介绍
特发性肺间质纤维化(idiopathic pulmonary fibrosis,IPF)是原因不明的、慢性、进展性纤维化疾病,是特发性间质性肺炎最主要、最严重的类型。IPF发病率逐年升高,预后差,病死率高,平均生存时间为3~5年。
其肺组织学和胸部高分辨率CT (high-resolution CT, HRCT) 表现为普通型间质性肺炎 (usual interstitial pneumonia, UIP) 。值得注意的是,UIP不是IPF的同义词。IPF是临床诊断,而UIP是IPF的放射、病理学表现形式。
临床表现
IPF主要见于60岁以上老年人,与吸烟明显相关。临床表现无特异性,常有原因不明的劳力性呼吸困难、慢性干咳、Velcro啰音等。杵状指常见,几乎所有IPF患者均出现爆裂音,听诊爆裂音可提示IPF。
影像学表现
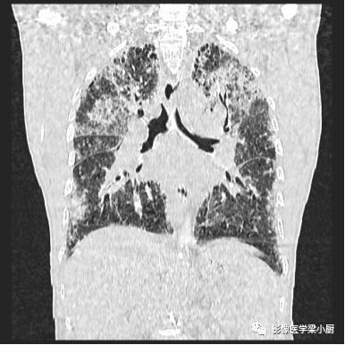
1.分布:90%的IPF患者HRCT表现为胸膜下分布。
分布的不均匀性:HRCT肺外周部位和胸膜下区不均匀分布,正常肺组织和病变区(网格、牵拉性支气管扩张或蜂窝)交替。病变常呈双侧不对称分布。


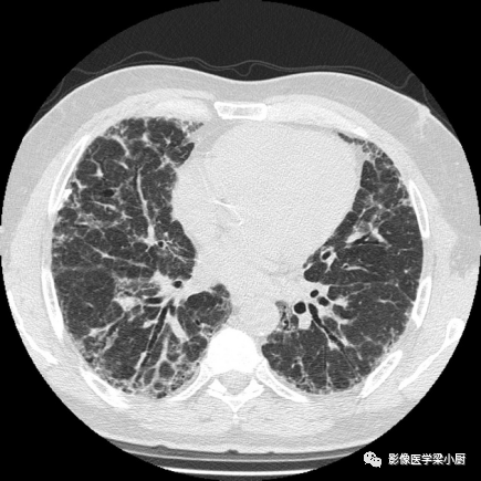
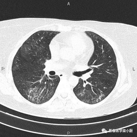
IPF患者牵拉性支扩
2.网格:网格影一般分布于两肺基底部、胸膜下,常伴结构扭曲。网格影不等同于小叶间隔增厚。

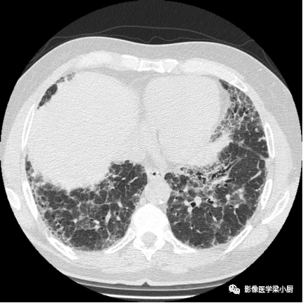
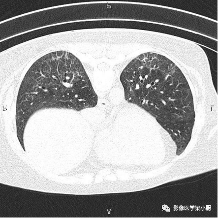
双肺底弥漫性网格状改变
3.蜂窝:呈镞状囊性低密度影,囊壁光整,厚度1~3mm,直径常为3~10mm,偶尔可达2.5cm。蜂窝是HRCT的UIP型最具特征性的表现,蜂窝影预测UIP的灵敏度和特异度较高。
蜂窝的组成目前尚不清楚,推测为扩张的小气道,是纤维化进展的标志,提示预后差。



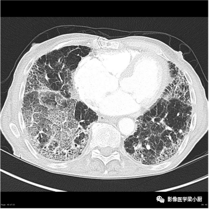
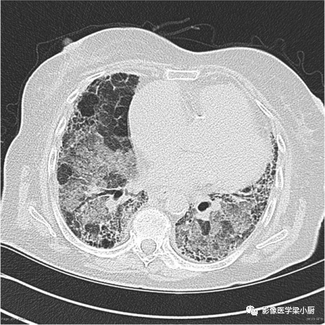
双肺呈弥漫蜂窝状改变
4.磨玻璃密度影:网格内磨玻璃密度影(ground-glass opacification,GGO)代表低于HRCT分辨率的肺纤维化病变,一般不超过网格范围。
而网格、蜂窝及牵拉性支气管扩张、细支气管扩张范围外的GGO则提示感染或其他疾病。

5.肺结构扭曲:影像学上将肺结构扭曲定义为肺小叶结构的改变(从多边形到变小的三角形)、非节段分布(跨越叶间裂胸膜);还可表现为胸膜表面和支气管血管束不规则。
6.尖-基底分布:UIP典型分布于基底部,但也可分布于上肺。当肺基底部以上肺区内出现网格影,同时伴肺下叶蜂窝影,可诊断UIP。
7.淋巴结肿大:HRCT上70%~86%的UIP型患者存在纵隔和肺门的淋巴结肿大,25%为非对称分布。
鉴别诊断
1.非特异性间质性肺炎:大多数非特异性间质性肺炎(non-specific interstitial pneumonia,NSIP)患者HRCT表现为以两肺下叶分布为主的均匀磨玻璃阴影和牵拉性支气管扩张。
UIP和NSIP都以两肺下叶分布为主,但是与UIP相比,NSIP一般不累及胸膜下。NSIP也可表现为界线清楚的网格和牵拉性支气管扩张。


非特异性间质性肺炎
2.慢性过敏性肺炎:慢性过敏性肺炎(chronic hypersensitivity pneumonitis,CrHP)的HRCT表现为小叶内间质增厚、小叶间隔不规则增厚、牵拉性支气管扩张、小叶中心结节、马赛克征、网格影、磨玻璃密度影,在疾病的亚急性期可见蜂窝状表现。
CrHP的CT表现可与UIP、纤维化性NSIP类似,最主要的鉴别点为小叶中心性磨玻璃结节、小叶性马赛克征和肺下部不累及,小叶中心结节代表细支气管中心的感染。CrHP患者伴发肺气肿不常见。


慢性过敏性肺炎
3.肺结节病:肺结节病典型的HRCT表现为淋巴管分布的圆形小结节影,直径2~4 cm,呈双侧、对称性分布。
大部分结节随疾病进展逐渐消失,20%患者晚期出现纤维化,以中上叶分布为主,Ⅳ期肺结节病其他HRCT表现包括线状影、牵拉性支气管扩张、肺结构扭曲、纤维化囊肿、肺大泡、间隔旁型肺气肿。而纤维化密度不均,沿支气管血管束分布是鉴别诊断的关键。

肺结节病
参考文献:
[1]赵大伟,房学梅,付维林.高分辨率CT在特发性肺纤维化诊断中的研究进展[J].放射学实践,2019,34(09):1044-1048.
来源:影像医学梁小厨
