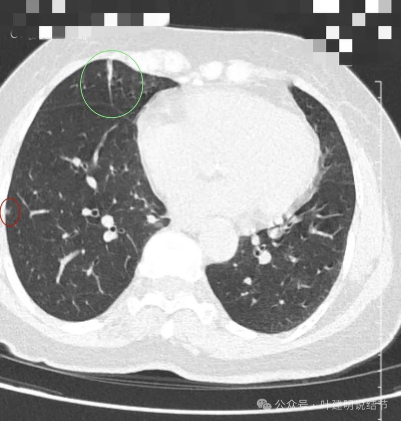
右上轮廓稍模糊结节,更像少许炎性改变。

胸膜下微小结节,轮廓较清,才1-2毫米,可供分析的影像特征太少,反正先随访。

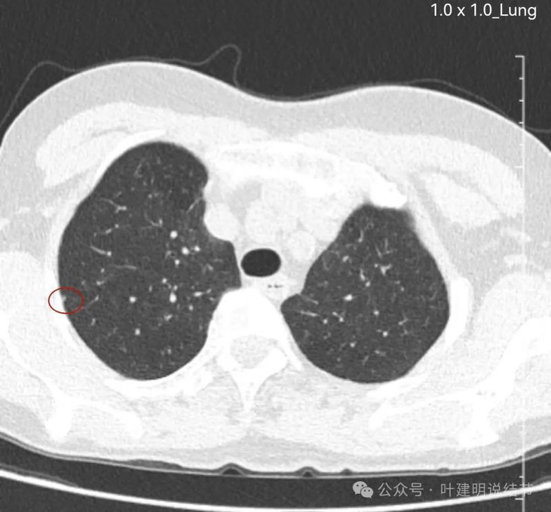
胸膜下结节两处,也是密度较高,边界较清,但还很小。

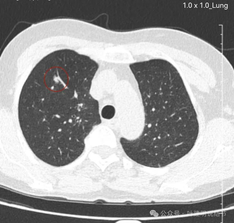
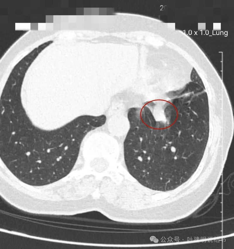
右上混合密度结节,有血管进入,有实性成分,磨玻璃部分轮廓与边界清,与恶性较为符合,浸润性腺癌可能性较大点。当然由于首次发现,先抗炎后再复查更为稳妥些,有时炎性也会边界较清的。

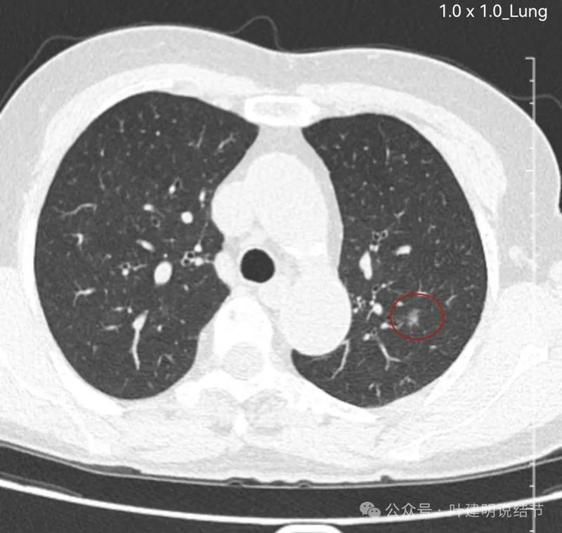
左上叶磨玻璃结节,密度稍不均,有部分偏实性成分,表面不平,轮廓与边界清,似有微小血管进入,恶性范畴的可能性大些。

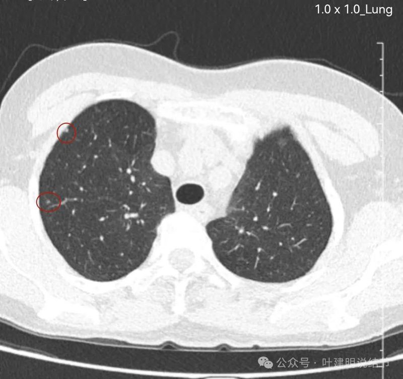
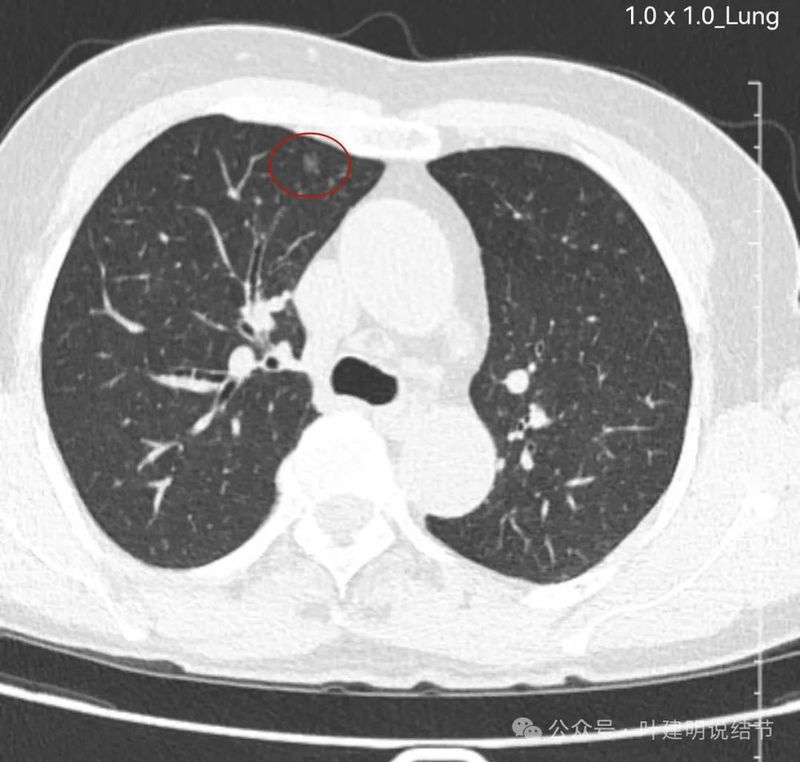
右上叶磨玻璃结节,轮廓清,表面不平,不典型增生或原位癌可能性大。

右中叶条索状病灶,考虑慢性炎或纤维条索;
右下叶胸膜下微小磨玻璃结节,有微血管征,轮廓与边界清,不典型增生可能性较大。

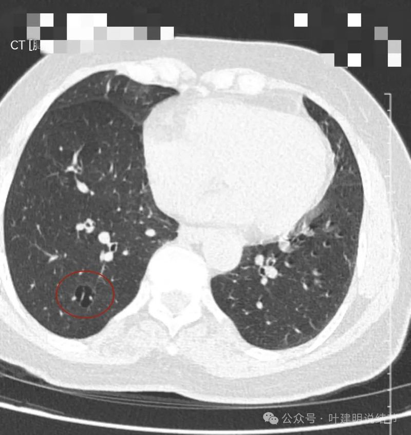
右下叶囊腔型病灶,囊壁较薄,内部有分隔,囊腔型肺癌不能完全除外,但肯定要先随访起。

右下另处囊腔灶,灶内有血管穿过,整体小且囊壁薄,再观察下。

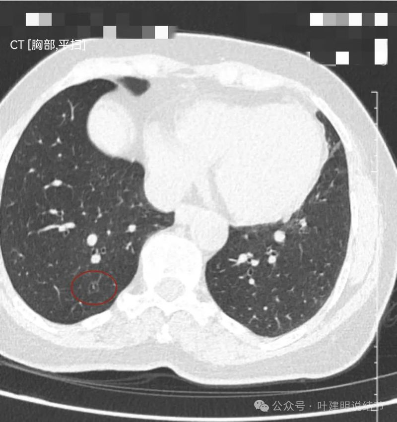
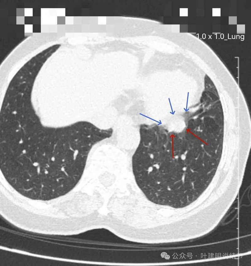
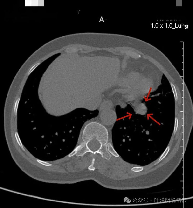
左下实性结节,明显有膨胀感,边缘虽然光滑,但给人感觉不舒服,恶性的可能性大些。
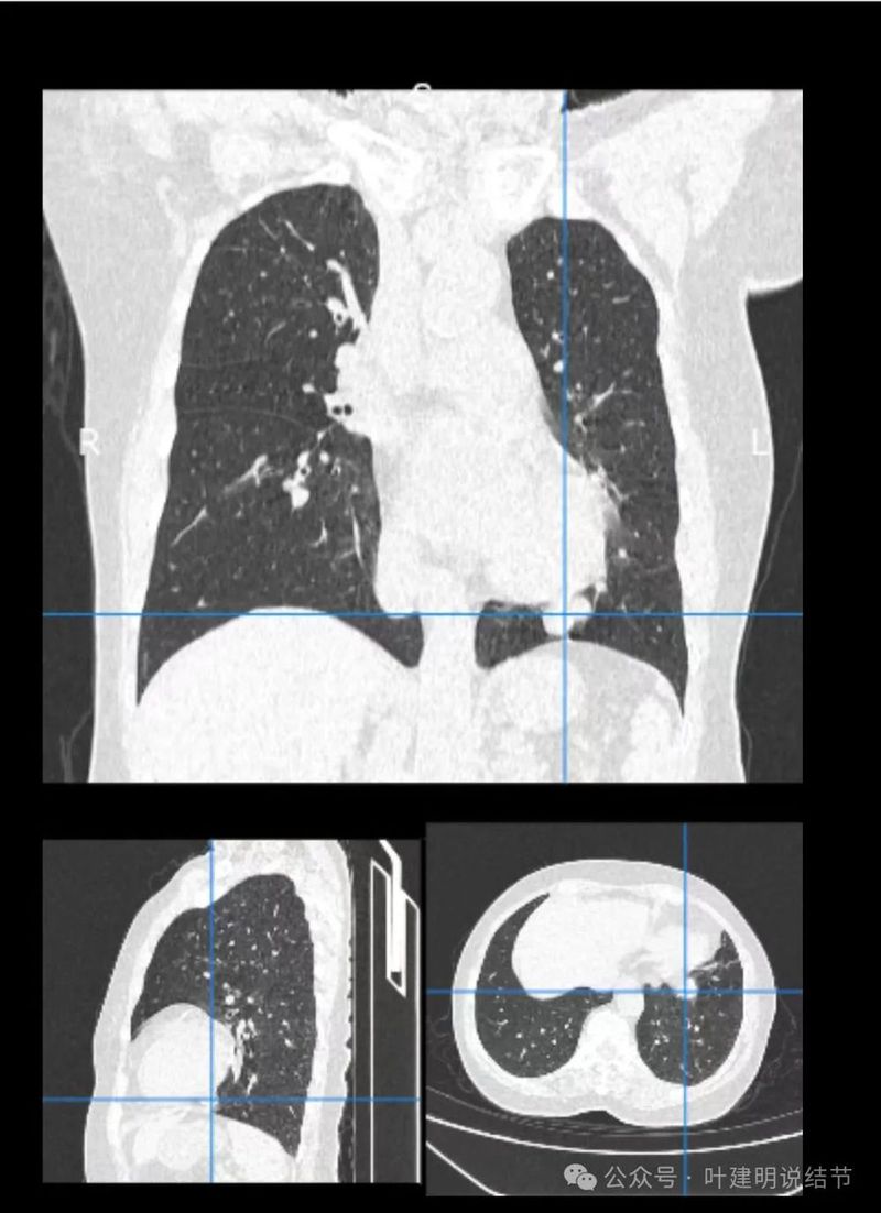
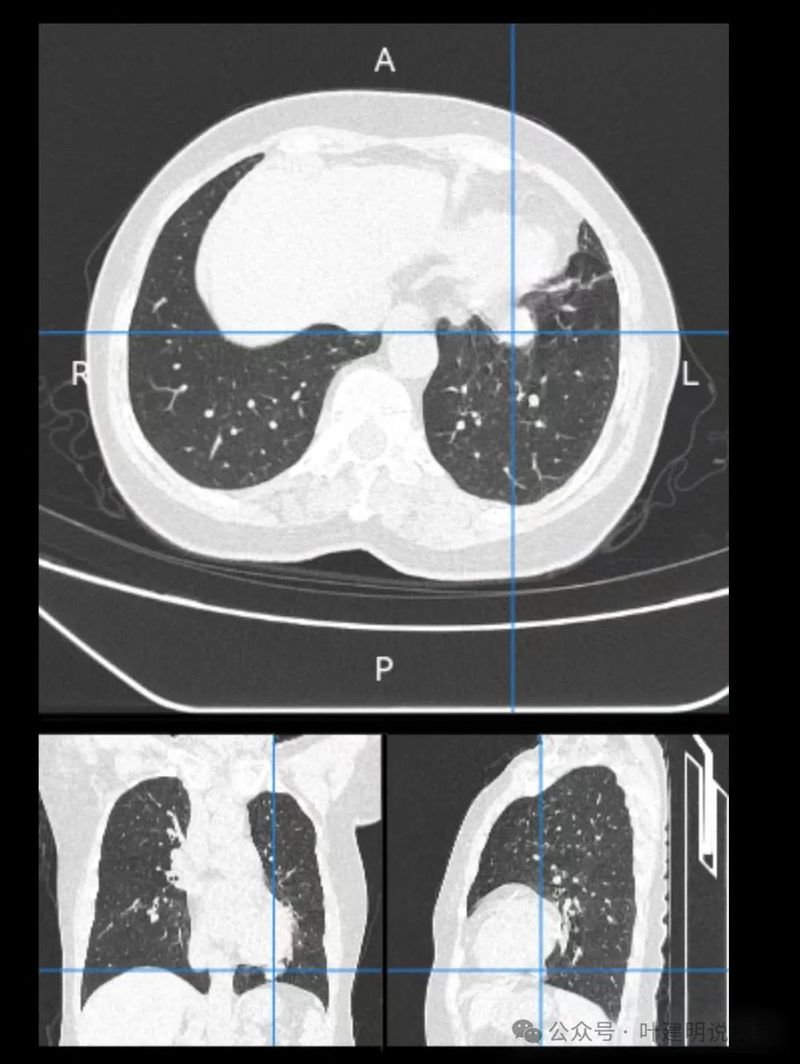
再看左下主病灶连续层面与重建影像:

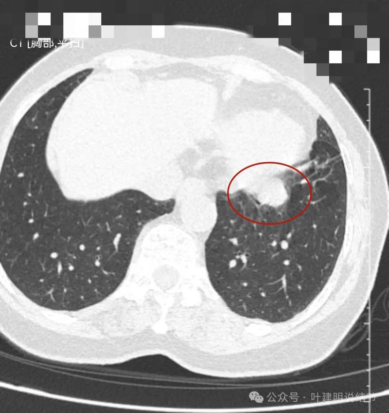
冠状位见病灶与周围结构有间隙,说明不像炎性,如果是炎症,挨这么近,一般会搭牢的。

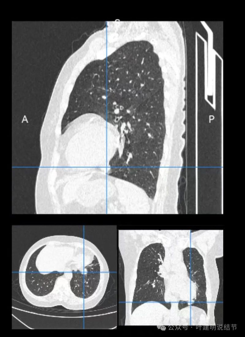
矢状位病灶膨胀感不如横断们与冠状位明显,但东西是实性的。

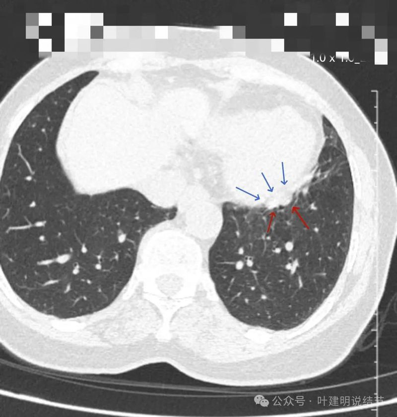
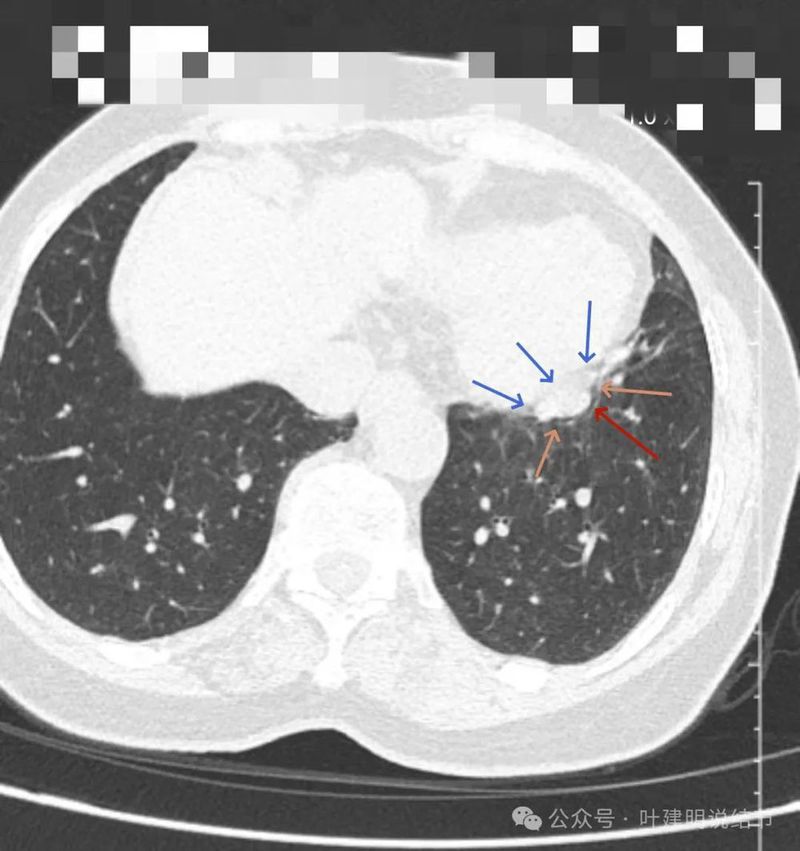
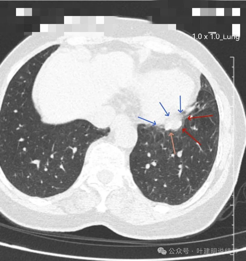
轴位病灶实性,分叶,膨胀!

病灶表面不平,有浅分叶,与膈肌之间有间隙。

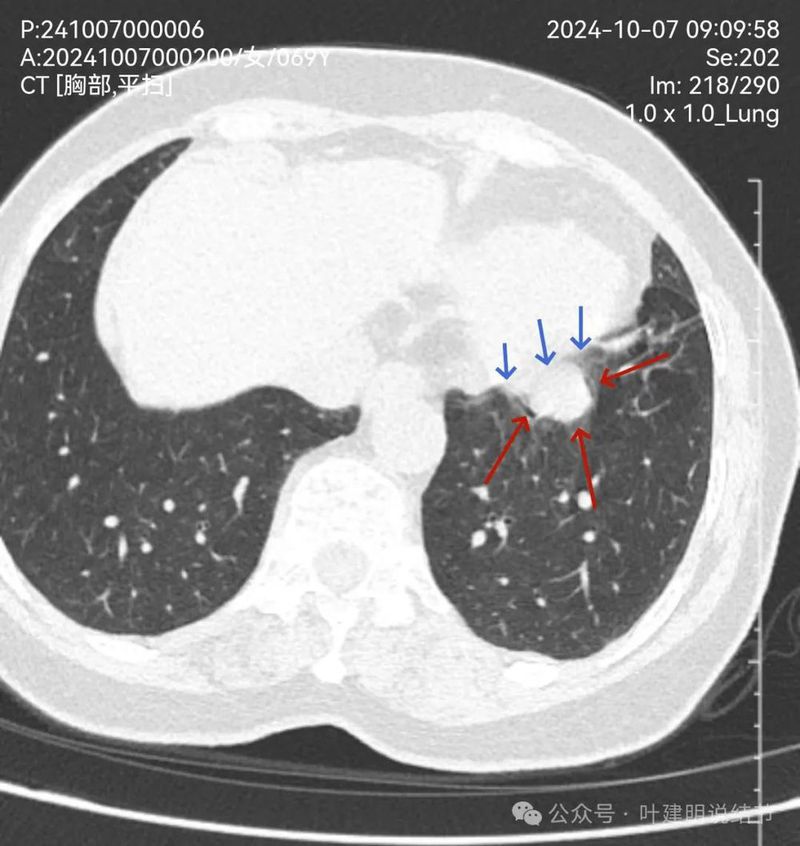
与膈肌之间间隙明显,病灶实性,膨胀性明显,边缘相对较为光滑。

病灶浅分叶,膨胀性,周围有很淡的磨玻璃密度似的,这可能是检查时屏气屏得不太好的关系,不太符合混合磨玻璃结节的样子。

整体感觉较圆,膨胀性是明显的。膈肌有点被它顶过去的样子。

上图层面相对最大,感觉鼓鼓的。

边界与轮廓清。

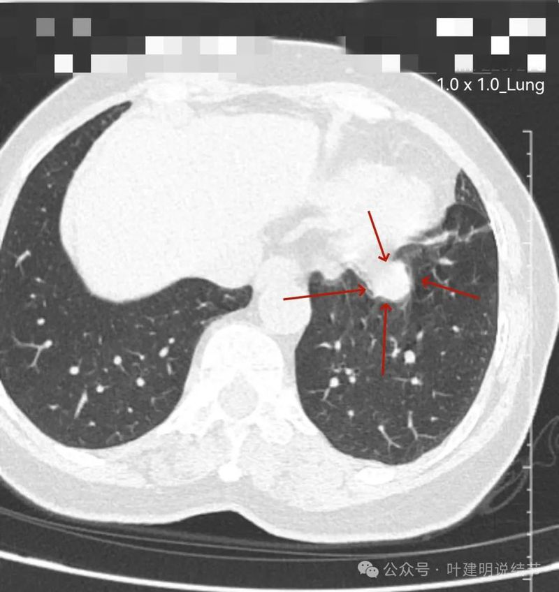
上图显得膨胀感欠了点,但分叶与表面不平是明显的。

边比较为平直,密度仍实。

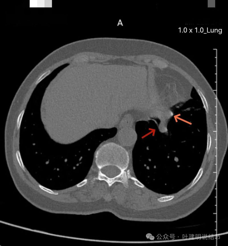
感觉两处不同的中心,如果连续层面看,应该是病灶不平的关系,与膈肌间仍有间隙,密度是实性的。

边缘区域的样子。

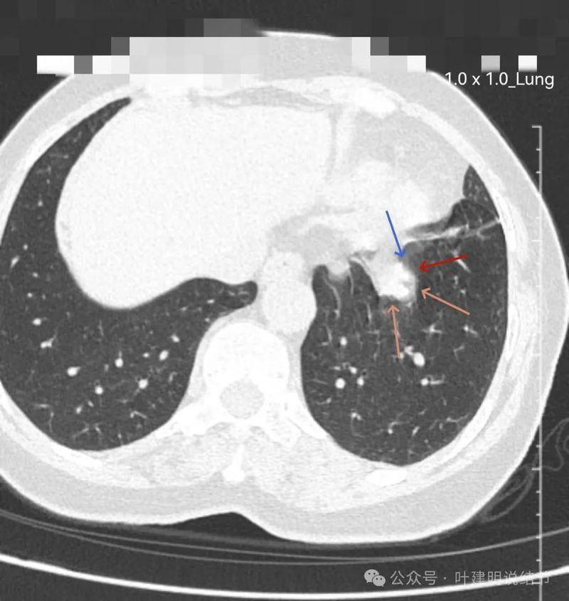
纵隔窗见病灶实性密度,与膈肌间有低密度线状间隙。

病灶密度稍不均。

较为边缘部分的纵隔窗样子。
我的意见:
两肺多发小结节,大部分是实性微小的,没有临床意义,只需随访;部分是淡而小的磨玻璃结节,也意义不大,能常规年度随访。主病灶则在左下叶近膈面处,此灶实性,有膨胀感,表面有浅分叶,但邻近膈肌与胸膜,未见明显胸膜牵拉,说明收缩力不明显。总体轮廓较清,没有卫星病灶,也无周围炎性渗出性或磨玻璃成分。此灶定要说良性或恶性,仍不能定。符合良性的是:边缘较为光滑,缺乏收缩力,未见血管征;符合恶性的是:有膨胀性与浅分叶,周围清晰不似普通炎性。但我们若换个角度来看问题:此灶若确实是恶性,那是实性的肺癌,随访是有风险的;若确实是良性,若予以单孔胸腔镜下局部楔形切除对肺功能影响并不大,手术风险也低,既能明确诊断又去除了病灶。也就是说:事实上恶性再随访存在风险,而事实上良性切了影响不大,手术的利弊权衡是利大于弊的(当然若确实是恶性,又做了手术,当然更是应该的)。所以我的意见:倾向恶性点,建议微创手术。如果对手术比较抗拒,也可适当口服抗炎治疗10-12天,之后间隔6-8周复查下增强CT或PET-CT(PET更有价值点)再决定也是可行的。意见供参考!
感悟:
两的囊腔灶目前不太确定,磨玻璃灶轮廓清楚边界清,多是肿瘤范畴的可能性大,但除了右侧混合密度那处以外,其他的风险低能随访。关键是主病灶在左下叶这处,这才是目前要重点考虑的。如果此处是恶性而且恶性程度较高,那么其他那些根本不需要管,因为决定预后以及是否中期或晚期的关键是左下主灶。从膨胀性、浅分叶、胸膜间隙征等许多特征来看,我是考虑大概率是恶性的,而且两肺微小的会不会可能是此灶的转移也难说。但毕竟是首次发现,时间还短,谨慎抗炎后短期随访,几周或1-2个月左右的时间也不至于影响预后,真如果恶性程度很高,也不是急在几周内的事。但短时间随访无好转(这种可能性大得多),还是要及时取得病理依据的。从实用与马上明确并指导后续治疗来讲,我是非常倾向直接行胸腔镜下探查及左下叶部分切除,术中送快速切片来明确的。当然如果术前查下PET更好,主要是想看两肺微小的结节是不是有高代谢,考虑不考虑转移。只是微小结节其实也很难反应出代谢是否增高,有时做了PET也无法确定。我总认为,临床医生的决策应该:直接、高效、权衡!